Hamburger Menu Button
Thermo Fisher Scientific Logo
登录
没有账号?建立账号 注册
  • 产品
    • 抗体
    • 引物合成
    • GeneArt Gene Synthesis Instant Designer
    • TaqMan Assay and Array Search
    • PCR 设备和耗材
    • 色谱柱和纯化柱
    • 实验室离心机
    • 分子生物学试剂和试剂盒
    • 实验室塑料耗材及用品
    • 查看所有产品分类
  • 应用和技术
    • 色谱
    • 细胞转染和培养
    • 实时荧光定量PCR
    • 质谱
    • 实验室塑料耗材及用品
    • 电子显微镜
    • 蛋白质生物学
    • PCR
    • RNAi
    • 环境
    • 查看所有应用和技术
  • 服务
    • 定制服务
    • 企业级实验室信息化服务
    • 金融&租赁服务
    • 仪器服务
    • OEM和商业供应
    • 培训服务
    • 360° CDMO 和 CRO 服务
    • CDMO 服务
    • 临床试验 CRO 服务
    • Unity Lab Services
    • 查看所有帮助和支持
  • 帮助和支持
    • 学习中心
    • 联系我们
    • 更改国家或地区
    • 查看所有帮助和支持
  • 热门产品
    • TaqMan Real-Time PCR Assays
      TaqMan 实时荧光定量 PCR 试剂盒
    • Antibodies
      抗体
    • Oligos, Primers & Probes
      寡核苷酸、引物、探针
    • GeneArt Gene Synthesis
      GeneArt 基因合成
    • Cell Culture Plastics
      细胞培养耗材
  • Who We Serve
    • 抗体治疗解决方案
    • 细胞与基因治疗解决方案
    • 学术科研
    • 工业与应用
  • 联系我们
  • 货号直购
  • 订单查询
  • 查找文件&证书
Thermo Fisher Scientific Logo

Search

搜索全部或下列指定分类
Search button
          • 联系我们
          • 货号直购
          • 登录
            登录
            没有账号?建立账号 注册
            • 我的账号
            • 订单
            • 会员中心
            • 账单及发票查询
            • 定制产品及项目
          • Primary Antibodies ›
          • CRHR1 Antibodies

          Invitrogen

          CRHR1 Polyclonal Antibody

          查看其他14个CRHR1抗体

          {{$productOrderCtrl.translations['antibody.pdp.commerceCard.promotion.promotions']}}

          {{$productOrderCtrl.translations['antibody.pdp.commerceCard.promotion.viewpromo']}}

          {{$productOrderCtrl.translations['antibody.pdp.commerceCard.promotion.promocode']}}: {{promo.promoCode}} {{promo.promoTitle}} {{promo.promoDescription}}. {{$productOrderCtrl.translations['antibody.pdp.commerceCard.promotion.learnmore']}}

          说明书
          证书
          实验方案
          问题与答案
          技术支持
          说明书
          证书
          实验方案
          问题与答案
          技术支持
          说明书
          证书
          实验方案
          问题与答案
          技术支持

          Cite CRHR1 Polyclonal Antibody

          Additional Information:
          {{banner.description}}
          {{$ctrl.isSkuNotesCollapsed ? 'View more' : 'View less'}}
          • 抗体检测数据 (2)
          CRHR1 Antibody in Immunocytochemistry (ICC/IF)
          Group 53 Created with Sketch.
          CRHR1 Antibody in Immunocytochemistry (ICC/IF)
          Group 53 Created with Sketch.

