Hamburger Menu Button
Thermo Fisher Scientific Logo
Sign in
Don't have an account ? Create Account
  • Products
    • Antibodies
    • Custom DNA Oligos
    • GeneArt Gene Synthesis Instant Designer
    • TaqMan Assay and Array Search
    • PCR Equipment and Supplies
    • Chromatography Columns and Cartridges
    • Lab Centrifuges
    • Molecular Biology Reagents and Kits
    • Lab Plasticware and Supplies
    • See all product categories
  • Applications
    • Chromatography
    • Cell Culture
    • Real-Time PCR
    • Mass Spectrometry
    • Lab Plasticware and Supplies
    • Electron Microscopy
    • Protein Biology
    • PCR
    • RNAi
    • Environmental
    • See all applications and techniques
  • Services
    • Custom Services
    • Enterprise-Level Lab Informatics
    • Enterprise Services
    • Financial and Leasing Services
    • Instrument Services
    • OEM and Commercial Supply
    • Training Services
    • 360° CDMO and CRO Solutions
    • CDMO Services
    • CRO Services
    • See all services
  • Help and Support
    • Learning Centers
    • Contact Us
    • Change Location
    • See all help and support topics
  • Popular
    • TaqMan Real-Time PCR Assays
      TaqMan Real-Time PCR Assays
    • Antibodies
      Antibodies
    • Oligos, Primers & Probes
      Oligos, Primers & Probes
    • GeneArt Gene Synthesis
      GeneArt Gene Synthesis
    • Cell Culture Plastics
      Cell Culture Plastics
  • Contact Us
  • Quick Order
  • Order Status and Tracking
  • Documents and Certificates
Thermo Fisher Scientific Logo

Search

Search All
Search button
          • Contact Us
          • Quick Order
          • Sign in
            Sign in
            Don't have an account ? Create Account
            • Account
            • Check Order Status
            • AR Statement & Invoice Inquiry
            • Custom Products & Projects
            • Instrument Management

          Disclaimer

          Clicking the images or links will redirect you to a website hosted by BenchSci that provides third-party scientific content. Neither the content nor the BenchSci technology and processes for selection have been evaluated by us; we are providing them as-is and without warranty of any kind, including for use or application of the Thermo Fisher Scientific products presented.

          • Primary Antibodies ›
          • LIMP2 Antibodies

          Invitrogen

          LIMP2 Polyclonal Antibody

          2 References
          View all (19) LIMP2 antibodies

          {{$productOrderCtrl.translations['antibody.pdp.commerceCard.promotion.promotions']}}

          {{$productOrderCtrl.translations['antibody.pdp.commerceCard.promotion.viewpromo']}}

          {{$productOrderCtrl.translations['antibody.pdp.commerceCard.promotion.promocode']}}: {{promo.promoCode}} {{promo.promoTitle}} {{promo.promoDescription}}. {{$productOrderCtrl.translations['antibody.pdp.commerceCard.promotion.learnmore']}}

          Datasheet
          Protocols
          Questions & Answers
          Tech Support
          Datasheet
          Protocols
          Questions & Answers
          Tech Support
          Datasheet
          Protocols
          Questions & Answers
          Tech Support

          Cite LIMP2 Polyclonal Antibody

          • Antibody Testing Data (3)
          LIMP2 Antibody in Immunohistochemistry (IHC)
          Group 53 Created with Sketch.
          LIMP2 Antibody in Immunohistochemistry (IHC)
          Group 53 Created with Sketch.

          FIGURE: 1 / 3

          {{ $ctrl.currentElement.advancedVerification.fullName }}
          {{ $ctrl.currentElement.advancedVerification.text }}

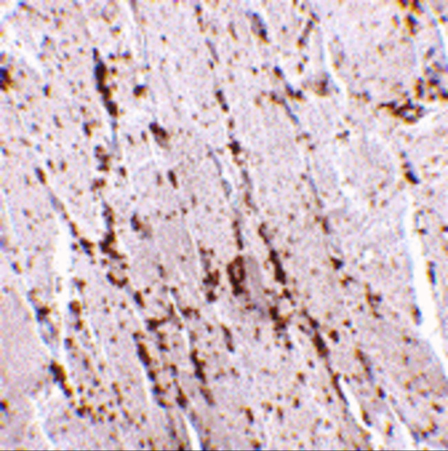
          LIMP2 Antibody (PA5-20540) in IHC

          Immunohistochemistry of LIMP2 in human skeletal muscle tissue with LIMP2 Polyclonal Antibody (Product # PA5-20540) at 2.5 µg/mL. {{ $ctrl.currentElement.advancedVerification.fullName }} validation info. View more
          Published figure supplied by benchsci-logo
          PMID: {{$ctrl.currentElement.benchSciPubmedId}}
          View Product

          {{$ctrl.videoDesc}}

          {{$ctrl.videoLongDesc}}

          LIMP2 Antibody in Immunohistochemistry (IHC)
          LIMP2 Antibody in Immunohistochemistry (IHC)
          LIMP2 Antibody in Western Blot (WB)

          Product Details

          PA5-20540

          Applications
          Tested Dilution
          Publications

          Western Blot (WB)

          1 µg/mL
          View 1 publication 1 publication

          Immunohistochemistry (IHC)

          2.5 µg/mL
          View 1 publication 1 publication
          Product Specifications

          Species Reactivity

          Human, Mouse, Rat

          Published species

          Human

          Host/Isotype

          Rabbit / IgG

          Class

          Polyclonal

          Type

          Antibody

          Immunogen

          A 16 amino acid peptide from near the center of human LIMP2.

