Hamburger Menu Button
Thermo Fisher Scientific Logo
登录
没有账号?建立账号 注册
  • 产品
    • 抗体
    • 引物合成
    • GeneArt Gene Synthesis Instant Designer
    • TaqMan Assay and Array Search
    • PCR 设备和耗材
    • 色谱柱和纯化柱
    • 实验室离心机
    • 分子生物学试剂和试剂盒
    • 实验室塑料耗材及用品
    • 查看所有产品分类
  • 应用和技术
    • 色谱
    • 细胞转染和培养
    • 实时荧光定量PCR
    • 质谱
    • 实验室塑料耗材及用品
    • 电子显微镜
    • 蛋白质生物学
    • PCR
    • RNAi
    • 环境
    • 查看所有应用和技术
  • 服务
    • 定制服务
    • 企业级实验室信息化服务
    • 金融&租赁服务
    • 仪器服务
    • OEM和商业供应
    • 培训服务
    • 360° CDMO 和 CRO 服务
    • CDMO 服务
    • 临床试验 CRO 服务
    • Unity Lab Services
    • 查看所有帮助和支持
  • 帮助和支持
    • 学习中心
    • 联系我们
    • 更改国家或地区
    • 查看所有帮助和支持
  • 热门产品
    • TaqMan Real-Time PCR Assays
      TaqMan 实时荧光定量 PCR 试剂盒
    • Antibodies
      抗体
    • Oligos, Primers & Probes
      寡核苷酸、引物、探针
    • GeneArt Gene Synthesis
      GeneArt 基因合成
    • Cell Culture Plastics
      细胞培养耗材
  • Who We Serve
    • 抗体治疗解决方案
    • 细胞与基因治疗解决方案
    • 学术科研
    • 工业与应用
  • 联系我们
  • 货号直购
  • 订单查询
  • 查找文件&证书
Thermo Fisher Scientific Logo

Search

搜索全部或下列指定分类
Search button
          • 联系我们
          • 货号直购
          • 登录
            登录
            没有账号?建立账号 注册
            • 我的账号
            • 订单
            • 会员中心
            • 账单及发票查询
            • 定制产品及项目
          • Primary Antibodies ›
          • IL-12 p40 Antibodies

          Invitrogen

          IL-12 p40 Polyclonal Antibody

          查看其他31个IL-12 p40抗体

          {{$productOrderCtrl.translations['antibody.pdp.commerceCard.promotion.promotions']}}

          {{$productOrderCtrl.translations['antibody.pdp.commerceCard.promotion.viewpromo']}}

          {{$productOrderCtrl.translations['antibody.pdp.commerceCard.promotion.promocode']}}: {{promo.promoCode}} {{promo.promoTitle}} {{promo.promoDescription}}. {{$productOrderCtrl.translations['antibody.pdp.commerceCard.promotion.learnmore']}}

          说明书
          证书
          实验方案
          问题与答案
          技术支持
          说明书
          证书
          实验方案
          问题与答案
          技术支持
          说明书
          证书
          实验方案
          问题与答案
          技术支持

          Cite IL-12 p40 Polyclonal Antibody

          Additional Information:
          {{banner.description}}
          {{$ctrl.isSkuNotesCollapsed ? 'View more' : 'View less'}}
          • 抗体检测数据 (4)
          IL-12 p40 Antibody in Immunohistochemistry (Paraffin) (IHC (P))
          Group 53 Created with Sketch.
          IL-12 p40 Antibody in Immunohistochemistry (Paraffin) (IHC (P))
          Group 53 Created with Sketch.

          图: 1 / 4

          {{ $ctrl.currentElement.advancedVerification.fullName }}
          {{ $ctrl.currentElement.advancedVerification.text }}

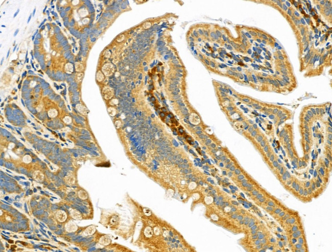
          IL-12 p40 Antibody (PA5-115402) in IHC (P)

          Immunohistochemistry analysis of IL-12 p40 in mouse colorectal tissue. Samples were treated with formaldehyde and treated with citrate buffer for antigen retrieval, blocked, and incubated (1.5 hours at 22°C) with polyclonal antibody (Product # PA5-115402) at a dilution of 1:100. Secondary staining was applied with HRP conjugated anti-Rabbit. {{ $ctrl.currentElement.advancedVerification.fullName }} 验证信息 View more
          已发表图片由___提供 benchsci-logo
          PMID: {{$ctrl.currentElement.benchSciPubmedId}}
          查看产品

