Hamburger Menu Button
Thermo Fisher Scientific Logo
登录
没有账号?建立账号 注册
  • 产品
    • 抗体
    • 引物合成
    • GeneArt Gene Synthesis Instant Designer
    • TaqMan Assay and Array Search
    • PCR 设备和耗材
    • 色谱柱和纯化柱
    • 实验室离心机
    • 分子生物学试剂和试剂盒
    • 实验室塑料耗材及用品
    • 查看所有产品分类
  • 应用和技术
    • 色谱
    • 细胞转染和培养
    • 实时荧光定量PCR
    • 质谱
    • 实验室塑料耗材及用品
    • 电子显微镜
    • 蛋白质生物学
    • PCR
    • RNAi
    • 环境
    • 查看所有应用和技术
  • 服务
    • 定制服务
    • 企业级实验室信息化服务
    • 金融&租赁服务
    • 仪器服务
    • OEM和商业供应
    • 培训服务
    • 360° CDMO 和 CRO 服务
    • CDMO 服务
    • 临床试验 CRO 服务
    • Unity Lab Services
    • 查看所有帮助和支持
  • 帮助和支持
    • 学习中心
    • 联系我们
    • 更改国家或地区
    • 查看所有帮助和支持
  • 热门产品
    • TaqMan Real-Time PCR Assays
      TaqMan 实时荧光定量 PCR 试剂盒
    • Antibodies
      抗体
    • Oligos, Primers & Probes
      寡核苷酸、引物、探针
    • GeneArt Gene Synthesis
      GeneArt 基因合成
    • Cell Culture Plastics
      细胞培养耗材
  • Who We Serve
    • 抗体治疗解决方案
    • 细胞与基因治疗解决方案
    • 学术科研
    • 工业与应用
  • 联系我们
  • 货号直购
  • 订单查询
  • 查找文件&证书
Thermo Fisher Scientific Logo

Search

搜索全部或下列指定分类
Search button
          • 联系我们
          • 货号直购
          • 登录
            登录
            没有账号?建立账号 注册
            • 我的账号
            • 订单
            • 会员中心
            • 账单及发票查询
            • 定制产品及项目
          • Primary Antibodies ›
          • by Target

          PTPRM Antibodies

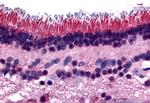
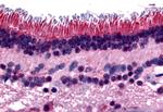
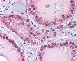
          Antibodies that detect PTPRM can be used in several scientific applications, including Immunohistochemistry, Western Blot, Immunocytochemistry, Immunoprecipitation and ELISA. These antibodies target PTPRM in Human, Mouse, Rabbit, Rat and Bovine samples. Our PTPRM polyclonal... Antibodies that detect PTPRM can be used in several scientific applications, including Immunohistochemistry, Western Blot, Immunocytochemistry, Immunoprecipitation and ELISA. These antibodies target PTPRM in Human, Mouse, Rabbit, Rat and Bovine samples. Our PTPRM polyclonal and monoclonal antibodies are... Antibodies that detect PTPRM can be used in several scientific applications, including Immunohistochemistry, Western Blot, Immunocytochemistry, Immunoprecipitation and ELISA. These antibodies target PTPRM in Human, Mouse, Rabbit, Rat and Bovine samples. Our PTPRM polyclonal and monoclonal antibodies are developed in Rabbit, Mouse and Goat. Find the PTPRM antibody that fits your needs. Choose from 1 of 9 PTPRM antibodies, which have been validated in experiments with 10 images featured in our data gallery.

          Browse primary antibodies for WB, Flow, IHC, ICC/IF, ELISA, IP, and other applications. Antibodies with Advanced Verification data have been validated for specificity to ensure that the antibody binds to the antigen stated. If you cannot...
          Antibodies that detect PTPRM can be used in several scientific applications, including Immunohistochemistry, Western Blot, Immunocytochemistry, Immunoprecipitation and ELISA. These antibodies target PTPRM in Human, Mouse, Rabbit, Rat and Bovine samples. Our PTPRM polyclonal and monoclonal antibodies are developed in Rabbit, Mouse and Goat. Find the PTPRM antibody that fits your needs. Choose from 1 of 9 PTPRM antibodies, which have been validated in experiments with 10 images featured in our data gallery.

