Hamburger Menu Button
Thermo Fisher Scientific Logo
登录
没有账号?建立账号 注册
  • 产品
    • 抗体
    • 引物合成
    • GeneArt Gene Synthesis Instant Designer
    • TaqMan Assay and Array Search
    • PCR 设备和耗材
    • 色谱柱和纯化柱
    • 实验室离心机
    • 分子生物学试剂和试剂盒
    • 实验室塑料耗材及用品
    • 查看所有产品分类
  • 应用和技术
    • 色谱
    • 细胞转染和培养
    • 实时荧光定量PCR
    • 质谱
    • 实验室塑料耗材及用品
    • 电子显微镜
    • 蛋白质生物学
    • PCR
    • RNAi
    • 环境
    • 查看所有应用和技术
  • 服务
    • 定制服务
    • 企业级实验室信息化服务
    • 企业服务
    • 金融&租赁服务
    • 仪器服务
    • OEM和商业供应
    • 培训服务
    • 360° CDMO 和 CRO 服务
    • CDMO 服务
    • 临床试验 CRO 服务
    • 查看所有帮助和支持
  • 帮助和支持
    • 学习中心
    • 联系我们
    • 更改国家或地区
    • 查看所有帮助和支持
  • 热门产品
    • TaqMan Real-Time PCR Assays
      TaqMan 实时荧光定量 PCR 试剂盒
    • Antibodies
      抗体
    • Oligos, Primers & Probes
      寡核苷酸、引物、探针
    • GeneArt Gene Synthesis
      GeneArt 基因合成
    • Cell Culture Plastics
      细胞培养耗材
  • 联系我们
  • 货号直购
  • 订单查询
  • 查找文件&证书
Thermo Fisher Scientific Logo

Search

搜索全部或下列指定分类
Search button
          • 联系我们
          • 货号直购
          • 登录
            登录
            没有账号?建立账号 注册
            • 我的账号
            • 订单
            • 账单及发票查询
            • 定制产品及项目
          • Antibodies ›
          • by Gene

          RPS6KA3 Antibodies

          收起
          • 检索
          • 产品
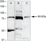
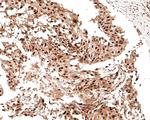
          • 结果图
          • 抗原
          • Panel Builder Link 快来试试流式配色工具与服务
          • Wyoming Western Blot Tool Link Match your protein to the right gel
          • Wyoming Stain-iT Tool Link Try the Stain-iT cell staining simulator
          • Wyoming ELISA Tool Link Customize assays with the ELISA Builder
          筛选

          Disclaimer

          Clicking the images or links will redirect you to a website hosted by BenchSci that provides third-party scientific content. Neither the content nor the BenchSci technology and processes for selection have been evaluated by us; we are providing them as-is and without warranty of any kind, including for use or application of the Thermo Fisher Scientific products presented.

          筛选
          筛选
          Human
          Show Less
          +-1
          Clear All
          更多
          更少
          27个结果
          种属
          类型
          应用
          价格
          对比
          27个结果
          Invitrogen
          RSK2 Polyclonal Antibody
          Invitrogen
          RSK2 Polyclonal Antibody
          高级验证
          2
          种属
          Human Mouse
          类型
          Rabbit Polyclonal
          应用
          WB
          价格
          Special offer
          Online exclusive
          飞享价
          货号 38-6800

          100 µg

          Invitrogen
          Phospho-RSK Pan (Ser221, Ser227, Ser218, Ser232) Polyclonal Antibody
          Invitrogen
          Phospho-RSK Pan (Ser221, Ser227, Ser218, Ser232) Polyclonal Antibody
          24
          种属
          Human Mouse Non-human primate Rat
          类型
          Rabbit Polyclonal
          应用
          WB IHC (P)
          价格
          Special offer
          Online exclusive
          飞享价
          货号 PA5-114637

