Hamburger Menu Button
Thermo Fisher Scientific Logo
登录
没有账号?建立账号 注册
  • 产品
    • 抗体
    • 引物合成
    • GeneArt Gene Synthesis Instant Designer
    • TaqMan Assay and Array Search
    • PCR 设备和耗材
    • 色谱柱和纯化柱
    • 实验室离心机
    • 分子生物学试剂和试剂盒
    • 实验室塑料耗材及用品
    • 查看所有产品分类
  • 应用和技术
    • 色谱
    • 细胞转染和培养
    • 实时荧光定量PCR
    • 质谱
    • 实验室塑料耗材及用品
    • 电子显微镜
    • 蛋白质生物学
    • PCR
    • RNAi
    • 环境
    • 查看所有应用和技术
  • 服务
    • 定制服务
    • 企业级实验室信息化服务
    • 金融&租赁服务
    • 仪器服务
    • OEM和商业供应
    • 培训服务
    • 360° CDMO 和 CRO 服务
    • CDMO 服务
    • 临床试验 CRO 服务
    • Unity Lab Services
    • 查看所有帮助和支持
  • 帮助和支持
    • 学习中心
    • 联系我们
    • 更改国家或地区
    • 查看所有帮助和支持
  • 热门产品
    • TaqMan Real-Time PCR Assays
      TaqMan 实时荧光定量 PCR 试剂盒
    • Antibodies
      抗体
    • Oligos, Primers & Probes
      寡核苷酸、引物、探针
    • GeneArt Gene Synthesis
      GeneArt 基因合成
    • Cell Culture Plastics
      细胞培养耗材
  • Who We Serve
    • 抗体治疗解决方案
    • 细胞与基因治疗解决方案
    • 学术科研
    • 工业与应用
  • 联系我们
  • 货号直购
  • 订单查询
  • 查找文件&证书
Thermo Fisher Scientific Logo

Search

搜索全部或下列指定分类
Search button
          • 联系我们
          • 货号直购
          • 登录
            登录
            没有账号?建立账号 注册
            • 我的账号
            • 订单
            • 会员中心
            • 账单及发票查询
            • 定制产品及项目
          • Primary Antibodies ›
          • ITGB1BP1 Antibodies

          Invitrogen

          ITGB1BP1 Polyclonal Antibody

          查看其他9个ITGB1BP1抗体

          {{$productOrderCtrl.translations['antibody.pdp.commerceCard.promotion.promotions']}}

          {{$productOrderCtrl.translations['antibody.pdp.commerceCard.promotion.viewpromo']}}

          {{$productOrderCtrl.translations['antibody.pdp.commerceCard.promotion.promocode']}}: {{promo.promoCode}} {{promo.promoTitle}} {{promo.promoDescription}}. {{$productOrderCtrl.translations['antibody.pdp.commerceCard.promotion.learnmore']}}

          说明书
          证书
          实验方案
          问题与答案
          技术支持
          说明书
          证书
          实验方案
          问题与答案
          技术支持
          说明书
          证书
          实验方案
          问题与答案
          技术支持

          Cite ITGB1BP1 Polyclonal Antibody

          Additional Information:
          {{banner.description}}
          {{$ctrl.isSkuNotesCollapsed ? 'View more' : 'View less'}}
          • 抗体检测数据 (2)
          ITGB1BP1 Antibody in Immunohistochemistry (Paraffin) (IHC (P))
          Group 53 Created with Sketch.
          ITGB1BP1 Antibody in Immunohistochemistry (Paraffin) (IHC (P))
          Group 53 Created with Sketch.

          图: 1 / 2

          {{ $ctrl.currentElement.advancedVerification.fullName }}
          {{ $ctrl.currentElement.advancedVerification.text }}

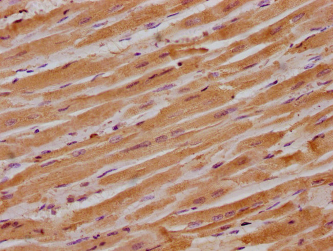
          ITGB1BP1 Antibody (PA5-97883) in IHC (P)

