Hamburger Menu Button
Thermo Fisher Scientific Logo
Sign in
Don't have an account ? Create Account
  • Products
    • Antibodies
    • Custom DNA Oligos
    • GeneArt Gene Synthesis Instant Designer
    • TaqMan Assay and Array Search
    • PCR Equipment and Supplies
    • Chromatography Columns and Cartridges
    • Lab Centrifuges
    • Molecular Biology Reagents and Kits
    • Lab Plasticware and Supplies
    • See all product categories
  • Applications
    • Chromatography
    • Cell Culture
    • Real-Time PCR
    • Mass Spectrometry
    • Lab Plasticware and Supplies
    • Electron Microscopy
    • Protein Biology
    • PCR
    • RNAi
    • Environmental
    • See all applications and techniques
  • Services
    • Custom Services
    • Enterprise-Level Lab Informatics
    • Enterprise Services
    • Financial and Leasing Services
    • Instrument Services
    • OEM and Commercial Supply
    • Training Services
    • 360° CDMO and CRO Solutions
    • CDMO Services
    • CRO Services
    • See all services
  • Help and Support
    • Learning Centers
    • Contact Us
    • Change Location
    • See all help and support topics
  • Popular
    • TaqMan Real-Time PCR Assays
      TaqMan Real-Time PCR Assays
    • Antibodies
      Antibodies
    • Oligos, Primers & Probes
      Oligos, Primers & Probes
    • GeneArt Gene Synthesis
      GeneArt Gene Synthesis
    • Cell Culture Plastics
      Cell Culture Plastics
  • Contact Us
  • Quick Order
  • Order Status and Tracking
  • Documents and Certificates
Thermo Fisher Scientific Logo

Search

Search All
Search button
          • Contact Us
          • Quick Order
          • Sign in
            Sign in
            Don't have an account ? Create Account
            • Account
            • Check Order Status
            • AR Statement & Invoice Inquiry
            • Custom Products & Projects
            • Instrument Management

          Disclaimer

          Clicking the images or links will redirect you to a website hosted by BenchSci that provides third-party scientific content. Neither the content nor the BenchSci technology and processes for selection have been evaluated by us; we are providing them as-is and without warranty of any kind, including for use or application of the Thermo Fisher Scientific products presented.

          • Primary Antibodies ›
          • ALDH2 Antibodies

          Invitrogen

          ALDH2 Polyclonal Antibody

          Advanced Verification
          2 References
          View all (23) ALDH2 antibodies

          {{$productOrderCtrl.translations['antibody.pdp.commerceCard.promotion.promotions']}}

          {{$productOrderCtrl.translations['antibody.pdp.commerceCard.promotion.viewpromo']}}

          {{$productOrderCtrl.translations['antibody.pdp.commerceCard.promotion.promocode']}}: {{promo.promoCode}} {{promo.promoTitle}} {{promo.promoDescription}}. {{$productOrderCtrl.translations['antibody.pdp.commerceCard.promotion.learnmore']}}

          Datasheet
          Protocols
          Questions & Answers
          Tech Support
          Datasheet
          Protocols
          Questions & Answers
          Tech Support
          Datasheet
          Protocols
          Questions & Answers
          Tech Support

          Cite ALDH2 Polyclonal Antibody

          • Antibody Testing Data (7)
          • Advanced Verification (1)
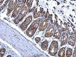
          ALDH2 Antibody in Immunohistochemistry (Paraffin) (IHC (P))
          Group 53 Created with Sketch.
          ALDH2 Antibody in Immunohistochemistry (Paraffin) (IHC (P))
          Group 53 Created with Sketch.

          FIGURE: 1 / 8

          {{ $ctrl.currentElement.advancedVerification.fullName }}
          {{ $ctrl.currentElement.advancedVerification.text }}

          ALDH2 Antibody (PA5-27414) in IHC (P)

          ALDH2 Polyclonal Antibody detects ALDH2 protein at mitochondria on mouse prostate by immunohistochemical analysis. Sample: Paraffin-embedded mouse prostate. ALDH2 Polyclonal Antibody (Product # PA5-27414) dilution: 1:500. Antigen Retrieval: EDTA based buffer, pH 8.0, 15 min. {{ $ctrl.currentElement.advancedVerification.fullName }} validation info. View more
          Published figure supplied by benchsci-logo
          PMID: {{$ctrl.currentElement.benchSciPubmedId}}
          View Product

          {{$ctrl.videoDesc}}

          {{$ctrl.videoLongDesc}}

          ALDH2 Antibody in Immunohistochemistry (Paraffin) (IHC (P))
          ALDH2 Antibody in Immunohistochemistry (Paraffin) (IHC (P))
          ALDH2 Antibody in Immunohistochemistry (Paraffin) (IHC (P))
          ALDH2 Antibody in Western Blot (WB)
          ALDH2 Antibody in Western Blot (WB)
          ALDH2 Antibody in Western Blot (WB)
          ALDH2 Antibody in ELISA (ELISA)
          ALDH2 Antibody

          Product Details

          PA5-27414

          Applications
          Tested Dilution
          Publications

          Western Blot (WB)

          1:500-1:3,000
          -

          Immunohistochemistry (IHC)

          -
          View 2 publications 2 publications

          Immunohistochemistry (Paraffin) (IHC (P))

          1:100-1:1,000
          -

          ELISA (ELISA)

          1:1,000-1:10,000
          -
          Product Specifications

          Species Reactivity

          Human, Mouse, Rat

          Published species

          C. elegans, Human

          Host/Isotype

          Rabbit / IgG

          Class

          Polyclonal

          Type

          Antibody

          Immunogen

          Recombinant protein encompassing a sequence within the center region of human ALDH2. The exact sequence is proprietary.