          100 µL

          Invitrogen
          Phospho-RSK Pan (Ser221, Ser227, Ser218, Ser232) Polyclonal Antibody
          Invitrogen
          Phospho-RSK Pan (Ser221, Ser227, Ser218, Ser232) Polyclonal Antibody
          高级验证
          3
          种属
          Human Mouse
          类型
          Rabbit Polyclonal
          应用
          WB
          价格
          Special offer
          Online exclusive
          飞享价
          货号 PA5-37829

          100 µL

          Invitrogen
          RSK2 Recombinant Rabbit Monoclonal Antibody (JE63-19)
          Invitrogen
          RSK2 Recombinant Rabbit Monoclonal Antibody (JE63-19)
          8
          种属
          Human Mouse Rat
          类型
          Rabbit Recombinant Monoclonal
          应用
          WB IHC (P) Flow
          价格
          Special offer
          Online exclusive
          飞享价
          货号 MA5-44775

          100 µL

          Invitrogen
          Phospho-RSK2 (Ser227) Polyclonal Antibody
          Invitrogen
          Phospho-RSK2 (Ser227) Polyclonal Antibody
          5
          种属
          Human Mouse Rat
          类型
          Rabbit Polyclonal
          应用
          WB IHC (P) ICC/IF
          价格
          Special offer
          Online exclusive
          飞享价
          货号 PA5-104646

          100 µL

          Invitrogen
          RSK2 Polyclonal Antibody
          Invitrogen
          RSK2 Polyclonal Antibody
          5
          种属
          Human Mouse Rat
          类型
          Rabbit Polyclonal
          应用
          WB IHC (P)
          价格
          Special offer
          Online exclusive
          飞享价
          货号 PA5-29280

          100 µL

          Invitrogen
          RSK1/RSK2/RSK3 Polyclonal Antibody
          Invitrogen
          RSK1/RSK2/RSK3 Polyclonal Antibody
          5
          种属
          Human Mouse Rat
          类型
          Rabbit Polyclonal
          应用
          WB IHC (P) ICC/IF ELISA
          价格
          Special offer
          Online exclusive
          飞享价
          货号 PA5-120703

          100 µL

          Invitrogen
          Phospho-RSK2 (Thr577) Polyclonal Antibody
          Invitrogen
          Phospho-RSK2 (Thr577) Polyclonal Antibody
          4
          种属
          Human Mouse Rat
          类型
          Rabbit Polyclonal
          应用
          WB IHC (P) ICC/IF
          价格
          Special offer
          Online exclusive
          飞享价
          货号 PA5-105587

          100 µL

          Invitrogen
          RSK2 Monoclonal Antibody (4E10)
          Invitrogen
          RSK2 Monoclonal Antibody (4E10)
          4
          种属
          Human
          类型
          Mouse Monoclonal
          应用
          WB ICC/IF Flow ELISA
          价格
          Special offer
          Online exclusive
          飞享价
          货号 MA5-15920

          100 µL

          Invitrogen
          RSK2 Polyclonal Antibody
          Invitrogen
          RSK2 Polyclonal Antibody
          4
          种属
          Human Mouse Rat
          类型
          Rabbit Polyclonal
          应用
          WB IHC (P)
          价格
          Special offer
          Online exclusive
          飞享价
          货号 PA5-78159

          100 µL

          Invitrogen
          RSK1/RSK2/RSK3 Monoclonal Antibody (F.940.7)
          Invitrogen
          RSK1/RSK2/RSK3 Monoclonal Antibody (F.940.7)
          4
          种属
          Guinea pig Human Mouse Non-human primate Rat
          类型
          Rabbit Monoclonal
          应用
          WB ICC/IF IP
          价格
          Special offer
          Online exclusive
          飞享价
          货号 MA5-15040

          100 µL

          Invitrogen
          Phospho-RSK2 (Ser369) Polyclonal Antibody
          Invitrogen
          Phospho-RSK2 (Ser369) Polyclonal Antibody
          3
          种属
          Human Mouse
          类型
          Rabbit Polyclonal
          应用
          WB IHC (P) ICC/IF
          价格
          Special offer
          Online exclusive
          飞享价
          货号 PA5-105586