          {{$ctrl.videoDesc}}

          {{$ctrl.videoLongDesc}}

          IL-12 p40 Antibody in Immunohistochemistry (Paraffin) (IHC (P))
          IL-12 p40 Antibody in Immunohistochemistry (Paraffin) (IHC (P))
          IL-12 p40 Antibody in Western Blot (WB)
          IL-12 p40 Antibody in Western Blot (WB)
          IL-12 p40 Polyclonal Antibody

          产品信息

          PA5-115402

          应用
          建议稀释比
          已发表文章

          免疫印迹 (WB)

          1:500-1:2,000
          -

          免疫组化(石蜡) (IHC (P))

          1:50-1:200
          -
          产品规格

          种属反应

          Human, Mouse, Rat

          宿主/亚型

          Rabbit / IgG

          分类

          Polyclonal

          类型

          Antibody

          抗原

          A synthesized peptide derived from human IL12B(Accession P29460), corresponding to amino acid residues E257-S307.
          3D表位/免疫原

          偶联物

          Unconjugated Unconjugated Unconjugated

          形式

          Liquid

          浓度

          1 mg/mL

          规格

          100 µg

          纯化类型

          Affinity chromatography

          保存液

          PBS with 50% glycerol

          内含物

          0.02% sodium azide

          保存条件

          -20°C

          运输条件

          Ambient (domestic); Wet ice (international)

          RRID

          AB_2900038

          产品详细信息

          Antibody detects endogenous levels of total IL12B.

          靶标信息

          IL12B (IL-12 p40) encodes a subunit of interleukin 12, a cytokine that acts on T and natural killer cells, and has a broad array of biological activities. Interleukin 12 is a disulfide-linked heterodimer composed of the 40 kDa cytokine receptor like subunit encoded by this gene, and a 35 kDa subunit encoded by IL12A. This cytokine is expressed by activated macrophages that serve as an essential inducer of Th1 cells development. This cytokine has been found to be important for sustaining a sufficient number of memory/effector Th1 cells to mediate long-term protection to an intracellular pathogen. Overexpression of this gene was observed in the central nervous system of patients with multiple sclerosis (MS), suggesting a role of this cytokine in the pathogenesis of the disease. The promoter polymorphism of this gene has been reported to be associated with the severity of atopic and non-atopic asthma in children.

          仅用于科研。不用于诊断过程。未经明确授权不得转售。

          篇参考文献 (0)

          您是否在文献中引用过该产品?请点击下方按钮邮件告知我们。
          引用该产品

          生物信息学

          蛋白别名: CLMF p35; CLMF p40; Cytotoxic lymphocyte maturation factor 40 kDa subunit; IL-12 subunit p35; IL-12 subunit p40; IL-12A; IL-12B; IL12; IL12 p40; IL12, subunit p40; IL12A; Interleukin; interleukin 12, p40; interleukin 12B (natural killer cell stimulatory factor 2, cytotoxic lymphocyte maturation factor 2, p40); interleukin-12 beta chain; interleukin-12 p40; Interleukin-12 subunit beta; natural killer cell stimulatory factor 2; cytotoxic lymphocyte maturation factor 2; IL12p40; natural killer cell stimulatory factor, 40 kD subunit; NK cell stimulatory factor chain 2; NKSF/CLMF; IL12p40; 40kD; NKSF1; NKSF2; RP23-388G23.1

          查看更多 收起

          基因别名: CLMF; CLMF2; IL-12B; Il-12p40; Il12; IL12B; Il12p40; IMD28; IMD29; NKSF; NKSF2; p40

