Hamburger Menu Button
Thermo Fisher Scientific Logo
Sign in
Don't have an account ? Create Account
  • Products
    • Antibodies
    • Custom DNA Oligos
    • GeneArt Gene Synthesis Instant Designer
    • TaqMan Assay and Array Search
    • PCR Equipment and Supplies
    • Chromatography Columns and Cartridges
    • Lab Centrifuges
    • Molecular Biology Reagents and Kits
    • Lab Plasticware and Supplies
    • See all product categories
  • Applications
    • Chromatography
    • Cell Culture
    • Real-Time PCR
    • Mass Spectrometry
    • Lab Plasticware and Supplies
    • Electron Microscopy
    • Protein Biology
    • PCR
    • RNAi
    • Environmental
    • See all applications and techniques
  • Services
    • Custom Services
    • Enterprise-Level Lab Informatics
    • Enterprise Services
    • Financial and Leasing Services
    • Instrument Services
    • OEM and Commercial Supply
    • Training Services
    • 360° CDMO and CRO Solutions
    • CDMO Services
    • CRO Services
    • See all services
  • Help and Support
    • Learning Centers
    • Contact Us
    • Change Location
    • See all help and support topics
  • Popular
    • TaqMan Real-Time PCR Assays
      TaqMan Real-Time PCR Assays
    • Antibodies
      Antibodies
    • Oligos, Primers & Probes
      Oligos, Primers & Probes
    • GeneArt Gene Synthesis
      GeneArt Gene Synthesis
    • Cell Culture Plastics
      Cell Culture Plastics
  • Contact Us
  • Quick Order
  • Order Status and Tracking
  • Documents and Certificates
Thermo Fisher Scientific Logo

Search

Search All
Search button
          • Contact Us
          • Quick Order
          • Sign in
            Sign in
            Don't have an account ? Create Account
            • Account
            • Check Order Status
            • AR Statement & Invoice Inquiry
            • Custom Products & Projects
            • Instrument Management

          Disclaimer

          Clicking the images or links will redirect you to a website hosted by BenchSci that provides third-party scientific content. Neither the content nor the BenchSci technology and processes for selection have been evaluated by us; we are providing them as-is and without warranty of any kind, including for use or application of the Thermo Fisher Scientific products presented.

          • Primary Antibodies ›
          • FMRP Antibodies

          Invitrogen

          FMRP Polyclonal Antibody

          View all (22) FMRP antibodies

          {{$productOrderCtrl.translations['antibody.pdp.commerceCard.promotion.promotions']}}

          {{$productOrderCtrl.translations['antibody.pdp.commerceCard.promotion.viewpromo']}}

          {{$productOrderCtrl.translations['antibody.pdp.commerceCard.promotion.promocode']}}: {{promo.promoCode}} {{promo.promoTitle}} {{promo.promoDescription}}. {{$productOrderCtrl.translations['antibody.pdp.commerceCard.promotion.learnmore']}}

          Datasheet
          Protocols
          Questions & Answers
          Tech Support
          Datasheet
          Protocols
          Questions & Answers
          Tech Support
          Datasheet
          Protocols
          Questions & Answers
          Tech Support

          Cite FMRP Polyclonal Antibody

          • Antibody Testing Data (5)
          FMRP Antibody in Immunocytochemistry (ICC/IF)
          Group 53 Created with Sketch.
          FMRP Antibody in Immunocytochemistry (ICC/IF)
          Group 53 Created with Sketch.

          FIGURE: 1 / 5

          {{ $ctrl.currentElement.advancedVerification.fullName }}
          {{ $ctrl.currentElement.advancedVerification.text }}

          FMRP Antibody (PA5-148102) in ICC/IF

          Immunofluorecent analysis of FMRP in human cell line U-251 MG using FMRP Polyclonal Antibody (Product # PA5-148102). Staining shows localization to cytosol. {{ $ctrl.currentElement.advancedVerification.fullName }} validation info. View more
          Published figure supplied by benchsci-logo
          PMID: {{$ctrl.currentElement.benchSciPubmedId}}
          View Product

          {{$ctrl.videoDesc}}

          {{$ctrl.videoLongDesc}}

          FMRP Antibody in Immunocytochemistry (ICC/IF)
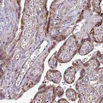
          FMRP Antibody in Immunohistochemistry (Paraffin) (IHC (P))
          FMRP Antibody in Immunohistochemistry (Paraffin) (IHC (P))
          FMRP Antibody in Immunohistochemistry (Paraffin) (IHC (P))
          FMRP Antibody in Immunohistochemistry (Paraffin) (IHC (P))

          Product Details

          PA5-148102

          Applications
          Tested Dilution
          Publications

          Immunohistochemistry (Paraffin) (IHC (P))

          1:200-1:500
          -

          Immunocytochemistry (ICC/IF)

          0.25-2 µg/mL
          -
          Product Specifications

          Species Reactivity

          Human

          Host/Isotype

          Rabbit / IgG

          Class

          Polyclonal

          Type

          Antibody

          Immunogen

          Recombinant protein corresponding to Human FMR1

          Conjugate

          Unconjugated Unconjugated Unconjugated

          Form

          Liquid

          Concentration

          0.2 mg/mL

          Purification

          Antigen affinity chromatography

          Storage buffer

          PBS, pH 7.2, with 40% glycerol

          Contains

          0.02% sodium azide

          Storage conditions

          Store at 4°C short term. For long term storage, store at -20°C, avoiding freeze/thaw cycles.

