Hamburger Menu Button
Thermo Fisher Scientific Logo
登录
没有账号?建立账号 注册
  • 产品
    • 抗体
    • 引物合成
    • GeneArt Gene Synthesis Instant Designer
    • TaqMan Assay and Array Search
    • PCR 设备和耗材
    • 色谱柱和纯化柱
    • 实验室离心机
    • 分子生物学试剂和试剂盒
    • 实验室塑料耗材及用品
    • 查看所有产品分类
  • 应用和技术
    • 色谱
    • 细胞转染和培养
    • 实时荧光定量PCR
    • 质谱
    • 实验室塑料耗材及用品
    • 电子显微镜
    • 蛋白质生物学
    • PCR
    • RNAi
    • 环境
    • 查看所有应用和技术
  • 服务
    • 定制服务
    • 企业级实验室信息化服务
    • 金融&租赁服务
    • 仪器服务
    • OEM和商业供应
    • 培训服务
    • 360° CDMO 和 CRO 服务
    • CDMO 服务
    • 临床试验 CRO 服务
    • Unity Lab Services
    • 查看所有帮助和支持
  • 帮助和支持
    • 学习中心
    • 联系我们
    • 更改国家或地区
    • 查看所有帮助和支持
  • 热门产品
    • TaqMan Real-Time PCR Assays
      TaqMan 实时荧光定量 PCR 试剂盒
    • Antibodies
      抗体
    • Oligos, Primers & Probes
      寡核苷酸、引物、探针
    • GeneArt Gene Synthesis
      GeneArt 基因合成
    • Cell Culture Plastics
      细胞培养耗材
  • Who We Serve
    • 抗体治疗解决方案
    • 细胞与基因治疗解决方案
    • 学术科研
    • 工业与应用
  • 联系我们
  • 货号直购
  • 订单查询
  • 查找文件&证书
Thermo Fisher Scientific Logo

Search

搜索全部或下列指定分类
Search button
          • 联系我们
          • 货号直购
          • 登录
            登录
            没有账号?建立账号 注册
            • 我的账号
            • 订单
            • 会员中心
            • 账单及发票查询
            • 定制产品及项目
          • Primary Antibodies ›
          • ISL1 Antibodies

          Invitrogen

          ISL1 Polyclonal Antibody

          查看其他22个ISL1抗体

          {{$productOrderCtrl.translations['antibody.pdp.commerceCard.promotion.promotions']}}

          {{$productOrderCtrl.translations['antibody.pdp.commerceCard.promotion.viewpromo']}}

          {{$productOrderCtrl.translations['antibody.pdp.commerceCard.promotion.promocode']}}: {{promo.promoCode}} {{promo.promoTitle}} {{promo.promoDescription}}. {{$productOrderCtrl.translations['antibody.pdp.commerceCard.promotion.learnmore']}}

          说明书
          证书
          实验方案
          问题与答案
          技术支持
          说明书
          证书
          实验方案
          问题与答案
          技术支持
          说明书
          证书
          实验方案
          问题与答案
          技术支持

          Cite ISL1 Polyclonal Antibody

          Additional Information:
          {{banner.description}}
          {{$ctrl.isSkuNotesCollapsed ? 'View more' : 'View less'}}
          • 抗体检测数据 (2)
          ISL1 Antibody in Immunohistochemistry (Paraffin) (IHC (P))
          Group 53 Created with Sketch.
          ISL1 Antibody in Immunohistochemistry (Paraffin) (IHC (P))
          Group 53 Created with Sketch.

          图: 1 / 2

          {{ $ctrl.currentElement.advancedVerification.fullName }}
          {{ $ctrl.currentElement.advancedVerification.text }}

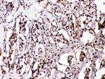
          ISL1 Antibody (PA5-79524) in IHC (P)

          Immunohistochemistry analysis of ISL1 on paraffin-embedded human mammary cancer tissue. Sample was incubated with ISL1 polyclonal antibody (Product# PA5-79524) with a dilution of 1 µg/mL, and developed by Streptavidin-Biotin-Complex (SABC) method. {{ $ctrl.currentElement.advancedVerification.fullName }} 验证信息 View more
          已发表图片由___提供 benchsci-logo
          PMID: {{$ctrl.currentElement.benchSciPubmedId}}
          查看产品

