Hamburger Menu Button
Thermo Fisher Scientific Logo
Sign in
Don't have an account ? Create Account
  • Products
    • Antibodies
    • Custom DNA Oligos
    • GeneArt Gene Synthesis Instant Designer
    • TaqMan Assay and Array Search
    • PCR Equipment and Supplies
    • Chromatography Columns and Cartridges
    • Lab Centrifuges
    • Molecular Biology Reagents and Kits
    • Lab Plasticware and Supplies
    • See all product categories
  • Applications
    • Chromatography
    • Cell Culture
    • Real-Time PCR
    • Mass Spectrometry
    • Lab Plasticware and Supplies
    • Electron Microscopy
    • Protein Biology
    • PCR
    • RNAi
    • Environmental
    • See all applications and techniques
  • Services
    • Custom Services
    • Enterprise-Level Lab Informatics
    • Enterprise Services
    • Financial and Leasing Services
    • Instrument Services
    • OEM and Commercial Supply
    • Training Services
    • 360° CDMO and CRO Solutions
    • CDMO Services
    • CRO Services
    • See all services
  • Help and Support
    • Learning Centers
    • Contact Us
    • Change Location
    • See all help and support topics
  • Popular
    • TaqMan Real-Time PCR Assays
      TaqMan Real-Time PCR Assays
    • Antibodies
      Antibodies
    • Oligos, Primers & Probes
      Oligos, Primers & Probes
    • GeneArt Gene Synthesis
      GeneArt Gene Synthesis
    • Cell Culture Plastics
      Cell Culture Plastics
  • Contact Us
  • Quick Order
  • Order Status and Tracking
  • Documents and Certificates
Thermo Fisher Scientific Logo

Search

Search All
Search button
          • Contact Us
          • Quick Order
          • Sign in
            Sign in
            Don't have an account ? Create Account
            • Account
            • Check Order Status
            • AR Statement & Invoice Inquiry
            • Custom Products & Projects
            • Instrument Management

          Disclaimer

          Clicking the images or links will redirect you to a website hosted by BenchSci that provides third-party scientific content. Neither the content nor the BenchSci technology and processes for selection have been evaluated by us; we are providing them as-is and without warranty of any kind, including for use or application of the Thermo Fisher Scientific products presented.

          • Primary Antibodies ›
          • GLUT4 Antibodies

          Invitrogen

          GLUT4 Polyclonal Antibody

          Advanced Verification
          7 Published Figures
          22 References
          View all (27) GLUT4 antibodies

          {{$productOrderCtrl.translations['antibody.pdp.commerceCard.promotion.promotions']}}

          {{$productOrderCtrl.translations['antibody.pdp.commerceCard.promotion.viewpromo']}}

          {{$productOrderCtrl.translations['antibody.pdp.commerceCard.promotion.promocode']}}: {{promo.promoCode}} {{promo.promoTitle}} {{promo.promoDescription}}. {{$productOrderCtrl.translations['antibody.pdp.commerceCard.promotion.learnmore']}}

          Datasheet
          Protocols
          Questions & Answers
          Tech Support
          Datasheet
          Protocols
          Questions & Answers
          Tech Support

          Cite GLUT4 Polyclonal Antibody

          • Antibody Testing Data (7)
          • Published Figures (7)
          • Advanced Verification (2)
          GLUT4 Antibody in Immunocytochemistry (ICC/IF)
          Group 53 Created with Sketch.
          GLUT4 Antibody in Immunocytochemistry (ICC/IF)
          Group 53 Created with Sketch.

          FIGURE: 1 / 16

          {{ $ctrl.currentElement.advancedVerification.fullName }}
          {{ $ctrl.currentElement.advancedVerification.text }}

          GLUT4 Antibody (PA5-23052) in ICC/IF

          Immunofluorescence analysis of GLUT4 was performed using 70% confluent log phase 3T3-L1 cells differentiated to adipocytes. The cells were fixed with 4% paraformaldehyde for 10 minutes, permeabilized with 0.1% Triton™ X-100 for 15 minutes, and blocked with 2% BSA for 1 hour at room temperature. The cells were labeled with GLUT4 Rabbit Polyclonal Antibody (Product # PA5-23052) at 5 µg/mL in 0.1% BSA, incubated at 4 degree celsius overnight and then labeled with Goat anti-Rabbit IgG (Heavy Chain) Superclonal™ Recombinant Secondary Antibody, ... View More {{ $ctrl.currentElement.advancedVerification.fullName }} validation info. View more
          Published figure supplied by benchsci-logo
          PMID: {{$ctrl.currentElement.benchSciPubmedId}}
          View Product

          {{$ctrl.videoDesc}}

          {{$ctrl.videoLongDesc}}

          GLUT4 Antibody in Immunocytochemistry (ICC/IF)
          GLUT4 Antibody in Immunocytochemistry (ICC/IF)
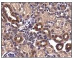
          GLUT4 Antibody in Immunohistochemistry (IHC)
          GLUT4 Antibody in Western Blot (WB)
          GLUT4 Antibody in Western Blot (WB)
          GLUT4 Antibody in Western Blot (WB)
          GLUT4 Antibody in Flow Cytometry (Flow)
          GLUT4 Antibody in Immunohistochemistry (IHC)
          GLUT4 Antibody in Western Blot (WB)
          GLUT4 Antibody in Western Blot (WB)
          GLUT4 Antibody in Western Blot (WB)
          GLUT4 Antibody in Western Blot (WB)
          GLUT4 Antibody in Western Blot (WB)
          GLUT4 Antibody in Immunomicroscopy (IM)
          GLUT4 Antibody
          GLUT4 Antibody