          Browse primary antibodies for WB, Flow, IHC, ICC/IF, ELISA, IP, and other applications. Antibodies with Advanced Verification data have been validated for specificity to ensure that the antibody binds to the antigen stated. If you cannot find the antibody you’re looking for, contact us today to develop custom antibodies for specific targets, species and applications.

          靶标信息

          The protein encoded by this gene is a member of the protein tyrosine phosphatase (PTP) family. PTPs are known to be signaling molecules that regulate a variety of cellular processes including cell growth, differentiation, mitotic cycle, and oncogenic transformation. This PTP possesses an extracellular region, a single transmembrane region, and two tandem catalytic domains, and thus represents a receptor-type PTP. The extracellular region contains a meprin-A5 antigen-PTP mu (MAM) domain, an Ig-like domain and four fibronectin type III-like repeats. This PTP has been shown to mediate cell-cell aggregation through the interaction with another molecule of this PTP on an adjacent cell. This PTP can interact with scaffolding protein RACK1/GNB2L1, which may be necessary for the downstream signaling in response to cell-cell adhesion. Alternative splicing results in multiple transcripts encoding distinct isoforms.

          同义词

          hR-PTPu; Kiaa4044; MGC166994; mKIAA4044; protein tyrosine phosphatase mu; protein tyrosine phosphatase receptor type M; protein tyrosine phosphatase receptor-type M; protein tyrosine phosphatase, receptor type M; protein tyrosine phosphatase, receptor type, M; protein tyrosine phosphatase, receptor type, mu polypeptide; protein tyrosine phosphatase, receptor-type, M; protein-tyrosine phosphatase mu; PTP mu; Ptpmu; PTPRL1; PTPRM; receptor-type tyrosine-protein phosphatase mu; RPTPM; RPTPmu; R-PTP-MU; RPTPU

          查看更多
          收起
          • 检索
          • 产品
          • 结果图
          • 抗原
          • Panel Builder Link 快来联系科学家一起配色!
          • Wyoming Western Blot Tool Link Match your protein to the right gel
          • Wyoming Stain-iT Tool Link Try the Stain-iT cell staining simulator
          • Wyoming ELISA Tool Link Customize assays with the ELISA Builder
          筛选

          Disclaimer

          Close

          Clicking the images or links will redirect you to a website hosted by BenchSci that provides third-party scientific content. Neither the content nor the BenchSci technology and processes for selection have been evaluated by us; we are providing them as-is and without warranty of any kind, including for use or application of the Thermo Fisher Scientific products presented.

          筛选
          筛选
          Show Less
          +-2
          Clear All
          更多
          更少
          7个结果
          种属
          类型
          应用
          价格
          对比
          7个结果
          Invitrogen
          PTPRM Monoclonal Antibody (1H6D10)
          Invitrogen
          PTPRM Monoclonal Antibody (1H6D10)
          3
          种属
          Human
          类型
          Mouse Monoclonal
          应用
          WB ELISA
          价格
          Special offer
          Online exclusive
          飞享价
          货号 MA5-31874

          100 µL

          Invitrogen
          PTPRM Polyclonal Antibody
          Invitrogen
          PTPRM Polyclonal Antibody
          2
          种属
          Human
          类型
          Goat Polyclonal
          应用
          WB IHC (P)
          价格
          Special offer
          Online exclusive
          飞享价
          货号 PA5-142321

          100 µg

          Invitrogen
          PTPRM Polyclonal Antibody
          Invitrogen
          PTPRM Polyclonal Antibody
          1
          种属
          Bovine Dog Human Non-human primate Rabbit
          类型
          Rabbit Polyclonal
          应用
          IHC (P)
          价格
          Special offer
          Online exclusive
          飞享价
          货号 PA5-33009

