Hamburger Menu Button
Thermo Fisher Scientific Logo
登录
没有账号?建立账号 注册
  • 产品
    • 抗体
    • 引物合成
    • GeneArt Gene Synthesis Instant Designer
    • TaqMan Assay and Array Search
    • PCR 设备和耗材
    • 色谱柱和纯化柱
    • 实验室离心机
    • 分子生物学试剂和试剂盒
    • 实验室塑料耗材及用品
    • 查看所有产品分类
  • 应用和技术
    • 色谱
    • 细胞转染和培养
    • 实时荧光定量PCR
    • 质谱
    • 实验室塑料耗材及用品
    • 电子显微镜
    • 蛋白质生物学
    • PCR
    • RNAi
    • 环境
    • 查看所有应用和技术
  • 服务
    • 定制服务
    • 企业级实验室信息化服务
    • 金融&租赁服务
    • 仪器服务
    • OEM和商业供应
    • 培训服务
    • 360° CDMO 和 CRO 服务
    • CDMO 服务
    • 临床试验 CRO 服务
    • Unity Lab Services
    • 查看所有帮助和支持
  • 帮助和支持
    • 学习中心
    • 联系我们
    • 更改国家或地区
    • 查看所有帮助和支持
  • 热门产品
    • TaqMan Real-Time PCR Assays
      TaqMan 实时荧光定量 PCR 试剂盒
    • Antibodies
      抗体
    • Oligos, Primers & Probes
      寡核苷酸、引物、探针
    • GeneArt Gene Synthesis
      GeneArt 基因合成
    • Cell Culture Plastics
      细胞培养耗材
  • Who We Serve
    • 抗体治疗解决方案
    • 细胞与基因治疗解决方案
    • 学术科研
    • 工业与应用
  • 联系我们
  • 货号直购
  • 订单查询
  • 查找文件&证书
Thermo Fisher Scientific Logo

Search

搜索全部或下列指定分类
Search button
          • 联系我们
          • 货号直购
          • 登录
            登录
            没有账号?建立账号 注册
            • 我的账号
            • 订单
            • 会员中心
            • 账单及发票查询
            • 定制产品及项目
          • Primary Antibodies ›
          • EBP50 Antibodies

          Bethyl Laboratories

          NHERF1 Polyclonal Antibody

          查看其他19个EBP50抗体

          {{$productOrderCtrl.translations['antibody.pdp.commerceCard.promotion.promotions']}}

          {{$productOrderCtrl.translations['antibody.pdp.commerceCard.promotion.viewpromo']}}

          {{$productOrderCtrl.translations['antibody.pdp.commerceCard.promotion.promocode']}}: {{promo.promoCode}} {{promo.promoTitle}} {{promo.promoDescription}}. {{$productOrderCtrl.translations['antibody.pdp.commerceCard.promotion.learnmore']}}

          说明书
          证书
          实验方案
          问题与答案
          技术支持
          说明书
          证书
          实验方案
          问题与答案
          技术支持
          说明书
          证书
          实验方案
          问题与答案
          技术支持

          Cite NHERF1 Polyclonal Antibody

          Additional Information:
          {{banner.description}}
          {{$ctrl.isSkuNotesCollapsed ? 'View more' : 'View less'}}
          • 抗体检测数据 (3)
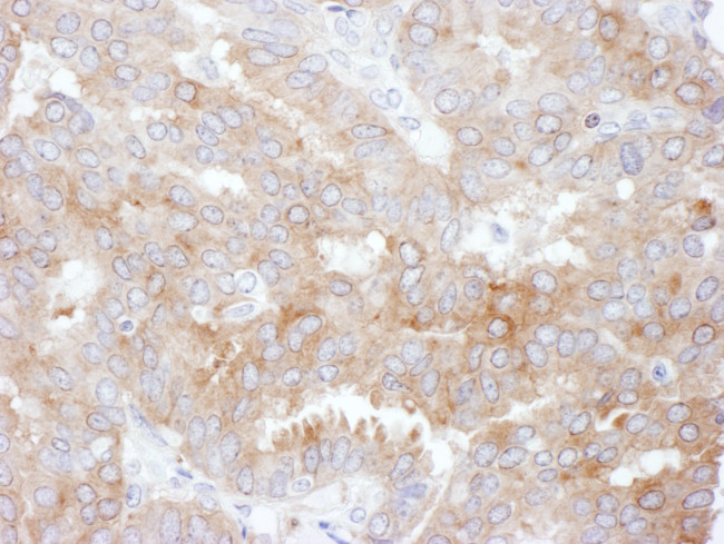
          NHERF1 Antibody in Immunohistochemistry (Paraffin) (IHC (P))
          Group 53 Created with Sketch.
          NHERF1 Antibody in Immunohistochemistry (Paraffin) (IHC (P))
          Group 53 Created with Sketch.

