Hamburger Menu Button
Thermo Fisher Scientific Logo
登录
没有账号?建立账号 注册
  • 产品
    • 抗体
    • 引物合成
    • GeneArt Gene Synthesis Instant Designer
    • TaqMan Assay and Array Search
    • PCR 设备和耗材
    • 色谱柱和纯化柱
    • 实验室离心机
    • 分子生物学试剂和试剂盒
    • 实验室塑料耗材及用品
    • 查看所有产品分类
  • 应用和技术
    • 色谱
    • 细胞转染和培养
    • 实时荧光定量PCR
    • 质谱
    • 实验室塑料耗材及用品
    • 电子显微镜
    • 蛋白质生物学
    • PCR
    • RNAi
    • 环境
    • 查看所有应用和技术
  • 服务
    • 定制服务
    • 企业级实验室信息化服务
    • 金融&租赁服务
    • 仪器服务
    • OEM和商业供应
    • 培训服务
    • 360° CDMO 和 CRO 服务
    • CDMO 服务
    • 临床试验 CRO 服务
    • Unity Lab Services
    • 查看所有帮助和支持
  • 帮助和支持
    • 学习中心
    • 联系我们
    • 更改国家或地区
    • 查看所有帮助和支持
  • 热门产品
    • TaqMan Real-Time PCR Assays
      TaqMan 实时荧光定量 PCR 试剂盒
    • Antibodies
      抗体
    • Oligos, Primers & Probes
      寡核苷酸、引物、探针
    • GeneArt Gene Synthesis
      GeneArt 基因合成
    • Cell Culture Plastics
      细胞培养耗材
  • Who We Serve
    • 抗体治疗解决方案
    • 细胞与基因治疗解决方案
    • 学术科研
    • 工业与应用
  • 联系我们
  • 货号直购
  • 订单查询
  • 查找文件&证书
Thermo Fisher Scientific Logo

Search

搜索全部或下列指定分类
Search button
          • 联系我们
          • 货号直购
          • 登录
            登录
            没有账号?建立账号 注册
            • 我的账号
            • 订单
            • 会员中心
            • 账单及发票查询
            • 定制产品及项目
          • Primary Antibodies ›
          • ERK2 Antibodies

          Invitrogen

          ERK2 Polyclonal Antibody

          高级验证
          2个已发表图片
          2 篇参考文献
          查看其他50个ERK2抗体

          {{$productOrderCtrl.translations['antibody.pdp.commerceCard.promotion.promotions']}}

          {{$productOrderCtrl.translations['antibody.pdp.commerceCard.promotion.viewpromo']}}

          {{$productOrderCtrl.translations['antibody.pdp.commerceCard.promotion.promocode']}}: {{promo.promoCode}} {{promo.promoTitle}} {{promo.promoDescription}}. {{$productOrderCtrl.translations['antibody.pdp.commerceCard.promotion.learnmore']}}

          说明书
          证书
          实验方案
          问题与答案
          技术支持
          说明书
          证书
          实验方案
          问题与答案
          技术支持
          说明书
          证书
          实验方案
          问题与答案
          技术支持

          Cite ERK2 Polyclonal Antibody

          Additional Information:
          {{banner.description}}
          {{$ctrl.isSkuNotesCollapsed ? 'View more' : 'View less'}}
          • 抗体检测数据 (8)
          • 已发表图片 (2)
          • 高级验证 (1)
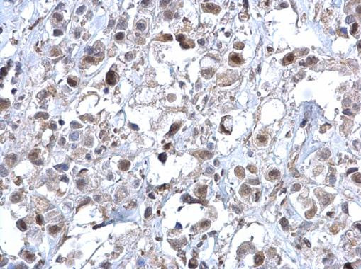
          ERK2 Antibody in Immunohistochemistry (Paraffin) (IHC (P))
          Group 53 Created with Sketch.
          ERK2 Antibody in Immunohistochemistry (Paraffin) (IHC (P))
          Group 53 Created with Sketch.

          图: 1 / 11

          {{ $ctrl.currentElement.advancedVerification.fullName }}
          {{ $ctrl.currentElement.advancedVerification.text }}

          ERK2 Antibody (PA5-29636) in IHC (P)

          ERK2 Polyclonal Antibody detects ERK2 protein at cytosol and nucleus on human breast carcinoma by immunohistochemical analysis. Sample: Paraffin-embedded human breast carcinoma. ERK2 Polyclonal Antibody (Product # PA5-29636) dilution: 1:500. Antigen Retrieval: EDTA based buffer, pH 8.0, 15 min. {{ $ctrl.currentElement.advancedVerification.fullName }} 验证信息 View more
          已发表图片由___提供 benchsci-logo
          PMID: {{$ctrl.currentElement.benchSciPubmedId}}
          查看产品