          Immunohistochemical analysis of ITGB1BP1 in paraffin embedded human heart tissue using a ITGB1BP1 polyclonal antibody (Product # PA5-97883) at a dilution of 1:300. After dewaxing and hydration, antigen retrieval was mediated by high pressure in a citrate buffer (pH 6.0). Section was blocked with 10% normal goat serum 30min at RT. Then primary antibody (1% BSA) was incubated at 4°C overnight. The primary is ... View More {{ $ctrl.currentElement.advancedVerification.fullName }} 验证信息 View more
          已发表图片由___提供 benchsci-logo
          PMID: {{$ctrl.currentElement.benchSciPubmedId}}
          查看产品

          {{$ctrl.videoDesc}}

          {{$ctrl.videoLongDesc}}

          ITGB1BP1 Antibody in Immunohistochemistry (Paraffin) (IHC (P))
          ITGB1BP1 Antibody in Western Blot (WB)
          ITGB1BP1 Polyclonal Antibody

          产品信息

          PA5-97883

          应用
          建议稀释比
          已发表文章

          免疫印迹 (WB)

          1:1,000-1:5,000
          -

          免疫组化(石蜡) (IHC (P))

          1:200-1:500
          -

          酶联免疫吸附实验 (ELISA)

          Assay-Dependent
          -
          产品规格

          种属反应

          Human

          宿主/亚型

          Rabbit / IgG

          分类

          Polyclonal

          类型

          Antibody

          抗原

          Recombinant Human Integrin beta-1-binding protein 1 protein (1-200AA)
          3D表位/免疫原

          偶联物

          Unconjugated Unconjugated Unconjugated

          形式

          Liquid

          浓度

          3.35 mg/mL

          规格

          335 µg

          纯化类型

          Protein G

          保存液

          PBS, pH 7.4, with 50% glycerol

          内含物

          0.03% ProClin 300

          保存条件

          -20°C or -80°C if preferred

          运输条件

          Ambient (domestic); Wet ice (international)

          RRID

          AB_2812497

          靶标信息

          Key regulator of the integrin-mediated cell-matrix interaction signaling by binding to the ITGB1 cytoplasmic tail and preventing the activation of integrin alpha-5/beta-1 (heterodimer of ITGA5 and ITGB1) by talin or FERMT1. Plays a role in cell proliferation, differentiation, spreading, adhesion and migration in the context of mineralization and bone development and angiogenesis. Stimulates cellular proliferation in a fibronectin-dependent manner. Involved in the regulation of beta-1 integrin-containing focal adhesion (FA) site dynamics by controlling its assembly rate during cell adhesion; inhibits beta-1 integrin clustering within FA by directly competing with talin TLN1, and hence stimulates osteoblast spreading and migration in a fibronectin-and/or collagen-dependent manner. Acts as a guanine nucleotide dissociation inhibitor (GDI) by regulating Rho family GTPases during integrin-mediated cell matrix adhesion; reduces the level of active GTP-bound form of both CDC42 and RAC1 GTPases upon cell adhesion to fibronectin. Stimulates the release of active CDC42 from the membranes to maintain it in an inactive cytoplasmic pool. Participates in the translocation of the Rho-associated protein kinase ROCK1 to membrane ruffles at cell leading edges of the cell membrane, leading to an increase of myoblast cell migration on laminin. Plays a role in bone mineralization at a late stage of osteoblast differentiation; modulates the dynamic formation of focal adhesions into fibrillar adhesions, which are adhesive structures responsible for fibronectin deposition and fibrillogenesis. Plays a role in blood vessel development; acts as a negative regulator of angiogenesis by attenuating endothelial cell proliferation and migration, lumen formation and sprouting angiogenesis by promoting AKT phosphorylation and inhibiting ERK1/2 phosphorylation through activation of the Notch signaling pathway. Promotes transcriptional activity of the MYC promoter.

          仅用于科研。不用于诊断过程。未经明确授权不得转售。

          篇参考文献 (0)

          您是否在文献中引用过该产品?请点击下方按钮邮件告知我们。
          引用该产品

          生物信息学

          蛋白别名: alternatively spliced variant of Icap-1a; doesn't bind b1 integrin; bodenin; DKFZp686K08158; ICAP-1; Integrin beta-1-binding protein 1; Integrin cytoplasmic domain-associated protein 1; integrin cytoplasmic domain-associated protein 1-alpha; integrin cytoplasmic domain-associated protein 1-beta; ITGB1BP1; unnamed protein product