          Conjugate

          Unconjugated Unconjugated Unconjugated

          Form

          Liquid

          Concentration

          0.23 mg/mL

          Purification

          Antigen affinity chromatography

          Storage buffer

          PBS, pH 7, with 20% glycerol, 1% BSA

          Contains

          0.025% ProClin 300

          Storage conditions

          Store at 4°C short term. For long term storage, store at -20°C, avoiding freeze/thaw cycles.

          Shipping conditions

          Ambient (domestic); Wet ice (international)

          RRID

          AB_2544890

          Product Specific Information

          Recommended positive controls: GL261, C8D30, BCL-1, Raw264.7, HepG2, HepG2 cytoplasm extract.

          Predicted reactivity: Mouse (95%), Rat (96%), Xenopus laevis (82%), Pig (94%), Bovine (94%).

          Store product as a concentrated solution. Centrifuge briefly prior to opening the vial.

          Target Information

          ALDH2 belongs to the aldehyde dehydrogenase family of proteins. Aldehyde dehydrogenase is the second enzyme of the major oxidative pathway of alcohol metabolism. Two major liver isoforms of this enzyme, cytosolic and mitochondrial, can be distinguished by their electrophoretic mobilities, kinetic properties, and subcellular localizations. Most Caucasians have two major isozymes, while approximately 50% of Asians have only the cytosolic isozyme, missing the mitochondrial isozyme. A remarkably higher frequency of acute alcohol intoxication among Asians than among Caucasians could be related to the absence of the mitochondrial isozyme.

          For Research Use Only. Not for use in diagnostic procedures. Not for resale without express authorization.

          Bioinformatics

          Protein Aliases: acetaldehyde dehydrogenase 2; AHD-M1; aldehyde dehydrogenase 2, mitochondrial; Aldehyde dehydrogenase, mitochondrial; ALDH class 2; ALDH-E2; ALDH1; ALDHI; EC 1.2.1.3; liver mitochondrial ALDH; MGC1806; mitochondrial aldehyde dehydrogenase; nucleus-encoded mitochondrial aldehyde dehydrogenase 2

          View more View less

          Gene Aliases: Ahd-1; Ahd-5; AHD-M1; Ahd1; Ahd5; ALDH-E2; ALDH2; ALDHI; ALDM

          View more View less

          UniProt ID: (Human) P05091, (Rat) P11884, (Mouse) P47738

          View more View less

          Entrez Gene ID: (Human) 217, (Rat) 29539, (Mouse) 11669

          View more View less

          Function(s)
          aldehyde dehydrogenase (NAD) activity aldehyde dehydrogenase [NAD(P)+] activity electron carrier activity protein binding oxidoreductase activity, acting on the aldehyde or oxo group of donors, NAD or NADP as acceptor identical protein binding NADH binding dehydrogenase oxidoreductase metabolite interconversion enzyme
          Process(es)
          carbohydrate metabolic process alcohol metabolic process ethanol catabolic process ethanol oxidation liver development response to estradiol response to lipopolysaccharide response to progesterone cellular response to hormone stimulus response to testosterone response to nicotine negative regulation of apoptotic process response to hyperoxia oxidation-reduction process cellular response to fatty acid
          It has to be done as per old AB suggested Products section.
          guarantee_icon

          Performance Guarantee

          If an Invitrogen™ antibody doesn't perform as described on our website or datasheet,we'll replace the product at no cost to you, or provide you with a credit for a future purchase.*

          Learn more
          help_icon

          We're here to help

          Get expert recommendations for common problems or connect directly with an on staff expert for technical assistance related to applications, equipment and general product use.

          Contact tech support
          Ordering Plus Icon Minus Icon
          • Order Status
          • Order Help
          • Quick Order
          • Supply Center
          • eProcurement
          Support Plus Icon Minus Icon
          • Help and Support
          • Contact Us - 400 820 8982
          • Technical Support Centers
          • Documents and Certificates
          • Report a Site Issue
          Resources Plus Icon Minus Icon
          • Learning Centers
          • Promotions
          • Events and Webinars
          • Social Media
          About Thermo Fisher Plus Icon Minus Icon
          • About Us About Us
          • Careers Careers
          • Investors Investors
          • News News
          • Social Responsibility Social Responsibility
          • Trademarks
          • Policies and Notices
          Our Portfolio Plus Icon Minus Icon
          • Thermo Scientific
          • Applied Biosystems
          • Invitrogen
          • Gibco
          • Ion Torrent
          • Patheon
          • PPD
          • Terms & Conditions
          • Privacy Policy
          • Price & Freight Policy
          © 2006-2025 Thermo Fisher Scientific Inc. All rights reserved. All trademarks are the property of Thermo Fisher Scientific and its subsidiaries unless otherwise specified.
          China flag icon
          China
          本网站销售的所有产品均不得用于人类或动物之临床诊断或治疗,仅可用于工业或者科研等非医疗目的。
             电子营业执照 | 经营证照公示 | ICP备案号:沪ICP备11003924号 | 沪公网安备 31011502006935号

          Your items have has been added!


          Host server : magellan-search-green-55658555d6-4bppj:80/100.66.74.117:80.
          git-commit: ec8e7df5f8fec8d765bd419205f1b5046a016d37
          git-url: https://github.com/thermofisher/magellan-search
          git-branch: release/2.41.0-Offline