Hamburger Menu Button
Thermo Fisher Scientific Logo
Sign in
Don't have an account ? Create Account
  • Products
    • Antibodies
    • Custom DNA Oligos
    • GeneArt Gene Synthesis Instant Designer
    • TaqMan Assay and Array Search
    • PCR Equipment and Supplies
    • Chromatography Columns and Cartridges
    • Lab Centrifuges
    • Molecular Biology Reagents and Kits
    • Lab Plasticware and Supplies
    • See all product categories
  • Applications
    • Chromatography
    • Cell Culture
    • Real-Time PCR
    • Mass Spectrometry
    • Lab Plasticware and Supplies
    • Electron Microscopy
    • Protein Biology
    • PCR
    • RNAi
    • Environmental
    • See all applications and techniques
  • Services
    • Custom Services
    • Enterprise-Level Lab Informatics
    • Enterprise Services
    • Financial and Leasing Services
    • Instrument Services
    • OEM and Commercial Supply
    • Training Services
    • 360° CDMO and CRO Solutions
    • CDMO Services
    • CRO Services
    • See all services
  • Help and Support
    • Learning Centers
    • Contact Us
    • Change Location
    • See all help and support topics
  • Popular
    • TaqMan Real-Time PCR Assays
      TaqMan Real-Time PCR Assays
    • Antibodies
      Antibodies
    • Oligos, Primers & Probes
      Oligos, Primers & Probes
    • GeneArt Gene Synthesis
      GeneArt Gene Synthesis
    • Cell Culture Plastics
      Cell Culture Plastics
  • Contact Us
  • Quick Order
  • Order Status and Tracking
  • Documents and Certificates
Thermo Fisher Scientific Logo

Search

Search All
Search button
          • Contact Us
          • Quick Order
          • Sign in
            Sign in
            Don't have an account ? Create Account
            • Account
            • Check Order Status
            • AR Statement & Invoice Inquiry
            • Custom Products & Projects
            • Instrument Management
          • Primary Antibodies ›
          • by Target

          Thrombomodulin (CD141) Antibodies

          Antibodies that detect Thrombomodulin (CD141) can be used in several scientific applications, including Western Blot, Flow Cytometry, Immunohistochemistry, Immunocytochemistry and ELISA. These antibodies target Thrombomodulin (CD141) in Human, Mouse and Rat samples. Our... Antibodies that detect Thrombomodulin (CD141) can be used in several scientific applications, including Western Blot, Flow Cytometry, Immunohistochemistry, Immunocytochemistry and ELISA. These antibodies target Thrombomodulin (CD141) in Human, Mouse and Rat samples. Our Thrombomodulin (CD141) monoclonal, polyclonal and... Antibodies that detect Thrombomodulin (CD141) can be used in several scientific applications, including Western Blot, Flow Cytometry, Immunohistochemistry, Immunocytochemistry and ELISA. These antibodies target Thrombomodulin (CD141) in Human, Mouse and Rat samples. Our Thrombomodulin (CD141) monoclonal, polyclonal and recombinant monoclonal antibodies are developed in Rabbit, Mouse, Rat and Goat. These antibodies have been verified by Relative expression to confirm specificity to Thrombomodulin (CD141). Find the Thrombomodulin (CD141) antibody that fits your needs. Choose from 1 of 72 Thrombomodulin (CD141) antibodies, which have been validated in experiments with 57 publications and 128 images featured in... Antibodies that detect Thrombomodulin (CD141) can be used in several scientific applications, including Western Blot, Flow Cytometry, Immunohistochemistry, Immunocytochemistry and ELISA. These antibodies target Thrombomodulin (CD141) in Human, Mouse and Rat samples. Our Thrombomodulin (CD141) monoclonal, polyclonal and recombinant monoclonal antibodies are developed in Rabbit, Mouse, Rat and Goat. These antibodies have been verified by Relative expression to confirm specificity to Thrombomodulin (CD141). Find the Thrombomodulin (CD141) antibody that fits your needs. Choose from 1 of 72 Thrombomodulin (CD141) antibodies, which have been validated in experiments with 57 publications and 128 images featured in our data gallery.

