Hamburger Menu Button
Thermo Fisher Scientific Logo
登录
没有账号?建立账号 注册
  • 产品
    • 抗体
    • 引物合成
    • GeneArt Gene Synthesis Instant Designer
    • TaqMan Assay and Array Search
    • PCR 设备和耗材
    • 色谱柱和纯化柱
    • 实验室离心机
    • 分子生物学试剂和试剂盒
    • 实验室塑料耗材及用品
    • 查看所有产品分类
  • 应用和技术
    • 色谱
    • 细胞转染和培养
    • 实时荧光定量PCR
    • 质谱
    • 实验室塑料耗材及用品
    • 电子显微镜
    • 蛋白质生物学
    • PCR
    • RNAi
    • 环境
    • 查看所有应用和技术
  • 服务
    • 定制服务
    • 企业级实验室信息化服务
    • 金融&租赁服务
    • 仪器服务
    • OEM和商业供应
    • 培训服务
    • 360° CDMO 和 CRO 服务
    • CDMO 服务
    • 临床试验 CRO 服务
    • Unity Lab Services
    • 查看所有帮助和支持
  • 帮助和支持
    • 学习中心
    • 联系我们
    • 更改国家或地区
    • 查看所有帮助和支持
  • 热门产品
    • TaqMan Real-Time PCR Assays
      TaqMan 实时荧光定量 PCR 试剂盒
    • Antibodies
      抗体
    • Oligos, Primers & Probes
      寡核苷酸、引物、探针
    • GeneArt Gene Synthesis
      GeneArt 基因合成
    • Cell Culture Plastics
      细胞培养耗材
  • Who We Serve
    • 抗体治疗解决方案
    • 细胞与基因治疗解决方案
    • 学术科研
    • 工业与应用
  • 联系我们
  • 货号直购
  • 订单查询
  • 查找文件&证书
Thermo Fisher Scientific Logo

Search

搜索全部或下列指定分类
Search button
          • 联系我们
          • 货号直购
          • 登录
            登录
            没有账号?建立账号 注册
            • 我的账号
            • 订单
            • 会员中心
            • 账单及发票查询
            • 定制产品及项目
          • Primary Antibodies ›
          • SIK1/SIK2/SIK3 Antibodies

          Invitrogen

          Phospho-SIK1/SIK2/SIK3 (Thr182, Thr175, Thr221) Polyclonal Antibody

          查看其他2个SIK1/SIK2/SIK3抗体

          {{$productOrderCtrl.translations['antibody.pdp.commerceCard.promotion.promotions']}}

          {{$productOrderCtrl.translations['antibody.pdp.commerceCard.promotion.viewpromo']}}

          {{$productOrderCtrl.translations['antibody.pdp.commerceCard.promotion.promocode']}}: {{promo.promoCode}} {{promo.promoTitle}} {{promo.promoDescription}}. {{$productOrderCtrl.translations['antibody.pdp.commerceCard.promotion.learnmore']}}

          说明书
          证书
          实验方案
          问题与答案
          技术支持
          说明书
          证书
          实验方案
          问题与答案
          技术支持
          说明书
          证书
          实验方案
          问题与答案
          技术支持

          Cite Phospho-SIK1/SIK2/SIK3 (Thr182, Thr175, Thr221) Polyclonal Antibody

          Additional Information:
          {{banner.description}}
          {{$ctrl.isSkuNotesCollapsed ? 'View more' : 'View less'}}
          • 抗体检测数据 (4)
          Phospho-SIK1/SIK2/SIK3 (Thr182, Thr175, Thr221) Antibody in Immunohistochemistry (Paraffin) (IHC (P))
          Group 53 Created with Sketch.
          Phospho-SIK1/SIK2/SIK3 (Thr182, Thr175, Thr221) Antibody in Immunohistochemistry (Paraffin) (IHC (P))
          Group 53 Created with Sketch.