          100 µL

          Invitrogen
          Phospho-RSK2 (Tyr529) Polyclonal Antibody
          Invitrogen
          Phospho-RSK2 (Tyr529) Polyclonal Antibody
          3
          种属
          Human Mouse Rat
          类型
          Rabbit Polyclonal
          应用
          WB IHC (P)
          价格
          Special offer
          Online exclusive
          飞享价
          货号 PA5-118784

          100 µL

          Invitrogen
          RSK2 Recombinant Rabbit Monoclonal Antibody (23GB1530)
          Invitrogen
          RSK2 Recombinant Rabbit Monoclonal Antibody (23GB1530)
          3
          种属
          Human Mouse Rat
          类型
          Rabbit Recombinant Monoclonal
          应用
          WB ICC/IF Flow
          价格
          Special offer
          Online exclusive
          飞享价
          货号 MA5-52592
          Invitrogen
          RSK2 Polyclonal Antibody
          Invitrogen
          RSK2 Polyclonal Antibody
          3
          种属
          Human Mouse Rat
          类型
          Rabbit Polyclonal
          应用
          WB
          价格
          Special offer
          Online exclusive
          飞享价
          货号 PA5-29214

          100 µL

          Invitrogen
          Phospho-RSK2 (Ser227) Polyclonal Antibody
          Invitrogen
          Phospho-RSK2 (Ser227) Polyclonal Antibody
          2
          种属
          Human Mouse
          类型
          Rabbit Polyclonal
          应用
          WB
          价格
          Special offer
          Online exclusive
          飞享价
          货号 PA5-78626

          100 µL

          Invitrogen
          Phospho-RSK2 (Ser227) Recombinant Rabbit Monoclonal Antibody (K01_1X96)
          Invitrogen
          Phospho-RSK2 (Ser227) Recombinant Rabbit Monoclonal Antibody (K01_1X96)
          2
          种属
          Human Mouse Rat
          类型
          Rabbit Recombinant Monoclonal
          应用
          WB
          价格
          Special offer
          Online exclusive
          飞享价
          货号 MA563419
          Invitrogen
          RSK2 Recombinant Rabbit Monoclonal Antibody (K01_2P36)
          Invitrogen
          RSK2 Recombinant Rabbit Monoclonal Antibody (K01_2P36)
          2
          种属
          Hamster Human
          类型
          Rabbit Recombinant Monoclonal
          应用
          WB IHC (P)
          价格
          Special offer
          Online exclusive
          飞享价
          货号 MA564198
          Invitrogen
          RSK1/RSK2/RSK3 Polyclonal Antibody
          Invitrogen
          RSK1/RSK2/RSK3 Polyclonal Antibody
          2
          种属
          Chicken Human Mouse Non-human primate Rat
          类型
          Rabbit Polyclonal
          应用
          WB
          价格
          Special offer
          Online exclusive
          飞享价
          货号 PA5-17680

          100 µL

          Abnova
          RPS6KA3 Polyclonal Antibody, MaxPab™
          Abnova
          RPS6KA3 Polyclonal Antibody, MaxPab™
          4
          种属
          Human Mouse
          类型
          Rabbit Polyclonal
          应用
          WB PLA
          价格
          Special offer
          Online exclusive
          飞享价
          货号 H00006197-D01P

          100 µg

          Invitrogen
          Phospho-RSK2 (Tyr529) Polyclonal Antibody
          Invitrogen
          Phospho-RSK2 (Tyr529) Polyclonal Antibody
          1
          种属
          Human Mouse
          类型
          Rabbit Polyclonal
          应用
          WB
          价格
          Special offer
          Online exclusive
          飞享价
          货号 PA5-101034

