Hamburger Menu Button
Thermo Fisher Scientific Logo
登录
没有账号?建立账号 注册
  • 产品
    • 抗体
    • 引物合成
    • GeneArt Gene Synthesis Instant Designer
    • TaqMan Assay and Array Search
    • PCR 设备和耗材
    • 色谱柱和纯化柱
    • 实验室离心机
    • 分子生物学试剂和试剂盒
    • 实验室塑料耗材及用品
    • 查看所有产品分类
  • 应用和技术
    • 色谱
    • 细胞转染和培养
    • 实时荧光定量PCR
    • 质谱
    • 实验室塑料耗材及用品
    • 电子显微镜
    • 蛋白质生物学
    • PCR
    • RNAi
    • 环境
    • 查看所有应用和技术
  • 服务
    • 定制服务
    • 企业级实验室信息化服务
    • 金融&租赁服务
    • 仪器服务
    • OEM和商业供应
    • 培训服务
    • 360° CDMO 和 CRO 服务
    • CDMO 服务
    • 临床试验 CRO 服务
    • Unity Lab Services
    • 查看所有帮助和支持
  • 帮助和支持
    • 学习中心
    • 联系我们
    • 更改国家或地区
    • 查看所有帮助和支持
  • 热门产品
    • TaqMan Real-Time PCR Assays
      TaqMan 实时荧光定量 PCR 试剂盒
    • Antibodies
      抗体
    • Oligos, Primers & Probes
      寡核苷酸、引物、探针
    • GeneArt Gene Synthesis
      GeneArt 基因合成
    • Cell Culture Plastics
      细胞培养耗材
  • Who We Serve
    • 抗体治疗解决方案
    • 细胞与基因治疗解决方案
    • 学术科研
    • 工业与应用
  • 联系我们
  • 货号直购
  • 订单查询
  • 查找文件&证书
Thermo Fisher Scientific Logo

Search

搜索全部或下列指定分类
Search button
          • 联系我们
          • 货号直购
          • 登录
            登录
            没有账号?建立账号 注册
            • 我的账号
            • 订单
            • 会员中心
            • 账单及发票查询
            • 定制产品及项目
          • Primary Antibodies ›
          • by Target

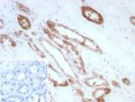
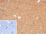
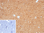
          Creatine Kinase BB Antibodies

          Antibodies that detect Creatine Kinase BB can be used in several scientific applications, including Immunohistochemistry, Western Blot, ELISA, Immunocytochemistry and Flow Cytometry. These antibodies target Creatine Kinase BB in Human, Mouse, Rat, Zebrafish and Porcine samples. Our... Antibodies that detect Creatine Kinase BB can be used in several scientific applications, including Immunohistochemistry, Western Blot, ELISA, Immunocytochemistry and Flow Cytometry. These antibodies target Creatine Kinase BB in Human, Mouse, Rat, Zebrafish and Porcine samples. Our Creatine Kinase BB recombinant monoclonal, monoclonal... Antibodies that detect Creatine Kinase BB can be used in several scientific applications, including Immunohistochemistry, Western Blot, ELISA, Immunocytochemistry and Flow Cytometry. These antibodies target Creatine Kinase BB in Human, Mouse, Rat, Zebrafish and Porcine samples. Our Creatine Kinase BB recombinant monoclonal, monoclonal and polyclonal antibodies are developed in Mouse, Rabbit and Goat. Find the Creatine Kinase BB antibody that fits your needs. Choose from 1 of 66 Creatine Kinase BB antibodies, which have been validated in experiments with 8 publications and 177 images featured in our data gallery.

          Browse primary antibodies for WB, Flow, IHC, ICC/IF, ELISA, IP, and other applications. Antibodies with Advanced...
          Antibodies that detect Creatine Kinase BB can be used in several scientific applications, including Immunohistochemistry, Western Blot, ELISA, Immunocytochemistry and Flow Cytometry. These antibodies target Creatine Kinase BB in Human, Mouse, Rat, Zebrafish and Porcine samples. Our Creatine Kinase BB recombinant monoclonal, monoclonal and polyclonal antibodies are developed in Mouse, Rabbit and Goat. Find the Creatine Kinase BB antibody that fits your needs. Choose from 1 of 66 Creatine Kinase BB antibodies, which have been validated in experiments with 8 publications and 177 images featured in our data gallery.