          Product Details

          PA5-23052

          Applications
          Tested Dilution
          Publications

          Western Blot (WB)

          0.5 µg/mL
          View 11 publications 11 publications

          Immunohistochemistry (IHC)

          1:200
          View 8 publications 8 publications

          Immunohistochemistry (Paraffin) (IHC (P))

          -
          View 1 publication 1 publication

          Immunohistochemistry (Frozen) (IHC (F))

          -
          View 1 publication 1 publication

          Immunocytochemistry (ICC/IF)

          1:100
          -

          Flow Cytometry (Flow)

          Assay-Dependent
          -

          Immunomicroscopy (IM)

          -
          View 1 publication 1 publication
          Product Specifications

          Species Reactivity

          Human, Mouse, Plant, Rat

          Published species

          C. elegans, Hamster, Human, Mouse

          Host/Isotype

          Rabbit / IgG

          Class

          Polyclonal

          Type

          Antibody

          Immunogen

          A synthetic peptide from the human Glucose Transporter GLUT4 protein.

          Conjugate

          Unconjugated Unconjugated Unconjugated

          Form

          Liquid

          Concentration

          1 mg/mL

          Purification

          Antigen affinity chromatography

          Storage buffer

          PBS

          Contains

          0.02% sodium azide

          Storage conditions

          -20°C or -80°C if preferred

          Shipping conditions

          Ambient (domestic); Wet ice (international)

          RRID

          AB_11153908

          Product Specific Information

          This antibody is predicted to react with rat based on 100% sequence homology.

          Target Information

          This gene is a member of the solute carrier family 2 (facilitated glucose transporter) family and encodes a protein that functions as an insulin-regulated facilitative glucose transporter. In the absence of insulin, this integral membrane protein is sequestered within the cells of muscle and adipose tissue. Within minutes of insulin stimulation, the protein moves to the cell surface and begins to transport glucose across the cell membrane. Mutations in this gene have been associated with noninsulin-dependent diabetes mellitus (NIDDM).

          For Research Use Only. Not for use in diagnostic procedures. Not for resale without express authorization.

          Bioinformatics

          Protein Aliases: Glucose transporter 4 insuline-responsive; Glucose transporter 4, insuline-responsive; glucose transporter glut4; Glucose transporter type 4, insulin-responsive; GLUT-4; GT2; insulin responsive glucose transporter; insulin-responsive glucose transporter type 4; MGC93607; solute carrier family 2 member 4; solute carrier family 2 (facilitated glucose transporter), member 4; solute carrier family 2 , member 4; Solute carrier family 2, facilitated glucose transporter member 4

          View more View less

          Gene Aliases: Glut-4; GLUT4; SLC2A4

          View more View less

          UniProt ID: (Human) P14672, (Rat) P19357, (Mouse) P14142

          View more View less

          Entrez Gene ID: (Human) 6517, (Rat) 25139, (Mouse) 20528

          View more View less

          Function(s)
          glucose transmembrane transporter activity protein binding D-glucose transmembrane transporter activity transporter activity insulin-responsive hydrogen:glucose symporter activity transmembrane transporter activity substrate-specific transmembrane transporter activity
          Process(es)
          amylopectin biosynthetic process glucose transport cellular response to insulin stimulus hexose transmembrane transport glucose homeostasis response to ethanol brown fat cell differentiation transmembrane transport cellular response to hypoxia cellular response to osmotic stress carbohydrate metabolic process glucose import glucose transmembrane transport transport carbohydrate transport proton transport cation transmembrane transport
          It has to be done as per old AB suggested Products section.
          guarantee_icon

          Performance Guarantee

          If an Invitrogen™ antibody doesn't perform as described on our website or datasheet,we'll replace the product at no cost to you, or provide you with a credit for a future purchase.*

          Learn more
          help_icon

          We're here to help

          Get expert recommendations for common problems or connect directly with an on staff expert for technical assistance related to applications, equipment and general product use.

          Contact tech support
          Ordering Plus Icon Minus Icon
          • Order Status
          • Order Help
          • Quick Order
          • Supply Center
          • eProcurement
          Support Plus Icon Minus Icon
          • Help and Support
          • Contact Us - 400 820 8982
          • Technical Support Centers
          • Documents and Certificates
          • Report a Site Issue
          Resources Plus Icon Minus Icon
          • Learning Centers
          • Promotions
          • Events and Webinars
          • Social Media
          About Thermo Fisher Plus Icon Minus Icon
          • About Us About Us
          • Careers Careers
          • Investors Investors
          • News News
          • Social Responsibility Social Responsibility
          • Trademarks
          • Policies and Notices
          Our Portfolio Plus Icon Minus Icon
          • Thermo Scientific
          • Applied Biosystems
          • Invitrogen
          • Gibco
          • Ion Torrent
          • Patheon
          • PPD
          • Terms & Conditions
          • Privacy Policy
          • Price & Freight Policy
          © 2006-2025 Thermo Fisher Scientific Inc. All rights reserved. All trademarks are the property of Thermo Fisher Scientific and its subsidiaries unless otherwise specified.
          China flag icon
          China
          本网站销售的所有产品均不得用于人类或动物之临床诊断或治疗,仅可用于工业或者科研等非医疗目的。
             电子营业执照 | 经营证照公示 | ICP备案号:沪ICP备11003924号 | 沪公网安备 31011502006935号

          Your items have has been added!


          Host server : magellan-search-blue-555ccb4fbd-4wx4v:80/100.66.79.196:80.
          git-commit: 75f0c7d4cb44686da2af39b21f2e6446a20282e2
          git-url: https://github.com/thermofisher/magellan-search
          git-branch: release/2.41.0-2025.12.99-1.0