          图: 1 / 2

          {{ $ctrl.currentElement.advancedVerification.fullName }}
          {{ $ctrl.currentElement.advancedVerification.text }}

          CRHR1 Antibody (PA5-18625) in ICC/IF

          Immunocytochemistry analysis of CRHR1 using CRHR1 Polyclonal Antibody (Product # PA5-18625) in paraformaldehyde fixed MCF7 cells, permeabilized with 0.15% Triton. Primary incubation 1hr (10 µg/mL) followed by Alexa Fluor 488 secondary antibody (2 µg/mL), showing cytoplasmic and vesicle staining. The nuclear stain is DAPI (blue). Negative control: Unimmunized goat IgG (10 µg/mL) followed by Alexa Fluor 488 secondary antibody (2 µg/mL). {{ $ctrl.currentElement.advancedVerification.fullName }} 验证信息 View more
          已发表图片由___提供 benchsci-logo
          PMID: {{$ctrl.currentElement.benchSciPubmedId}}
          查看产品

          {{$ctrl.videoDesc}}

          {{$ctrl.videoLongDesc}}

          CRHR1 Antibody in Immunocytochemistry (ICC/IF)
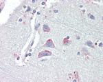
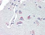
          CRHR1 Antibody in Immunohistochemistry (Paraffin) (IHC (P))
          CRHR1 Polyclonal Antibody

          产品信息

          PA5-18625

          应用
          建议稀释比
          已发表文章

          免疫印迹 (WB)

          Assay-dependent
          -

          免疫组化(石蜡) (IHC (P))

          5 µg/mL
          -

          免疫细胞化学 (ICC/IF)

          10 µg/mL
          -
          产品规格

          种属反应

          Human, Mouse

          宿主/亚型

          Goat / IgG

          分类

          Polyclonal

          类型

          Antibody

          抗原

          Synthetic peptide sequence (KLYYDNEKCWFGKR) corresponding to the internal amino acids of CRHR1 (aa 279-292).
          3D表位/免疫原

          偶联物

          Unconjugated Unconjugated Unconjugated

          形式

          Liquid

          浓度

          0.5 mg/mL

          规格

          100 µg

          纯化类型

          Ammonium sulfate precipitation

          保存液

          TBS, pH 7.3, with 0.5% BSA

          内含物

          0.02% sodium azide

          保存条件

          -20°C, Avoid Freeze/Thaw Cycles

          运输条件

          Ambient (domestic); Wet ice (international)

          RRID

          AB_10983269

          产品详细信息

          This antibody is predicted to react with bovine, canine, human, ovine and rat based on sequence homology.

          This antibody is tested in Peptide ELISA: antibody detection limit dilution 1,000.

          靶标信息

          Corticotropin-releasing factor receptor 1 (CRFR1/CRHR1), a Corticotropin-Releasing Factor Receptor, is involved in mediating the stress response and anxiety-related behaviors. Mutations of the receptor reduce anxiety-related behaviors and may be involved in the pathogenesis of Cushing disease. Multiple isoforms of CRFR1 are produced by alternative splicing. CRFR1 has been reported to be expressed in the pituitary, adrenal gland, brain, colon, ovary, placenta, testis, white blood cells, and skin. ESTs have been isolated from human brain, eye, colon, and embryo libraries.

          仅用于科研。不用于诊断过程。未经明确授权不得转售。

          篇参考文献 (0)

          您是否在文献中引用过该产品?请点击下方按钮邮件告知我们。
          引用该产品

          生物信息学

          蛋白别名: Corticotropin-releasing factor receptor 1; corticotropin-releasing factor receptor variant 1j; corticotropin-releasing factor type 1 receptor; Corticotropin-releasing hormone receptor 1; CRF 1 receptor; Crf receptor 1; Crf type 1; CRF-R-1; CRF-R1; CRF-R1alpha; Crf1 receptor; CRF1I; CRFR-1; CRH receptor subtype-1 isoform-3; CRH-R-1; CRH-R1; CRH-R1d; type 1 CRH receptor; CRH-R1h; CRHR1e; CRHR1f; CRHR1g; G protein-coupled receptor; seven transmembrane helix receptor

