Hamburger Menu Button
Thermo Fisher Scientific Logo
登录
没有账号?建立账号 注册
  • 产品
    • 抗体
    • 引物合成
    • GeneArt Gene Synthesis Instant Designer
    • TaqMan Assay and Array Search
    • PCR 设备和耗材
    • 色谱柱和纯化柱
    • 实验室离心机
    • 分子生物学试剂和试剂盒
    • 实验室塑料耗材及用品
    • 查看所有产品分类
  • 应用和技术
    • 色谱
    • 细胞转染和培养
    • 实时荧光定量PCR
    • 质谱
    • 实验室塑料耗材及用品
    • 电子显微镜
    • 蛋白质生物学
    • PCR
    • RNAi
    • 环境
    • 查看所有应用和技术
  • 服务
    • 定制服务
    • 企业级实验室信息化服务
    • 金融&租赁服务
    • 仪器服务
    • OEM和商业供应
    • 培训服务
    • 360° CDMO 和 CRO 服务
    • CDMO 服务
    • 临床试验 CRO 服务
    • Unity Lab Services
    • 查看所有帮助和支持
  • 帮助和支持
    • 学习中心
    • 联系我们
    • 更改国家或地区
    • 查看所有帮助和支持
  • 热门产品
    • TaqMan Real-Time PCR Assays
      TaqMan 实时荧光定量 PCR 试剂盒
    • Antibodies
      抗体
    • Oligos, Primers & Probes
      寡核苷酸、引物、探针
    • GeneArt Gene Synthesis
      GeneArt 基因合成
    • Cell Culture Plastics
      细胞培养耗材
  • Who We Serve
    • 抗体治疗解决方案
    • 细胞与基因治疗解决方案
    • 学术科研
    • 工业与应用
  • 联系我们
  • 货号直购
  • 订单查询
  • 查找文件&证书
Thermo Fisher Scientific Logo

Search

搜索全部或下列指定分类
Search button
          • 联系我们
          • 货号直购
          • 登录
            登录
            没有账号?建立账号 注册
            • 我的账号
            • 订单
            • 会员中心
            • 账单及发票查询
            • 定制产品及项目
          • Primary Antibodies ›
          • CD9 Antibodies

          Invitrogen

          CD9 Monoclonal Antibody (MM2/57)

          7个已发表图片
          24 篇参考文献
          查看其他63个CD9抗体

          {{$productOrderCtrl.translations['antibody.pdp.commerceCard.promotion.promotions']}}

          {{$productOrderCtrl.translations['antibody.pdp.commerceCard.promotion.viewpromo']}}

          {{$productOrderCtrl.translations['antibody.pdp.commerceCard.promotion.promocode']}}: {{promo.promoCode}} {{promo.promoTitle}} {{promo.promoDescription}}. {{$productOrderCtrl.translations['antibody.pdp.commerceCard.promotion.learnmore']}}

          说明书
          证书
          实验方案
          问题与答案
          技术支持
          说明书
          证书
          实验方案
          问题与答案
          技术支持
          说明书
          证书
          实验方案
          问题与答案
          技术支持

          Cite CD9 Monoclonal Antibody (MM2/57)

          Additional Information:
          {{banner.description}}
          {{$ctrl.isSkuNotesCollapsed ? 'View more' : 'View less'}}
          • 已发表图片 (7)
          CD9 Antibody in Western Blot (WB)
          Group 53 Created with Sketch.
          CD9 Antibody in Western Blot (WB)
          Group 53 Created with Sketch.