          Conjugate

          Unconjugated Unconjugated Unconjugated

          Form

          Liquid

          Concentration

          1 mg/mL

          Purification

          Antigen affinity chromatography

          Storage buffer

          PBS

          Contains

          0.02% sodium azide

          Storage conditions

          4°C

          Shipping conditions

          Ambient (domestic); Wet ice (international)

          RRID

          AB_11156197

          Product Specific Information

          Despite its predicted molecular weight, LIMP2 often migrates at 80-85kDa in SDS-PAGE. A suggested positive control is human skeletal muscle tissue lysate.

          PA5-20540 can be used with blocking peptide PEP-0660.

          Target Information

          High density lipoproteins (HDLs) play a critical role in cholesterol metabolism and their plasma concentrations are inversely correlated with risk for atherosclerosis. SR-BI and SR-BII (previously known as SR-BI.2) are the alternatively spliced products of a single gene. SR-BII differs from SR-BI in that the encoded c-terminal cytoplasmic domain is almost completely different. SR-BII binds HDLs and mediates selective uptake of HDL cholesteryl ester, but with an approximately 4-fold lower efficiency than SR-BI. Nuclease protection assays show SR-BII to be abundant in mouse tissues expressing SR-BI, with SR-BII expression found in liver, adrenal glands, and testes. Although the role of SR-BII is not completely clear, research suggests that it may be a functional HDL receptor. In addition, SR-BII mRNA results from the alternative splicing of SR-BI precursor transcripts with the SR-BII isoform mediating selective transfer of lipid between HDL and cells. The relative expression and functional activities of these two isoforms create a potential means of regulating selective lipid transfer between HDL and cells.

          For Research Use Only. Not for use in diagnostic procedures. Not for resale without express authorization.

          Bioinformatics

          Protein Aliases: 85 kDa lysosomal membrane sialoglycoprotein; 85 kDa lysosomal sialoglycoprotein scavenger receptor class B, member 2; CD 36; CD36; CD36 antigen (collagen type I receptor, thrombospondin receptor)-like 2; CD36 antigen (collagen type I receptor, thrombospondin receptor)-like 2 (lysosomal integral membrane protein II); CD36 antigen-like 2; CD36 molecule; LGP85; LIMP II; Lysosome membrane protein 2; Lysosome membrane protein II; Scavenger receptor class B member 2; scavenger receptor class B, member 2; sCD 36; sCD36; soluble CD 36; soluble CD36; SR-B2

          View more View less

          Gene Aliases: 9330185J12Rik; AMRF; CD36L2; EPM4; HLGP85; LGP85; LIMP-2; LIMP2; LIMPII; MLGP85; SCARB2; SR-BII

          View more View less

          UniProt ID: (Human) Q14108, (Rat) P27615, (Mouse) O35114

          View more View less

          Entrez Gene ID: (Human) 950, (Rat) 117106, (Mouse) 12492

          View more View less

          Function(s)
          virus receptor activity protein binding enzyme binding receptor activity membrane trafficking regulatory protein
          Process(es)
          protein targeting to lysosome viral entry into host cell cell adhesion
          It has to be done as per old AB suggested Products section.
          guarantee_icon

          Performance Guarantee

          If an Invitrogen™ antibody doesn't perform as described on our website or datasheet,we'll replace the product at no cost to you, or provide you with a credit for a future purchase.*

          Learn more
          help_icon

          We're here to help

          Get expert recommendations for common problems or connect directly with an on staff expert for technical assistance related to applications, equipment and general product use.

          Contact tech support
          Ordering Plus Icon Minus Icon
          • Order Status
          • Order Help
          • Quick Order
          • Supply Center
          • eProcurement
          Support Plus Icon Minus Icon
          • Help and Support
          • Contact Us - 400 820 8982
          • Technical Support Centers
          • Documents and Certificates
          • Report a Site Issue
          Resources Plus Icon Minus Icon
          • Learning Centers
          • Promotions
          • Events and Webinars
          • Social Media
          About Thermo Fisher Plus Icon Minus Icon
          • About Us About Us
          • Careers Careers
          • Investors Investors
          • News News
          • Social Responsibility Social Responsibility
          • Trademarks
          • Policies and Notices
          Our Portfolio Plus Icon Minus Icon
          • Thermo Scientific
          • Applied Biosystems
          • Invitrogen
          • Gibco
          • Ion Torrent
          • Patheon
          • PPD
          • Terms & Conditions
          • Privacy Policy
          • Price & Freight Policy
          © 2006-2025 Thermo Fisher Scientific Inc. All rights reserved. All trademarks are the property of Thermo Fisher Scientific and its subsidiaries unless otherwise specified.
          China flag icon
          China
          本网站销售的所有产品均不得用于人类或动物之临床诊断或治疗,仅可用于工业或者科研等非医疗目的。
             电子营业执照 | 经营证照公示 | ICP备案号:沪ICP备11003924号 | 沪公网安备 31011502006935号

          Your items have has been added!


          Host server : magellan-search-green-55658555d6-5d7ps:80/100.66.76.55:80.
          git-commit: ec8e7df5f8fec8d765bd419205f1b5046a016d37
          git-url: https://github.com/thermofisher/magellan-search
          git-branch: release/2.41.0-Offline