          {{$ctrl.videoDesc}}

          {{$ctrl.videoLongDesc}}

          ERK2 Antibody in Immunohistochemistry (Paraffin) (IHC (P))
          ERK2 Antibody in Immunohistochemistry (Paraffin) (IHC (P))
          ERK2 Antibody in Western Blot (WB)
          ERK2 Antibody in Western Blot (WB)
          ERK2 Antibody in Western Blot (WB)
          ERK2 Antibody in Western Blot (WB)
          ERK2 Antibody in Western Blot (WB)
          ERK2 Antibody in Immunoprecipitation (IP)
          ERK2 Antibody in Western Blot (WB)
          ERK2 Antibody in Western Blot (WB)
          ERK2 Antibody

          产品信息

          PA5-29636

          应用
          建议稀释比
          已发表文章

          免疫印迹 (WB)

          1:500-1:10,000
          查看2篇已发表文章 2篇已发表文章

          免疫组化(石蜡) (IHC (P))

          1:100-1:1,000
          -

          免疫沉淀 (IP)

          1:100-1:500
          -
          产品规格

          种属反应

          Dog, Cat, Human, Mouse, Pig, Rat

          已发表种属

          Human

          宿主/亚型

          Rabbit / IgG

          分类

          Polyclonal

          类型

          Antibody

          抗原

          Recombinant protein encompassing a sequence within the center region of human ERK2. The exact sequence is proprietary.

          偶联物

          Unconjugated Unconjugated Unconjugated

          形式

          Liquid

          浓度

          1.0 mg/mL

          规格

          100 µg

          纯化类型

          Antigen affinity chromatography

          保存液

          PBS, pH 7, with 20% glycerol, 1% BSA

          内含物

          0.01% thimerosal

          保存条件

          Store at 4°C short term. For long term storage, store at -20°C, avoiding freeze/thaw cycles.

          运输条件

          Ambient (domestic); Wet ice (international)

          RRID

          AB_2547111

          产品详细信息

          Recommended positive controls: 293T, A431, H1299, HeLa, HepG2, Molt-4, Raji, mouse brain, SD Rat brain thalamus, SD Rat brain amygdala.

          Predicted reactivity: Mouse (100%), Rat (100%), Zebrafish (96%), Xenopus laevis (97%), Dog (100%), Pig (99%), Chicken (99%), Bovine (99%).

          Store product as a concentrated solution. Centrifuge briefly prior to opening the vial.

          靶标信息

          MAPK1 (ERK2) is a serine/threonine kinase that acts as an important activator of p90 RSK, MSK, ELK1, and Stat3, and is involved in the MAPK pathway. MAP kinases, also known as extracellular signal-regulated kinases (ERKs), act as an integration point for multiple biochemical signals, and are involved in a wide variety of cellular processes such as proliferation, differentiation, transcription regulation and development. The activation of this kinase requires its phosphorylation by upstream kinases. Upon activation, this kinase translocates to the nucleus of the stimulated cells, where it phosphorylates nuclear targets.

          ⚠WARNING: This product can expose you to chemicals including mercury, which is known to the State of California to cause birth defects or other reproductive harm. For more information go to www.P65Warnings.ca.gov.

          仅用于科研。不用于诊断过程。未经明确授权不得转售。

          生物信息学

          蛋白别名: ERK-2; Erk2; cancer susceptibility protein; ERT1; Extracellular signal-regulated kinase 2; extracellular signal-regulated kinase-2; extracellular-signal-regulated kinase 2; MAP kinase 1; MAP kinase 2; MAP kinase isoform p42; MAPK 1; MAPK 2; mitogen activated protein kinase 1; Mitogen-activated protein kinase 1; Mitogen-activated protein kinase 2; p42-MAPK; protein tyrosine kinase ERK2; unnamed protein product

          查看更多 收起

          基因别名: 9030612K14Rik; AA407128; AU018647; C78273; ERK; ERK-2; ERK2; ERT1; Mapk; MAPK1; MAPK2; NS13; p38; p40; p41; p41mapk; p42-MAPK; P42MAPK; PRKM1; PRKM2

          查看更多 收起

          UniProt ID: (Human) P28482, (Mouse) P63085, (Rat) P63086

          查看更多 收起

          Entrez Gene ID: (Pig) 100153927, (Human) 5594, (Dog) 477575, (Mouse) 26413, (Rat) 116590