          100 µL

          Invitrogen
          Phospho-RSK2 (Tyr529) Polyclonal Antibody
          Invitrogen
          Phospho-RSK2 (Tyr529) Polyclonal Antibody
          1
          种属
          Human Mouse
          类型
          Rabbit Polyclonal
          应用
          WB
          价格
          Special offer
          Online exclusive
          飞享价
          货号 PA5-64852

          100 µL

          Invitrogen
          Phospho-RSK Pan (Ser221, Ser227, Ser218, Ser232) Polyclonal Antibody
          Invitrogen
          Phospho-RSK Pan (Ser221, Ser227, Ser218, Ser232) Polyclonal Antibody
          1
          种属
          Human Mouse Rat
          类型
          Rabbit Polyclonal
          应用
          WB ICC/IF
          价格
          Special offer
          Online exclusive
          飞享价
          货号 PA5-114638

          100 µL

          Bethyl Laboratories
          RSK2 Polyclonal Antibody
          Bethyl Laboratories
          RSK2 Polyclonal Antibody
          2
          种属
          Human Mouse
          类型
          Rabbit Polyclonal
          应用
          WB IHC IHC (P) IP
          价格
          Special offer
          Online exclusive
          飞享价
          货号 A302-460A
          Abnova
          RPS6KA3 Recombinant Rabbit Monoclonal Antibody
          Abnova
          RPS6KA3 Recombinant Rabbit Monoclonal Antibody
          2
          种属
          Hamster Human
          类型
          Rabbit Recombinant Monoclonal
          应用
          WB IHC (P) IP
          价格
          Special offer
          Online exclusive
          飞享价
          货号 RAB02608

          100 µL

          定制抗体服务

          查找我们没有的抗体?我们为特定的目标,种属和应用定制抗体。

          目前已产生18000多种定制抗体

          立刻联系专员
          guarantee_icon

          性能保障

          只要您发现Invitrogen抗体在实验中的表现与网站或说明书的所述内容不符,您即可享受免费退换货服务。*

          了解更多
          help_icon

          随时为您服务

          获取常见问题的专家解答,或者直接联系我们的技术专家,咨询应用、设备、常规产品使用问题。

          联系技术支持
          订购 Plus Icon Minus Icon
          • 订单状态查询
          • 订单支持
          • 货号直购
          • 现货供应中心
          • 电子采购
          支持 Plus Icon Minus Icon
          • 帮助&支持
          • 联系我们 - 400 820 8982
          • 技术支持中心
          • 查找文件&证书
          • 报告网站问题
          资源 Plus Icon Minus Icon
          • 学习中心
          • 促销
          • 活动&研讨会
          • 社交媒体
          关于赛默飞 Plus Icon Minus Icon
          • 关于我们
          • 招聘 招聘
          • 投资者关系 投资者关系
          • 新闻 新闻
          • 社会责任 社会责任
          • 商标
          • 政策和通知
          品牌 Plus Icon Minus Icon
          • Thermo Scientific
          • Applied Biosystems
          • Invitrogen
          • Gibco
          • Ion Torrent
          • Patheon
          • PPD
          • 服务条款
          • 隐私政策
          • 定价和运输保险政策
          © 2006-2025 Thermo Fisher Scientific Inc. All rights reserved. All trademarks are the property of Thermo Fisher Scientific and its subsidiaries unless otherwise specified.
          China flag icon
          China
          本网站销售的所有产品均不得用于人类或动物之临床诊断或治疗,仅可用于工业或者科研等非医疗目的。
             电子营业执照 | 经营证照公示 | ICP备案号:沪ICP备11003924号 | 沪公网安备 31011502006935号

          Your items have has been added!


          Host server : magellan-search-green-55658555d6-5d7ps:80/100.66.76.55:80.
          git-commit: ec8e7df5f8fec8d765bd419205f1b5046a016d37
          git-url: https://github.com/thermofisher/magellan-search
          git-branch: release/2.41.0-Offline