          Shipping conditions

          Ambient (domestic); Wet ice (international)

          RRID

          0

          Product Specific Information

          Immunogen sequence: FKGNDDHSRT DNRPRNPREA KGRTTDGSLQ IRVDCNNERS VHTKTLQNTS SEGSRLRTGK DRNQKKEKPD SVDGQQPLVN GVP

          Target Information

          FMR1 binds RNA and is associated with polysomes. The protein may be involved in mRNA trafficking from the nucleus to the cytoplasm. A trinucleotide repeat in the 5' UTR is normally found at 6-53 copies, but an expansion to 55-230 repeats is the cause of fragile X syndrome. Expansion of the trinucleotide repeat may also cause one form of premature ovarian failure. Multiple alternatively spliced transcript variants that encode different protein isoforms and which are located in different cellular locations have been described for this gene.

          For Research Use Only. Not for use in diagnostic procedures. Not for resale without express authorization.

          References (0)

          Have you cited this product in a publication?
          Let us know so we can reference it here.
          Cite this product

          Bioinformatics

          Protein Aliases: FMRP; fragile X mental retardation protein 1; Fragile X messenger ribonucleoprotein; Fragile X messenger ribonucleoprotein 1; MGC87458; Protein FMR-1

          View more View less

          Gene Aliases: FMR1; FMRP; FRAXA; POF; POF1

          View more View less

          UniProt ID: (Human) Q06787

          View more View less

          Entrez Gene ID: (Human) 2332

          View more View less

          Function(s)
          G-quadruplex RNA binding chromatin binding RNA binding mRNA binding mRNA 3'-UTR binding protein binding microtubule binding poly(U) RNA binding translation repressor activity translation initiation factor binding RNA strand annealing activity poly(G) binding methylated histone binding siRNA binding miRNA binding RNA stem-loop binding identical protein binding protein homodimerization activity ribosome binding ion channel binding poly(A) RNA binding dynein binding protein heterodimerization activity mRNA 5'-UTR binding sequence-specific mRNA binding translation factor
          Process(es)
          regulation of alternative mRNA splicing, via spliceosome positive regulation of receptor internalization mRNA processing cellular response to DNA damage stimulus glutamate receptor signaling pathway RNA splicing negative regulation of translation gene silencing by RNA positive regulation of histone phosphorylation cellular response to UV regulation of mRNA stability modulation by host of viral RNA genome replication positive regulation of translation negative regulation of translational initiation regulation of neurotransmitter secretion mRNA transport regulation of filopodium assembly positive regulation of filopodium assembly regulation of gene silencing by miRNA regulation of dendritic spine development positive regulation of dendritic spine development cellular response to hydroxyurea cellular response to virus regulation of neuronal action potential negative regulation of long term synaptic depression positive regulation of intracellular transport of viral material negative regulation of voltage-gated calcium channel activity positive regulation of proteasomal protein catabolic process positive regulation of mRNA binding negative regulation of synaptic vesicle exocytosis positive regulation of gene silencing by miRNA negative regulation of cytoplasmic translation positive regulation of response to DNA damage stimulus
          It has to be done as per old AB suggested Products section.
          guarantee_icon

          Performance Guarantee

          If an Invitrogen™ antibody doesn't perform as described on our website or datasheet,we'll replace the product at no cost to you, or provide you with a credit for a future purchase.*

          Learn more
          help_icon

          We're here to help

          Get expert recommendations for common problems or connect directly with an on staff expert for technical assistance related to applications, equipment and general product use.

          Contact tech support
          Ordering Plus Icon Minus Icon
          • Order Status
          • Order Help
          • Quick Order
          • Supply Center
          • eProcurement
          Support Plus Icon Minus Icon
          • Help and Support
          • Contact Us - 400 820 8982
          • Technical Support Centers
          • Documents and Certificates
          • Report a Site Issue
          Resources Plus Icon Minus Icon
          • Learning Centers
          • Promotions
          • Events and Webinars
          • Social Media
          About Thermo Fisher Plus Icon Minus Icon
          • About Us About Us
          • Careers Careers
          • Investors Investors
          • News News
          • Social Responsibility Social Responsibility
          • Trademarks
          • Policies and Notices
          Our Portfolio Plus Icon Minus Icon
          • Thermo Scientific
          • Applied Biosystems
          • Invitrogen
          • Gibco
          • Ion Torrent
          • Patheon
          • PPD
          • Terms & Conditions
          • Privacy Policy
          • Price & Freight Policy
          © 2006-2025 Thermo Fisher Scientific Inc. All rights reserved. All trademarks are the property of Thermo Fisher Scientific and its subsidiaries unless otherwise specified.
          China flag icon
          China
          本网站销售的所有产品均不得用于人类或动物之临床诊断或治疗,仅可用于工业或者科研等非医疗目的。
             电子营业执照 | 经营证照公示 | ICP备案号:沪ICP备11003924号 | 沪公网安备 31011502006935号

          Your items have has been added!


          Host server : magellan-search-green-55658555d6-jl6mg:80/100.66.76.99:80.
          git-commit: ec8e7df5f8fec8d765bd419205f1b5046a016d37
          git-url: https://github.com/thermofisher/magellan-search
          git-branch: release/2.41.0-Offline