Hamburger Menu Button
Thermo Fisher Scientific Logo
登录
没有账号?建立账号 注册
  • 产品
    • 抗体
    • 引物合成
    • GeneArt Gene Synthesis Instant Designer
    • TaqMan Assay and Array Search
    • PCR 设备和耗材
    • 色谱柱和纯化柱
    • 实验室离心机
    • 分子生物学试剂和试剂盒
    • 实验室塑料耗材及用品
    • 查看所有产品分类
  • 应用和技术
    • 色谱
    • 细胞转染和培养
    • 实时荧光定量PCR
    • 质谱
    • 实验室塑料耗材及用品
    • 电子显微镜
    • 蛋白质生物学
    • PCR
    • RNAi
    • 环境
    • 查看所有应用和技术
  • 服务
    • 定制服务
    • 企业级实验室信息化服务
    • 金融&租赁服务
    • 仪器服务
    • OEM和商业供应
    • 培训服务
    • 360° CDMO 和 CRO 服务
    • CDMO 服务
    • 临床试验 CRO 服务
    • Unity Lab Services
    • 查看所有帮助和支持
  • 帮助和支持
    • 学习中心
    • 联系我们
    • 更改国家或地区
    • 查看所有帮助和支持
  • 热门产品
    • TaqMan Real-Time PCR Assays
      TaqMan 实时荧光定量 PCR 试剂盒
    • Antibodies
      抗体
    • Oligos, Primers & Probes
      寡核苷酸、引物、探针
    • GeneArt Gene Synthesis
      GeneArt 基因合成
    • Cell Culture Plastics
      细胞培养耗材
  • Who We Serve
    • 抗体治疗解决方案
    • 细胞与基因治疗解决方案
    • 学术科研
    • 工业与应用
  • 联系我们
  • 货号直购
  • 订单查询
  • 查找文件&证书
Thermo Fisher Scientific Logo

Search

搜索全部或下列指定分类
Search button
          • 联系我们
          • 货号直购
          • 登录
            登录
            没有账号?建立账号 注册
            • 我的账号
            • 订单
            • 会员中心
            • 账单及发票查询
            • 定制产品及项目
          • Primary Antibodies ›
          • Nkx2.5 Antibodies

          Invitrogen

          Nkx2.5 Polyclonal Antibody

          高级验证
          7个已发表图片
          14 篇参考文献
          查看其他17个Nkx2.5抗体

          {{$productOrderCtrl.translations['antibody.pdp.commerceCard.promotion.promotions']}}

          {{$productOrderCtrl.translations['antibody.pdp.commerceCard.promotion.viewpromo']}}

          {{$productOrderCtrl.translations['antibody.pdp.commerceCard.promotion.promocode']}}: {{promo.promoCode}} {{promo.promoTitle}} {{promo.promoDescription}}. {{$productOrderCtrl.translations['antibody.pdp.commerceCard.promotion.learnmore']}}

          说明书
          证书
          实验方案
          问题与答案
          技术支持
          说明书
          证书
          实验方案
          问题与答案
          技术支持
          说明书
          证书
          实验方案
          问题与答案
          技术支持

          Cite Nkx2.5 Polyclonal Antibody

          Additional Information:
          {{banner.description}}
          {{$ctrl.isSkuNotesCollapsed ? 'View more' : 'View less'}}
          • 抗体检测数据 (6)
          • 已发表图片 (7)
          • 高级验证 (1)
          Nkx2.5 Antibody in Immunocytochemistry (ICC/IF)
          Group 53 Created with Sketch.
          Nkx2.5 Antibody in Immunocytochemistry (ICC/IF)
          Group 53 Created with Sketch.

          图: 1 / 14

          {{ $ctrl.currentElement.advancedVerification.fullName }}
          {{ $ctrl.currentElement.advancedVerification.text }}

          Nkx2.5 Antibody (PA5-49431) in ICC/IF

          Immunocytochemistry analysis of Nkx2.5 in C2C12 cells. Samples were incubated with Nkx2.5 polyclonal antibody (Product # PA5-49431) using a dilution of 1:25 followed by Dylight® 488-conjugated goat anti-Rabbit IgG at a dilution of 1:200 (green). Cells were 4% paraformaldehyde-fixed, 0. 1% Triton X-100 permeabilized. Immunofluorescence image showing Nucleus staining on C2C12 cell line. Cytoplasmic actin is detected with Dylight® 554 Phalloidin (red). The nuclear counter stain is DAPI (blue). {{ $ctrl.currentElement.advancedVerification.fullName }} 验证信息 View more
          已发表图片由___提供 benchsci-logo
          PMID: {{$ctrl.currentElement.benchSciPubmedId}}
          查看产品

