Hamburger Menu Button
Thermo Fisher Scientific Logo
Sign in
Don't have an account ? Create Account
  • Products
    • Antibodies
    • Custom DNA Oligos
    • GeneArt Gene Synthesis Instant Designer
    • TaqMan Assay and Array Search
    • PCR Equipment and Supplies
    • Chromatography Columns and Cartridges
    • Lab Centrifuges
    • Molecular Biology Reagents and Kits
    • Lab Plasticware and Supplies
    • See all product categories
  • Applications
    • Chromatography
    • Cell Culture
    • Real-Time PCR
    • Mass Spectrometry
    • Lab Plasticware and Supplies
    • Electron Microscopy
    • Protein Biology
    • PCR
    • RNAi
    • Environmental
    • See all applications and techniques
  • Services
    • Custom Services
    • Enterprise-Level Lab Informatics
    • Enterprise Services
    • Financial and Leasing Services
    • Instrument Services
    • OEM and Commercial Supply
    • Training Services
    • 360° CDMO and CRO Solutions
    • CDMO Services
    • CRO Services
    • See all services
  • Help and Support
    • Learning Centers
    • Contact Us
    • Change Location
    • See all help and support topics
  • Popular
    • TaqMan Real-Time PCR Assays
      TaqMan Real-Time PCR Assays
    • Antibodies
      Antibodies
    • Oligos, Primers & Probes
      Oligos, Primers & Probes
    • GeneArt Gene Synthesis
      GeneArt Gene Synthesis
    • Cell Culture Plastics
      Cell Culture Plastics
  • Contact Us
  • Quick Order
  • Order Status and Tracking
  • Documents and Certificates
Thermo Fisher Scientific Logo

Search

Search All
Search button
          • Contact Us
          • Quick Order
          • Sign in
            Sign in
            Don't have an account ? Create Account
            • Account
            • Check Order Status
            • AR Statement & Invoice Inquiry
            • Custom Products & Projects
            • Instrument Management

          Disclaimer

          Clicking the images or links will redirect you to a website hosted by BenchSci that provides third-party scientific content. Neither the content nor the BenchSci technology and processes for selection have been evaluated by us; we are providing them as-is and without warranty of any kind, including for use or application of the Thermo Fisher Scientific products presented.

          • Primary Antibodies ›
          • PRMT2 Antibodies

          Invitrogen

          PRMT2 Polyclonal Antibody

          View all (8) PRMT2 antibodies

          {{$productOrderCtrl.translations['antibody.pdp.commerceCard.promotion.promotions']}}

          {{$productOrderCtrl.translations['antibody.pdp.commerceCard.promotion.viewpromo']}}

          {{$productOrderCtrl.translations['antibody.pdp.commerceCard.promotion.promocode']}}: {{promo.promoCode}} {{promo.promoTitle}} {{promo.promoDescription}}. {{$productOrderCtrl.translations['antibody.pdp.commerceCard.promotion.learnmore']}}

          Datasheet
          Protocols
          Questions & Answers
          Tech Support
          Datasheet
          Protocols
          Questions & Answers
          Tech Support
          Datasheet
          Protocols
          Questions & Answers
          Tech Support

          Cite PRMT2 Polyclonal Antibody

          • Antibody Testing Data (3)
          PRMT2 Antibody in Immunohistochemistry (Paraffin) (IHC (P))
          Group 53 Created with Sketch.
          PRMT2 Antibody in Immunohistochemistry (Paraffin) (IHC (P))
          Group 53 Created with Sketch.

          FIGURE: 1 / 3

          {{ $ctrl.currentElement.advancedVerification.fullName }}
          {{ $ctrl.currentElement.advancedVerification.text }}

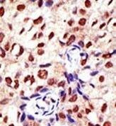
          PRMT2 Antibody (PA1-30272) in IHC (P)

          Immunohistochemistry (Paraffin) analysis of PRMT2 in human breast carcinoma tissue using PRMT2 Polyclonal Antibody (Product # PA1-30272). {{ $ctrl.currentElement.advancedVerification.fullName }} validation info. View more
          Published figure supplied by benchsci-logo
          PMID: {{$ctrl.currentElement.benchSciPubmedId}}
          View Product

          {{$ctrl.videoDesc}}

          {{$ctrl.videoLongDesc}}

          PRMT2 Antibody in Immunohistochemistry (Paraffin) (IHC (P))
          PRMT2 Antibody in Western Blot (WB)
          PRMT2 Antibody in Western Blot (WB)
          PRMT2 Polyclonal Antibody

          Product Details

          PA1-30272

          Applications
          Tested Dilution
          Publications

          Western Blot (WB)

          1:1,000
          -

          Immunohistochemistry (Paraffin) (IHC (P))

          1:50-1:100
          -
          Product Specifications

          Species Reactivity

          Human

          Host/Isotype

          Rabbit / IgG

          Class

          Polyclonal

          Type

          Antibody

          Immunogen

          KLH conjugated synthetic peptide between 22-53 amino acids from the N-terminal region of human PRMT2.
          View immunogen

          Conjugate

          Unconjugated Unconjugated Unconjugated

          Form

          Liquid

          Concentration

          2 mg/mL

          Purification

          Ammonium sulfate precipitation

          Storage buffer

          PBS

          Contains

          0.09% sodium azide

          Storage conditions

          Store at 4°C short term. For long term storage, store at -20°C, avoiding freeze/thaw cycles.

