Hamburger Menu Button
Thermo Fisher Scientific Logo
登录
没有账号?建立账号 注册
  • 产品
    • 抗体
    • 引物合成
    • GeneArt Gene Synthesis Instant Designer
    • TaqMan Assay and Array Search
    • PCR 设备和耗材
    • 色谱柱和纯化柱
    • 实验室离心机
    • 分子生物学试剂和试剂盒
    • 实验室塑料耗材及用品
    • 查看所有产品分类
  • 应用和技术
    • 色谱
    • 细胞转染和培养
    • 实时荧光定量PCR
    • 质谱
    • 实验室塑料耗材及用品
    • 电子显微镜
    • 蛋白质生物学
    • PCR
    • RNAi
    • 环境
    • 查看所有应用和技术
  • 服务
    • 定制服务
    • 企业级实验室信息化服务
    • 金融&租赁服务
    • 仪器服务
    • OEM和商业供应
    • 培训服务
    • 360° CDMO 和 CRO 服务
    • CDMO 服务
    • 临床试验 CRO 服务
    • Unity Lab Services
    • 查看所有帮助和支持
  • 帮助和支持
    • 学习中心
    • 联系我们
    • 更改国家或地区
    • 查看所有帮助和支持
  • 热门产品
    • TaqMan Real-Time PCR Assays
      TaqMan 实时荧光定量 PCR 试剂盒
    • Antibodies
      抗体
    • Oligos, Primers & Probes
      寡核苷酸、引物、探针
    • GeneArt Gene Synthesis
      GeneArt 基因合成
    • Cell Culture Plastics
      细胞培养耗材
  • Who We Serve
    • 抗体治疗解决方案
    • 细胞与基因治疗解决方案
    • 学术科研
    • 工业与应用
  • 联系我们
  • 货号直购
  • 订单查询
  • 查找文件&证书
Thermo Fisher Scientific Logo

Search

搜索全部或下列指定分类
Search button
          • 联系我们
          • 货号直购
          • 登录
            登录
            没有账号?建立账号 注册
            • 我的账号
            • 订单
            • 会员中心
            • 账单及发票查询
            • 定制产品及项目
          • Primary Antibodies ›
          • FGF2 Antibodies

          Invitrogen

          FGF2 Polyclonal Antibody

          2 篇参考文献
          查看其他28个FGF2抗体

          {{$productOrderCtrl.translations['antibody.pdp.commerceCard.promotion.promotions']}}

          {{$productOrderCtrl.translations['antibody.pdp.commerceCard.promotion.viewpromo']}}

          {{$productOrderCtrl.translations['antibody.pdp.commerceCard.promotion.promocode']}}: {{promo.promoCode}} {{promo.promoTitle}} {{promo.promoDescription}}. {{$productOrderCtrl.translations['antibody.pdp.commerceCard.promotion.learnmore']}}

          说明书
          证书
          实验方案
          问题与答案
          技术支持
          说明书
          证书
          实验方案
          问题与答案
          技术支持
          说明书
          证书
          实验方案
          问题与答案
          技术支持

          Cite FGF2 Polyclonal Antibody

          Additional Information:
          {{banner.description}}
          {{$ctrl.isSkuNotesCollapsed ? 'View more' : 'View less'}}
          • 抗体检测数据 (7)
          FGF2 Antibody in Immunocytochemistry (ICC/IF)
          Group 53 Created with Sketch.
          FGF2 Antibody in Immunocytochemistry (ICC/IF)
          Group 53 Created with Sketch.