          Browse primary antibodies for WB, Flow, IHC, ICC/IF, ELISA, IP, and other applications. Antibodies with Advanced Verification data have been validated for specificity to ensure that the antibody binds to the antigen stated. If you cannot find the antibody you’re looking for, contact us today to develop custom antibodies for specific targets, species and applications.

          Target Information

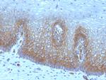
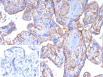
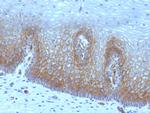
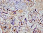
          Thrombomodulin (TM) is also known as Fetomodulin (FM), endothelial anticoagulant protein, or glycoprotein P112. Thrombomodulin contains six repeated domains homologous with epidermal growth factor (EGF) and an amino terminal domain homologous to lectin-like protein. Through its accelerated activation of protein C, synthesis of TM is one of several mechanisms important in maintaining thrombo-resistance and thus reducing clot formation on the surface of the endothelial cells. Immunohistochemical staining of formalin-fixed tissue for TM has been used for the study of a variety of vascular tumors, meningiomas and choriocarcinomas.

          Synonyms

          AHUS6; AI385582; BDCA3; BDCA-3; CD141; CD141 antigen; DC141; fetomodulin; sCD141; snoRNA MBII-339; soluble CD141; THBD; THPH12; THRM; thrombomdulin; thrombomodulin; thrombomodulin precursor; TM

          View more
          View less
          • Search by
          • Products
          • Images
          • Epitopes
          • Panel Builder Link Try our free panel design service
          • Wyoming Western Blot Tool Link Match your protein to the right gel
          • Wyoming Stain-iT Tool Link Try the Stain-iT cell staining simulator
          • Wyoming ELISA Tool Link Customize assays with the ELISA Builder
          Filters

          Disclaimer

          Clicking the images or links will redirect you to a website hosted by BenchSci that provides third-party scientific content. Neither the content nor the BenchSci technology and processes for selection have been evaluated by us; we are providing them as-is and without warranty of any kind, including for use or application of the Thermo Fisher Scientific products presented.

          Filters
          Filters
          Show Less
          +-2
          Clear All
          More
          Less
          43 results
          Target
          Details
          Application
          Price
          Compare
          43 results
          Invitrogen
          CD141 Monoclonal Antibody (JAA17), APC, eBioscience™
          Invitrogen
          CD141 Monoclonal Antibody (JAA17), APC, eBioscience™
          1
          Target
          Human
          Details
          Mouse Monoclonal
          Application
          Flow
          Price
          Special offer
          Online exclusive
          Online offer:
          Cat # 17-1419-42

          100 Tests

          Invitrogen
          CD141 Monoclonal Antibody (JAA17), FITC, eBioscience™
          Invitrogen
          CD141 Monoclonal Antibody (JAA17), FITC, eBioscience™
          1
          Target
          Human
          Details
          Mouse Monoclonal
          Application
          Flow
          Price
          Special offer
          Online exclusive
          Online offer:
          Cat # 11-1419-42
          Invitrogen
          CD141 Recombinant Mouse Monoclonal Antibody (JAA17)
          Invitrogen
          CD141 Recombinant Mouse Monoclonal Antibody (JAA17)
          Advanced Verification
          4
          Target
          Human
          Details
          Mouse Recombinant Monoclonal
          Application
          ICC/IF Flow
          Price
          Special offer
          Online exclusive
          Online offer:
          Cat # 740179M
          Invitrogen
          CD141 Monoclonal Antibody (LS17-9), eBioscience™
          Invitrogen
          CD141 Monoclonal Antibody (LS17-9), eBioscience™
          2
          Target
          Mouse
          Details
          Rat Monoclonal
          Application
          IHC (F) ICC/IF
          Price
          Special offer
          Online exclusive
          Online offer:
          Cat # 14-1411-82
          Invitrogen
          CD141 Monoclonal Antibody (LS17-9), Alexa Fluor™ 488, eBioscience™
          Invitrogen
          CD141 Monoclonal Antibody (LS17-9), Alexa Fluor™ 488, eBioscience™
          3
          Target
          Mouse
          Details
          Rat Monoclonal
          Application
          IHC (F) ICC/IF Flow
          Price
          Special offer
          Online exclusive
          Online offer:
          Cat # 53-1411-82