          图: 1 / 4

          {{ $ctrl.currentElement.advancedVerification.fullName }}
          {{ $ctrl.currentElement.advancedVerification.text }}

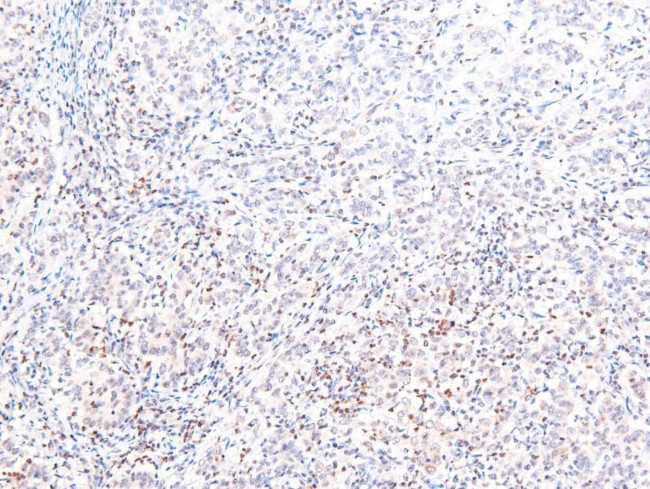
          Phospho-SIK1/SIK2/SIK3 (Thr182, Thr175, Thr221) Antibody (PA5-105914) in IHC (P)

          Immunohistochemistry analysis of paraffin-embedded Phospho-SIK2/SIK3 (Thr175, Thr163) in human lung cancer tissue sections. Antigen retrieval was performed using citrate buffer. Samples were blocked with blocking buffer (1.5 hr, 22°C), incubated with Phospho-SIK2/SIK3 (Thr175, Thr163) polyclonal antibody (Product # PA5-105914) using a dilution of 1:200 (1.5 hr, 22°C), followed by HRP conjugated goat anti-ra... View More {{ $ctrl.currentElement.advancedVerification.fullName }} 验证信息 View more
          已发表图片由___提供 benchsci-logo
          PMID: {{$ctrl.currentElement.benchSciPubmedId}}
          查看产品

          {{$ctrl.videoDesc}}

          {{$ctrl.videoLongDesc}}

          Phospho-SIK1/SIK2/SIK3 (Thr182, Thr175, Thr221) Antibody in Immunohistochemistry (Paraffin) (IHC (P))
          Phospho-SIK1/SIK2/SIK3 (Thr182, Thr175, Thr221) Antibody in Immunohistochemistry (Paraffin) (IHC (P))
          Phospho-SIK1/SIK2/SIK3 (Thr182, Thr175, Thr221) Antibody in Immunohistochemistry (Paraffin) (IHC (P))
          Phospho-SIK1/SIK2/SIK3 (Thr182, Thr175, Thr221) Antibody in Western Blot (WB)
          Phospho-SIK1/SIK2/SIK3 (Thr182, Thr175, Thr221) Polyclonal Antibody

          产品信息

          PA5-105914

          应用
          建议稀释比
          已发表文章

          免疫印迹 (WB)

          1:1,000-1:3,000
          -

          免疫组化(石蜡) (IHC (P))

          1:50-1:200
          -
          产品规格

          种属反应

          Human, Mouse, Rat

          宿主/亚型

          Rabbit / IgG

          分类

          Polyclonal

          类型

          Antibody

          抗原

          A synthesized peptide derived from human SIK1(Accession P57059), corresponding to amino acid residues around phosphorylated Thr182.
          3D表位/免疫原

          偶联物

          Unconjugated Unconjugated Unconjugated

          形式

          Liquid

          浓度

          1 mg/mL

          规格

          100 µg

          纯化类型

          sequential chromatography

          保存液

          PBS, pH 7.4, with 50% glycerol

          内含物

          0.02% sodium azide

          保存条件

          -20°C

          运输条件

          Ambient (domestic); Wet ice (international)

          RRID

          AB_2817313

          产品详细信息

          Specificity: Antibody detects endogenous levels of QIK/QSK only when phosphorylated at Thr182/Thr175/Thr221.