          {{$ctrl.videoDesc}}

          {{$ctrl.videoLongDesc}}

          ISL1 Antibody in Immunohistochemistry (Paraffin) (IHC (P))
          ISL1 Antibody in Western Blot (WB)
          ISL1 Polyclonal Antibody

          产品信息

          PA5-79524

          应用
          建议稀释比
          已发表文章

          免疫印迹 (WB)

          0.1-0.5 µg/mL
          -

          免疫组化(石蜡) (IHC (P))

          0.5-1 µg/mL
          -
          产品规格

          种属反应

          Human, Rat

          宿主/亚型

          Rabbit / IgG

          分类

          Polyclonal

          类型

          Antibody

          抗原

          A synthetic peptide corresponding to a sequence in the middle region of human Islet 1 (118-161aa DEFALREDGLFCRADHDVVERASLGAGDPLSPLHPARPLQMAAE).
          3D表位/免疫原

          偶联物

          Unconjugated Unconjugated Unconjugated

          形式

          Lyophilized

          浓度

          500 µg/mL

          规格

          100 µg

          纯化类型

          Antigen affinity chromatography

          保存液

          PBS with 4mg trehalose

          内含物

          0.05mg sodium azide

          保存条件

          -20°C

          运输条件

          Ambient (domestic); Wet ice (international)

          RRID

          AB_2746640

          产品详细信息

          Reconstitute with 0.2 mL of distilled water to yield a concentration of 500 µg/mL.

          Positive Control - WB: PC12 whole cell, MCF-7 whole cell. IHC: human mammary cancer tissue.

          靶标信息

          This gene encodes a member of the LIM/homeodomain family of transcription factors. The encoded protein binds to the enhancer region of the insulin gene, among others, and may play an important role in regulating insulin gene expression. The encoded protein is central to the development of pancreatic cell lineages and may also be required for motor neuron generation. Mutations in this gene have been associated with maturity-onset diabetes of the young.

          仅用于科研。不用于诊断过程。未经明确授权不得转售。

          篇参考文献 (0)

          您是否在文献中引用过该产品?请点击下方按钮邮件告知我们。
          引用该产品

          生物信息学

          蛋白别名: homeobox; Insulin gene enhancer protein ISL-1; isl-1 homeobox; ISL1 transcription factor LIM/homeodomain (islet-1); ISL1 transcription factor, LIM/homeodomain 1; Islet-1; unnamed protein product