          查看更多 收起

          功能
          nucleotide binding phosphotyrosine binding DNA binding protein kinase activity protein serine/threonine kinase activity MAP kinase activity protein binding ATP binding RNA polymerase II carboxy-terminal domain kinase activity kinase activity transferase activity phosphatase binding identical protein binding protein serine kinase activity transcription factor binding transferase activity, transferring phosphorus-containing groups protein kinase binding mitogen-activated protein kinase kinase kinase binding non-receptor serine/threonine protein kinase
          参与通路
          MAPK cascade regulation of transcription from RNA polymerase II promoter protein phosphorylation apoptotic process chemotaxis cellular response to DNA damage stimulus signal transduction cell surface receptor signaling pathway epidermal growth factor receptor signaling pathway chemical synaptic transmission heart development learning or memory insulin receptor signaling pathway organ morphogenesis positive regulation of macrophage chemotaxis positive regulation of peptidyl-threonine phosphorylation neural crest cell development Schwann cell development peptidyl-threonine phosphorylation cytosine metabolic process regulation of ossification regulation of cellular pH thyroid gland development regulation of protein stability lipopolysaccharide-mediated signaling pathway positive regulation of telomere maintenance response to lipopolysaccharide regulation of stress-activated MAPK cascade mammary gland epithelial cell proliferation cellular response to amino acid starvation response to nicotine intracellular signal transduction ERBB signaling pathway ERBB2-ERBB3 signaling pathway outer ear morphogenesis myelination response to exogenous dsRNA positive regulation of cholesterol biosynthetic process negative regulation of cell differentiation insulin-like growth factor receptor signaling pathway thymus development T cell receptor signaling pathway B cell receptor signaling pathway stress-activated MAPK cascade regulation of cytoskeleton organization Bergmann glial cell differentiation long-term synaptic potentiation face development lung morphogenesis trachea formation labyrinthine layer blood vessel development cardiac neural crest cell development involved in heart development interleukin-34-mediated signaling pathway chemokine-mediated signaling pathway ERK1 and ERK2 cascade response to epidermal growth factor cellular response to tumor necrosis factor caveolin-mediated endocytosis regulation of Golgi inheritance positive regulation of macrophage proliferation positive regulation of neuroinflammatory response regulation of early endosome to late endosome transport MAPK import into nucleus transcription, DNA-templated cell cycle response to toxic substance phosphorylation peptidyl-serine phosphorylation sensory perception of pain response to estrogen positive regulation of translation regulation of sequence-specific DNA binding transcription factor activity cellular response to organic substance cellular response to granulocyte macrophage colony-stimulating factor stimulus positive regulation of cell proliferation positive regulation of cell migration positive regulation of transcription, DNA-templated
          It has to be done as per old AB suggested Products section.

          Disclaimer

          Close

          Clicking the images or links will redirect you to a website hosted by BenchSci that provides third-party scientific content. Neither the content nor the BenchSci technology and processes for selection have been evaluated by us; we are providing them as-is and without warranty of any kind, including for use or application of the Thermo Fisher Scientific products presented.

          guarantee_icon

          性能保障

          只要您发现Invitrogen抗体在实验中的表现与网站或说明书的所述内容不符,您即可享受免费退换货服务。*

          了解更多
          help_icon

          随时为您服务

          获取常见问题的专家解答,或者直接联系我们的技术专家,咨询应用、设备、常规产品使用问题。

          联系技术支持
          订购 Plus Icon Minus Icon
          • 订单状态查询
          • 订单支持
          • 货号直购
          • 现货供应中心
          • 电子采购
          支持 Plus Icon Minus Icon
          • 帮助&支持
          • 联系我们 - 400 820 8982
          • 技术支持中心
          • 查找文件&证书
          • 报告网站问题
          资源 Plus Icon Minus Icon
          • 学习中心
          • 促销
          • 活动&研讨会
          • 社交媒体
          关于赛默飞 Plus Icon Minus Icon
          • 关于我们
          • 招聘 招聘
          • 投资者关系 投资者关系
          • 新闻 新闻
          • 社会责任 社会责任
          • 商标
          • 政策和通知
          品牌 Plus Icon Minus Icon
          • Thermo Scientific
          • Applied Biosystems
          • Invitrogen
          • Gibco
          • Ion Torrent
          • Unity Lab Services
          • Patheon
          • PPD
          • 服务条款
          • 隐私政策
          • 定价和运输保险政策
          © 2006-2026 Thermo Fisher Scientific Inc. All rights reserved. All trademarks are the property of Thermo Fisher Scientific and its subsidiaries unless otherwise specified.
          China flag icon
          China
          本网站销售的所有产品均不得用于人类或动物之临床诊断或治疗,仅可用于工业或者科研等非医疗目的。
             电子营业执照 | 经营证照公示 | ICP备案号:沪ICP备11003924号 | 沪公网安备 31011502006935号

          Your items have has been added!


          Host server : magellan-search-green-6479c7f679-46l5g:80/100.66.76.236:80.
          git-commit: b70c0dceb888abc3b0dcebb5bc3a5b8753e7e816
          git-url: https://github.com/thermofisher/magellan-search
          git-branch: release/2.50.0-Offline