          图: 1 / 3

          {{ $ctrl.currentElement.advancedVerification.fullName }}
          {{ $ctrl.currentElement.advancedVerification.text }}

          NHERF1 Antibody (A302-975A) in IHC (P)

          Detection of human NHERF1 by immunohistochemistry. Sample: FFPE section of human breast carcinoma. Antibody: Affinity purified rabbit anti-NHERF1 (Product # A302-975A) (Lot 1) used at a dilution of 1:200 (1 µg/mL). Detection: DAB. {{ $ctrl.currentElement.advancedVerification.fullName }} 验证信息 View more
          已发表图片由___提供 benchsci-logo
          PMID: {{$ctrl.currentElement.benchSciPubmedId}}
          查看产品

          {{$ctrl.videoDesc}}

          {{$ctrl.videoLongDesc}}

          NHERF1 Antibody in Immunohistochemistry (Paraffin) (IHC (P))
          NHERF1 Antibody in Western Blot (WB)
          NHERF1 Antibody in Immunoprecipitation (IP)
          NHERF1 Polyclonal Antibody

          产品信息

          A302-975A

          应用
          建议稀释比
          已发表文章

          免疫印迹 (WB)

          1:2,000-1:10,000
          -

          免疫组化 (IHC)

          1:100-1:500
          -

          免疫组化(石蜡) (IHC (P))

          1:100-1:500
          -

          免疫沉淀 (IP)

          2-5 µg/mg lysate
          -
          产品规格

          种属反应

          Human

          宿主/亚型

          Rabbit / IgG

          分类

          Polyclonal

          类型

          Antibody

          抗原

          Region between residue 325 and 358 of human Sodium/Hydrogen Exchanger Regulatory Factor 1.
          3D表位/免疫原

          偶联物

          Unconjugated Unconjugated Unconjugated

          形式

          Liquid

          浓度

          0.20 mg/mL

          规格

          20 µg

          纯化类型

          Antigen affinity chromatography

          保存液

          TBS, pH 7.0 to 8.0, with 0.1% BSA

          内含物

          0.09% sodium azide

          保存条件

          4°C

          运输条件

          Ambient (domestic); Wet ice (international)

          产品详细信息

          The recommended shelf life for this product is 1 year from date of receipt.

          Application Note: For IHC, epitope retrieval with citrate buffer pH 6.0 is recommended for FFPE tissue sections.

          Based on 100% sequence identity, this antibody is predicted to react with Mouse, Rat, Chicken and Bovine

          靶标信息

          NHERF1 (Na+/H+ exchanger regulatory factor 1), also known as EBP50 (ezrin, radixin, moesin-binding phosphoprotein 50) is an adaptor protein, which associates with beta-catenin and is required for its localization at the cell-cell junctions, interacts with various G protein-coupled receptors and regulates their traffic, as well as sodium-hydrogen exchange and sodium-dependent phosphate transport. NHERF1/EBP50 inhibits cell motility and is required to suppress anchorage-independent growth. It contains C-terminal ERM (ezrin, radixin, moesin)-binding region and two N-terminal PDZ (postsynaptic-density-95/disc-large/ZO1 homology) domains and is able to form head-to-tail intramolecular conformation to regulate its interactions.

          仅用于科研。不用于诊断过程。未经明确授权不得转售。

          篇参考文献 (0)

          您是否在文献中引用过该产品?请点击下方按钮邮件告知我们。
          引用该产品

          生物信息学

          蛋白别名: EBP50; ezrin-radixin-moesin binding phosphoprotein-50; Ezrin-radixin-moesin-binding phosphoprotein 50; Na(+)/H(+) exchange regulatory cofactor 1; Na(+)/H(+) exchange regulatory cofactor NHE-RF1; Na+/H+ exchange regulatory co-factor; NHE-RF; NHERF-1; Regulatory cofactor of Na(+)/H(+) exchanger; SLC9A3 regulator 1; So; Sodium-hydrogen exchanger regulatory factor 1; Solute carrier family 9 isoform A3 regulatory factor 1; solute carrier family 9, subfamily A (NHE3, cation proton antiporter 3), member 3 regulator 1; unnamed protein product

