Hamburger Menu Button
Thermo Fisher Scientific Logo
登录
没有账号?建立账号 注册
  • 产品
    • 抗体
    • 引物合成
    • GeneArt Gene Synthesis Instant Designer
    • TaqMan Assay and Array Search
    • PCR 设备和耗材
    • 色谱柱和纯化柱
    • 实验室离心机
    • 分子生物学试剂和试剂盒
    • 实验室塑料耗材及用品
    • 查看所有产品分类
  • 应用和技术
    • 色谱
    • 细胞转染和培养
    • 实时荧光定量PCR
    • 质谱
    • 实验室塑料耗材及用品
    • 电子显微镜
    • 蛋白质生物学
    • PCR
    • RNAi
    • 环境
    • 查看所有应用和技术
  • 服务
    • 定制服务
    • 企业级实验室信息化服务
    • 金融&租赁服务
    • 仪器服务
    • OEM和商业供应
    • 培训服务
    • 360° CDMO 和 CRO 服务
    • CDMO 服务
    • 临床试验 CRO 服务
    • Unity Lab Services
    • 查看所有帮助和支持
  • 帮助和支持
    • 学习中心
    • 联系我们
    • 更改国家或地区
    • 查看所有帮助和支持
  • 热门产品
    • TaqMan Real-Time PCR Assays
      TaqMan 实时荧光定量 PCR 试剂盒
    • Antibodies
      抗体
    • Oligos, Primers & Probes
      寡核苷酸、引物、探针
    • GeneArt Gene Synthesis
      GeneArt 基因合成
    • Cell Culture Plastics
      细胞培养耗材
  • Who We Serve
    • 抗体治疗解决方案
    • 细胞与基因治疗解决方案
    • 学术科研
    • 工业与应用
  • 联系我们
  • 货号直购
  • 订单查询
  • 查找文件&证书
Thermo Fisher Scientific Logo

Search

搜索全部或下列指定分类
Search button
          • 联系我们
          • 货号直购
          • 登录
            登录
            没有账号?建立账号 注册
            • 我的账号
            • 订单
            • 账单及发票查询
            • 定制产品及项目
          • Primary Antibodies ›
          • GNAS Antibodies

          Invitrogen

          GNAS Polyclonal Antibody

          高级验证
          2个已发表图片
          2 篇参考文献
          查看其他23个GNAS抗体

          {{$productOrderCtrl.translations['antibody.pdp.commerceCard.promotion.promotions']}}

          {{$productOrderCtrl.translations['antibody.pdp.commerceCard.promotion.viewpromo']}}

          {{$productOrderCtrl.translations['antibody.pdp.commerceCard.promotion.promocode']}}: {{promo.promoCode}} {{promo.promoTitle}} {{promo.promoDescription}}. {{$productOrderCtrl.translations['antibody.pdp.commerceCard.promotion.learnmore']}}

          说明书
          证书
          实验方案
          问题与答案
          技术支持
          说明书
          证书
          实验方案
          问题与答案
          技术支持
          说明书
          证书
          实验方案
          问题与答案
          技术支持

          Cite GNAS Polyclonal Antibody

          Additional Information:
          {{banner.description}}
          {{$ctrl.isSkuNotesCollapsed ? 'View more' : 'View less'}}
          • 抗体检测数据 (4)
          • 已发表图片 (2)
          • 高级验证 (1)
          GNAS Antibody in Western Blot (WB)
          Group 53 Created with Sketch.
          GNAS Antibody in Western Blot (WB)
          Group 53 Created with Sketch.

