Hamburger Menu Button
Thermo Fisher Scientific Logo
登录
没有账号?建立账号 注册
  • 产品
    • 抗体
    • 引物合成
    • GeneArt Gene Synthesis Instant Designer
    • TaqMan Assay and Array Search
    • PCR 设备和耗材
    • 色谱柱和纯化柱
    • 实验室离心机
    • 分子生物学试剂和试剂盒
    • 实验室塑料耗材及用品
    • 查看所有产品分类
  • 应用和技术
    • 色谱
    • 细胞转染和培养
    • 实时荧光定量PCR
    • 质谱
    • 实验室塑料耗材及用品
    • 电子显微镜
    • 蛋白质生物学
    • PCR
    • RNAi
    • 环境
    • 查看所有应用和技术
  • 服务
    • 定制服务
    • 企业级实验室信息化服务
    • 金融&租赁服务
    • 仪器服务
    • OEM和商业供应
    • 培训服务
    • 360° CDMO 和 CRO 服务
    • CDMO 服务
    • 临床试验 CRO 服务
    • Unity Lab Services
    • 查看所有帮助和支持
  • 帮助和支持
    • 学习中心
    • 联系我们
    • 更改国家或地区
    • 查看所有帮助和支持
  • 热门产品
    • TaqMan Real-Time PCR Assays
      TaqMan 实时荧光定量 PCR 试剂盒
    • Antibodies
      抗体
    • Oligos, Primers & Probes
      寡核苷酸、引物、探针
    • GeneArt Gene Synthesis
      GeneArt 基因合成
    • Cell Culture Plastics
      细胞培养耗材
  • Who We Serve
    • 抗体治疗解决方案
    • 细胞与基因治疗解决方案
    • 学术科研
    • 工业与应用
  • 联系我们
  • 货号直购
  • 订单查询
  • 查找文件&证书
Thermo Fisher Scientific Logo

Search

搜索全部或下列指定分类
Search button
          • 联系我们
          • 货号直购
          • 登录
            登录
            没有账号?建立账号 注册
            • 我的账号
            • 订单
            • 会员中心
            • 账单及发票查询
            • 定制产品及项目
          • Primary Antibodies ›
          • NME1 Antibodies

          Invitrogen

          NME1 Polyclonal Antibody

          查看其他36个NME1抗体

          {{$productOrderCtrl.translations['antibody.pdp.commerceCard.promotion.promotions']}}

          {{$productOrderCtrl.translations['antibody.pdp.commerceCard.promotion.viewpromo']}}

          {{$productOrderCtrl.translations['antibody.pdp.commerceCard.promotion.promocode']}}: {{promo.promoCode}} {{promo.promoTitle}} {{promo.promoDescription}}. {{$productOrderCtrl.translations['antibody.pdp.commerceCard.promotion.learnmore']}}

          说明书
          证书
          实验方案
          问题与答案
          技术支持
          说明书
          证书
          实验方案
          问题与答案
          技术支持
          说明书
          证书
          实验方案
          问题与答案
          技术支持

          Cite NME1 Polyclonal Antibody

          Additional Information:
          {{banner.description}}
          {{$ctrl.isSkuNotesCollapsed ? 'View more' : 'View less'}}
          • 抗体检测数据 (7)
          NME1 Antibody in Immunocytochemistry (ICC/IF)
          Group 53 Created with Sketch.
          NME1 Antibody in Immunocytochemistry (ICC/IF)
          Group 53 Created with Sketch.

          图: 1 / 7

          {{ $ctrl.currentElement.advancedVerification.fullName }}
          {{ $ctrl.currentElement.advancedVerification.text }}

          NME1 Antibody (PA5-141134) in ICC/IF

          Immunocytochemistry analysis of NM23 in MCF-7 cells (red). Samples were incubated in NM23 Polyclonal antibody (Product # PA5-141134). The nuclear counter stain is DAPI (blue). Cells were fixed in paraformaldehyde, permeabilized with 0.25% Triton X100/PBS. {{ $ctrl.currentElement.advancedVerification.fullName }} 验证信息 View more
          已发表图片由___提供 benchsci-logo
          PMID: {{$ctrl.currentElement.benchSciPubmedId}}
          查看产品