          图: 1 / 7

          {{ $ctrl.currentElement.advancedVerification.fullName }}
          {{ $ctrl.currentElement.advancedVerification.text }}

          FGF2 Antibody (PA5-116495) in ICC/IF

          Immunofluorescence analysis of FGF2 in U-2 OS cells. Samples were incubated with FGF2 Polyclonal antibody (Product # PA5-116495) using a dilution of 1:100 (40x lens). Blue: DAPI for nuclear staining. {{ $ctrl.currentElement.advancedVerification.fullName }} 验证信息 View more
          已发表图片由___提供 benchsci-logo
          PMID: {{$ctrl.currentElement.benchSciPubmedId}}
          查看产品

          {{$ctrl.videoDesc}}

          {{$ctrl.videoLongDesc}}

          FGF2 Antibody in Immunocytochemistry (ICC/IF)
          FGF2 Antibody in Immunocytochemistry (ICC/IF)
          FGF2 Antibody in Immunocytochemistry (ICC/IF)
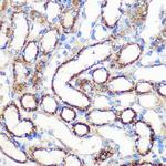
          FGF2 Antibody in Immunohistochemistry (Paraffin) (IHC (P))
          FGF2 Antibody in Immunohistochemistry (Paraffin) (IHC (P))
          FGF2 Antibody in Immunohistochemistry (Paraffin) (IHC (P))
          FGF2 Antibody in Western Blot (WB)
          FGF2 Polyclonal Antibody

          产品信息

          PA5-116495

          应用
          建议稀释比
          已发表文章

          免疫印迹 (WB)

          1:500-1:1,000
          查看1篇已发表文章 1篇已发表文章

          免疫组化 (IHC)

          -
          查看1篇已发表文章 1篇已发表文章

          免疫组化(石蜡) (IHC (P))

          1:50-1:200
          -

          免疫细胞化学 (ICC/IF)

          1:50-1:200
          -

          酶联免疫吸附实验 (ELISA)

          1 µg/mL
          -
          产品规格

          种属反应

          Human, Mouse, Rat

          已发表种属

          Human, Mouse

          宿主/亚型

          Rabbit / IgG

          分类

          Polyclonal

          类型

          Antibody

          抗原

          Recombinant protein (or fragment)
          3D表位/免疫原

          偶联物

          Unconjugated Unconjugated Unconjugated

          形式

          Liquid

          浓度

          1.05 mg/mL

          规格

          105 µg

          纯化类型

          Affinity chromatography

          保存液

          PBS, pH 7.3, with 50% glycerol

          内含物

          0.09% sodium azide

          保存条件

          -20°C, Avoid Freeze/Thaw Cycles

          运输条件

          Ambient (domestic); Wet ice (international)

          RRID

          AB_2901126

          产品详细信息

          Positive Samples: rat ovary

          Immunogen sequence: PALPEDGGSG AFPPGHFKDP KRLYCKNGGF FLRIHPDGRV DGVREKSDPH IKLQLQAEER GVVSIKGVCA NRYLAMKEDG RLLASKCVTD ECFFFERLES NNYNTYRSRK YTSWYVALKR TGQYKLGSKT GPGQKAILFL PMSAKS

          靶标信息

          FGF2 (FGFb, fibroblast growth factor basic) belongs to the fibroblast growth factor (FGF) family, and interacts with high-affinity transmembrane receptors to influence cell proliferation and tissue neovascularization. FGF2 exists as five isoforms with distinct intracellular localizations and functions. The 18 kDa isoform is predominantly cytosolic and acts through cell surface receptors, whereas the 22, 22.5, 24 and 34 kDa isoforms are nuclear and may signal independent of transmembrane receptor pathways. In humans, the gene is located on the q arm of chromosome 4. FGF2 has been implicated in diverse biological processes, such as limb and nervous system development, wound healing, and tumor growth. The mRNA for FGF2 contains multiple polyadenylation sites, and is alternatively translated from non-AUG and AUG initiation codons, resulting in five different isoforms with distinct properties. The CUG-initiated isoforms are localized in the nucleus and are responsible for the intracrine effect, whereas, the AUG-initiated form is mostly cytosolic and is responsible for the paracrine and autocrine effects of this FGF. Diseases associated with FGF2 dysfunction include Kaposi Sarcoma and corneal neovascularization.

