Hamburger Menu Button
Thermo Fisher Scientific Logo
Sign in
Don't have an account ? Create Account
  • Products
    • Antibodies
    • Custom DNA Oligos
    • GeneArt Gene Synthesis Instant Designer
    • TaqMan Assay and Array Search
    • PCR Equipment and Supplies
    • Chromatography Columns and Cartridges
    • Lab Centrifuges
    • Molecular Biology Reagents and Kits
    • Lab Plasticware and Supplies
    • See all product categories
  • Applications
    • Chromatography
    • Cell Culture
    • Real-Time PCR
    • Mass Spectrometry
    • Lab Plasticware and Supplies
    • Electron Microscopy
    • Protein Biology
    • PCR
    • RNAi
    • Environmental
    • See all applications and techniques
  • Services
    • Custom Services
    • Enterprise-Level Lab Informatics
    • Financial and Leasing Services
    • Instrument Services
    • OEM and Commercial Supply
    • Training Services
    • 360° CDMO and CRO Solutions
    • CDMO Services
    • CRO Services
    • Unity Lab Services
    • See all services
  • Help and Support
    • Learning Centers
    • Contact Us
    • Change Location
    • See all help and support topics
  • Popular
    • TaqMan Real-Time PCR Assays
      TaqMan Real-Time PCR Assays
    • Antibodies
      Antibodies
    • Oligos, Primers & Probes
      Oligos, Primers & Probes
    • GeneArt Gene Synthesis
      GeneArt Gene Synthesis
    • Cell Culture Plastics
      Cell Culture Plastics
  • Who We Serve
    • Antibody Therapy Solution
    • Cell and Gene Therapy Solution
    • Academic
    • Industrial and Applied Sciences
  • Contact Us
  • Quick Order
  • Order Status and Tracking
  • Documents and Certificates
Thermo Fisher Scientific Logo

Search

Search All
Search button
          • Contact Us
          • Quick Order
          • Sign in
            Sign in
            Don't have an account ? Create Account
            • Account
            • Check Order Status
            • AR Statement & Invoice Inquiry
            • Custom Products & Projects
            • Instrument Management
          • Primary Antibodies ›
          • GDNF Antibodies

          Rockland

          GDNF Polyclonal Antibody

          View all (21) GDNF antibodies

          {{$productOrderCtrl.translations['antibody.pdp.commerceCard.promotion.promotions']}}

          {{$productOrderCtrl.translations['antibody.pdp.commerceCard.promotion.viewpromo']}}

          {{$productOrderCtrl.translations['antibody.pdp.commerceCard.promotion.promocode']}}: {{promo.promoCode}} {{promo.promoTitle}} {{promo.promoDescription}}. {{$productOrderCtrl.translations['antibody.pdp.commerceCard.promotion.learnmore']}}

          Datasheet
          Certificates
          Protocols
          Questions & Answers
          Tech Support
          Datasheet
          Certificates
          Protocols
          Questions & Answers
          Tech Support
          Datasheet
          Certificates
          Protocols
          Questions & Answers
          Tech Support

          Cite GDNF Polyclonal Antibody

          Additional Information:
          {{banner.description}}
          {{$ctrl.isSkuNotesCollapsed ? 'View more' : 'View less'}}
          • Antibody Testing Data (3)
          GDNF Antibody in Immunohistochemistry (Paraffin) (IHC (P))
          Group 53 Created with Sketch.
          GDNF Antibody in Immunohistochemistry (Paraffin) (IHC (P))
          Group 53 Created with Sketch.

          FIGURE: 1 / 3

          {{ $ctrl.currentElement.advancedVerification.fullName }}
          {{ $ctrl.currentElement.advancedVerification.text }}

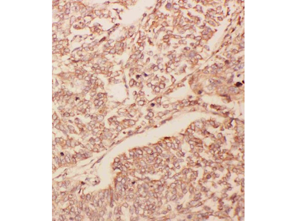
          GDNF Antibody (600-401-R08) in IHC (P)

          Immunohistochemistry of Anti-GDNF antibody. Tissue: Human Lung Cancer Tissue. IHC (P). {{ $ctrl.currentElement.advancedVerification.fullName }} validation info. View more
          Published figure supplied by benchsci-logo
          PMID: {{$ctrl.currentElement.benchSciPubmedId}}
          View Product

          {{$ctrl.videoDesc}}

          {{$ctrl.videoLongDesc}}

          GDNF Antibody in Immunohistochemistry (Paraffin) (IHC (P))
          GDNF Antibody in Immunohistochemistry (Paraffin) (IHC (P))
          GDNF Antibody in Western Blot (WB)

          Product Details

          600-401-R08

          Applications
          Tested Dilution
          Publications

          Western Blot (WB)

          0.5 µg/mL
          -

          Immunohistochemistry (Paraffin) (IHC (P))

          1:100-1:500
          -
          Product Specifications

          Species Reactivity

          Human, Rat

          Host/Isotype

          Rabbit / IgG

          Class

          Polyclonal

          Type

          Antibody

          Immunogen

          GDNF affinity purified antibody was prepared from whole rabbit serum produced by repeated immunizations with a synthetic peptide corresponding to an internal region of human GDNF.