          Browse primary antibodies for WB, Flow, IHC, ICC/IF, ELISA, IP, and other applications. Antibodies with Advanced Verification data have been validated for specificity to ensure that the antibody binds to the antigen stated. If you cannot find the antibody you’re looking for, contact us today to develop custom antibodies for specific targets, species and applications.

          靶标信息

          The protein encoded by this gene is a cytoplasmic enzyme involved in energy homeostasis. The encoded protein reversibly catalyzes the transfer of phosphate between ATP and various phosphogens such as creatine phosphate. It acts as a homodimer in brain as well as in other tissues, and as a heterodimer with a similar muscle isozyme in heart. The encoded protein is a member of the ATP:guanido phosphotransferase protein family. A pseudogene of this gene has been characterized.

          同义词

          Bck; B-CK; brain creatine kinase; Ck3; Ck-3; CKB; Ckbb; Ckbr; CPK-B; creatine kinase B; creatine kinase B chain; creatine kinase brain; creatine kinase brain-type; Creatine kinase B-type; creatine kinase, brain; creatine kinase-B; Creatine phosphokinase B-type; Creatine phosphokinase M-type; epididymis luminal protein 211; epididymis secretory protein Li 29; HEL-211; HEL-S-29

          查看更多
          收起
          • 检索
          • 产品
          • 结果图
          • 抗原
          • Panel Builder Link 快来联系科学家一起配色!
          • Wyoming Western Blot Tool Link Match your protein to the right gel
          • Wyoming Stain-iT Tool Link Try the Stain-iT cell staining simulator
          • Wyoming ELISA Tool Link Customize assays with the ELISA Builder
          筛选

          Disclaimer

          Close

          Clicking the images or links will redirect you to a website hosted by BenchSci that provides third-party scientific content. Neither the content nor the BenchSci technology and processes for selection have been evaluated by us; we are providing them as-is and without warranty of any kind, including for use or application of the Thermo Fisher Scientific products presented.

          筛选
          筛选
          Show Less
          +-2
          Clear All
          更多
          更少
          59个结果
          种属
          类型
          应用
          价格
          对比
          59个结果
          Invitrogen
          Creatine Kinase BB Polyclonal Antibody
          Invitrogen
          Creatine Kinase BB Polyclonal Antibody
          6
          种属
          Human Mouse Rat Zebrafish
          类型
          Rabbit Polyclonal
          应用
          WB IHC (P) IHC (F) ICC/IF
          价格
          Special offer
          Online exclusive
          飞享价
          货号 PA5-27509

          100 µL

          Invitrogen
          Creatine Kinase BB Recombinant Rabbit Monoclonal Antibody (10G4)
          Invitrogen
          Creatine Kinase BB Recombinant Rabbit Monoclonal Antibody (10G4)
          8
          种属
          Human Mouse Rat
          类型
          Rabbit Recombinant Monoclonal
          应用
          WB IHC (P) IHC (F) ICC/IF Flow IP
          价格
          Special offer
          Online exclusive
          飞享价
          货号 MA572860

          100 µL

          Invitrogen
          Creatine Kinase BB Recombinant Rabbit Monoclonal Antibody (1G10U9)
          Invitrogen
          Creatine Kinase BB Recombinant Rabbit Monoclonal Antibody (1G10U9)
          3
          种属
          Human Mouse Rat
          类型
          Rabbit Recombinant Monoclonal
          应用
          WB IHC (P) ELISA
          价格
          Special offer
          Online exclusive
          飞享价
          货号 MA5-38126

          100 µL

          Invitrogen
          Creatine Kinase BB Recombinant Rabbit Monoclonal Antibody (23GB3790)
          Invitrogen
          Creatine Kinase BB Recombinant Rabbit Monoclonal Antibody (23GB3790)
          3
          种属
          Human
          类型
          Rabbit Recombinant Monoclonal
          应用
          WB ICC/IF Flow
          价格
          Special offer
          Online exclusive
          飞享价
          货号 MA5-52632
          Invitrogen
          Creatine Kinase BB Recombinant Rabbit Monoclonal Antibody (K01_3L25)
          Invitrogen
          Creatine Kinase BB Recombinant Rabbit Monoclonal Antibody (K01_3L25)
          3
          种属
          Human Mouse Rat
          类型
          Rabbit Recombinant Monoclonal
          应用
          WB IHC (P)
          价格
          Special offer
          Online exclusive
          飞享价
          货号 MA564386
          Invitrogen
          Creatine Kinase BB Recombinant Rabbit Monoclonal Antibody (PSH09-32)
          Invitrogen
          Creatine Kinase BB Recombinant Rabbit Monoclonal Antibody (PSH09-32)
          3
          种属
          Human Mouse Rat
          类型
          Rabbit Recombinant Monoclonal
          应用
          WB ICC/IF Flow
          价格
          Special offer
          Online exclusive
          飞享价
          货号 MA570079