          查看更多 收起

          基因别名: EBP50; NHE-RF; NHERF; NHERF-1; NHERF1; NPHLOP2; SLC9A3R1

          查看更多 收起

          UniProt ID: (Human) O14745

          查看更多 收起

          Entrez Gene ID: (Human) 9368

          查看更多 收起

          功能
          receptor binding protein binding beta-catenin binding gamma-aminobutyric acid transmembrane transporter activity chloride channel regulator activity phosphatase binding PDZ domain binding beta-2 adrenergic receptor binding type 2 metabotropic glutamate receptor binding type 3 metabotropic glutamate receptor binding identical protein binding protein anchor dopamine receptor binding binding, bridging growth factor receptor binding channel activator activity
          参与通路
          morphogenesis of an epithelium renal sodium ion transport sodium ion transport plasma membrane organization nuclear migration adenylate cyclase-activating dopamine receptor signaling pathway sensory perception of sound protein localization negative regulation of cell proliferation regulation of cell shape regulation of cell size negative regulation of platelet-derived growth factor receptor signaling pathway fibroblast migration negative regulation of fibroblast migration negative regulation of sodium ion transport Wnt signaling pathway gland morphogenesis microvillus assembly actin cytoskeleton organization cellular phosphate ion homeostasis bile acid secretion glutathione transport cilium organization establishment of epithelial cell apical/basal polarity maintenance of epithelial cell apical/basal polarity regulation of protein kinase activity negative regulation of mitotic cell cycle establishment of localization in cell establishment of Golgi localization negative regulation of protein kinase B signaling gamma-aminobutyric acid import auditory receptor cell stereocilium organization phospholipase C-activating dopamine receptor signaling pathway protein-containing complex assembly renal absorption negative regulation of ERK1 and ERK2 cascade protein localization to plasma membrane negative regulation of canonical Wnt signaling pathway cerebrospinal fluid circulation renal phosphate ion absorption import across plasma membrane transport across blood-brain barrier regulation of renal phosphate excretion negative regulation of cell motility positive regulation of intrinsic apoptotic signaling pathway
          It has to be done as per old AB suggested Products section.

          Disclaimer

          Close

          Clicking the images or links will redirect you to a website hosted by BenchSci that provides third-party scientific content. Neither the content nor the BenchSci technology and processes for selection have been evaluated by us; we are providing them as-is and without warranty of any kind, including for use or application of the Thermo Fisher Scientific products presented.

          guarantee_icon

          性能保障

          只要您发现Invitrogen抗体在实验中的表现与网站或说明书的所述内容不符,您即可享受免费退换货服务。*

          了解更多
          help_icon

          随时为您服务

          获取常见问题的专家解答,或者直接联系我们的技术专家,咨询应用、设备、常规产品使用问题。

          联系技术支持
          订购 Plus Icon Minus Icon
          • 订单状态查询
          • 订单支持
          • 货号直购
          • 现货供应中心
          • 电子采购
          支持 Plus Icon Minus Icon
          • 帮助&支持
          • 联系我们 - 400 820 8982
          • 技术支持中心
          • 查找文件&证书
          • 报告网站问题
          资源 Plus Icon Minus Icon
          • 学习中心
          • 促销
          • 活动&研讨会
          • 社交媒体
          关于赛默飞 Plus Icon Minus Icon
          • 关于我们
          • 招聘 招聘
          • 投资者关系 投资者关系
          • 新闻 新闻
          • 社会责任 社会责任
          • 商标
          • 政策和通知
          品牌 Plus Icon Minus Icon
          • Thermo Scientific
          • Applied Biosystems
          • Invitrogen
          • Gibco
          • Ion Torrent
          • Unity Lab Services
          • Patheon
          • PPD
          • 服务条款
          • 隐私政策
          • 定价和运输保险政策
          © 2006-2026 Thermo Fisher Scientific Inc. All rights reserved. All trademarks are the property of Thermo Fisher Scientific and its subsidiaries unless otherwise specified.
          China flag icon
          China
          本网站销售的所有产品均不得用于人类或动物之临床诊断或治疗,仅可用于工业或者科研等非医疗目的。
             电子营业执照 | 经营证照公示 | ICP备案号:沪ICP备11003924号 | 沪公网安备 31011502006935号

          Your items have has been added!


          Host server : magellan-search-blue-7c59b9b899-7wltc:80/100.66.72.81:80.
          git-commit: 8ef7cf686e3c81d28b13492708ce56d167b2f995
          git-url: https://github.com/thermofisher/magellan-search
          git-branch: release/2.49.0-Offline