          仅用于科研。不用于诊断过程。未经明确授权不得转售。

          生物信息学

          蛋白别名: 18 kd basic fibroblast growth factor; 21 kd basic fibroblast growth factor (ctg start codon; put.); putative; Basic fibroblast growth factor; basic fibroblast growth factor (ctg start codon); putative; basic fibroblast growth factor bFGF; bFGF; FGF; fgf basic; FGF-2; FGF-b; FGF2; Fibroblast growth factor; Fibroblast growth factor 2; fibroblast growth factor 2 (basic); Fibroblast growth factor basic; H-FGF-b-147; H-FGF-b-154; HBGF-2; Heparin-binding growth factor 2; M-FGF-b; prostatropin

          查看更多 收起

          基因别名: BFGF; FGF-2; FGF2; FGFB; HBGF-2

          查看更多 收起

          UniProt ID: (Human) P09038, (Mouse) P15655, (Rat) P13109

          查看更多 收起

          Entrez Gene ID: (Human) 2247, (Mouse) 14173, (Rat) 54250

          查看更多 收起

          功能
          fibroblast growth factor receptor binding cytokine activity integrin binding protein binding growth factor activity heparin binding chemokine binding chemoattractant activity identical protein binding histone H3K9me2/3 reader activity receptor-receptor interaction receptor binding ligand-dependent nuclear receptor transcription coactivator activity growth factor intercellular signal molecule
          参与通路
          angiogenesis osteoblast differentiation branching involved in ureteric bud morphogenesis organ induction endothelial cell proliferation positive regulation of endothelial cell proliferation cell migration involved in sprouting angiogenesis positive regulation of neuroblast proliferation chromatin organization transcription from RNA polymerase II promoter chemotaxis signal transduction Ras protein signal transduction nervous system development neuroblast proliferation cell proliferation positive regulation of cell proliferation negative regulation of cell proliferation fibroblast growth factor receptor signaling pathway embryo development ending in birth or egg hatching organ morphogenesis glial cell differentiation positive regulation of endothelial cell migration positive regulation of gene expression negative regulation of gene expression negative regulation of fibroblast migration growth factor dependent regulation of skeletal muscle satellite cell proliferation substantia nigra development cerebellar granule cell precursor proliferation positive regulation of cerebellar granule cell precursor proliferation neurogenesis cell differentiation hyaluronan catabolic process lung development regulation of cell migration paracrine signaling negative regulation of fibroblast growth factor receptor signaling pathway wound healing auditory receptor cell differentiation positive regulation of cell fate specification positive regulation of MAP kinase activity positive regulation of MAPK cascade protein kinase B signaling positive regulation of blood vessel endothelial cell migration negative regulation of blood vessel endothelial cell migration endothelial cell migration response to ethanol positive regulation of auditory receptor cell differentiation positive regulation of osteoblast differentiation regulation of angiogenesis positive regulation of angiogenesis positive regulation of transcription from RNA polymerase II promoter regulation of retinal cell programmed cell death behavioral response to ethanol embryonic morphogenesis positive regulation of smooth muscle cell proliferation response to axon injury stem cell differentiation stem cell development epithelial cell proliferation positive regulation of epithelial cell proliferation positive chemotaxis release of sequestered calcium ion into cytosol regulation of cell cycle positive regulation of cell division positive regulation of protein kinase B signaling positive regulation of cardiac muscle cell proliferation canonical Wnt signaling pathway corticotropin hormone secreting cell differentiation thyroid-stimulating hormone-secreting cell differentiation neuroepithelial cell differentiation chondroblast differentiation mammary gland epithelial cell differentiation angiogenesis involved in coronary vascular morphogenesis negative regulation of wound healing ERK1 and ERK2 cascade positive regulation of ERK1 and ERK2 cascade cellular response to mechanical stimulus stem cell proliferation regulation of cell migration involved in sprouting angiogenesis positive regulation of cell migration involved in sprouting angiogenesis positive regulation of canonical Wnt signaling pathway positive regulation of lens fiber cell differentiation positive regulation of pri-miRNA transcription from RNA polymerase II promoter positive regulation of neuroepithelial cell differentiation negative regulation of oxidative stress-induced neuron intrinsic apoptotic signaling pathway regulation of blood vessel endothelial cell proliferation involved in sprouting angiogenesis positive regulation of sprouting angiogenesis response to wortmannin positive regulation of vascular smooth muscle cell proliferation lymphatic endothelial cell migration positive regulation of epithelial tube formation regulation of morphogenesis of an epithelium positive regulation of blood vessel branching positive regulation of vascular endothelial cell proliferation regulation of endothelial cell chemotaxis to fibroblast growth factor positive regulation of endothelial cell chemotaxis to fibroblast growth factor positive regulation of DNA biosynthetic process negative regulation of stem cell proliferation positive regulation of stem cell proliferation positive regulation of stem cell differentiation positive regulation of endothelial cell chemotaxis activation of MAPKK activity positive regulation of protein phosphorylation phosphatidylinositol biosynthetic process multicellular organism development positive regulation of phospholipase C activity inositol phosphate biosynthetic process positive regulation of phosphatidylinositol 3-kinase activity positive regulation of cell differentiation positive regulation of transcription, DNA-templated cardiac muscle cell proliferation negative regulation of cell death aging
          It has to be done as per old AB suggested Products section.