          Shipping conditions

          Ambient (domestic); Wet ice (international)

          RRID

          AB_2171645

          Product Specific Information

          PA1-30272 detects PRMT2 from human samples.

          Target Information

          Arginine methyltransferase that methylates the guanidino nitrogens of arginyl residues in proteins such as STAT3, FBL, histone H4. Acts as a coactivator (with NCOA2) of the androgen receptor (AR)-mediated transactivation. Acts as a coactivator (with estrogen) of estrogen receptor (ER)-mediated transactivation. Enhances PGR, PPARG, RARA-mediated transactivation. May inhibit NF-kappa-B transcription and promote apoptosis. Represses E2F1 transcriptional activity (in a RB1-dependent manner). May be involved in growth regulation. [UniProt]

          For Research Use Only. Not for use in diagnostic procedures. Not for resale without express authorization.

          References (0)

          Have you cited this product in a publication?
          Let us know so we can reference it here.
          Cite this product

          Bioinformatics

          Protein Aliases: Histone-arginine N-methyltransferase PRMT2; HMT1 (hnRNP methyltransferase, S. cerevisiae)-like 1; HMT1 hnRNP methyltransferase-like 1; MGC111373; PRMT2 alpha; PRMT2 beta; PRMT2 gamma; Protein arginine N-methyltransferase 2

          View more View less

          Gene Aliases: HMT1; HRMT1L1; PRMT2

          View more View less

          UniProt ID: (Human) P55345

          View more View less

          Entrez Gene ID: (Human) 3275

          View more View less

          Function(s)
          transcription coactivator activity signal transducer activity protein binding histone-arginine N-methyltransferase activity protein-arginine N-methyltransferase activity estrogen receptor binding progesterone receptor binding protein-arginine omega-N asymmetric methyltransferase activity histone methyltransferase activity protein homodimerization activity retinoic acid receptor binding peroxisome proliferator activated receptor binding thyroid hormone receptor binding androgen receptor binding protein modifying enzyme
          Process(es)
          protein methylation signal transduction histone methylation peptidyl-arginine methylation, to asymmetrical-dimethyl arginine negative regulation of NF-kappaB transcription factor activity histone arginine methylation positive regulation of apoptotic process negative regulation of transcription, DNA-templated positive regulation of transcription, DNA-templated developmental cell growth regulation of androgen receptor signaling pathway negative regulation of G1/S transition of mitotic cell cycle
          It has to be done as per old AB suggested Products section.
          guarantee_icon

          Performance Guarantee

          If an Invitrogen™ antibody doesn't perform as described on our website or datasheet,we'll replace the product at no cost to you, or provide you with a credit for a future purchase.*

          Learn more
          help_icon

          We're here to help

          Get expert recommendations for common problems or connect directly with an on staff expert for technical assistance related to applications, equipment and general product use.

          Contact tech support
          Ordering Plus Icon Minus Icon
          • Order Status
          • Order Help
          • Quick Order
          • Supply Center
          • eProcurement
          Support Plus Icon Minus Icon
          • Help and Support
          • Contact Us - 400 820 8982
          • Technical Support Centers
          • Documents and Certificates
          • Report a Site Issue
          Resources Plus Icon Minus Icon
          • Learning Centers
          • Promotions
          • Events and Webinars
          • Social Media
          About Thermo Fisher Plus Icon Minus Icon
          • About Us About Us
          • Careers Careers
          • Investors Investors
          • News News
          • Social Responsibility Social Responsibility
          • Trademarks
          • Policies and Notices
          Our Portfolio Plus Icon Minus Icon
          • Thermo Scientific
          • Applied Biosystems
          • Invitrogen
          • Gibco
          • Ion Torrent
          • Patheon
          • PPD
          • Terms & Conditions
          • Privacy Policy
          • Price & Freight Policy
          © 2006-2025 Thermo Fisher Scientific Inc. All rights reserved. All trademarks are the property of Thermo Fisher Scientific and its subsidiaries unless otherwise specified.
          China flag icon
          China
          本网站销售的所有产品均不得用于人类或动物之临床诊断或治疗,仅可用于工业或者科研等非医疗目的。
             电子营业执照 | 经营证照公示 | ICP备案号:沪ICP备11003924号 | 沪公网安备 31011502006935号

          Your items have has been added!


          Host server : magellan-search-green-55658555d6-5d7ps:80/100.66.76.55:80.
          git-commit: ec8e7df5f8fec8d765bd419205f1b5046a016d37
          git-url: https://github.com/thermofisher/magellan-search
          git-branch: release/2.41.0-Offline