Hamburger Menu Button
Thermo Fisher Scientific Logo
登录
没有账号?建立账号 注册
  • 产品
    • 抗体
    • 引物合成
    • GeneArt Gene Synthesis Instant Designer
    • TaqMan Assay and Array Search
    • PCR 设备和耗材
    • 色谱柱和纯化柱
    • 实验室离心机
    • 分子生物学试剂和试剂盒
    • 实验室塑料耗材及用品
    • 查看所有产品分类
  • 应用和技术
    • 色谱
    • 细胞转染和培养
    • 实时荧光定量PCR
    • 质谱
    • 实验室塑料耗材及用品
    • 电子显微镜
    • 蛋白质生物学
    • PCR
    • RNAi
    • 环境
    • 查看所有应用和技术
  • 服务
    • 定制服务
    • 企业级实验室信息化服务
    • 金融&租赁服务
    • 仪器服务
    • OEM和商业供应
    • 培训服务
    • 360° CDMO 和 CRO 服务
    • CDMO 服务
    • 临床试验 CRO 服务
    • Unity Lab Services
    • 查看所有帮助和支持
  • 帮助和支持
    • 学习中心
    • 联系我们
    • 更改国家或地区
    • 查看所有帮助和支持
  • 热门产品
    • TaqMan Real-Time PCR Assays
      TaqMan 实时荧光定量 PCR 试剂盒
    • Antibodies
      抗体
    • Oligos, Primers & Probes
      寡核苷酸、引物、探针
    • GeneArt Gene Synthesis
      GeneArt 基因合成
    • Cell Culture Plastics
      细胞培养耗材
  • Who We Serve
    • 抗体治疗解决方案
    • 细胞与基因治疗解决方案
    • 学术科研
    • 工业与应用
  • 联系我们
  • 货号直购
  • 订单查询
  • 查找文件&证书
Thermo Fisher Scientific Logo

Search

搜索全部或下列指定分类
Search button
          • 联系我们
          • 货号直购
          • 登录
            登录
            没有账号?建立账号 注册
            • 我的账号
            • 订单
            • 会员中心
            • 账单及发票查询
            • 定制产品及项目
          • Primary Antibodies ›
          • EBP50 Antibodies

          Invitrogen

          EBP50 Recombinant Rabbit Monoclonal Antibody (JJ0946)

          高级验证
          查看其他19个EBP50抗体

          {{$productOrderCtrl.translations['antibody.pdp.commerceCard.promotion.promotions']}}

          {{$productOrderCtrl.translations['antibody.pdp.commerceCard.promotion.viewpromo']}}

          {{$productOrderCtrl.translations['antibody.pdp.commerceCard.promotion.promocode']}}: {{promo.promoCode}} {{promo.promoTitle}} {{promo.promoDescription}}. {{$productOrderCtrl.translations['antibody.pdp.commerceCard.promotion.learnmore']}}

          说明书
          证书
          实验方案
          问题与答案
          技术支持
          说明书
          证书
          实验方案
          问题与答案
          技术支持
          说明书
          证书
          实验方案
          问题与答案
          技术支持

          Cite EBP50 Recombinant Rabbit Monoclonal Antibody (JJ0946)

          Additional Information:
          {{banner.description}}
          {{$ctrl.isSkuNotesCollapsed ? 'View more' : 'View less'}}
          • 抗体检测数据 (4)
          • 高级验证 (1)
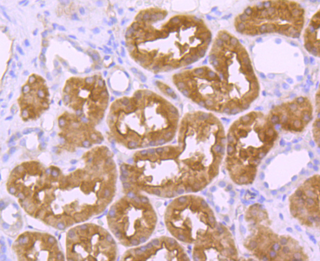
          EBP50 Antibody in Immunohistochemistry (Paraffin) (IHC (P))
          Group 53 Created with Sketch.
          EBP50 Antibody in Immunohistochemistry (Paraffin) (IHC (P))
          Group 53 Created with Sketch.

