Hamburger Menu Button
Thermo Fisher Scientific Logo
登录
没有账号?建立账号 注册
  • 产品
    • 抗体
    • 引物合成
    • GeneArt Gene Synthesis Instant Designer
    • TaqMan Assay and Array Search
    • PCR 设备和耗材
    • 色谱柱和纯化柱
    • 实验室离心机
    • 分子生物学试剂和试剂盒
    • 实验室塑料耗材及用品
    • 查看所有产品分类
  • 应用和技术
    • 色谱
    • 细胞转染和培养
    • 实时荧光定量PCR
    • 质谱
    • 实验室塑料耗材及用品
    • 电子显微镜
    • 蛋白质生物学
    • PCR
    • RNAi
    • 环境
    • 查看所有应用和技术
  • 服务
    • 定制服务
    • 企业级实验室信息化服务
    • 金融&租赁服务
    • 仪器服务
    • OEM和商业供应
    • 培训服务
    • 360° CDMO 和 CRO 服务
    • CDMO 服务
    • 临床试验 CRO 服务
    • Unity Lab Services
    • 查看所有帮助和支持
  • 帮助和支持
    • 学习中心
    • 联系我们
    • 更改国家或地区
    • 查看所有帮助和支持
  • 热门产品
    • TaqMan Real-Time PCR Assays
      TaqMan 实时荧光定量 PCR 试剂盒
    • Antibodies
      抗体
    • Oligos, Primers & Probes
      寡核苷酸、引物、探针
    • GeneArt Gene Synthesis
      GeneArt 基因合成
    • Cell Culture Plastics
      细胞培养耗材
  • Who We Serve
    • 抗体治疗解决方案
    • 细胞与基因治疗解决方案
    • 学术科研
    • 工业与应用
  • 联系我们
  • 货号直购
  • 订单查询
  • 查找文件&证书
Thermo Fisher Scientific Logo

Search

搜索全部或下列指定分类
Search button
          • 联系我们
          • 货号直购
          • 登录
            登录
            没有账号?建立账号 注册
            • 我的账号
            • 订单
            • 会员中心
            • 账单及发票查询
            • 定制产品及项目
          • Primary Antibodies ›
          • Ku70 Antibodies

          Invitrogen

          Ku70 Polyclonal Antibody

          查看其他33个Ku70抗体

          {{$productOrderCtrl.translations['antibody.pdp.commerceCard.promotion.promotions']}}

          {{$productOrderCtrl.translations['antibody.pdp.commerceCard.promotion.viewpromo']}}

          {{$productOrderCtrl.translations['antibody.pdp.commerceCard.promotion.promocode']}}: {{promo.promoCode}} {{promo.promoTitle}} {{promo.promoDescription}}. {{$productOrderCtrl.translations['antibody.pdp.commerceCard.promotion.learnmore']}}

          说明书
          证书
          实验方案
          问题与答案
          技术支持
          说明书
          证书
          实验方案
          问题与答案
          技术支持
          说明书
          证书
          实验方案
          问题与答案
          技术支持

          Cite Ku70 Polyclonal Antibody

          Additional Information:
          {{banner.description}}
          {{$ctrl.isSkuNotesCollapsed ? 'View more' : 'View less'}}
          • 抗体检测数据 (18)
          Ku70 Antibody in Immunocytochemistry (ICC/IF)
          Group 53 Created with Sketch.
          Ku70 Antibody in Immunocytochemistry (ICC/IF)
          Group 53 Created with Sketch.

          图: 1 / 18

          {{ $ctrl.currentElement.advancedVerification.fullName }}
          {{ $ctrl.currentElement.advancedVerification.text }}

          Ku70 Antibody (PA5-95270) in ICC/IF

          Immunocytochemistry/Immunofluorescence analysis of Ku70 in U2OS cell using Ku70 Polyclonal Antibody (Product # PA5-95270). Enzyme antigen retrieval was performed using IHC enzyme antigen retrieval reagent for 15 mins. The cells were blocked with 10% goat serum and incubated with the primary antibody at 5 µg/mL and mouse anti-Beta Tubulin antibody overnight at 4°C. Cy3 conjugated goat anti-rabbit IgG and FITC conjugated goat anti-mouse IgG were used as secondary antibody at 1:500 dilution and incubated for 30 minutes at 37°C. Visualized usi... View More {{ $ctrl.currentElement.advancedVerification.fullName }} 验证信息 View more
          已发表图片由___提供 benchsci-logo
          PMID: {{$ctrl.currentElement.benchSciPubmedId}}
          查看产品