          100 µg

          Invitrogen
          CD141 Monoclonal Antibody (LS17-9), PE, eBioscience™
          Invitrogen
          CD141 Monoclonal Antibody (LS17-9), PE, eBioscience™
          2
          Target
          Mouse
          Details
          Rat Monoclonal
          Application
          Flow
          Price
          Special offer
          Online exclusive
          Online offer:
          Cat # 12-1411-82

          100 µg

          Invitrogen
          CD141 Monoclonal Antibody (LS17-9), PE-Cyanine7, eBioscience™
          Invitrogen
          CD141 Monoclonal Antibody (LS17-9), PE-Cyanine7, eBioscience™
          1
          Target
          Mouse
          Details
          Rat Monoclonal
          Application
          Flow
          Price
          Special offer
          Online exclusive
          Online offer:
          Cat # 25-1411-82

          100 µg

          Invitrogen
          Thrombomodulin Recombinant Rabbit Monoclonal Antibody (JB48-23)
          Invitrogen
          Thrombomodulin Recombinant Rabbit Monoclonal Antibody (JB48-23)
          3
          Target
          Human
          Details
          Rabbit Recombinant Monoclonal
          Application
          WB IHC (P) IP
          Price
          Special offer
          Online exclusive
          Online offer:
          Cat # MA5-34718

          100 µL

          Invitrogen
          Thrombomodulin Recombinant Rabbit Monoclonal Antibody (HL1825)
          Invitrogen
          Thrombomodulin Recombinant Rabbit Monoclonal Antibody (HL1825)
          1
          Target
          Human
          Details
          Rabbit Recombinant Monoclonal
          Application
          WB
          Price
          Special offer
          Online exclusive
          Online offer:
          Cat # MA5-47193

          100 µL

          Invitrogen
          Thrombomodulin Recombinant Rabbit Monoclonal Antibody (15C7)
          Invitrogen
          Thrombomodulin Recombinant Rabbit Monoclonal Antibody (15C7)
          1
          Target
          Human
          Details
          Rabbit Recombinant Monoclonal
          Application
          IHC (P) ELISA
          Price
          Special offer
          Online exclusive
          Online offer:
          Cat # MA5-50042

          100 µL

          Invitrogen
          CD141 Monoclonal Antibody (LS17-9), Brilliant Ultra Violet™ 805, eBioscience™
          Invitrogen
          CD141 Monoclonal Antibody (LS17-9), Brilliant Ultra Violet™ 805, eBioscience™
          1
          Target
          Mouse
          Details
          Rat Monoclonal
          Application
          Flow
          Price
          Special offer
          Online exclusive
          Online offer:
          Cat # 368-1411-82
          Invitrogen
          CD141 Monoclonal Antibody (JAA17), Brilliant Ultra Violet™ 805, eBioscience™
          Invitrogen
          CD141 Monoclonal Antibody (JAA17), Brilliant Ultra Violet™ 805, eBioscience™
          1
          Target
          Human
          Details
          Mouse Monoclonal
          Application
          Flow
          Price
          Special offer
          Online exclusive
          Online offer:
          Cat # 368-1419-42
          Invitrogen
          CD141 Monoclonal Antibody (JAA17), Brilliant Violet™ 480, eBioscience™
          Invitrogen
          CD141 Monoclonal Antibody (JAA17), Brilliant Violet™ 480, eBioscience™
          1
          Target
          Human
          Details
          Mouse Monoclonal
          Application
          Flow
          Price
          Special offer
          Online exclusive
          Online offer:
          Cat # 414-1419-42
          Invitrogen
          CD141 Monoclonal Antibody (JAA17), Alexa Fluor™ 488, eBioscience™
          Invitrogen
          CD141 Monoclonal Antibody (JAA17), Alexa Fluor™ 488, eBioscience™
          1
          Target
          Human
          Details
          Mouse Monoclonal
          Application
          Flow
          Price
          Special offer
          Online exclusive
          Online offer:
          Cat # 53-1419-42
          Invitrogen
          CD141 Monoclonal Antibody (JAA17), PE-Cyanine7, eBioscience™
          Invitrogen
          CD141 Monoclonal Antibody (JAA17), PE-Cyanine7, eBioscience™
          1
          Target
          Human
          Details
          Mouse Monoclonal
          Application
          Flow
          Price
          Special offer
          Online exclusive
          Online offer:
          Cat # 25-1419-42