          查看更多 收起

          基因别名: ICAP-1A; ICAP-1alpha; ICAP-1B; ICAP1; ICAP1A; ICAP1B; ITGB1BP1

          查看更多 收起

          UniProt ID: (Human) O14713

          查看更多 收起

          Entrez Gene ID: (Human) 9270

          查看更多 收起

          功能
          GDP-dissociation inhibitor activity integrin binding protein binding kinase binding protein kinase binding
          参与通路
          angiogenesis blood vessel endothelial cell proliferation involved in sprouting angiogenesis negative regulation of protein kinase activity negative regulation of cell adhesion involved in substrate-bound cell migration cell adhesion cell-matrix adhesion Notch signaling pathway integrin-mediated signaling pathway positive regulation of cell proliferation negative regulation of cell proliferation regulation of signal transduction positive regulation of endothelial cell migration negative regulation of fibroblast migration cell migration cell differentiation negative regulation of cell migration biomineral tissue development negative regulation of protein binding activation of protein kinase B activity integrin activation regulation of cell adhesion mediated by integrin tube formation intracellular signal transduction cellular response to vascular endothelial growth factor stimulus regulation of GTPase activity receptor clustering cellular response to fibroblast growth factor stimulus positive regulation of Notch signaling pathway positive regulation of transcription from RNA polymerase II promoter myoblast migration positive regulation of stress fiber assembly positive regulation of cell division positive regulation of focal adhesion assembly negative regulation of focal adhesion assembly positive regulation of protein kinase B signaling negative regulation of ERK1 and ERK2 cascade protein localization to membrane protein localization to plasma membrane negative regulation of cell migration involved in sprouting angiogenesis regulation of protein targeting to membrane positive regulation of protein targeting to membrane negative regulation of protein targeting to membrane regulation of blood vessel diameter negative regulation of substrate adhesion-dependent cell spreading regulation of integrin-mediated signaling pathway
          It has to be done as per old AB suggested Products section.

          Disclaimer

          Close

          Clicking the images or links will redirect you to a website hosted by BenchSci that provides third-party scientific content. Neither the content nor the BenchSci technology and processes for selection have been evaluated by us; we are providing them as-is and without warranty of any kind, including for use or application of the Thermo Fisher Scientific products presented.

          guarantee_icon

          性能保障

          只要您发现Invitrogen抗体在实验中的表现与网站或说明书的所述内容不符,您即可享受免费退换货服务。*

          了解更多
          help_icon

          随时为您服务

          获取常见问题的专家解答,或者直接联系我们的技术专家,咨询应用、设备、常规产品使用问题。

          联系技术支持
          订购 Plus Icon Minus Icon
          • 订单状态查询
          • 订单支持
          • 货号直购
          • 现货供应中心
          • 电子采购
          支持 Plus Icon Minus Icon
          • 帮助&支持
          • 联系我们 - 400 820 8982
          • 技术支持中心
          • 查找文件&证书
          • 报告网站问题
          资源 Plus Icon Minus Icon
          • 学习中心
          • 促销
          • 活动&研讨会
          • 社交媒体
          关于赛默飞 Plus Icon Minus Icon
          • 关于我们
          • 招聘 招聘
          • 投资者关系 投资者关系
          • 新闻 新闻
          • 社会责任 社会责任
          • 商标
          • 政策和通知
          品牌 Plus Icon Minus Icon
          • Thermo Scientific
          • Applied Biosystems
          • Invitrogen
          • Gibco
          • Ion Torrent
          • Unity Lab Services
          • Patheon
          • PPD
          • 服务条款
          • 隐私政策
          • 定价和运输保险政策
          © 2006-2026 Thermo Fisher Scientific Inc. All rights reserved. All trademarks are the property of Thermo Fisher Scientific and its subsidiaries unless otherwise specified.
          China flag icon
          China
          本网站销售的所有产品均不得用于人类或动物之临床诊断或治疗,仅可用于工业或者科研等非医疗目的。
             电子营业执照 | 经营证照公示 | ICP备案号:沪ICP备11003924号 | 沪公网安备 31011502006935号

          Your items have has been added!


          Host server : magellan-search-green-6479c7f679-v472f:80/100.66.78.195:80.
          git-commit: b70c0dceb888abc3b0dcebb5bc3a5b8753e7e816
          git-url: https://github.com/thermofisher/magellan-search
          git-branch: release/2.50.0-Offline