          {{$ctrl.videoDesc}}

          {{$ctrl.videoLongDesc}}

          Ku70 Antibody in Immunocytochemistry (ICC/IF)
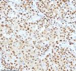
          Ku70 Antibody in Immunohistochemistry (Paraffin) (IHC (P))
          Ku70 Antibody in Immunohistochemistry (Paraffin) (IHC (P))
          Ku70 Antibody in Immunohistochemistry (Paraffin) (IHC (P))
          Ku70 Antibody in Immunohistochemistry (Paraffin) (IHC (P))
          Ku70 Antibody in Immunohistochemistry (Paraffin) (IHC (P))
          Ku70 Antibody in Immunohistochemistry (Paraffin) (IHC (P))
          Ku70 Antibody in Immunohistochemistry (Paraffin) (IHC (P))
          Ku70 Antibody in Immunohistochemistry (Paraffin) (IHC (P))
          Ku70 Antibody in Immunohistochemistry (Paraffin) (IHC (P))
          Ku70 Antibody in Immunohistochemistry (Paraffin) (IHC (P))
          Ku70 Antibody in Immunohistochemistry (Paraffin) (IHC (P))
          Ku70 Antibody in Immunohistochemistry (Paraffin) (IHC (P))
          Ku70 Antibody in Immunohistochemistry (Paraffin) (IHC (P))
          Ku70 Antibody in Immunohistochemistry (Paraffin) (IHC (P))
          Ku70 Antibody in Immunohistochemistry (Paraffin) (IHC (P))
          Ku70 Antibody in Western Blot (WB)
          Ku70 Antibody in Flow Cytometry (Flow)
          Ku70 Polyclonal Antibody

          产品信息

          PA5-95270

          应用
          建议稀释比
          已发表文章

          免疫印迹 (WB)

          0.1-0.5 µg/mL
          -

          免疫组化(石蜡) (IHC (P))

          0.5-1 µg/mL
          -

          免疫细胞化学 (ICC/IF)

          0.5-1 µg/mL
          -

          流式细胞分析 (Flow)

          1-3 µg/1x10^6 cells
          -
          产品规格

          种属反应

          Human

          宿主/亚型

          Rabbit / IgG

          分类

          Polyclonal

          类型

          Antibody

          抗原

          A synthetic peptide corresponding to a sequence at C-terminus of human Ku70 (464-496aa AIVEKLRFTYRSDSFENPVLQQHFRNLEALALD).
          3D表位/免疫原

          偶联物

          Unconjugated Unconjugated Unconjugated

          形式

          Lyophilized

          浓度

          500 µg/mL

          规格

          100 µg

          纯化类型

          Affinity chromatography

          保存液

          PBS with 5mg BSA

          内含物

          0.05mg sodium azide

          保存条件

          -20°C

          运输条件

          Ambient (domestic); Wet ice (international)

          RRID

          AB_2807074

          产品详细信息

          Reconstitute with 0.2 mL of distilled water to yield a concentration of 500 µg/mL.

          Positive Control - WB: human LNCAP whole cell, human Hela whole cell, human 293T whole cell, human HepG2 whole cell, human Jurkat whole cell, human K562 whole cell, human A549 whole cell, human A431 whole cell. IHC: human bladder cancer tissue, human bladder cancer tissue, human colon adenocarcinoma tissue, human colon adenocarcinoma tissue, human glioblastoma tissue, human glioblastoma tissue, human liver cancer tissue, human liver cancer tissue, human lung adenocarcinoma tissue, human lung adenocarcinoma tissue, human pancreas ductal adenocarcinoma tissue, human pancreas ductal adenocarcinoma tissue, human testicular seminoma tissue, human testicular seminoma tissue. ICC/IF: U2OS cell. Flow: A431 cell.|Store at -20°C for one year from date of receipt. After reconstitution, at 4°C for one month. It can also be aliquotted and stored frozen at -20°C for six months. Avoid repeated freeze-thaw cycles.

          靶标信息

          XRCC6 is a nuclear complex consisting of two subunits with molecular masses of approximately 70 and 80 kDa. The complex functions as a single-stranded DNA-dependent ATP-dependent helicase. The complex may be involved in the repair of nonhomologous DNA ends such as that required for double-strand break repair, transposition, and V(D)J recombination. High levels of autoantibodies to p70 and p80 have been found in some patients with systemic lupus erythematosus.