          Conjugate

          Unconjugated Unconjugated Unconjugated

          Form

          Lyophilized

          Concentration

          0.5 mg/mL

          Amount

          100 µg

          Purification

          Affinity chromatography

          Storage buffer

          PBS with 5mg BSA

          Contains

          0.05mg sodium azide, 0.05mg thimerosal

          Storage conditions

          -20°C, Avoid Freeze/Thaw Cycles

          Shipping conditions

          Ambient (domestic); Wet ice (international)

          Target Information

          GDNF is a glycosylated, disulfide-bonded homodimer molecule. It was first discovered as a potent survival factor for midbrain dopaminergic neurons and was then shown to rescue these neurons in animal models of Parkinson's disease. GDNF is about 100 times more efficient survival factor for spinal motor neurons than the neurotrophins. GDNF is a neurotrophic factor that enhances survival and morphological differentiation of dopaminergic neurons and increases their high-affinity dopamine uptake.

          ⚠WARNING: This product can expose you to chemicals including mercury, which is known to the State of California to cause birth defects or other reproductive harm. For more information go to www.P65Warnings.ca.gov.

          For Research Use Only. Not for use in diagnostic procedures. Not for resale without express authorization.

          References (0)

          Have you cited this product in a publication?
          Let us know so we can reference it here.
          Cite this product

          Bioinformatics

          Protein Aliases: Astrocyte-derived trophic factor; ATF; GDNF; glial cell line derived neurotrophic factor; Glial cell line derived neutrophic factor; Glial cell line-derived neurotrophic factor; H-GDNF; hGDNF

          View more View less

          Gene Aliases: ATF; ATF1; ATF2; GDNF; gndf; HFB1-GDNF; HSCR3

          View more View less

          UniProt ID: (Human) P39905, (Rat) Q07731

          View more View less

          Entrez Gene ID: (Human) 2668, (Rat) 25453

          View more View less

          Function(s)
          receptor binding protein binding growth factor activity glial cell-derived neurotrophic factor receptor binding receptor tyrosine kinase binding protein homodimerization activity chemoattractant activity involved in axon guidance neurotrophic factor
          Process(es)
          metanephros development ureteric bud development branching involved in ureteric bud morphogenesis neural crest cell migration organ induction postsynaptic membrane organization mesenchymal to epithelial transition involved in metanephros morphogenesis signal transduction nervous system development peripheral nervous system development positive regulation of cell proliferation adult locomotory behavior tissue development regulation of gene expression dorsal spinal cord development postganglionic parasympathetic fiber development neuron differentiation peristalsis neuron projection development positive regulation of dopamine secretion glial cell-derived neurotrophic factor receptor signaling pathway negative regulation of apoptotic process negative regulation of neuron apoptotic process regulation of cell differentiation positive regulation of cell differentiation positive regulation of transcription from RNA polymerase II promoter mRNA stabilization enteric nervous system development sympathetic nervous system development animal organ development embryonic organ development regulation of dopamine uptake involved in synaptic transmission ureteric bud formation regulation of morphogenesis of a branching structure chemoattraction of axon commissural neuron axon guidance positive regulation of ureteric bud formation positive regulation of mesenchymal to epithelial transition involved in metanephros morphogenesis positive regulation of branching involved in ureteric bud morphogenesis regulation of stem cell differentiation negative regulation of extrinsic apoptotic signaling pathway in absence of ligand regulation of semaphorin-plexin signaling pathway cell proliferation male gonad development response to wounding midbrain development positive regulation of monooxygenase activity retina development in camera-type eye cellular response to dexamethasone stimulus regulation of ureteric bud formation
          It has to be done as per old AB suggested Products section.

          Disclaimer

          Close

          Clicking the images or links will redirect you to a website hosted by BenchSci that provides third-party scientific content. Neither the content nor the BenchSci technology and processes for selection have been evaluated by us; we are providing them as-is and without warranty of any kind, including for use or application of the Thermo Fisher Scientific products presented.

          guarantee_icon

          Performance Guarantee

          If an Invitrogen™ antibody doesn't perform as described on our website or datasheet,we'll replace the product at no cost to you, or provide you with a credit for a future purchase.*

          Learn more
          help_icon

          We're here to help

          Get expert recommendations for common problems or connect directly with an on staff expert for technical assistance related to applications, equipment and general product use.

          Contact tech support
          Ordering Plus Icon Minus Icon
          • Order Status
          • Order Help
          • Quick Order
          • Supply Center
          • eProcurement
          Support Plus Icon Minus Icon
          • Help and Support
          • Contact Us - 400 820 8982
          • Technical Support Centers
          • Documents and Certificates
          • Report a Site Issue
          Resources Plus Icon Minus Icon
          • Learning Centers
          • Promotions
          • Events and Webinars
          • Social Media
          About Thermo Fisher Plus Icon Minus Icon
          • About Us About Us
          • Careers Careers
          • Investors Investors
          • News News
          • Social Responsibility Social Responsibility
          • Trademarks
          • Policies and Notices
          Our Portfolio Plus Icon Minus Icon
          • Thermo Scientific
          • Applied Biosystems
          • Invitrogen
          • Gibco
          • Ion Torrent
          • Unity Lab Services
          • Patheon
          • PPD
          • Terms & Conditions
          • Privacy Policy
          • Price & Freight Policy
          © 2006-2026 Thermo Fisher Scientific Inc. All rights reserved. All trademarks are the property of Thermo Fisher Scientific and its subsidiaries unless otherwise specified.
          China flag icon
          China
          本网站销售的所有产品均不得用于人类或动物之临床诊断或治疗,仅可用于工业或者科研等非医疗目的。
             电子营业执照 | 经营证照公示 | ICP备案号:沪ICP备11003924号 | 沪公网安备 31011502006935号

          Your items have has been added!


          Host server : magellan-search-green-7b6576f7bc-d59m7:80/100.66.79.221:80.
          git-commit: 6d309ebe7a31b2ceadeb87f43b473eebab110cf3
          git-url: https://github.com/thermofisher/magellan-search
          git-branch: release/2.46.0-2026.03.11-1.0