Hamburger Menu Button
Thermo Fisher Scientific Logo
Sign in
Don't have an account ? Create Account
  • Products
    • Antibodies
    • Cell Culture Media
    • Chemicals
    • Chromatography Columns and Cartridges
    • Lab Equipment
    • Lab Plasticware and Supplies
    • Microplates
    • Oligos, Primers, Probes and Genes
    • TaqMan Real-Time PCR Assays
    • Greener Products
    • See all product categories
  • Applications
    • Bioprocessing
    • Cell Culture and Transfection
    • Cell and Gene Therapy
    • Chromatography
    • Molecular Testing
    • Digital Solutions
    • DNA and RNA Extraction and Analysis
    • Spectroscopy, Elemental and Isotope Analysis
    • See all applications and techniques
  • Services
    • 360° CDMO and CRO Solutions
    • CDMO Services
    • CRO Services
    • Custom Services
    • Enterprise Services
    • Financial and Leasing Services
    • Instrument Services
    • Lab Informatics
    • OEM and Commercial Supply
    • Training Services
    • Unity Lab Services
    • See all services
  • Help and Support
    • How to Order
    • Instrument Support
    • Learning Centers
    • Register for an Account
    • Technical Support Centers
    • See all help and support topics
  • Popular
    • TaqMan Real-Time PCR Assays
      TaqMan Real-Time PCR Assays
    • Antibodies
      Antibodies
    • Oligos, Primers & Probes
      Oligos, Primers & Probes
    • GeneArt Gene Synthesis
      GeneArt Gene Synthesis
    • Cell Culture Plastics
      Cell Culture Plastics
  • Who We Serve
    • Biotech
    • Biopharma
    • CDMO
    • Lab Diagnostics
    • Industrial and Applied Sciences
  • Promotions
  • Contact Us
  • Quick Order
  • Order Status and Tracking
  • Documents and Certificates
Thermo Fisher Scientific Logo

Search

Search All
Search button
          • Order Status
          • Quick Order
          • Promos
          • Sign in
            Sign in
            Don't have an account ? Create Account
            • Account
            • Check Order Status
            • Aspire Member Program
            • Connect: Lab, Data, Apps
            • Custom Products & Projects
            • Services Central

          Disclaimer

          Clicking the images or links will redirect you to a website hosted by BenchSci that provides third-party scientific content. Neither the content nor the BenchSci technology and processes for selection have been evaluated by us; we are providing them as-is and without warranty of any kind, including for use or application of the Thermo Fisher Scientific products presented.

          • Primary Antibodies ›
          • DDX54 Antibodies

          Bethyl Laboratories

          DDX54 Polyclonal Antibody

          查看其他10个DDX54抗体

          {{$productOrderCtrl.translations['antibody.pdp.commerceCard.promotion.promotions']}}

          {{$productOrderCtrl.translations['antibody.pdp.commerceCard.promotion.viewpromo']}}

          {{$productOrderCtrl.translations['antibody.pdp.commerceCard.promotion.promocode']}}: {{promo.promoCode}} {{promo.promoTitle}} {{promo.promoDescription}}. {{$productOrderCtrl.translations['antibody.pdp.commerceCard.promotion.learnmore']}}

          说明书
          实验方案
          问题与答案
          技术支持
          说明书
          实验方案
          问题与答案
          技术支持
          说明书
          实验方案
          问题与答案
          技术支持

          Cite DDX54 Polyclonal Antibody

          • 抗体检测数据 (2)
          DDX54 Antibody in Immunohistochemistry (Paraffin) (IHC (P))
          Group 53 Created with Sketch.
          DDX54 Antibody in Immunohistochemistry (Paraffin) (IHC (P))
          Group 53 Created with Sketch.

          图: 1 / 2

          {{ $ctrl.currentElement.advancedVerification.fullName }}
          {{ $ctrl.currentElement.advancedVerification.text }}

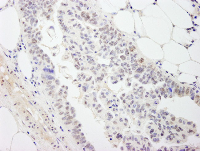
          DDX54 Antibody (A301-313A) in IHC (P)

          Detection of human DDX54 by immunohistochemistry. Sample: FFPE section of human breast carcinoma. Antibody: Affinity purified rabbit anti-DDX54 (Product # A301-313A) used at a dilution of 1:200 (1 µg/mL). Detection: DAB. {{ $ctrl.currentElement.advancedVerification.fullName }} 验证信息 View more
          已发表图片由___提供 benchsci-logo
          PMID: {{$ctrl.currentElement.benchSciPubmedId}}
          查看产品

          {{$ctrl.videoDesc}}

          {{$ctrl.videoLongDesc}}

          DDX54 Antibody in Immunohistochemistry (Paraffin) (IHC (P))
          DDX54 Antibody in Western Blot (WB)
          DDX54 Polyclonal Antibody

          产品信息

          A301-313A

          应用
          建议稀释比
          已发表文章

          免疫印迹 (WB)