          图: 1 / 7

          {{ $ctrl.currentElement.advancedVerification.fullName }}
          {{ $ctrl.currentElement.advancedVerification.text }}

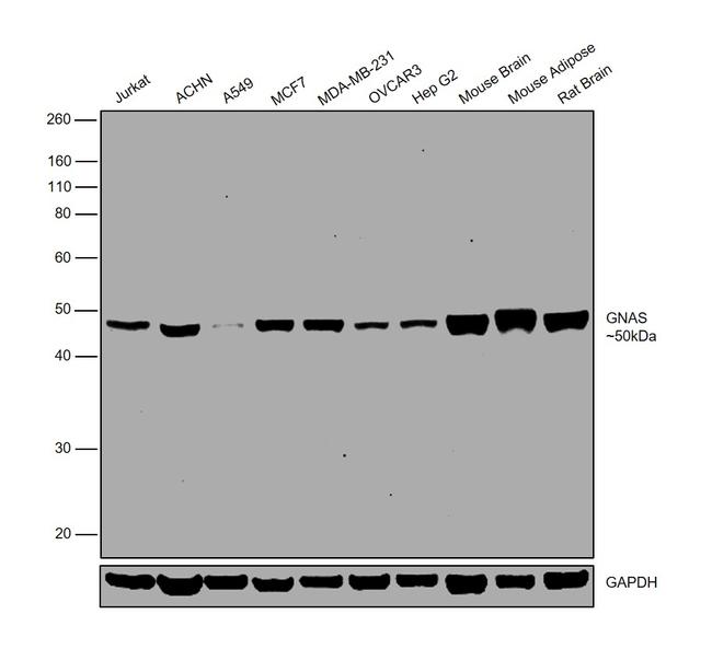
          GNAS Antibody (PA5-19315) in WB

          Western blot was performed using Anti-GNAS Polyclonal Antibody (Product # PA5-19315) and a 50 kDa band corresponding to GNAS was observed in all tested cell lines and tissue models. Whole cell lysates (30 µg lysate) of Jurkat (Lane 1), ACHN (Lane 2), A549 (Lane 3), MCF7 (Lane 4), MDA-MB-231 (Lane 5), OVCAR-3 (Lane 6), HepG2 (Lane 7), tissue lysates (30 µg lysate) of Mouse Brain (Lane 8), Mouse Adipose (Lane 9) and Rat Brain (Lane 10) were electrophoresed using NuPAGE® 10 % Bis-Tris gel (Product # NP0302BOX). Resolved proteins were then tra... View More {{ $ctrl.currentElement.advancedVerification.fullName }} 验证信息 View more
          已发表图片由___提供 benchsci-logo
          PMID: {{$ctrl.currentElement.benchSciPubmedId}}
          查看产品

          {{$ctrl.videoDesc}}

          {{$ctrl.videoLongDesc}}

          GNAS Antibody in Western Blot (WB)
          GNAS Antibody in Western Blot (WB)
          GNAS Antibody in Western Blot (WB)
          GNAS Antibody in Western Blot (WB)
          GNAS Antibody in Western Blot (WB)
          GNAS Antibody in Western Blot (WB)
          GNAS Antibody
          GNAS Polyclonal Antibody

          产品信息

          PA5-19315

          应用
          建议稀释比
          已发表文章

          免疫印迹 (WB)

          0.1-0.5 µg/mL
          查看2篇已发表文章 2篇已发表文章
          产品规格

          种属反应

          Human, Mouse, Rat

          已发表种属

          Human

          宿主/亚型

          Goat / IgG

          分类

          Polyclonal

          类型

          Antibody

          抗原

          Synthetic peptide sequence (QAARSNSDGEKATK) corresponding to the internal amino acids of GNAS
          3D表位/免疫原

          偶联物

          Unconjugated Unconjugated Unconjugated

          形式

          Liquid

          浓度

          0.5 mg/mL

          规格

          100 µg

          纯化类型

          Ammonium sulfate precipitation

          保存液

          TBS, pH 7.3, with 0.5% BSA

          内含物

          0.02% sodium azide

          保存条件

          -20°C, Avoid Freeze/Thaw Cycles

          运输条件

          Ambient (domestic); Wet ice (international)

          RRID

          AB_10983686

          产品详细信息

          This antibody is predicted to react with bovine based on sequence homology.

          This antibody is tested in Peptide ELISA: antibody detection limit dilution 32,000.