          图: 1 / 5

          {{ $ctrl.currentElement.advancedVerification.fullName }}
          {{ $ctrl.currentElement.advancedVerification.text }}

          EBP50 Antibody (MA5-32493) in IHC (P)

          Immunohistochemical analysis of EBP50 of paraffin-embedded Human kidney tissue using a EBP50 Monoclonal antibody (Product #MA5-32493). Counter stained with hematoxylin. {{ $ctrl.currentElement.advancedVerification.fullName }} 验证信息 View more
          已发表图片由___提供 benchsci-logo
          PMID: {{$ctrl.currentElement.benchSciPubmedId}}
          查看产品

          {{$ctrl.videoDesc}}

          {{$ctrl.videoLongDesc}}

          EBP50 Antibody in Immunohistochemistry (Paraffin) (IHC (P))
          EBP50 Antibody in Immunohistochemistry (Paraffin) (IHC (P))
          EBP50 Antibody in Western Blot (WB)
          EBP50 Antibody in Western Blot (WB)
          EBP50 Antibody
          EBP50 Recombinant Rabbit Monoclonal Antibody (JJ0946)

          产品信息

          MA5-32493

          应用
          建议稀释比
          已发表文章

          免疫印迹 (WB)

          1:1,000-1:2,000
          -

          免疫组化(石蜡) (IHC (P))

          1:50-1:200
          -
          产品规格

          种属反应

          Human, Rat

          宿主/亚型

          Rabbit / IgG

          Expression System

          HEK293 cells

          分类

          Recombinant Monoclonal

          类型

          Antibody

          克隆号

          JJ0946

          抗原

          Recombinant protein within Human EBP50 aa 1-150.
          3D表位/免疫原

          偶联物

          Unconjugated Unconjugated Unconjugated

          形式

          Liquid

          浓度

          1 mg/mL

          规格

          100 µg

          纯化类型

          Protein A

          保存液

          TBS, pH 7.4, with 40% Glycerol, 0.05% BSA

          内含物

          0.05% sodium azide

          保存条件

          Store at 4°C short term. For long term storage, store at -20°C, avoiding freeze/thaw cycles.

          运输条件

          Ambient (domestic); Wet ice (international)

          RRID

          AB_2809770

          产品详细信息

          Recombinant rabbit monoclonal antibodies are produced using in vitro expression systems. The expression systems are developed by cloning in the specific antibody DNA sequences from immunoreactive rabbits. Then, individual clones are screened to select the best candidates for production. The advantages of using recombinant rabbit monoclonal antibodies include: better specificity and sensitivity, lot-to-lot consistency, animal origin-free formulations, and broader immunoreactivity to diverse targets due to larger rabbit immune repertoire.

          靶标信息

          NHERF1 (Na+/H+ exchanger regulatory factor 1), also known as EBP50 (ezrin, radixin, moesin-binding phosphoprotein 50) is an adaptor protein, which associates with beta-catenin and is required for its localization at the cell-cell junctions, interacts with various G protein-coupled receptors and regulates their traffic, as well as sodium-hydrogen exchange and sodium-dependent phosphate transport. NHERF1/EBP50 inhibits cell motility and is required to suppress anchorage-independent growth. It contains C-terminal ERM (ezrin, radixin, moesin)-binding region and two N-terminal PDZ (postsynaptic-density-95/disc-large/ZO1 homology) domains and is able to form head-to-tail intramolecular conformation to regulate its interactions.

          仅用于科研。不用于诊断过程。未经明确授权不得转售。

          篇参考文献 (0)

          您是否在文献中引用过该产品?请点击下方按钮邮件告知我们。
          引用该产品

          生物信息学

          蛋白别名: EBP50; ERM-binding phosphoprotein; ezrin-radixin-moesin binding phosphoprotein-50; Ezrin-radixin-moesin-binding phosphoprotein 50; Na(+)/H(+) exchange regulatory cofactor 1; Na(+)/H(+) exchange regulatory cofactor NHE-RF1; Na+/H+ exchange regulatory co-factor; NHE-RF; NHERF-1; Regulatory cofactor of Na(+)/H(+) exchanger; SLC9A3 regulator 1; So; Sodium-hydrogen exchanger regulatory factor 1; solute carrier family 9 (sodium/hydrogen exchanger), isoform 3 regulator 1; solute carrier family 9 (sodium/hydrogen exchanger), member 3 regulator 1; Solute carrier family 9 isoform A3 regulatory factor 1; solute carrier family 9, subfamily A (NHE3, cation proton antiporter 3), member 3 regulator 1; unnamed protein product