          查看更多 收起

          基因别名: Isl-1; isl-1=homeobox; ISL1; ISLET1

          查看更多 收起

          UniProt ID: (Human) P61371, (Rat) P61374

          查看更多 收起

          Entrez Gene ID: (Human) 3670, (Rat) 64444

          查看更多 收起

          功能
          transcription regulatory region sequence-specific DNA binding RNA polymerase II core promoter proximal region sequence-specific DNA binding RNA polymerase II transcription factor activity, sequence-specific DNA binding core promoter proximal region sequence-specific DNA binding core promoter sequence-specific DNA binding transcriptional activator activity, RNA polymerase II transcription regulatory region sequence-specific binding DNA binding chromatin binding protein binding ligand-dependent nuclear receptor binding LIM domain binding estrogen receptor binding bHLH transcription factor binding sequence-specific DNA binding metal ion binding RNA polymerase II sequence-specific DNA binding transcription factor binding sequence-specific double-stranded DNA binding promoter-specific chromatin binding transcriptional activator activity, RNA polymerase II core promoter proximal region sequence-specific binding RNA polymerase II activating transcription factor binding RNA polymerase II transcription coactivator activity enhancer sequence-specific DNA binding zinc ion binding
          参与通路
          negative regulation of transcription from RNA polymerase II promoter neural crest cell migration heart morphogenesis secondary heart field specification outflow tract septum morphogenesis outflow tract morphogenesis endocardial cushion morphogenesis cardiac right ventricle morphogenesis regulation of secondary heart field cardioblast proliferation regulation of transcription, DNA-templated heart development positive regulation of cell proliferation regulation of gene expression positive regulation of vascular endothelial growth factor production spinal cord motor neuron cell fate specification spinal cord motor neuron differentiation visceral motor neuron differentiation trigeminal nerve development pituitary gland development neuron differentiation pancreas development axon regeneration retinal ganglion cell axon guidance positive regulation of insulin secretion positive regulation of granulocyte macrophage colony-stimulating factor production positive regulation of interferon-gamma production positive regulation of interleukin-1 alpha production positive regulation of interleukin-1 beta production positive regulation of interleukin-12 production positive regulation of interleukin-6 production positive regulation of tumor necrosis factor production negative regulation of intracellular estrogen receptor signaling pathway positive regulation of tyrosine phosphorylation of Stat3 protein positive regulation of DNA binding negative regulation of neuron apoptotic process negative regulation of neuron differentiation positive regulation of angiogenesis positive regulation of transcription from RNA polymerase II promoter neuron fate commitment neuron fate specification mesenchymal cell differentiation sensory system development peripheral nervous system neuron development peripheral nervous system neuron axonogenesis negative regulation of inflammatory response ventricular cardiac muscle tissue morphogenesis pharyngeal system development cardiac muscle cell myoblast differentiation innervation atrial septum morphogenesis cardiac cell fate determination cellular response to glucocorticoid stimulus positive regulation of granulocyte colony-stimulating factor production negative regulation of protein homodimerization activity negative regulation of canonical Wnt signaling pathway positive regulation of macrophage colony-stimulating factor production transcription from RNA polymerase II promoter axonogenesis cell proliferation positive regulation of epithelial to mesenchymal transition cell differentiation negative regulation of protein complex assembly positive regulation of cell differentiation positive regulation of smoothened signaling pathway stem cell differentiation negative regulation of epithelial cell proliferation canonical Wnt signaling pathway sinoatrial node cell development cellular response to transforming growth factor beta stimulus negative regulation of mesenchymal cell proliferation regulation of heart rate by cardiac conduction positive regulation of calcium ion import positive regulation of type B pancreatic cell apoptotic process
          It has to be done as per old AB suggested Products section.

          Disclaimer

          Close

          Clicking the images or links will redirect you to a website hosted by BenchSci that provides third-party scientific content. Neither the content nor the BenchSci technology and processes for selection have been evaluated by us; we are providing them as-is and without warranty of any kind, including for use or application of the Thermo Fisher Scientific products presented.

          guarantee_icon

          性能保障

          只要您发现Invitrogen抗体在实验中的表现与网站或说明书的所述内容不符,您即可享受免费退换货服务。*

          了解更多
          help_icon

          随时为您服务

          获取常见问题的专家解答,或者直接联系我们的技术专家,咨询应用、设备、常规产品使用问题。

          联系技术支持
          订购 Plus Icon Minus Icon
          • 订单状态查询
          • 订单支持
          • 货号直购
          • 现货供应中心
          • 电子采购
          支持 Plus Icon Minus Icon
          • 帮助&支持
          • 联系我们 - 400 820 8982
          • 技术支持中心
          • 查找文件&证书
          • 报告网站问题
          资源 Plus Icon Minus Icon
          • 学习中心
          • 促销
          • 活动&研讨会
          • 社交媒体
          关于赛默飞 Plus Icon Minus Icon
          • 关于我们
          • 招聘 招聘
          • 投资者关系 投资者关系
          • 新闻 新闻
          • 社会责任 社会责任
          • 商标
          • 政策和通知
          品牌 Plus Icon Minus Icon
          • Thermo Scientific
          • Applied Biosystems
          • Invitrogen
          • Gibco
          • Ion Torrent
          • Unity Lab Services
          • Patheon
          • PPD
          • 服务条款
          • 隐私政策
          • 定价和运输保险政策
          © 2006-2026 Thermo Fisher Scientific Inc. All rights reserved. All trademarks are the property of Thermo Fisher Scientific and its subsidiaries unless otherwise specified.
          China flag icon
          China
          本网站销售的所有产品均不得用于人类或动物之临床诊断或治疗,仅可用于工业或者科研等非医疗目的。
             电子营业执照 | 经营证照公示 | ICP备案号:沪ICP备11003924号 | 沪公网安备 31011502006935号

          Your items have has been added!


          Host server : magellan-search-blue-7c59b9b899-crt6c:80/100.66.78.36:80.
          git-commit: 8ef7cf686e3c81d28b13492708ce56d167b2f995
          git-url: https://github.com/thermofisher/magellan-search
          git-branch: release/2.49.0-Offline