          查看更多 收起

          UniProt ID: (Human) P29460, (Mouse) P43432

          查看更多 收起

          Entrez Gene ID: (Human) 3593, (Rat) 64546, (Mouse) 16160

          查看更多 收起

          功能
          cytokine receptor activity cytokine activity cytokine receptor binding interleukin-12 receptor binding protein binding growth factor activity interleukin-12 alpha subunit binding identical protein binding macromolecular complex binding interleukin-23 receptor binding protein heterodimerization activity protein homodimerization activity transmembrane signal receptor
          参与通路
          regulation of cytokine production positive regulation of leukocyte mediated cytotoxicity positive regulation of T cell mediated cytotoxicity positive regulation of defense response to virus by host natural killer cell activation involved in immune response positive regulation of lymphocyte mediated immunity positive regulation of T-helper 1 type immune response positive regulation of natural killer cell mediated cytotoxicity directed against tumor cell target negative regulation of inflammatory response to antigenic stimulus cell surface receptor signaling pathway JAK-STAT cascade cell proliferation response to UV-B cell migration natural killer cell activation negative regulation of interleukin-10 production negative regulation of interleukin-17 production positive regulation of granulocyte macrophage colony-stimulating factor production positive regulation of interferon-gamma production positive regulation of interleukin-10 production positive regulation of interleukin-12 production positive regulation of interleukin-17 production positive regulation of tumor necrosis factor production positive regulation of natural killer cell activation positive regulation of natural killer cell proliferation positive regulation of mononuclear cell proliferation positive regulation of tissue remodeling positive regulation of smooth muscle cell apoptotic process interleukin-12-mediated signaling pathway T-helper 1 type immune response T-helper cell differentiation T cell proliferation positive regulation of T cell proliferation positive regulation of activated T cell proliferation T cell activation defense response to protozoan positive regulation of memory T cell differentiation T-helper 1 cell differentiation positive regulation of osteoclast differentiation positive regulation of cell adhesion oocyte development negative regulation of smooth muscle cell proliferation positive regulation of lymphocyte proliferation negative regulation of protein secretion regulation of inflammatory response positive regulation of inflammatory response defense response to Gram-negative bacterium positive regulation of NK T cell activation positive regulation of NK T cell proliferation defense response to virus cellular response to lipopolysaccharide cellular response to interferon-gamma negative regulation of vascular endothelial growth factor signaling pathway positive regulation of NIK/NF-kappaB signaling negative regulation of blood vessel endothelial cell proliferation involved in sprouting angiogenesis positive regulation of T-helper 17 type immune response positive regulation of T-helper 17 cell lineage commitment cell cycle arrest positive regulation of activation of JAK2 kinase activity cytokine-mediated signaling pathway sensory perception of pain regulation of tyrosine phosphorylation of Stat1 protein positive regulation of tyrosine phosphorylation of Stat3 protein positive regulation of tyrosine phosphorylation of Stat4 protein positive regulation of tyrosine phosphorylation of Stat5 protein negative regulation of growth of symbiont in host
          It has to be done as per old AB suggested Products section.

          Disclaimer

          Close

          Clicking the images or links will redirect you to a website hosted by BenchSci that provides third-party scientific content. Neither the content nor the BenchSci technology and processes for selection have been evaluated by us; we are providing them as-is and without warranty of any kind, including for use or application of the Thermo Fisher Scientific products presented.

          guarantee_icon

          性能保障

          只要您发现Invitrogen抗体在实验中的表现与网站或说明书的所述内容不符,您即可享受免费退换货服务。*

          了解更多
          help_icon

          随时为您服务

          获取常见问题的专家解答,或者直接联系我们的技术专家,咨询应用、设备、常规产品使用问题。

          联系技术支持
          订购 Plus Icon Minus Icon
          • 订单状态查询
          • 订单支持
          • 货号直购
          • 现货供应中心
          • 电子采购
          支持 Plus Icon Minus Icon
          • 帮助&支持
          • 联系我们 - 400 820 8982
          • 技术支持中心
          • 查找文件&证书
          • 报告网站问题
          资源 Plus Icon Minus Icon
          • 学习中心
          • 促销
          • 活动&研讨会
          • 社交媒体
          关于赛默飞 Plus Icon Minus Icon
          • 关于我们
          • 招聘 招聘
          • 投资者关系 投资者关系
          • 新闻 新闻
          • 社会责任 社会责任
          • 商标
          • 政策和通知
          品牌 Plus Icon Minus Icon
          • Thermo Scientific
          • Applied Biosystems
          • Invitrogen
          • Gibco
          • Ion Torrent
          • Unity Lab Services
          • Patheon
          • PPD
          • 服务条款
          • 隐私政策
          • 定价和运输保险政策
          © 2006-2026 Thermo Fisher Scientific Inc. All rights reserved. All trademarks are the property of Thermo Fisher Scientific and its subsidiaries unless otherwise specified.
          China flag icon
          China
          本网站销售的所有产品均不得用于人类或动物之临床诊断或治疗,仅可用于工业或者科研等非医疗目的。
             电子营业执照 | 经营证照公示 | ICP备案号:沪ICP备11003924号 | 沪公网安备 31011502006935号

          Your items have has been added!


          Host server : magellan-search-green-6479c7f679-jmhj8:80/100.66.74.142:80.
          git-commit: b70c0dceb888abc3b0dcebb5bc3a5b8753e7e816
          git-url: https://github.com/thermofisher/magellan-search
          git-branch: release/2.50.0-Offline