          100 µL

          Invitrogen
          Creatine Kinase BB Recombinant Rabbit Monoclonal Antibody (K01_3L24)
          Invitrogen
          Creatine Kinase BB Recombinant Rabbit Monoclonal Antibody (K01_3L24)
          2
          种属
          Human Mouse Rat
          类型
          Rabbit Recombinant Monoclonal
          应用
          WB IHC (P)
          价格
          Special offer
          Online exclusive
          飞享价
          货号 MA564385
          NeoBiotechnologies
          Creatine Phosphokinase-BB (CK-BB) Recombinant Rabbit Monoclonal Antibody (CKBB/8306R)
          NeoBiotechnologies
          Creatine Phosphokinase-BB (CK-BB) Recombinant Rabbit Monoclonal Antibody (CKBB/8306R)
          7
          种属
          Human
          类型
          Rabbit Recombinant Monoclonal
          应用
          WB IHC (P)
          价格
          Special offer
          Online exclusive
          飞享价
          货号 1152-RBM13-P1
          NeoBiotechnologies
          Creatine Phosphokinase-BB (CK-BB) Recombinant Rabbit Monoclonal Antibody (CKBB/8306R)
          NeoBiotechnologies
          Creatine Phosphokinase-BB (CK-BB) Recombinant Rabbit Monoclonal Antibody (CKBB/8306R)
          7
          种属
          Human
          类型
          Rabbit Recombinant Monoclonal
          应用
          WB IHC (P)
          价格
          Special offer
          Online exclusive
          飞享价
          货号 1152-RBM13-P1ABX

          100 µg

          Invitrogen
          Creatine Kinase BB Monoclonal Antibody (D9)
          Invitrogen
          Creatine Kinase BB Monoclonal Antibody (D9)
          7
          种属
          Human Pig
          类型
          Mouse Monoclonal
          应用
          WB IHC (P) ICC/IF
          价格
          Special offer
          Online exclusive
          飞享价
          货号 MA566112

          200 µL

          Invitrogen
          Creatine Kinase BB Monoclonal Antibody (24GB7005)
          Invitrogen
          Creatine Kinase BB Monoclonal Antibody (24GB7005)
          4
          种属
          Human
          类型
          Mouse Monoclonal
          应用
          WB ICC/IF Flow
          价格
          Special offer
          Online exclusive
          飞享价
          货号 MA570423
          NeoBiotechnologies
          Creatine Phosphokinase-BB (CK-BB) Recombinant Rabbit Monoclonal Antibody (CKBB/8295R)
          NeoBiotechnologies
          Creatine Phosphokinase-BB (CK-BB) Recombinant Rabbit Monoclonal Antibody (CKBB/8295R)
          2
          种属
          Human
          类型
          Rabbit Recombinant Monoclonal
          应用
          WB IHC (P)
          价格
          Special offer
          Online exclusive
          飞享价
          货号 1152-RBM12-P1
          NeoBiotechnologies
          Creatine Phosphokinase-BB (CK-BB) Recombinant Rabbit Monoclonal Antibody (CKBB/8295R)
          NeoBiotechnologies
          Creatine Phosphokinase-BB (CK-BB) Recombinant Rabbit Monoclonal Antibody (CKBB/8295R)
          2
          种属
          Human
          类型
          Rabbit Recombinant Monoclonal
          应用
          WB IHC (P)
          价格
          Special offer
          Online exclusive
          飞享价
          货号 1152-RBM12-P1ABX