          靶标信息

          Mutations in GNAS gene result in pseudohypoparathyroidism type 1a, pseudohypoparathyroidism type 1b, Albright hereditary osteodystrophy, pseudopseudohypoparathyroidism, McCune-Albright syndrome, progressive osseous heteroplasia, polyostotic fibrous dysplasia of bone, and some pituitary tumors. This gene has a highly complex imprinted expression pattern. It encodes maternally, paternally, and biallelically expressed proteins which are derived from alternatively spliced transcripts with alternate 5' exons. Each of the upstream exons is within a differentially methylated region, commonly found in imprinted genes. However, the close proximity (14 kb) of two oppositely expressed promoter regions is unusual. In addition, one of the alternate 5' exons introduces a frameshift relative to the other transcripts, resulting in one isoform which is structurally unrelated to the others. An antisense transcript exists, and may regulate imprinting in this region. Mutations in this gene result in pseudohypoparathyroidism type 1a (PHP1a), which has an atypical autosomal dominant inheritance pattern requiring maternal transmission for full penetrance.

          仅用于科研。不用于诊断过程。未经明确授权不得转售。

          生物信息学

          蛋白别名: Adenylate cyclase-stimulating G alpha protein; Alternative gene product encoded by XL-exon; dJ309F20.1.1; dJ806M20.3.3; Extra large alphas protein; G protein; G protein subunit alpha S; G-alpha-8; GNAS; GNAS (guanine nucleotide binding protein, alpha stimulating) complex locus; gnas {ECO:0000312|RGD:2716}; GNSA1; Gs alpha subunit; guanine nucleotide binding protein (G protein), alpha stimulating activity polypeptide 1; guanine nucleotide binding protein alpha s; guanine nucleotide regulatory protein; guanine nucleotide-binding protein alpha subunit; Guanine nucleotide-binding protein G(s) subunit alpha isoforms short; Guanine nucleotide-binding protein G(s) subunit alpha isoforms XLas; guanine nucleotide-binding protein G-s, alpha subunit; MGC33735; NESP55; NESP55; large dense core vesicle secretory protein; Neuroendocrine secretory protein 55; OTTHUMP00000031742; OTTHUMP00000196026; OTTHUMP00000196030; PHP1C; Protein ALEX; RP4-543J19.4; secretogranin VI; stimulatory G-protein alpha subunit; unnamed protein product; XLalphas; XLas

          查看更多 收起

          基因别名: 5530400H20Rik; A930027G11Rik; AHO; AIMAH1; C130027O20Rik; C20orf45; Galphas; GNAS; GNAS1; Gnasxl; Gnpas; GPSA; GSA; GSP; MNCb-5546; NESP; Nesp55; Nespl; Oed-Sml; Oedsml; P1; P2; P3; PHP1A; PHP1B; PITA3; POH; SCG6; SgVI