          50 µg

          Invitrogen
          PTPRM Polyclonal Antibody
          Invitrogen
          PTPRM Polyclonal Antibody
          1
          种属
          Horse Hamster Human Mouse Rabbit Rat
          类型
          Rabbit Polyclonal
          应用
          IHC (P)
          价格
          Special offer
          Online exclusive
          飞享价
          货号 PA5-33010

          50 µg

          Invitrogen
          PTPRM Polyclonal Antibody
          Invitrogen
          PTPRM Polyclonal Antibody
          1
          种属
          Bat Bovine Horse Hamster Human Mouse Non-human primate Rabbit ...
          类型
          Rabbit Polyclonal
          应用
          IHC (P)
          价格
          Special offer
          Online exclusive
          飞享价
          货号 PA5-34142

          50 µg

          Invitrogen
          PTPRM Polyclonal Antibody
          Invitrogen
          PTPRM Polyclonal Antibody
          1
          种属
          Human Mouse Pig
          类型
          Rabbit Polyclonal
          应用
          IHC (P)
          价格
          Special offer
          Online exclusive
          飞享价
          货号 PA5149808

          200 µL

          Invitrogen
          PTPRM Polyclonal Antibody
          Invitrogen
          PTPRM Polyclonal Antibody
          1
          种属
          Human
          类型
          Rabbit Polyclonal
          应用
          ICC/IF
          价格
          Special offer
          Online exclusive
          飞享价
          货号 PA5-110675

          100 µL

          定制抗体服务

          查找我们没有的抗体?我们为特定的目标,种属和应用定制抗体。

          目前已产生18000多种定制抗体

          立刻联系专员
          guarantee_icon

          性能保障

          只要您发现Invitrogen抗体在实验中的表现与网站或说明书的所述内容不符,您即可享受免费退换货服务。*

          了解更多
          help_icon

          随时为您服务

          获取常见问题的专家解答,或者直接联系我们的技术专家,咨询应用、设备、常规产品使用问题。

          联系技术支持
          订购 Plus Icon Minus Icon
          • 订单状态查询
          • 订单支持
          • 货号直购
          • 现货供应中心
          • 电子采购
          支持 Plus Icon Minus Icon
          • 帮助&支持
          • 联系我们 - 400 820 8982
          • 技术支持中心
          • 查找文件&证书
          • 报告网站问题
          资源 Plus Icon Minus Icon
          • 学习中心
          • 促销
          • 活动&研讨会
          • 社交媒体
          关于赛默飞 Plus Icon Minus Icon
          • 关于我们
          • 招聘 招聘
          • 投资者关系 投资者关系
          • 新闻 新闻
          • 社会责任 社会责任
          • 商标
          • 政策和通知
          品牌 Plus Icon Minus Icon
          • Thermo Scientific
          • Applied Biosystems
          • Invitrogen
          • Gibco
          • Ion Torrent
          • Unity Lab Services
          • Patheon
          • PPD
          • 服务条款
          • 隐私政策
          • 定价和运输保险政策
          © 2006-2026 Thermo Fisher Scientific Inc. All rights reserved. All trademarks are the property of Thermo Fisher Scientific and its subsidiaries unless otherwise specified.
          China flag icon
          China
          本网站销售的所有产品均不得用于人类或动物之临床诊断或治疗,仅可用于工业或者科研等非医疗目的。
             电子营业执照 | 经营证照公示 | ICP备案号:沪ICP备11003924号 | 沪公网安备 31011502006935号

          Your items have has been added!


          Host server : magellan-search-blue-7c59b9b899-7wltc:80/100.66.72.81:80.
          git-commit: 8ef7cf686e3c81d28b13492708ce56d167b2f995
          git-url: https://github.com/thermofisher/magellan-search
          git-branch: release/2.49.0-Offline