          100 Tests

          NeoBiotechnologies
          Thrombomodulin/CD141 Recombinant Mouse Monoclonal Antibody (rTHBD, 1591)
          NeoBiotechnologies
          Thrombomodulin/CD141 Recombinant Mouse Monoclonal Antibody (rTHBD, 1591)
          4
          Target
          Human
          Details
          Mouse Recombinant Monoclonal
          Application
          IHC (P) Array
          Price
          Special offer
          Online exclusive
          Online offer:
          Cat # 7056-MSM3-P1
          NeoBiotechnologies
          Thrombomodulin/CD141 Recombinant Mouse Monoclonal Antibody (rTHBD, 1591)
          NeoBiotechnologies
          Thrombomodulin/CD141 Recombinant Mouse Monoclonal Antibody (rTHBD, 1591)
          4
          Target
          Human
          Details
          Mouse Recombinant Monoclonal
          Application
          IHC (P) Array
          Price
          Special offer
          Online exclusive
          Online offer:
          Cat # 7056-MSM3-P1ABX

          100 µg

          Invitrogen
          Thrombomodulin Monoclonal Antibody (461714)
          Invitrogen
          Thrombomodulin Monoclonal Antibody (461714)
          3
          Target
          Mouse
          Details
          Rat Monoclonal
          Application
          WB IHC (F) ICC/IF Flow
          Price
          Special offer
          Online exclusive
          Online offer:
          Cat # MA5-24181

          100 µg

          Abnova
          Thbd Recombinant Rabbit Monoclonal Antibody
          Abnova
          Thbd Recombinant Rabbit Monoclonal Antibody
          2
          Target
          Mouse Rat
          Details
          Rabbit Recombinant Monoclonal
          Application
          WB
          Price
          Special offer
          Online exclusive
          Online offer:
          Cat # RAB01866

          100 µL

          Invitrogen
          Thrombomodulin Monoclonal Antibody (H2)
          Invitrogen
          Thrombomodulin Monoclonal Antibody (H2)
          1
          Target
          Human
          Details
          Mouse Monoclonal
          Application
          WB
          Price
          Special offer
          Online exclusive
          Online offer:
          Cat # MA5-51099
          NeoBiotechnologies
          Thrombomodulin/CD141 (Endothelial Cell Marker) Recombinant Mouse Monoclonal Antibody (MSVA-141M)
          NeoBiotechnologies
          Thrombomodulin/CD141 (Endothelial Cell Marker) Recombinant Mouse Monoclonal Antibody (MSVA-141M)
          1
          Target
          Human
          Details
          Mouse Recombinant Monoclonal
          Application
          IHC (P)
          Price
          Special offer
          Online exclusive
          Online offer:
          Cat # 7056-MSM6-P1
          NeoBiotechnologies
          Thrombomodulin/CD141 (Endothelial Cell Marker) Recombinant Rabbit Monoclonal Antibody (THBD/8188R)
          NeoBiotechnologies
          Thrombomodulin/CD141 (Endothelial Cell Marker) Recombinant Rabbit Monoclonal Antibody (THBD/8188R)
          1
          Target
          Human
          Details
          Rabbit Recombinant Monoclonal
          Application
          IHC (P) IHC (PFA)
          Price
          Special offer
          Online exclusive
          Online offer:
          Cat # 7056-RBM5-P0
          NeoBiotechnologies
          Thrombomodulin/CD141 (Endothelial Cell Marker) Recombinant Rabbit Monoclonal Antibody (THBD/8188R)
          NeoBiotechnologies
          Thrombomodulin/CD141 (Endothelial Cell Marker) Recombinant Rabbit Monoclonal Antibody (THBD/8188R)
          1
          Target
          Human
          Details
          Rabbit Recombinant Monoclonal
          Application
          IHC (P) IHC (PFA)
          Price
          Special offer
          Online exclusive
          Online offer:
          Cat # 7056-RBM5-P1ABX