          查看更多 收起

          基因别名: EBP50; NHE-RF; NHERF; NHERF-1; NHERF1; NPHLOP2; SLC9A3R1

          查看更多 收起

          UniProt ID: (Human) O14745, (Rat) Q9JJ19

          查看更多 收起

          Entrez Gene ID: (Human) 9368, (Rat) 59114

          查看更多 收起

          功能
          receptor binding protein binding beta-catenin binding gamma-aminobutyric acid transmembrane transporter activity chloride channel regulator activity phosphatase binding PDZ domain binding beta-2 adrenergic receptor binding type 2 metabotropic glutamate receptor binding type 3 metabotropic glutamate receptor binding identical protein binding protein anchor dopamine receptor binding binding, bridging growth factor receptor binding channel activator activity protein domain specific binding protein complex binding protein complex scaffold protein self-association
          参与通路
          renal sodium ion transport adenylate cyclase-activating dopamine receptor signaling pathway sensory perception of sound negative regulation of cell proliferation negative regulation of platelet-derived growth factor receptor signaling pathway negative regulation of sodium ion transport negative regulation of phosphatidylinositol 3-kinase signaling Wnt signaling pathway cAMP-mediated signaling microvillus assembly actin cytoskeleton organization negative regulation of cell migration cellular phosphate ion homeostasis negative regulation of sodium:proton antiporter activity bile acid secretion cellular protein localization glutathione transport regulation of excretion regulation of protein kinase activity negative regulation of protein kinase B signaling auditory receptor cell stereocilium organization phospholipase C-activating dopamine receptor signaling pathway renal absorption negative regulation of ERK1 and ERK2 cascade renal phosphate ion absorption negative regulation of cell motility positive regulation of intrinsic apoptotic signaling pathway morphogenesis of an epithelium sodium ion transport plasma membrane organization nuclear migration protein localization regulation of cell shape regulation of cell size fibroblast migration negative regulation of fibroblast migration gland morphogenesis cilium organization establishment of epithelial cell apical/basal polarity maintenance of epithelial cell apical/basal polarity negative regulation of mitotic cell cycle establishment of localization in cell establishment of Golgi localization gamma-aminobutyric acid import protein-containing complex assembly protein localization to plasma membrane negative regulation of canonical Wnt signaling pathway cerebrospinal fluid circulation import across plasma membrane transport across blood-brain barrier regulation of renal phosphate excretion
          It has to be done as per old AB suggested Products section.

          Disclaimer

          Close

          Clicking the images or links will redirect you to a website hosted by BenchSci that provides third-party scientific content. Neither the content nor the BenchSci technology and processes for selection have been evaluated by us; we are providing them as-is and without warranty of any kind, including for use or application of the Thermo Fisher Scientific products presented.

          guarantee_icon

          性能保障

          只要您发现Invitrogen抗体在实验中的表现与网站或说明书的所述内容不符,您即可享受免费退换货服务。*

          了解更多
          help_icon

          随时为您服务

          获取常见问题的专家解答,或者直接联系我们的技术专家,咨询应用、设备、常规产品使用问题。

          联系技术支持
          订购 Plus Icon Minus Icon
          • 订单状态查询
          • 订单支持
          • 货号直购
          • 现货供应中心
          • 电子采购
          支持 Plus Icon Minus Icon
          • 帮助&支持
          • 联系我们 - 400 820 8982
          • 技术支持中心
          • 查找文件&证书
          • 报告网站问题
          资源 Plus Icon Minus Icon
          • 学习中心
          • 促销
          • 活动&研讨会
          • 社交媒体
          关于赛默飞 Plus Icon Minus Icon
          • 关于我们
          • 招聘 招聘
          • 投资者关系 投资者关系
          • 新闻 新闻
          • 社会责任 社会责任
          • 商标
          • 政策和通知
          品牌 Plus Icon Minus Icon
          • Thermo Scientific
          • Applied Biosystems
          • Invitrogen
          • Gibco
          • Ion Torrent
          • Unity Lab Services
          • Patheon
          • PPD
          • 服务条款
          • 隐私政策
          • 定价和运输保险政策
          © 2006-2026 Thermo Fisher Scientific Inc. All rights reserved. All trademarks are the property of Thermo Fisher Scientific and its subsidiaries unless otherwise specified.
          China flag icon
          China
          本网站销售的所有产品均不得用于人类或动物之临床诊断或治疗,仅可用于工业或者科研等非医疗目的。
             电子营业执照 | 经营证照公示 | ICP备案号:沪ICP备11003924号 | 沪公网安备 31011502006935号

          Your items have has been added!


          Host server : magellan-search-green-6479c7f679-46l5g:80/100.66.76.236:80.
          git-commit: b70c0dceb888abc3b0dcebb5bc3a5b8753e7e816
          git-url: https://github.com/thermofisher/magellan-search
          git-branch: release/2.50.0-Offline