          图: 1 / 7

          {{ $ctrl.currentElement.advancedVerification.fullName }}
          {{ $ctrl.currentElement.advancedVerification.text }}

          CD9 Antibody (AHS0902) in WB

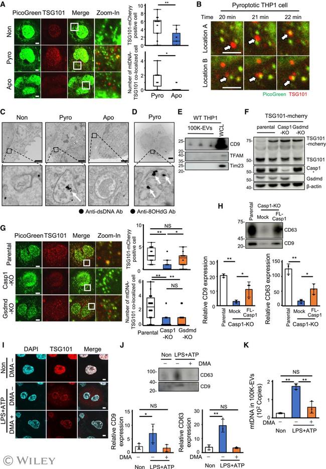
          The EMBO journal 2023 - 3 Figure Involvement of caspase-1 in ILV formation A, B Formation of Tsg101 puncta and co-localization with mtDNA. THP-1 cells transduced with Tsg101-mCherry (red) were stained with PicoGreen (green) and induced to undergo cell death (no death, pyroptosis, or apoptosis). Co-localization of mtDNA with Tsg101 was visualized using confocal microscopy (left). The number of cells expressing Tsg101 puncta (upper)... View More {{ $ctrl.currentElement.advancedVerification.fullName }} 验证信息 View more
          已发表图片由___提供 benchsci-logo
          PMID: {{$ctrl.currentElement.benchSciPubmedId}}
          查看产品

          {{$ctrl.videoDesc}}

          {{$ctrl.videoLongDesc}}

          CD9 Antibody in Western Blot (WB)
          CD9 Antibody in Western Blot (WB)
          CD9 Antibody in Western Blot (WB)
          CD9 Antibody in Western Blot (WB)
          CD9 Antibody in Western Blot (WB)
          CD9 Antibody in Western Blot (WB)
          CD9 Antibody in Western Blot (WB)

          产品信息

          AHS0902

          应用
          建议稀释比
          已发表文章

          免疫印迹 (WB)

          Assay-dependent
          查看14篇已发表文章 14篇已发表文章

          免疫组化 (IHC)

          Assay-dependent
          -

          免疫细胞化学 (ICC/IF)

          -
          查看4篇已发表文章 4篇已发表文章

          流式细胞分析 (Flow)

          Assay-dependent
          查看1篇已发表文章 1篇已发表文章

          免疫沉淀 (IP)

          Assay-dependent
          查看2篇已发表文章 2篇已发表文章

          免疫电镜技术 (IM)

          -
          查看1篇已发表文章 1篇已发表文章

          其他PubMed (Misc)

          -
          查看2篇已发表文章 2篇已发表文章
          产品规格

          种属反应

          Human, Mouse, Rabbit

          已发表种属

          Human, Mouse, Pig, Rat

          宿主/亚型

          Mouse / IgG2b, kappa

          分类

          Monoclonal

          类型

          Antibody

          克隆号

          MM2/57

          抗原

          Human platelet glycoprotein

          偶联物

          Unconjugated Unconjugated Unconjugated

          形式

          Liquid

          浓度

          0.1 mg/mL

          规格

          100 µg

          纯化类型

          Protein A

          保存液

          PBS with 0.1% BSA

          内含物

          0.1% sodium azide

          保存条件

          4°C

          运输条件

          Ambient (domestic); Wet ice (international)

          RRID

          AB_2536363

          靶标信息

          CD9 antigen is a glycoprotein expressed on the surface of developing B lymphocytes, platelets, monocytes, eosinophils, basophil, stimulated T lymphocytes and by neurons and glial cells in the peripheral nervous system. CD9 belongs to a family of membrane proteins termed tetraspanins which transverse the membrane four times. In pre B cells and platelets, CD9 antigen regulates cell activation and aggregation possibly through an association with the integrin CD41 / CD61 (GPIIb / GPIIIa). CD9 is involved in cell motility, osteoclastogenesis, neurite outgrowth, myotube formation, and sperm-egg fusion, plays roles in cell attachment and proliferation and is necessary for association of heterologous MHC II molecules on the dendritic cell plasma membrane which is important for effective T cell stimulation. CD9 functions in many cellular processes including differentiation, adhesion, and signal transduction, and expression plays a critical role in the suppression of cancer cell motility and metastasis. CD9 is also considered as metastasis suppressor in solid tumors.