          100 µg

          Invitrogen
          Thrombomodulin Monoclonal Antibody (501733)
          Invitrogen
          Thrombomodulin Monoclonal Antibody (501733)
          1
          Target
          Human
          Details
          Mouse Monoclonal
          Application
          IHC (P) Flow ELISA
          Price
          Special offer
          Online exclusive
          Online offer:
          Cat # MA5-24214

          100 µg

          Invitrogen
          Thrombomodulin Polyclonal Antibody
          Invitrogen
          Thrombomodulin Polyclonal Antibody
          6
          Target
          Human Mouse Rat
          Details
          Rabbit Polyclonal
          Application
          WB IHC (P) ICC/IF ELISA
          Price
          Special offer
          Online exclusive
          Online offer:
          Cat # PA5-120883

          100 µL

          Custom Antibody Service

          Searching for an antibody we don't offer? We make custom antibodies for specific targets, species and applications.

          More than 18,000 custom antibodies created so far.

          Talk to a specialist now
          guarantee_icon

          Performance Guarantee

          If an Invitrogen™ antibody doesn't perform as described on our website or datasheet,we'll replace the product at no cost to you, or provide you with a credit for a future purchase.*

          Learn more
          help_icon

          We're here to help

          Get expert recommendations for common problems or connect directly with an on staff expert for technical assistance related to applications, equipment and general product use.

          Contact tech support
          Ordering Plus Icon Minus Icon
          • Order Status
          • Order Help
          • Quick Order
          • Supply Center
          • eProcurement
          Support Plus Icon Minus Icon
          • Help and Support
          • Contact Us - 400 820 8982
          • Technical Support Centers
          • Documents and Certificates
          • Report a Site Issue
          Resources Plus Icon Minus Icon
          • Learning Centers
          • Promotions
          • Events and Webinars
          • Social Media
          About Thermo Fisher Plus Icon Minus Icon
          • About Us About Us
          • Careers Careers
          • Investors Investors
          • News News
          • Social Responsibility Social Responsibility
          • Trademarks
          • Policies and Notices
          Our Portfolio Plus Icon Minus Icon
          • Thermo Scientific
          • Applied Biosystems
          • Invitrogen
          • Gibco
          • Ion Torrent
          • Patheon
          • PPD
          • Terms & Conditions
          • Privacy Policy
          • Price & Freight Policy
          © 2006-2026 Thermo Fisher Scientific Inc. All rights reserved. All trademarks are the property of Thermo Fisher Scientific and its subsidiaries unless otherwise specified.
          China flag icon
          China
          本网站销售的所有产品均不得用于人类或动物之临床诊断或治疗,仅可用于工业或者科研等非医疗目的。
             电子营业执照 | 经营证照公示 | ICP备案号:沪ICP备11003924号 | 沪公网安备 31011502006935号

          Your items have has been added!


          Host server : magellan-search-green-55658555d6-qm6d9:80/100.66.79.83:80.
          git-commit: ec8e7df5f8fec8d765bd419205f1b5046a016d37
          git-url: https://github.com/thermofisher/magellan-search
          git-branch: release/2.41.0-Offline