          {{$ctrl.videoDesc}}

          {{$ctrl.videoLongDesc}}

          Nkx2.5 Antibody in Immunocytochemistry (ICC/IF)
          Nkx2.5 Antibody in Immunocytochemistry (ICC/IF)
          Nkx2.5 Antibody in Immunohistochemistry (Paraffin) (IHC (P))
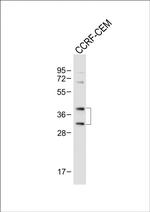
          Nkx2.5 Antibody in Western Blot (WB)
          Nkx2.5 Antibody in Western Blot (WB)
          Nkx2.5 Antibody in Flow Cytometry (Flow)
          Nkx2.5 Antibody in Immunocytochemistry (ICC/IF)
          Nkx2.5 Antibody in Immunohistochemistry (IHC)
          Nkx2.5 Antibody in Western Blot (WB)
          Nkx2.5 Antibody in Flow Cytometry (Flow)
          Nkx2.5 Antibody in Flow Cytometry (Flow)
          Nkx2.5 Antibody in ChIP Assay (ChIP)
          Nkx2.5 Antibody in ChIP Assay (ChIP)
          Nkx2.5 Antibody
          Nkx2.5 Polyclonal Antibody

          产品信息

          PA5-49431

          应用
          建议稀释比
          已发表文章

          免疫印迹 (WB)

          1:1,000
          查看1篇已发表文章 1篇已发表文章

          免疫组化 (IHC)

          -
          查看3篇已发表文章 3篇已发表文章

          免疫组化(石蜡) (IHC (P))

          1:500
          -

          免疫细胞化学 (ICC/IF)

          1:25
          查看6篇已发表文章 6篇已发表文章

          流式细胞分析 (Flow)

          1:25
          查看2篇已发表文章 2篇已发表文章

          染色质免疫沉淀 实验 (ChIP)

          -
          查看2篇已发表文章 2篇已发表文章
          产品规格

          种属反应

          Human, Mouse

          已发表种属

          Human, Mouse, Zebrafish

          宿主/亚型

          Rabbit / IgG

          分类

          Polyclonal

          类型

          Antibody

          抗原

          KLH conjugated synthetic peptide between 98-133 amino acids from the Central region of mouse Nkx2-5.
          3D表位/免疫原

          偶联物

          Unconjugated Unconjugated Unconjugated

          形式

          Liquid

          浓度

          0.5 mg/mL

          规格

          100 µg

          纯化类型

          Protein A, Antigen affinity chromatography

          保存液

          PBS, pH 7.4

          内含物

          0.09% sodium azide

          保存条件

          Store at 4°C short term. For long term storage, store at -20°C, avoiding freeze/thaw cycles.

          运输条件

          Ambient (domestic); Wet ice (international)

          RRID

          AB_2634885

          靶标信息

          This gene encodes a homeobox-containing transcription factor. This transcription factor functions in heart formation and development. Mutations in this gene cause atrial septal defect with atrioventricular conduction defect, and also tetralogy of Fallot, which are both heart malformation diseases. Mutations in this gene can also cause congenital hypothyroidism non-goitrous type 5, a non-autoimmune condition. Alternative splicing results in multiple transcript variants.

          仅用于科研。不用于诊断过程。未经明确授权不得转售。

          生物信息学

          蛋白别名: Cardiac-specific homeobox; cardiac-specific homeobox 1; Drosophila NK2 transcription factor related, locus 5; FLJ52202; FLJ97166; FLJ97195; FLJ97197; FLJ99536; Homeobox protein CSX; Homeobox protein NK-2 homolog E; homeobox protein NKX 2-5; Homeobox protein Nkx-2.5; NK2 transcription factor related locus 5 (Drosophila) isoform NKX2-5_1; NK2 transcription factor related locus 5 (Drosophila) isoform NKX2-5_2; NK2 transcription factor related, locus 5; NKX 2-5; Nkx-2.5; Nkx-25; tinman homolog; tinman paralog; unnamed protein product

          查看更多 收起

          基因别名: CHNG5; CSX; CSX1; HLHS2; Nkx-2.5; NKX2-5; NKX2.5; NKX2E; NKX4-1; tinman; VSD3