          查看更多 收起

          基因别名: CRF-R; CRF-R-1; CRF-R1; CRF1; CRFR; CRFR-1; CRFR1; CRH-R-1; CRH-R1; CRHR; CRHR1; CRHR1L

          查看更多 收起

          UniProt ID: (Human) P34998, (Mouse) P35347

          查看更多 收起

          Entrez Gene ID: (Human) 1394, (Mouse) 12921

          查看更多 收起

          功能
          transmembrane signaling receptor activity G-protein coupled receptor activity protein binding G-protein coupled peptide receptor activity corticotrophin-releasing factor receptor activity corticotropin-releasing hormone receptor activity corticotropin-releasing hormone binding G-protein alpha-subunit binding signal transducer activity protein complex binding peptide binding transmembrane signal receptor
          参与通路
          immune response signal transduction cell surface receptor signaling pathway G-protein coupled receptor signaling pathway adenylate cyclase-activating G-protein coupled receptor signaling pathway activation of adenylate cyclase activity female pregnancy parturition hormone-mediated signaling pathway adrenal gland development cellular response to hormone stimulus exploration behavior fear response behavioral response to ethanol regulation of transport corticotropin secretion general adaptation syndrome, behavioral process cellular response to corticotropin-releasing hormone stimulus negative regulation of voltage-gated calcium channel activity regulation of corticosterone secretion response to hypoxia adenylate cyclase-modulating G-protein coupled receptor signaling pathway phospholipase C-activating G-protein coupled receptor signaling pathway positive regulation of cytosolic calcium ion concentration neuropeptide signaling pathway memory feeding behavior visual learning regulation of adenylate cyclase activity involved in G-protein coupled receptor signaling pathway positive regulation of adenylate cyclase activity involved in G-protein coupled receptor signaling pathway positive regulation of cAMP biosynthetic process epithelial cell differentiation negative regulation of epinephrine secretion locomotory exploration behavior positive regulation of mast cell degranulation behavioral response to cocaine regulation of synaptic plasticity behavioral response to pain response to electrical stimulus long-term synaptic potentiation negative regulation of neuron death negative regulation of feeding behavior
          It has to be done as per old AB suggested Products section.

          Disclaimer

          Close

          Clicking the images or links will redirect you to a website hosted by BenchSci that provides third-party scientific content. Neither the content nor the BenchSci technology and processes for selection have been evaluated by us; we are providing them as-is and without warranty of any kind, including for use or application of the Thermo Fisher Scientific products presented.

          guarantee_icon

          性能保障

          只要您发现Invitrogen抗体在实验中的表现与网站或说明书的所述内容不符,您即可享受免费退换货服务。*

          了解更多
          help_icon

          随时为您服务

          获取常见问题的专家解答,或者直接联系我们的技术专家,咨询应用、设备、常规产品使用问题。

          联系技术支持
          订购 Plus Icon Minus Icon
          • 订单状态查询
          • 订单支持
          • 货号直购
          • 现货供应中心
          • 电子采购
          支持 Plus Icon Minus Icon
          • 帮助&支持
          • 联系我们 - 400 820 8982
          • 技术支持中心
          • 查找文件&证书
          • 报告网站问题
          资源 Plus Icon Minus Icon
          • 学习中心
          • 促销
          • 活动&研讨会
          • 社交媒体
          关于赛默飞 Plus Icon Minus Icon
          • 关于我们
          • 招聘 招聘
          • 投资者关系 投资者关系
          • 新闻 新闻
          • 社会责任 社会责任
          • 商标
          • 政策和通知
          品牌 Plus Icon Minus Icon
          • Thermo Scientific
          • Applied Biosystems
          • Invitrogen
          • Gibco
          • Ion Torrent
          • Unity Lab Services
          • Patheon
          • PPD
          • 服务条款
          • 隐私政策
          • 定价和运输保险政策
          © 2006-2026 Thermo Fisher Scientific Inc. All rights reserved. All trademarks are the property of Thermo Fisher Scientific and its subsidiaries unless otherwise specified.
          China flag icon
          China
          本网站销售的所有产品均不得用于人类或动物之临床诊断或治疗,仅可用于工业或者科研等非医疗目的。
             电子营业执照 | 经营证照公示 | ICP备案号:沪ICP备11003924号 | 沪公网安备 31011502006935号

          Your items have has been added!


          Host server : magellan-search-green-6479c7f679-v472f:80/100.66.78.195:80.
          git-commit: b70c0dceb888abc3b0dcebb5bc3a5b8753e7e816
          git-url: https://github.com/thermofisher/magellan-search
          git-branch: release/2.50.0-Offline