          靶标信息

          Serine/threonine-protein kinase (SIK1) involved in various processes such as cell cycle regulation, gluconeogenesis and lipogenesis regulation, muscle growth and differentiation and tumor suppression. Phosphorylates HDAC4, HDAC5, PPME1, SREBF1, CRTC1/TORC1. Inhibits CREB activity by phosphorylating and inhibiting activity of TORCs, the CREB-specific coactivators, like CRTC2/TORC2 and CRTC3/TORC3 in response to cAMP signaling. Acts as a tumor suppressor and plays a key role in p53/TP53-dependent anoikis, a type of apoptosis triggered by cell detachment: required for phosphorylation of p53/TP53 in response to loss of adhesion and is able to suppress metastasis. Part of a sodium-sensing signaling network, probably by mediating phosphorylation of PPME1: following increases in intracellular sodium, SIK1 is activated by CaMK1 and phosphorylates PPME1 subunit of protein phosphatase 2A (PP2A), leading to dephosphorylation of sodium/potassium-transporting ATPase ATP1A1 and subsequent increase activity of ATP1A1. Acts as a regulator of muscle cells by phosphorylating and inhibiting class II histone deacetylases HDAC4 and HDAC5, leading to promote expression of MEF2 target genes in myocytes. Also required during cardiomyogenesis by regulating the exit of cardiomyoblasts from the cell cycle via down-regulation of CDKN1C/p57Kip2. Acts as a regulator of hepatic gluconeogenesis by phosphorylating and repressing the CREB-specific coactivators CRTC1/TORC1 and CRTC2/TORC2, leading to inhibit CREB activity. Also regulates hepatic lipogenesis by phosphorylating and inhibiting SREBF1. In concert with CRTC1/TORC1, regulates the light-induced entrainment of the circadian clock by attenuating PER1 induction; represses CREB-mediated transcription of PER1 by phosphorylating and deactivating CRTC1/TORC1. SIK2 phosphorylates 'Ser-794' of IRS1 in insulin-stimulated adipocytes, potentially modulating the efficiency of insulin signal transduction. Inhibits CREB activity by phosphorylating and repressing TORCs, the CREB-specific coactivators. SIK3 is a positive regulator of mTOR signaling that functions by triggering the degradation of DEPTOR, an mTOR inhibitor. Involved in the dynamic regulation of mTOR signaling in chondrocyte differentiation during skeletogenesis. Negatively regulates cAMP signaling pathway possibly by acting on CRTC2/TORC2 and CRTC3/TORC3 (Probable). Prevents HDAC4 translocation to the nucleus.

          仅用于科研。不用于诊断过程。未经明确授权不得转售。

          篇参考文献 (0)

          您是否在文献中引用过该产品?请点击下方按钮邮件告知我们。
          引用该产品

          生物信息学

          蛋白别名: HRT-20; Myocardial SNF1-like kinase; Probable serine/threonine protein kinase SNF1LK (HRT-20) (Myocardial SNF1-like kinase); Probable serine/threonine-protein kinase SIK1B; Protein kinase KID2; Putative serine/threonine-protein kinase SIK1B; QIK; Qin-induced kinase; QSK; salt induceable kinase 2; Salt-inducible kinase 1; Salt-inducible kinase 1B; Salt-inducible kinase 2; Salt-inducible kinase 3; salt-inducible protein kinase 1; salt-inducible protein kinase 2; salt-inducible serine/threonine kinase 2; Serine/threonine-protein kinase QSK; Serine/threonine-protein kinase SIK1; Serine/threonine-protein kinase SIK2; Serine/threonine-protein kinase SIK3; Serine/threonine-protein kinase SNF1-like kinase 1; Serine/threonine-protein kinase SNF1-like kinase 2; Serine/threonine-protein kinase SNF1LK; SIK-1; SIK-2; SIK-3; SNF1-like kinase; SNF1-like kinase 2; unnamed protein product

          查看更多 收起

          基因别名: 5730525O22Rik; 9030204A07Rik; AI447252; AI846254; AI849445; DEE30; G630080D20Rik; KIAA0781; KIAA0999; Kid2; L19; LOH11CR1I; mKIAA0999; MSK; QIK; QSK; RGD1559698; SEMDK; SIK; SIK-1; SIK-2; SIK-3; SIK1; SIK1B; SIK2; SIK3; SNF1LK; SNF1LK2

          查看更多 收起

          UniProt ID: (Human) P57059, (Human) Q9H0K1, (Human) Q9Y2K2, (Mouse) Q60670, (Rat) Q9R1U5, (Mouse) Q8CFH6, (Mouse) Q6P4S6