          {{$ctrl.videoDesc}}

          {{$ctrl.videoLongDesc}}

          NME1 Antibody in Immunocytochemistry (ICC/IF)
          NME1 Antibody in Immunocytochemistry (ICC/IF)
          NME1 Antibody in Immunocytochemistry (ICC/IF)
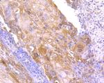
          NME1 Antibody in Immunohistochemistry (Paraffin) (IHC (P))
          NME1 Antibody in Immunohistochemistry (Paraffin) (IHC (P))
          NME1 Antibody in Immunohistochemistry (Paraffin) (IHC (P))
          NME1 Antibody in Flow Cytometry (Flow)
          NME1 Polyclonal Antibody

          产品信息

          PA5-141134

          应用
          建议稀释比
          已发表文章

          免疫印迹 (WB)

          1:500
          -

          免疫组化(石蜡) (IHC (P))

          1:50-1:200
          -

          免疫细胞化学 (ICC/IF)

          1:50-1:200
          -

          流式细胞分析 (Flow)

          1:50-1:100
          -
          产品规格

          种属反应

          Human, Mouse

          宿主/亚型

          Rabbit / IgG

          分类

          Polyclonal

          类型

          Antibody

          抗原

          Synthetic peptide within human USP36 aa 64-128.
          3D表位/免疫原

          偶联物

          Unconjugated Unconjugated Unconjugated

          形式

          Liquid

          浓度

          1 mg/mL

          规格

          100 µg

          纯化类型

          Antigen affinity chromatography

          保存液

          PBS, pH 7.4, with 0.2% BSA, 50% glycerol

          内含物

          0.05% sodium azide

          保存条件

          Store at 4°C short term. For long term storage, store at -20°C, avoiding freeze/thaw cycles.

          运输条件

          Ambient (domestic); Wet ice (international)

          RRID

          AB_2932586

          靶标信息

          NME1 was identified because of its reduced mRNA transcript levels in highly metastatic cells. Nucleoside diphosphate kinase (NDK) exists as a hexamer composed of 'A' (encoded by this gene) and 'B' (encoded by NME2) isoforms. Mutations in the gene have been identified in aggressive neuroblastomas. Two transcript variants encoding different isoforms have been found for this gene. Co-transcription of this gene and the neighboring downstream gene (NME2) generates naturally-occurring transcripts (NME1-NME2), which encodes a fusion protein comprised of sequence sharing identity with each individual gene product.

          仅用于科研。不用于诊断过程。未经明确授权不得转售。

          篇参考文献 (0)

          您是否在文献中引用过该产品?请点击下方按钮邮件告知我们。
          引用该产品

          生物信息学

          蛋白别名: epididymis secretory sperm binding protein; expressed in non-metastatic cells 1 protein; expressed in non-metastatic cells 1, protein; Farnesyl diphosphate kinase NME1; GAAD; Granzyme A activated DNase (GAAD); granzyme A-activated DNase; GZMA activated DNase; Histidine protein kinase NDK; Histidine protein kinase NME1; included; Metastasis inhibition factor NM23; NDK A; NDK1; NDP kinase A; NDPK-A; NM23-H1; nm23-M1; NM23H1; NM23H1B; NME1; NME1-NME2 spliced read-through transcript; non-metastatic cells 1, protein (NM23A) expressed in; Non-specific serine/threonine protein kinase NME1; Nucleoside diphoshate kinase 1; Nucleoside diphosphate kinase A; nucleoside-diphosphate kinase 1; nucleotide diphosphate kinase; Putative 3'-5'-DNA exonuclease NDK1; Putative granzyme A-activated DNA endonuclease; Tumor metastatic process-associated protein; unnamed protein product