          查看更多 收起

          UniProt ID: (Human) Q5JWF2, (Mouse) Q6R0H7, (Rat) P63095

          查看更多 收起

          Entrez Gene ID: (Human) 2778, (Mouse) 14683, (Rat) 24896

          查看更多 收起

          功能
          nucleotide binding GTPase activity obsolete small monomeric GTPase activity insulin-like growth factor receptor binding protein binding GTP binding adenylate cyclase regulator activity adenylate cyclase activator activity hydrolase activity guanyl nucleotide binding G-protein beta/gamma-subunit complex binding beta-2 adrenergic receptor binding D1 dopamine receptor binding mu-type opioid receptor binding ionotropic glutamate receptor binding metal ion binding corticotropin-releasing hormone receptor 1 binding G-protein alpha-subunit binding signal transducer activity protein domain specific binding G-protein beta-subunit binding alpha-tubulin binding heterotrimeric G-protein
          参与通路
          negative regulation of inflammatory response to antigenic stimulus renal water homeostasis signal transduction G-protein coupled receptor signaling pathway adenylate cyclase-activating G-protein coupled receptor signaling pathway activation of adenylate cyclase activity adenylate cyclase-activating dopamine receptor signaling pathway adenylate cyclase-activating serotonin receptor signaling pathway female pregnancy sensory perception of chemical stimulus sensory perception of smell protein secretion regulation of signal transduction regulation of skeletal muscle contraction response to prostaglandin E negative regulation of multicellular organism growth intracellular transport developmental growth positive regulation of phagocytosis regulation of insulin secretion cognition bone development hair follicle placode formation platelet aggregation response to parathyroid hormone cellular response to glucagon stimulus cellular response to prostaglandin E stimulus cellular response to acidic pH cellular response to catecholamine stimulus adenylate cyclase-activating adrenergic receptor signaling pathway vascular endothelial cell response to laminar fluid shear stress positive regulation of cold-induced thermogenesis skeletal system development tissue homeostasis positive regulation of protein phosphorylation endochondral ossification energy reserve metabolic process DNA methylation regulation of transcription from RNA polymerase II promoter post-embryonic development positive regulation of sodium ion transport positive regulation of cAMP biosynthetic process embryonic hindlimb morphogenesis multicellular organism growth negative regulation of renal sodium excretion post-embryonic body morphogenesis response to drug positive regulation of GTPase activity skin development positive regulation of cAMP-mediated signaling positive regulation of osteoblast differentiation positive regulation of osteoclast differentiation negative regulation of blood pressure embryonic cranial skeleton morphogenesis cartilage development calcium ion homeostasis genetic imprinting metabolic process
          It has to be done as per old AB suggested Products section.

          Disclaimer

          Close

          Clicking the images or links will redirect you to a website hosted by BenchSci that provides third-party scientific content. Neither the content nor the BenchSci technology and processes for selection have been evaluated by us; we are providing them as-is and without warranty of any kind, including for use or application of the Thermo Fisher Scientific products presented.

          guarantee_icon

          性能保障

          只要您发现Invitrogen抗体在实验中的表现与网站或说明书的所述内容不符,您即可享受免费退换货服务。*

          了解更多
          help_icon

          随时为您服务

          获取常见问题的专家解答,或者直接联系我们的技术专家,咨询应用、设备、常规产品使用问题。

          联系技术支持
          订购 Plus Icon Minus Icon
          • 订单状态查询
          • 订单支持
          • 货号直购
          • 现货供应中心
          • 电子采购
          支持 Plus Icon Minus Icon
          • 帮助&支持
          • 联系我们 - 400 820 8982
          • 技术支持中心
          • 查找文件&证书
          • 报告网站问题
          资源 Plus Icon Minus Icon
          • 学习中心
          • 促销
          • 活动&研讨会
          • 社交媒体
          关于赛默飞 Plus Icon Minus Icon
          • 关于我们
          • 招聘 招聘
          • 投资者关系 投资者关系
          • 新闻 新闻
          • 社会责任 社会责任
          • 商标
          • 政策和通知
          品牌 Plus Icon Minus Icon
          • Thermo Scientific
          • Applied Biosystems
          • Invitrogen
          • Gibco
          • Ion Torrent
          • Unity Lab Services
          • Patheon
          • PPD
          • 服务条款
          • 隐私政策
          • 定价和运输保险政策
          © 2006-2026 Thermo Fisher Scientific Inc. All rights reserved. All trademarks are the property of Thermo Fisher Scientific and its subsidiaries unless otherwise specified.
          China flag icon
          China
          本网站销售的所有产品均不得用于人类或动物之临床诊断或治疗,仅可用于工业或者科研等非医疗目的。
             电子营业执照 | 经营证照公示 | ICP备案号:沪ICP备11003924号 | 沪公网安备 31011502006935号

          Your items have has been added!


          Host server : magellan-search-green-6b469b8bb7-b97mm:80/100.66.72.101:80.
          git-commit: a334af76dff23450325448aedefe62379591458a
          git-url: https://github.com/thermofisher/magellan-search
          git-branch: release/2.48.1-2026.04.16-1.0