          1:2,000-1:10,000
          -

          免疫组化 (IHC)

          1:100-1:500
          -

          免疫组化(石蜡) (IHC (P))

          1:100-1:500
          -

          免疫沉淀 (IP)

          2-5 µg/mg lysate
          -
          产品规格

          种属反应

          Human

          宿主/亚型

          Rabbit / IgG

          分类

          Polyclonal

          类型

          Antibody

          抗原

          Region between residue 625 and 675 of human DEAD (Asp-Glu-Ala-Asp) box polypeptide 54.
          查看免疫原

          偶联物

          Unconjugated Unconjugated Unconjugated

          形式

          Liquid

          浓度

          0.20 mg/mL

          纯化类型

          Antigen affinity chromatography

          保存液

          TBS, pH 7.0 to 8.0, with 0.1% BSA

          内含物

          0.09% sodium azide

          保存条件

          4°C

          运输条件

          Ambient (domestic); Wet ice (international)

          产品详细信息

          The recommended shelf life for this product is 1 year from date of receipt.

          Application Note: For IHC, epitope retrieval with citrate buffer pH 6.0 is recommended for FFPE tissue sections.

          靶标信息

          This gene encodes a member of the DEAD box protein family. DEAD box proteins, characterized by the conserved motif Asp-Glu-Ala-Asp (DEAD), are putative RNA helicases. They are implicated in a number of cellular processes involving alteration of RNA secondary structure such as translation initiation, nuclear and mitochondrial splicing, and ribosome and spliceosome assembly. Based on their distribution patterns, some members of this family are believed to be involved in embryogenesis, spermatogenesis, and cellular growth and division. The nucleolar protein encoded by this gene interacts in a hormone-dependent manner with nuclear receptors, and represses their transcriptional activity. Alternative splice variants that encode different isoforms have been found for this gene.

          仅用于科研。不用于诊断过程。未经明确授权不得转售。

          篇参考文献 (0)

          您是否在文献中引用过该产品?请点击下方按钮邮件告知我们。
          引用该产品

          生物信息学

          蛋白别名: 5-Apr; ATP-dependent RNA helicase DDX54; ATP-dependent RNA helicase DP97; DEAD (Asp-Glu-Ala-Asp) box polypeptide 54; DEAD box helicase 97 KDa; DEAD box protein 54; DEAD box RNA helicase 97 kDa

          查看更多 收起

          基因别名: DDX54; DP97

          查看更多 收起

          UniProt ID: (Human) Q8TDD1

          查看更多 收起

          Entrez Gene ID: (Human) 79039

          查看更多 收起

          功能
          transcription corepressor activity ATP-dependent RNA helicase activity receptor binding ATP binding estrogen receptor binding poly(A) RNA binding
          参与通路
          transcription, DNA-templated regulation of transcription, DNA-templated RNA processing RNA secondary structure unwinding RNA metabolic process intracellular estrogen receptor signaling pathway negative regulation of nucleic acid-templated transcription
          It has to be done as per old AB suggested Products section.
          guarantee_icon

          性能保障

          只要您发现Invitrogen抗体在实验中的表现与网站或说明书的所述内容不符,您即可享受免费退换货服务。*

          了解更多
          help_icon

          随时为您服务

          获取常见问题的专家解答,或者直接联系我们的技术专家,咨询应用、设备、常规产品使用问题。

          联系技术支持
          Ordering Plus Icon Minus Icon
          • Order Status
          • Order Help
          • Quick Order
          • Supply Center
          • eProcurement
          Support Plus Icon Minus Icon
          • Help and Support
          • Contact Us
          • Technical Support Centers
          • Documents and Certificates
          • Report a Site Issue
          Resources Plus Icon Minus Icon
          • Learning Centers
          • Promotions
          • Events and Webinars
          • Social Media
          About Thermo Fisher Plus Icon Minus Icon
          • About Us About Us
          • Careers Careers
          • Investors Investors
          • News News
          • Social Responsibility Social Responsibility
          • Trademarks
          • Consumer Health Data Privacy Policy Consumer Health Data Privacy Policy
          • Policies and Notices
          Our Portfolio Plus Icon Minus Icon
          • Thermo Scientific
          • Applied Biosystems
          • Invitrogen
          • Gibco
          • Ion Torrent
          • Fisher Scientific
          • Unity Lab Services
          • Patheon
          • PPD
          • Terms & Conditions
          • Privacy Information Center
          • Price & Freight Policy
          © 2006-2025 Thermo Fisher Scientific Inc. All rights reserved. All trademarks are the property of Thermo Fisher Scientific and its subsidiaries unless otherwise specified.
          United States flag icon
          United States

          Your items have has been added!


          Host server : magellan-search-green-55658555d6-zfg5p:80/100.66.76.99:80.
          git-commit: ec8e7df5f8fec8d765bd419205f1b5046a016d37
          git-url: https://github.com/thermofisher/magellan-search
          git-branch: release/2.41.0-Offline