          100 µg

          NeoBiotechnologies
          Creatine Phosphokinase-BB (CK-BB) Recombinant Rabbit Monoclonal Antibody (CKBB/8310R)
          NeoBiotechnologies
          Creatine Phosphokinase-BB (CK-BB) Recombinant Rabbit Monoclonal Antibody (CKBB/8310R)
          2
          种属
          Human
          类型
          Rabbit Recombinant Monoclonal
          应用
          WB IHC (P)
          价格
          Special offer
          Online exclusive
          飞享价
          货号 1152-RBM15-P1
          NeoBiotechnologies
          Creatine Phosphokinase-BB (CK-BB) Recombinant Rabbit Monoclonal Antibody (CKBB/8310R)
          NeoBiotechnologies
          Creatine Phosphokinase-BB (CK-BB) Recombinant Rabbit Monoclonal Antibody (CKBB/8310R)
          2
          种属
          Human
          类型
          Rabbit Recombinant Monoclonal
          应用
          WB IHC (P)
          价格
          Special offer
          Online exclusive
          飞享价
          货号 1152-RBM15-P1ABX

          100 µg

          NeoBiotechnologies
          Creatine Phosphokinase-BB (CK-BB) Recombinant Mouse Monoclonal Antibody (rCKBB/8839)
          NeoBiotechnologies
          Creatine Phosphokinase-BB (CK-BB) Recombinant Mouse Monoclonal Antibody (rCKBB/8839)
          1
          种属
          Human
          类型
          Mouse Recombinant Monoclonal
          应用
          WB IHC (P) ELISA
          价格
          Special offer
          Online exclusive
          飞享价
          货号 1152-MSM18-P1
          NeoBiotechnologies
          Creatine Phosphokinase-BB (CK-BB) Recombinant Mouse Monoclonal Antibody (rCKBB/8839)
          NeoBiotechnologies
          Creatine Phosphokinase-BB (CK-BB) Recombinant Mouse Monoclonal Antibody (rCKBB/8839)
          1
          种属
          Human
          类型
          Mouse Recombinant Monoclonal
          应用
          WB IHC (P) ELISA
          价格
          Special offer
          Online exclusive
          飞享价
          货号 1152-MSM18-P1ABX

          100 µg

          NeoBiotechnologies
          Creatine Phosphokinase-BB (CK-BB) Recombinant Mouse Monoclonal Antibody (rCKBB/8841)
          NeoBiotechnologies
          Creatine Phosphokinase-BB (CK-BB) Recombinant Mouse Monoclonal Antibody (rCKBB/8841)
          1
          种属
          Human
          类型
          Mouse Recombinant Monoclonal
          应用
          IHC (P)
          价格
          Special offer
          Online exclusive
          飞享价
          货号 1152-MSM20-P1
          NeoBiotechnologies
          Creatine Phosphokinase-BB (CK-BB) Recombinant Mouse Monoclonal Antibody (rCKBB/8841)
          NeoBiotechnologies
          Creatine Phosphokinase-BB (CK-BB) Recombinant Mouse Monoclonal Antibody (rCKBB/8841)
          1
          种属
          Human
          类型
          Mouse Recombinant Monoclonal
          应用
          IHC (P)
          价格
          Special offer
          Online exclusive
          飞享价
          货号 1152-MSM20-P1ABX

          100 µg

          NeoBiotechnologies
          Creatine Phosphokinase-BB (CK-BB) Recombinant Mouse Monoclonal Antibody (rCKBB/8842)
          NeoBiotechnologies
          Creatine Phosphokinase-BB (CK-BB) Recombinant Mouse Monoclonal Antibody (rCKBB/8842)
          1
          种属
          Human
          类型
          Mouse Recombinant Monoclonal
          应用
          IHC (P)
          价格
          Special offer
          Online exclusive
          飞享价
          货号 1152-MSM21-P1
          NeoBiotechnologies
          Creatine Phosphokinase-BB (CK-BB) Recombinant Mouse Monoclonal Antibody (rCKBB/8842)
          NeoBiotechnologies
          Creatine Phosphokinase-BB (CK-BB) Recombinant Mouse Monoclonal Antibody (rCKBB/8842)
          1
          种属
          Human
          类型
          Mouse Recombinant Monoclonal
          应用
          IHC (P)
          价格
          Special offer
          Online exclusive
          飞享价
          货号 1152-MSM21-P1ABX

