Hamburger Menu Button
Thermo Fisher Scientific Logo
Sign in
Don't have an account ? Create Account
  • Products
    • Antibodies
    • Cell Culture Media
    • Chemicals
    • Chromatography Columns and Cartridges
    • Lab Equipment
    • Lab Plasticware and Supplies
    • Microplates
    • Oligos, Primers, Probes and Genes
    • TaqMan Real-Time PCR Assays
    • Greener Products
    • See all product categories
  • Applications
    • Bioprocessing
    • Cell Culture and Transfection
    • Cell and Gene Therapy
    • Chromatography
    • Molecular Testing
    • Digital Solutions
    • DNA and RNA Extraction and Analysis
    • Spectroscopy, Elemental and Isotope Analysis
    • See all applications and techniques
  • Services
    • 360° CDMO and CRO Solutions
    • CDMO Services
    • CRO Services
    • Custom Services
    • Enterprise Services
    • Financial and Leasing Services
    • Instrument Services
    • Lab Informatics
    • OEM and Commercial Supply
    • Training Services
    • Unity Lab Services
    • See all services
  • Help and Support
    • How to Order
    • Instrument Support
    • Learning Centers
    • Register for an Account
    • Technical Support Centers
    • See all help and support topics
  • Popular
    • TaqMan Real-Time PCR Assays
      TaqMan Real-Time PCR Assays
    • Antibodies
      Antibodies
    • Oligos, Primers & Probes
      Oligos, Primers & Probes
    • GeneArt Gene Synthesis
      GeneArt Gene Synthesis
    • Cell Culture Plastics
      Cell Culture Plastics
  • Who We Serve
    • Biotech
    • Biopharma
    • CDMO
    • Lab Diagnostics
    • Industrial and Applied Sciences
  • Promotions
  • Contact Us
  • Quick Order
  • Order Status and Tracking
  • Documents and Certificates
Thermo Fisher Scientific Logo

Search

Search All
Search button
          • Order Status
          • Quick Order
          • Promos
          • Sign in
            Sign in
            Don't have an account ? Create Account
            • Account
            • Check Order Status
            • Aspire Member Program
            • Connect: Lab, Data, Apps
            • Custom Products & Projects
            • Services Central

          Disclaimer

          Clicking the images or links will redirect you to a website hosted by BenchSci that provides third-party scientific content. Neither the content nor the BenchSci technology and processes for selection have been evaluated by us; we are providing them as-is and without warranty of any kind, including for use or application of the Thermo Fisher Scientific products presented.

          • Primary Antibodies ›
          • LAMP2 (CD107b) Antibodies

          Invitrogen

          CD107b (LAMP-2) Recombinant Rabbit Monoclonal Antibody (SA46-01)

          高级验证
          查看其他60个LAMP2 (CD107b)抗体

          {{$productOrderCtrl.translations['antibody.pdp.commerceCard.promotion.promotions']}}

          {{$productOrderCtrl.translations['antibody.pdp.commerceCard.promotion.viewpromo']}}

          {{$productOrderCtrl.translations['antibody.pdp.commerceCard.promotion.promocode']}}: {{promo.promoCode}} {{promo.promoTitle}} {{promo.promoDescription}}. {{$productOrderCtrl.translations['antibody.pdp.commerceCard.promotion.learnmore']}}

          说明书
          实验方案
          问题与答案
          技术支持
          说明书
          实验方案
          问题与答案
          技术支持

          Cite CD107b (LAMP-2) Recombinant Rabbit Monoclonal Antibody (SA46-01)

          • 抗体检测数据 (10)
          • 高级验证 (1)
          CD107b (LAMP-2) Antibody in Immunocytochemistry (ICC/IF)
          Group 53 Created with Sketch.
          CD107b (LAMP-2) Antibody in Immunocytochemistry (ICC/IF)
          Group 53 Created with Sketch.