          查看更多 收起

          UniProt ID: (Human) P52952, (Mouse) P42582

          查看更多 收起

          Entrez Gene ID: (Human) 1482, (Mouse) 18091

          查看更多 收起

          功能
          transcription regulatory region sequence-specific DNA binding RNA polymerase II core promoter proximal region sequence-specific DNA binding RNA polymerase II transcription factor activity, sequence-specific DNA binding bacterial-type RNA polymerase transcriptional activator activity, sequence-specific DNA binding transcriptional activator activity, RNA polymerase II transcription regulatory region sequence-specific binding DNA binding chromatin binding transcription factor activity, sequence-specific DNA binding protein binding protein homodimerization activity sequence-specific DNA binding RNA polymerase II sequence-specific DNA binding transcription factor binding sequence-specific double-stranded DNA binding transcriptional activator activity, RNA polymerase II core promoter proximal region sequence-specific binding RNA polymerase II transcription cofactor activity transcriptional activator activity, RNA polymerase II transcription factor binding transcription factor activity, RNA polymerase II distal enhancer sequence-specific binding transcription factor binding serum response element binding histone deacetylase binding transcription regulatory region DNA binding protein heterodimerization activity homeodomain transcription factor
          参与通路
          negative regulation of transcription from RNA polymerase II promoter vasculogenesis heart looping heart morphogenesis outflow tract septum morphogenesis outflow tract morphogenesis cardiac conduction system development atrioventricular node development bundle of His development Purkinje myocyte differentiation aortic valve morphogenesis cardiac ventricle morphogenesis cardiac ventricle formation right ventricular cardiac muscle tissue morphogenesis ventricular trabecula myocardium morphogenesis atrial cardiac muscle tissue development apoptotic process involved in heart morphogenesis septum secundum development proepicardium development pulmonary myocardium development regulation of transcription, DNA-templated regulation of transcription from RNA polymerase II promoter transcription from RNA polymerase II promoter apoptotic process heart development adult heart development cell proliferation positive regulation of cell proliferation positive regulation of gene expression negative regulation of cardiac muscle cell apoptotic process positive regulation of sodium ion transport negative regulation of myotube differentiation hemopoiesis cell differentiation epithelial cell differentiation thyroid gland development embryonic heart tube development negative regulation of apoptotic process positive regulation of neuron differentiation positive regulation of heart contraction negative regulation of transcription, DNA-templated positive regulation of transcription, DNA-templated positive regulation of transcription from RNA polymerase II promoter spleen development cardiac muscle tissue development epithelial cell proliferation positive regulation of epithelial cell proliferation positive regulation of cardioblast differentiation ventricular cardiac myofibril assembly cardiac muscle cell differentiation cardiac muscle tissue morphogenesis cardiac muscle cell development atrial cardiac muscle cell development ventricular cardiac muscle cell development regulation of cardiac muscle contraction pharyngeal system development cardiac muscle cell proliferation regulation of cardiac muscle cell proliferation heart contraction cardiac muscle contraction positive regulation of transcription initiation from RNA polymerase II promoter heart trabecula formation cardiac septum morphogenesis ventricular septum morphogenesis atrial septum morphogenesis atrioventricular node cell development atrioventricular node cell fate commitment embryonic heart tube left/right pattern formation negative regulation of canonical Wnt signaling pathway regulation of cardiac conduction epithelial cell apoptotic process negative regulation of epithelial cell apoptotic process multicellular organism development endoderm development positive regulation of transcription via serum response element binding BMP signaling pathway tongue development sarcomere organization canonical Wnt signaling pathway cardiovascular system development positive regulation of voltage-gated calcium channel activity
          It has to be done as per old AB suggested Products section.

          Disclaimer

          Close

          Clicking the images or links will redirect you to a website hosted by BenchSci that provides third-party scientific content. Neither the content nor the BenchSci technology and processes for selection have been evaluated by us; we are providing them as-is and without warranty of any kind, including for use or application of the Thermo Fisher Scientific products presented.

          guarantee_icon

          性能保障

          只要您发现Invitrogen抗体在实验中的表现与网站或说明书的所述内容不符,您即可享受免费退换货服务。*

          了解更多
          help_icon

          随时为您服务

          获取常见问题的专家解答,或者直接联系我们的技术专家,咨询应用、设备、常规产品使用问题。

          联系技术支持
          订购 Plus Icon Minus Icon
          • 订单状态查询
          • 订单支持
          • 货号直购
          • 现货供应中心
          • 电子采购
          支持 Plus Icon Minus Icon
          • 帮助&支持
          • 联系我们 - 400 820 8982
          • 技术支持中心
          • 查找文件&证书
          • 报告网站问题
          资源 Plus Icon Minus Icon
          • 学习中心
          • 促销
          • 活动&研讨会
          • 社交媒体
          关于赛默飞 Plus Icon Minus Icon
          • 关于我们
          • 招聘 招聘
          • 投资者关系 投资者关系
          • 新闻 新闻
          • 社会责任 社会责任
          • 商标
          • 政策和通知
          品牌 Plus Icon Minus Icon
          • Thermo Scientific
          • Applied Biosystems
          • Invitrogen
          • Gibco
          • Ion Torrent
          • Unity Lab Services
          • Patheon
          • PPD
          • 服务条款
          • 隐私政策
          • 定价和运输保险政策
          © 2006-2026 Thermo Fisher Scientific Inc. All rights reserved. All trademarks are the property of Thermo Fisher Scientific and its subsidiaries unless otherwise specified.
          China flag icon
          China
          本网站销售的所有产品均不得用于人类或动物之临床诊断或治疗,仅可用于工业或者科研等非医疗目的。
             电子营业执照 | 经营证照公示 | ICP备案号:沪ICP备11003924号 | 沪公网安备 31011502006935号

          Your items have has been added!


          Host server : magellan-search-green-6479c7f679-v472f:80/100.66.78.195:80.
          git-commit: b70c0dceb888abc3b0dcebb5bc3a5b8753e7e816
          git-url: https://github.com/thermofisher/magellan-search
          git-branch: release/2.50.0-Offline