          查看更多 收起

          Entrez Gene ID: (Human) 150094, (Human) 23235, (Human) 23387, (Mouse) 17691, (Rat) 59329, (Mouse) 235344, (Rat) 315649, (Mouse) 70661, (Rat) 684112

          查看更多 收起

          功能
          nucleotide binding magnesium ion binding protein kinase activity protein serine/threonine kinase activity protein binding ATP binding cAMP response element binding protein binding kinase activity transferase activity protein kinase binding histone deacetylase binding metal ion binding 14-3-3 protein binding protein serine kinase activity tau-protein kinase activity transferase activity, transferring phosphorus-containing groups non-receptor serine/threonine protein kinase
          参与通路
          negative regulation of transcription from RNA polymerase II promoter regulation of sodium ion transport protein phosphorylation regulation of mitotic cell cycle regulation of myotube differentiation negative regulation of triglyceride biosynthetic process cell differentiation negative regulation of CREB transcription factor activity intracellular signal transduction entrainment of circadian clock by photoperiod anoikis regulation of cell differentiation negative regulation of gluconeogenesis protein autophosphorylation rhythmic process cardiac muscle cell differentiation positive regulation of anoikis lipid biosynthetic process ERAD pathway regulation of insulin receptor signaling pathway microtubule cytoskeleton organization positive regulation of TORC1 signaling positive regulation of TORC2 signaling cell cycle multicellular organism development phosphorylation insulin receptor signaling pathway endochondral ossification regulation of protein localization limb morphogenesis multicellular organism growth skeletal system morphogenesis cartilage development involved in endochondral bone morphogenesis
          It has to be done as per old AB suggested Products section.

          Disclaimer

          Close

          Clicking the images or links will redirect you to a website hosted by BenchSci that provides third-party scientific content. Neither the content nor the BenchSci technology and processes for selection have been evaluated by us; we are providing them as-is and without warranty of any kind, including for use or application of the Thermo Fisher Scientific products presented.

          guarantee_icon

          性能保障

          只要您发现Invitrogen抗体在实验中的表现与网站或说明书的所述内容不符,您即可享受免费退换货服务。*

          了解更多
          help_icon

          随时为您服务

          获取常见问题的专家解答,或者直接联系我们的技术专家,咨询应用、设备、常规产品使用问题。

          联系技术支持
          订购 Plus Icon Minus Icon
          • 订单状态查询
          • 订单支持
          • 货号直购
          • 现货供应中心
          • 电子采购
          支持 Plus Icon Minus Icon
          • 帮助&支持
          • 联系我们 - 400 820 8982
          • 技术支持中心
          • 查找文件&证书
          • 报告网站问题
          资源 Plus Icon Minus Icon
          • 学习中心
          • 促销
          • 活动&研讨会
          • 社交媒体
          关于赛默飞 Plus Icon Minus Icon
          • 关于我们
          • 招聘 招聘
          • 投资者关系 投资者关系
          • 新闻 新闻
          • 社会责任 社会责任
          • 商标
          • 政策和通知
          品牌 Plus Icon Minus Icon
          • Thermo Scientific
          • Applied Biosystems
          • Invitrogen
          • Gibco
          • Ion Torrent
          • Unity Lab Services
          • Patheon
          • PPD
          • 服务条款
          • 隐私政策
          • 定价和运输保险政策
          © 2006-2026 Thermo Fisher Scientific Inc. All rights reserved. All trademarks are the property of Thermo Fisher Scientific and its subsidiaries unless otherwise specified.
          China flag icon
          China
          本网站销售的所有产品均不得用于人类或动物之临床诊断或治疗,仅可用于工业或者科研等非医疗目的。
             电子营业执照 | 经营证照公示 | ICP备案号:沪ICP备11003924号 | 沪公网安备 31011502006935号

          Your items have has been added!


          Host server : magellan-search-green-6479c7f679-zb4k5:80/100.66.74.142:80.
          git-commit: b70c0dceb888abc3b0dcebb5bc3a5b8753e7e816
          git-url: https://github.com/thermofisher/magellan-search
          git-branch: release/2.50.0-Offline