          仅用于科研。不用于诊断过程。未经明确授权不得转售。

          生物信息学

          蛋白别名: 5H9; 5H9 antigen; antigen CD9; BA-2/p24 antigen; BA2; BTCC-1p; CD9; CD9 antigen; CD9 antigen (p24); Cell growth-inhibiting gene 2 protein; GIG2; Leukocyte antigen MIC3; motility related protein-1; Motility-related protein; MRP-1; p24; sCD 9; sCD9; soluble CD 9; soluble CD9; Tetraspanin-29; Tetraspanin29; Tspan-29; unnamed protein product

          查看更多 收起

          基因别名: BTCC-1; CD9; DRAP-27; GIG2; MIC3; MRP-1; TSPAN-29; TSPAN29

          查看更多 收起

          UniProt ID: (Human) P21926, (Mouse) P40240

          查看更多 收起

          Entrez Gene ID: (Rabbit) 100345844, (Human) 928, (Mouse) 12527

          查看更多 收起

          功能
          integrin binding protein binding
          参与通路
          movement of cell or subcellular component cell adhesion single fertilization fusion of sperm to egg plasma membrane negative regulation of cell proliferation paranodal junction assembly nervous system development cell proliferation glial cell migration oligodendrocyte development myoblast fusion involved in skeletal muscle regeneration cell differentiation platelet activation receptor internalization sperm-egg recognition cellular response to low-density lipoprotein particle stimulus negative regulation of platelet aggregation regulation of macrophage migration
          It has to be done as per old AB suggested Products section.

          Disclaimer

          Close

          Clicking the images or links will redirect you to a website hosted by BenchSci that provides third-party scientific content. Neither the content nor the BenchSci technology and processes for selection have been evaluated by us; we are providing them as-is and without warranty of any kind, including for use or application of the Thermo Fisher Scientific products presented.

          guarantee_icon

          性能保障

          只要您发现Invitrogen抗体在实验中的表现与网站或说明书的所述内容不符,您即可享受免费退换货服务。*

          了解更多
          help_icon

          随时为您服务

          获取常见问题的专家解答,或者直接联系我们的技术专家,咨询应用、设备、常规产品使用问题。

          联系技术支持
          订购 Plus Icon Minus Icon
          • 订单状态查询
          • 订单支持
          • 货号直购
          • 现货供应中心
          • 电子采购
          支持 Plus Icon Minus Icon
          • 帮助&支持
          • 联系我们 - 400 820 8982
          • 技术支持中心
          • 查找文件&证书
          • 报告网站问题
          资源 Plus Icon Minus Icon
          • 学习中心
          • 促销
          • 活动&研讨会
          • 社交媒体
          关于赛默飞 Plus Icon Minus Icon
          • 关于我们
          • 招聘 招聘
          • 投资者关系 投资者关系
          • 新闻 新闻
          • 社会责任 社会责任
          • 商标
          • 政策和通知
          品牌 Plus Icon Minus Icon
          • Thermo Scientific
          • Applied Biosystems
          • Invitrogen
          • Gibco
          • Ion Torrent
          • Unity Lab Services
          • Patheon
          • PPD
          • 服务条款
          • 隐私政策
          • 定价和运输保险政策
          © 2006-2026 Thermo Fisher Scientific Inc. All rights reserved. All trademarks are the property of Thermo Fisher Scientific and its subsidiaries unless otherwise specified.
          China flag icon
          China
          本网站销售的所有产品均不得用于人类或动物之临床诊断或治疗,仅可用于工业或者科研等非医疗目的。
             电子营业执照 | 经营证照公示 | ICP备案号:沪ICP备11003924号 | 沪公网安备 31011502006935号

          Your items have has been added!


          Host server : magellan-search-green-6479c7f679-l2s7p:80/100.66.76.236:80.
          git-commit: b70c0dceb888abc3b0dcebb5bc3a5b8753e7e816
          git-url: https://github.com/thermofisher/magellan-search
          git-branch: release/2.50.0-Offline