          图: 1 / 11

          {{ $ctrl.currentElement.advancedVerification.fullName }}
          {{ $ctrl.currentElement.advancedVerification.text }}

          CD107b (LAMP-2) Antibody (MA5-31970) in ICC/IF

          Immunofluorescence analysis of CD107b (LAMP-2) was performed using 70% confluent log phase MCF7 cells. The cells were fixed with 4% paraformaldehyde for 10 minutes, permeabilized with 0.1% Triton™ X-100 for 15 minutes, and blocked with 2% BSA for 45 minutes at room temperature. The cells were labeled with CD107b (LAMP-2) Recombinant Rabbit Monoclonal Antibody (SA46-01) (Product # MA5-31970) at 1:100 in 0.1%... View More {{ $ctrl.currentElement.advancedVerification.fullName }} 验证信息 View more
          已发表图片由___提供 benchsci-logo
          PMID: {{$ctrl.currentElement.benchSciPubmedId}}
          查看产品

          {{$ctrl.videoDesc}}

          {{$ctrl.videoLongDesc}}

          CD107b (LAMP-2) Antibody in Immunocytochemistry (ICC/IF)
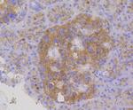
          CD107b (LAMP-2) Antibody in Immunohistochemistry (Paraffin) (IHC (P))
          CD107b (LAMP-2) Antibody in Immunohistochemistry (Paraffin) (IHC (P))
          CD107b (LAMP-2) Antibody in Immunohistochemistry (Paraffin) (IHC (P))
          CD107b (LAMP-2) Antibody in Immunohistochemistry (Paraffin) (IHC (P))
          CD107b (LAMP-2) Antibody in Immunohistochemistry (Paraffin) (IHC (P))
          CD107b (LAMP-2) Antibody in Immunohistochemistry (Paraffin) (IHC (P))
          CD107b (LAMP-2) Antibody in Western Blot (WB)
          CD107b (LAMP-2) Antibody in Western Blot (WB)
          CD107b (LAMP-2) Antibody in Western Blot (WB)
          CD107b (LAMP-2) Antibody
          CD107b (LAMP-2) Recombinant Rabbit Monoclonal Antibody (SA46-01)

          产品信息

          MA5-31970

          应用
          建议稀释比
          已发表文章

          免疫印迹 (WB)

          1:5,000
          -

          免疫组化(石蜡) (IHC (P))

          1:500
          -

          免疫细胞化学 (ICC/IF)

          1:100
          -
          产品规格

          种属反应

          Human, Mouse, Rat

          宿主/亚型

          Rabbit / IgG

          Expression System

          HEK293 cells

          分类

          Recombinant Monoclonal

          类型

          Antibody

          克隆号

          SA46-01

          抗原

          Synthetic peptide within Human LAMP2a aa 361-410
          查看免疫原

          偶联物

          Unconjugated Unconjugated Unconjugated

          形式

          Liquid

          浓度

          1 mg/mL

          纯化类型

          Protein A

          保存液

          TBS, pH 7.4, with 40% Glycerol, 0.05% BSA

          内含物

          0.05% sodium azide

          保存条件

          Store at 4°C short term. For long term storage, store at -20°C, avoiding freeze/thaw cycles.

          运输条件

          Ambient (domestic); Wet ice (international)

          RRID

          AB_2809264

          产品详细信息

          Recombinant rabbit monoclonal antibodies are produced using in vitro expression systems. The expression systems are developed by cloning in the specific antibody DNA sequences from immunoreactive rabbits. Then, individual clones are screened to select the best candidates for production. The advantages of using recombinant rabbit monoclonal antibodies include: better specificity and sensitivity, lot-to-lot consistency, animal origin-free formulations, and broader immunoreactivity to diverse targets due to larger rabbit immune repertoire.