          查看更多 收起

          基因别名: AL024257; AWD; GAAD; NB; NBS; NDKA; NDPK-A; NDPKA; NM23; NM23-H1; NM23-M1; NM23A; NME1

          查看更多 收起

          UniProt ID: (Human) P15531, (Mouse) P15532

          查看更多 收起

          Entrez Gene ID: (Human) 4830, (Mouse) 18102

          查看更多 收起

          功能
          nucleotide binding magnesium ion binding DNA binding RNA binding endodeoxyribonuclease activity deoxyribonuclease activity nucleoside diphosphate kinase activity protein histidine kinase activity protein binding ATP binding 3'-5'-exodeoxyribonuclease activity kinase activity transferase activity phosphotransferase activity, phosphate group as acceptor GDP binding identical protein binding ribosomal small subunit binding ADP binding metal ion binding farnesyl diphosphate kinase activity coenzyme A binding succinyl-CoA binding acetyl-CoA binding RNA polymerase II regulatory region sequence-specific DNA binding single-stranded DNA binding GTP binding intermediate filament binding enzyme binding protein kinase binding gamma-tubulin binding poly(A) RNA binding kinase
          参与通路
          GTP biosynthetic process UTP biosynthetic process CTP biosynthetic process DNA catabolic process apoptotic DNA fragmentation isoprenoid metabolic process endocytosis nervous system development lactation negative regulation of cell proliferation nucleotide metabolic process nucleoside diphosphate metabolic process nucleoside triphosphate biosynthetic process cell differentiation mammary gland development protein hexamerization regulation of fatty acid biosynthetic process regulation of apoptotic process ITP biosynthetic process acetyl-CoA catabolic process positive regulation of epithelial cell proliferation negative regulation of myeloid leukocyte differentiation purine nucleotide metabolic process nucleoside diphosphate phosphorylation pyrimidine nucleotide metabolic process DNA metabolic process negative regulation of gene expression positive regulation of neuron projection development phosphorylation positive regulation of DNA binding nucleic acid phosphodiester bond hydrolysis
          It has to be done as per old AB suggested Products section.

          Disclaimer

          Close

          Clicking the images or links will redirect you to a website hosted by BenchSci that provides third-party scientific content. Neither the content nor the BenchSci technology and processes for selection have been evaluated by us; we are providing them as-is and without warranty of any kind, including for use or application of the Thermo Fisher Scientific products presented.

          guarantee_icon

          性能保障

          只要您发现Invitrogen抗体在实验中的表现与网站或说明书的所述内容不符,您即可享受免费退换货服务。*

          了解更多
          help_icon

          随时为您服务

          获取常见问题的专家解答,或者直接联系我们的技术专家,咨询应用、设备、常规产品使用问题。

          联系技术支持
          订购 Plus Icon Minus Icon
          • 订单状态查询
          • 订单支持
          • 货号直购
          • 现货供应中心
          • 电子采购
          支持 Plus Icon Minus Icon
          • 帮助&支持
          • 联系我们 - 400 820 8982
          • 技术支持中心
          • 查找文件&证书
          • 报告网站问题
          资源 Plus Icon Minus Icon
          • 学习中心
          • 促销
          • 活动&研讨会
          • 社交媒体
          关于赛默飞 Plus Icon Minus Icon
          • 关于我们
          • 招聘 招聘
          • 投资者关系 投资者关系
          • 新闻 新闻
          • 社会责任 社会责任
          • 商标
          • 政策和通知
          品牌 Plus Icon Minus Icon
          • Thermo Scientific
          • Applied Biosystems
          • Invitrogen
          • Gibco
          • Ion Torrent
          • Unity Lab Services
          • Patheon
          • PPD
          • 服务条款
          • 隐私政策
          • 定价和运输保险政策
          © 2006-2026 Thermo Fisher Scientific Inc. All rights reserved. All trademarks are the property of Thermo Fisher Scientific and its subsidiaries unless otherwise specified.
          China flag icon
          China
          本网站销售的所有产品均不得用于人类或动物之临床诊断或治疗,仅可用于工业或者科研等非医疗目的。
             电子营业执照 | 经营证照公示 | ICP备案号:沪ICP备11003924号 | 沪公网安备 31011502006935号

          Your items have has been added!


          Host server : magellan-search-green-6479c7f679-v472f:80/100.66.78.195:80.
          git-commit: b70c0dceb888abc3b0dcebb5bc3a5b8753e7e816
          git-url: https://github.com/thermofisher/magellan-search
          git-branch: release/2.50.0-Offline