          Disclaimer

          Close

          Clicking the images or links will redirect you to a website hosted by BenchSci that provides third-party scientific content. Neither the content nor the BenchSci technology and processes for selection have been evaluated by us; we are providing them as-is and without warranty of any kind, including for use or application of the Thermo Fisher Scientific products presented.

          guarantee_icon

          性能保障

          只要您发现Invitrogen抗体在实验中的表现与网站或说明书的所述内容不符,您即可享受免费退换货服务。*

          了解更多
          help_icon

          随时为您服务

          获取常见问题的专家解答,或者直接联系我们的技术专家,咨询应用、设备、常规产品使用问题。

          联系技术支持
          订购 Plus Icon Minus Icon
          • 订单状态查询
          • 订单支持
          • 货号直购
          • 现货供应中心
          • 电子采购
          支持 Plus Icon Minus Icon
          • 帮助&支持
          • 联系我们 - 400 820 8982
          • 技术支持中心
          • 查找文件&证书
          • 报告网站问题
          资源 Plus Icon Minus Icon
          • 学习中心
          • 促销
          • 活动&研讨会
          • 社交媒体
          关于赛默飞 Plus Icon Minus Icon
          • 关于我们
          • 招聘 招聘
          • 投资者关系 投资者关系
          • 新闻 新闻
          • 社会责任 社会责任
          • 商标
          • 政策和通知
          品牌 Plus Icon Minus Icon
          • Thermo Scientific
          • Applied Biosystems
          • Invitrogen
          • Gibco
          • Ion Torrent
          • Unity Lab Services
          • Patheon
          • PPD
          • 服务条款
          • 隐私政策
          • 定价和运输保险政策
          © 2006-2026 Thermo Fisher Scientific Inc. All rights reserved. All trademarks are the property of Thermo Fisher Scientific and its subsidiaries unless otherwise specified.
          China flag icon
          China
          本网站销售的所有产品均不得用于人类或动物之临床诊断或治疗,仅可用于工业或者科研等非医疗目的。
             电子营业执照 | 经营证照公示 | ICP备案号:沪ICP备11003924号 | 沪公网安备 31011502006935号

          Your items have has been added!


          Host server : magellan-search-green-6479c7f679-rv8h9:80/100.66.78.195:80.
          git-commit: b70c0dceb888abc3b0dcebb5bc3a5b8753e7e816
          git-url: https://github.com/thermofisher/magellan-search
          git-branch: release/2.50.0-Offline