          靶标信息

          LAMP2 (Lysosome-associated membrane glycoprotein 2, CD107b) is a member of a family of membrane glycoproteins. LAMP2 provides selectins with carbohydrate ligands, and may play a role in tumor cell metastasis, and have a function in the protection, maintenance, and adhesion of the lysosome. Prior to posttranslational modification, LAMP2 is approximately 46 kDa polypeptide. Mature, functional LAMP2 is extensively glycosylated with a variety of different N-linked and O-linked oligosaccharides with a total molecular weight of about 100-130 kDa. LAMP 2 has a structure comprised of a large amino-terminal intra-lysosomal domain, a hydrophobic trans-membrane domain, and a short carboxyl-terminal cytoplasmic tail. LAMP2 is used to monitor a very selective form of autophagy called chaperone-mediated autophagy. LAMP 2 has a structure comprised of a large amino-terminal intra-lysosomal domain, a hydrophobic trans-membrane domain, and a short carboxyl-terminal cytoplasmic tail. The LAMP protein has 3 variant forms: LAMP-2A, -2B, and 2C. LAMP2, together with CD107a/LAMP-1, is a major constituent of lysosomal membrane. The LAMP proteins are involved in lysosome biogenesis and are required for fusion of lysosomes with phagosomes, and LAMP2 is an important regulator in successful phagosomal maturation. LAMP2 deficiency causes an accumulation of autophagosomes in many tissues leading to cardiomyopathy and myopathy (Danon's disease).

          仅用于科研。不用于诊断过程。未经明确授权不得转售。

          篇参考文献 (0)

          您是否在文献中引用过该产品?请点击下方按钮邮件告知我们。
          引用该产品

          生物信息学

          蛋白别名: CD107 antigen-like family member B; CD107b; Igp96; LAMP-2; LAMP-2 Isoform 2A; LAMP-2 Variant A; LGP-110; LGP-96; LGP-B; lysosomal membrane glycoprotein 2; Lysosomal membrane glycoprotein type B; lysosomal-associated membrane protein 2; Lysosome-associated membrane glycoprotein 2; lysosome-associated membrane protein 2; RP23-193O17.2

          查看更多 收起

          基因别名: CD107b; Lamp II; LAMP-2; Lamp-2a; Lamp-2b; Lamp-2c; LAMP2; LAMPB; LGP-B; LGP110; Mac3

          查看更多 收起

          UniProt ID: (Human) P13473, (Mouse) P17047, (Rat) P17046

          查看更多 收起

          Entrez Gene ID: (Human) 3920, (Mouse) 16784, (Rat) 24944

          查看更多 收起

          功能
          protein binding enzyme binding protein domain specific binding molecular_function membrane trafficking regulatory protein
          参与通路
          platelet degranulation protein import regulation of protein stability muscle cell cellular homeostasis protein stabilization chaperone-mediated autophagy biological_process
          It has to be done as per old AB suggested Products section.
          guarantee_icon

          性能保障

          只要您发现Invitrogen抗体在实验中的表现与网站或说明书的所述内容不符,您即可享受免费退换货服务。*

          了解更多
          help_icon

          随时为您服务

          获取常见问题的专家解答,或者直接联系我们的技术专家,咨询应用、设备、常规产品使用问题。

          联系技术支持
          Ordering Plus Icon Minus Icon
          • Order Status
          • Order Help
          • Quick Order
          • Supply Center
          • eProcurement
          Support Plus Icon Minus Icon
          • Help and Support
          • Contact Us
          • Technical Support Centers
          • Documents and Certificates
          • Report a Site Issue
          Resources Plus Icon Minus Icon
          • Learning Centers
          • Promotions
          • Events and Webinars
          • Social Media
          About Thermo Fisher Plus Icon Minus Icon
          • About Us About Us
          • Careers Careers
          • Investors Investors
          • News News
          • Social Responsibility Social Responsibility
          • Trademarks
          • Consumer Health Data Privacy Policy Consumer Health Data Privacy Policy
          • Policies and Notices
          Our Portfolio Plus Icon Minus Icon
          • Thermo Scientific
          • Applied Biosystems
          • Invitrogen
          • Gibco
          • Ion Torrent
          • Fisher Scientific
          • Unity Lab Services
          • Patheon
          • PPD
          • Terms & Conditions
          • Privacy Information Center
          • Price & Freight Policy
          © 2006-2025 Thermo Fisher Scientific Inc. All rights reserved. All trademarks are the property of Thermo Fisher Scientific and its subsidiaries unless otherwise specified.
          United States flag icon
          United States

          Your items have has been added!


          Host server : magellan-search-blue-555ccb4fbd-sr4fd:80/100.66.77.165:80.
          git-commit: 75f0c7d4cb44686da2af39b21f2e6446a20282e2
          git-url: https://github.com/thermofisher/magellan-search
          git-branch: release/2.41.0-2025.12.99-1.0