          100 µg

          NeoBiotechnologies
          Creatine Phosphokinase-BB (CK-BB) Recombinant Mouse Monoclonal Antibody (rCKBB/8844)
          NeoBiotechnologies
          Creatine Phosphokinase-BB (CK-BB) Recombinant Mouse Monoclonal Antibody (rCKBB/8844)
          1
          种属
          Human
          类型
          Mouse Recombinant Monoclonal
          应用
          IHC (P)
          价格
          Special offer
          Online exclusive
          飞享价
          货号 1152-MSM23-P1
          NeoBiotechnologies
          Creatine Phosphokinase-BB (CK-BB) Recombinant Mouse Monoclonal Antibody (rCKBB/8844)
          NeoBiotechnologies
          Creatine Phosphokinase-BB (CK-BB) Recombinant Mouse Monoclonal Antibody (rCKBB/8844)
          1
          种属
          Human
          类型
          Mouse Recombinant Monoclonal
          应用
          IHC (P)
          价格
          Special offer
          Online exclusive
          飞享价
          货号 1152-MSM23-P1ABX

          100 µg

          NeoBiotechnologies
          Creatine Phosphokinase-BB (CK-BB) Recombinant Rabbit Monoclonal Antibody (CKBB/8608R)
          NeoBiotechnologies
          Creatine Phosphokinase-BB (CK-BB) Recombinant Rabbit Monoclonal Antibody (CKBB/8608R)
          1
          种属
          Human
          类型
          Rabbit Recombinant Monoclonal
          应用
          IHC (P)
          价格
          Special offer
          Online exclusive
          飞享价
          货号 1152-RBM16-P1
          NeoBiotechnologies
          Creatine Phosphokinase-BB (CK-BB) Recombinant Rabbit Monoclonal Antibody (CKBB/8608R)
          NeoBiotechnologies
          Creatine Phosphokinase-BB (CK-BB) Recombinant Rabbit Monoclonal Antibody (CKBB/8608R)
          1
          种属
          Human
          类型
          Rabbit Recombinant Monoclonal
          应用
          IHC (P)
          价格
          Special offer
          Online exclusive
          飞享价
          货号 1152-RBM16-P1ABX

          100 µg

          定制抗体服务

          查找我们没有的抗体?我们为特定的目标,种属和应用定制抗体。

          目前已产生18000多种定制抗体

          立刻联系专员
          guarantee_icon

          性能保障

          只要您发现Invitrogen抗体在实验中的表现与网站或说明书的所述内容不符,您即可享受免费退换货服务。*

          了解更多
          help_icon

          随时为您服务

          获取常见问题的专家解答,或者直接联系我们的技术专家,咨询应用、设备、常规产品使用问题。

          联系技术支持
          订购 Plus Icon Minus Icon
          • 订单状态查询
          • 订单支持
          • 货号直购
          • 现货供应中心
          • 电子采购
          支持 Plus Icon Minus Icon
          • 帮助&支持
          • 联系我们 - 400 820 8982
          • 技术支持中心
          • 查找文件&证书
          • 报告网站问题
          资源 Plus Icon Minus Icon
          • 学习中心
          • 促销
          • 活动&研讨会
          • 社交媒体
          关于赛默飞 Plus Icon Minus Icon
          • 关于我们
          • 招聘 招聘
          • 投资者关系 投资者关系
          • 新闻 新闻
          • 社会责任 社会责任
          • 商标
          • 政策和通知
          品牌 Plus Icon Minus Icon
          • Thermo Scientific
          • Applied Biosystems
          • Invitrogen
          • Gibco
          • Ion Torrent
          • Unity Lab Services
          • Patheon
          • PPD
          • 服务条款
          • 隐私政策
          • 定价和运输保险政策
          © 2006-2026 Thermo Fisher Scientific Inc. All rights reserved. All trademarks are the property of Thermo Fisher Scientific and its subsidiaries unless otherwise specified.
          China flag icon
          China
          本网站销售的所有产品均不得用于人类或动物之临床诊断或治疗,仅可用于工业或者科研等非医疗目的。
             电子营业执照 | 经营证照公示 | ICP备案号:沪ICP备11003924号 | 沪公网安备 31011502006935号

          Your items have has been added!


          Host server : magellan-search-blue-7c59b9b899-7wltc:80/100.66.72.81:80.
          git-commit: 8ef7cf686e3c81d28b13492708ce56d167b2f995
          git-url: https://github.com/thermofisher/magellan-search
          git-branch: release/2.49.0-Offline