          仅用于科研。不用于诊断过程。未经明确授权不得转售。

          篇参考文献 (0)

          您是否在文献中引用过该产品?请点击下方按钮邮件告知我们。
          引用该产品

          生物信息学

          蛋白别名: 5'-deoxyribose-5-phosphate lyase Ku70; 5'-dRP lyase Ku70; 70 kDa subunit of Ku antigen; ATP-dependent DNA helicase 2 subunit 1; ATP-dependent DNA helicase II 70 kDa subunit; ATP-dependent DNA helicase II, 70 kDa subunit; CT; CTA-216E10.7; CTC box binding factor 75 kDa subunit; CTC box-binding factor 75 kDa subunit; CTC75; DNA repair protein Ku70; DNA repair protein XRCC6; G22P1; Ku autoantigen p70 subunit; Ku autoantigen, 70kDa; Ku protein subunit; Ku70; Lupus Ku autoantigen protein p70; OTTHUMP00000028581; p70 autoantigen; thyroid autoantigen; thyroid autoantigen 70kD (Ku antigen); thyroid autoantigen 70kDa (Ku antigen); Thyroid-lupus autoantigen; thyroid-lupus autoantigen p70; TLAA; unnamed protein product; X-ray repair complementing defective repair in Chinese hamster cells 6; X-ray repair cross-complementing protein 6

          查看更多 收起

          基因别名: CTC75; CTCBF; G22P1; KU70; ML8; TLAA; XRCC6

          查看更多 收起

          UniProt ID: (Human) P12956

          查看更多 收起

          Entrez Gene ID: (Human) 2547

          查看更多 收起

          功能
          nucleotide binding transcription regulatory region sequence-specific DNA binding DNA binding DNA helicase activity damaged DNA binding double-stranded DNA binding double-stranded telomeric DNA binding RNA binding catalytic activity helicase activity protein binding ATP binding DNA-dependent ATPase activity hydrolase activity lyase activity ATPase activity cyclin binding telomeric DNA binding macromolecular complex binding DNA end binding 5'-deoxyribose-5-phosphate lyase activity scaffold protein binding
          参与通路
          telomere maintenance recombinational repair activation of innate immune response immune system process positive regulation of immune system process DNA repair double-strand break repair via nonhomologous end joining DNA recombination cellular response to DNA damage stimulus response to ionizing radiation negative regulation of macromolecule biosynthetic process innate immune response positive regulation of lymphocyte differentiation positive regulation of protein kinase activity negative regulation of transcription, DNA-templated positive regulation of transcription, DNA-templated positive regulation of transcription from RNA polymerase II promoter regulation of smooth muscle cell proliferation cellular hyperosmotic salinity response cellular response to gamma radiation cellular response to X-ray double-strand break repair via classical nonhomologous end joining
          It has to be done as per old AB suggested Products section.

          Disclaimer

          Close

          Clicking the images or links will redirect you to a website hosted by BenchSci that provides third-party scientific content. Neither the content nor the BenchSci technology and processes for selection have been evaluated by us; we are providing them as-is and without warranty of any kind, including for use or application of the Thermo Fisher Scientific products presented.

          guarantee_icon

          性能保障

          只要您发现Invitrogen抗体在实验中的表现与网站或说明书的所述内容不符,您即可享受免费退换货服务。*

          了解更多
          help_icon

          随时为您服务

          获取常见问题的专家解答,或者直接联系我们的技术专家,咨询应用、设备、常规产品使用问题。

          联系技术支持
          订购 Plus Icon Minus Icon
          • 订单状态查询
          • 订单支持
          • 货号直购
          • 现货供应中心
          • 电子采购
          支持 Plus Icon Minus Icon
          • 帮助&支持
          • 联系我们 - 400 820 8982
          • 技术支持中心
          • 查找文件&证书
          • 报告网站问题
          资源 Plus Icon Minus Icon
          • 学习中心
          • 促销
          • 活动&研讨会
          • 社交媒体
          关于赛默飞 Plus Icon Minus Icon
          • 关于我们
          • 招聘 招聘
          • 投资者关系 投资者关系
          • 新闻 新闻
          • 社会责任 社会责任
          • 商标
          • 政策和通知
          品牌 Plus Icon Minus Icon
          • Thermo Scientific
          • Applied Biosystems
          • Invitrogen
          • Gibco
          • Ion Torrent
          • Unity Lab Services
          • Patheon
          • PPD
          • 服务条款
          • 隐私政策
          • 定价和运输保险政策
          © 2006-2026 Thermo Fisher Scientific Inc. All rights reserved. All trademarks are the property of Thermo Fisher Scientific and its subsidiaries unless otherwise specified.
          China flag icon
          China
          本网站销售的所有产品均不得用于人类或动物之临床诊断或治疗,仅可用于工业或者科研等非医疗目的。
             电子营业执照 | 经营证照公示 | ICP备案号:沪ICP备11003924号 | 沪公网安备 31011502006935号

          Your items have has been added!


          Host server : magellan-search-green-6479c7f679-v472f:80/100.66.78.195:80.
          git-commit: b70c0dceb888abc3b0dcebb5bc3a5b8753e7e816
          git-url: https://github.com/thermofisher/magellan-search
          git-branch: release/2.50.0-Offline