Hamburger Menu Button
Thermo Fisher Scientific Logo
Sign in
Don't have an account ? Create Account
  • Products
    • Antibodies
    • Custom DNA Oligos
    • GeneArt Gene Synthesis Instant Designer
    • TaqMan Assay and Array Search
    • PCR Equipment and Supplies
    • Chromatography Columns and Cartridges
    • Lab Centrifuges
    • Molecular Biology Reagents and Kits
    • Lab Plasticware and Supplies
    • See all product categories
  • Applications
    • Chromatography
    • Cell Culture
    • Real-Time PCR
    • Mass Spectrometry
    • Lab Plasticware and Supplies
    • Electron Microscopy
    • Protein Biology
    • PCR
    • RNAi
    • Environmental
    • See all applications and techniques
  • Services
    • Custom Services
    • Enterprise-Level Lab Informatics
    • Enterprise Services
    • Financial and Leasing Services
    • Instrument Services
    • OEM and Commercial Supply
    • Training Services
    • 360° CDMO and CRO Solutions
    • CDMO Services
    • CRO Services
    • See all services
  • Help and Support
    • Learning Centers
    • Contact Us
    • Change Location
    • See all help and support topics
  • Popular
    • TaqMan Real-Time PCR Assays
      TaqMan Real-Time PCR Assays
    • Antibodies
      Antibodies
    • Oligos, Primers & Probes
      Oligos, Primers & Probes
    • GeneArt Gene Synthesis
      GeneArt Gene Synthesis
    • Cell Culture Plastics
      Cell Culture Plastics
  • Contact Us
  • Quick Order
  • Order Status and Tracking
  • Documents and Certificates
Thermo Fisher Scientific Logo

Search

Search All
Search button
          • Contact Us
          • Quick Order
          • Sign in
            Sign in
            Don't have an account ? Create Account
            • Account
            • Check Order Status
            • AR Statement & Invoice Inquiry
            • Custom Products & Projects
            • Instrument Management

          Disclaimer

          Clicking the images or links will redirect you to a website hosted by BenchSci that provides third-party scientific content. Neither the content nor the BenchSci technology and processes for selection have been evaluated by us; we are providing them as-is and without warranty of any kind, including for use or application of the Thermo Fisher Scientific products presented.

          • Primary Antibodies ›
          • RBPJ Antibodies

          Invitrogen

          RBPJ Polyclonal Antibody

          1 Reference
          View all (12) RBPJ antibodies

          {{$productOrderCtrl.translations['antibody.pdp.commerceCard.promotion.promotions']}}

          {{$productOrderCtrl.translations['antibody.pdp.commerceCard.promotion.viewpromo']}}

          {{$productOrderCtrl.translations['antibody.pdp.commerceCard.promotion.promocode']}}: {{promo.promoCode}} {{promo.promoTitle}} {{promo.promoDescription}}. {{$productOrderCtrl.translations['antibody.pdp.commerceCard.promotion.learnmore']}}

          Datasheet
          Protocols
          Questions & Answers
          Tech Support
          Datasheet
          Protocols
          Questions & Answers
          Tech Support
          Datasheet
          Protocols
          Questions & Answers
          Tech Support

          Cite RBPJ Polyclonal Antibody

          • Antibody Testing Data (4)
          RBPJ Antibody in Immunocytochemistry (ICC/IF)
          Group 53 Created with Sketch.
          RBPJ Antibody in Immunocytochemistry (ICC/IF)
          Group 53 Created with Sketch.

          FIGURE: 1 / 4

          {{ $ctrl.currentElement.advancedVerification.fullName }}
          {{ $ctrl.currentElement.advancedVerification.text }}

          RBPJ Antibody (PA5-35187) in ICC/IF

          Immunocytochemistry analysis of RBPJ in A2058 cells. Samples were incubated with RBPJ polyclonal antibody (Product # PA5-35187) using a dilution of 1:25 for 1 h at 37°C followed by Alexa Fluor® 488 conjugated donkey anti-rabbit at a dilution of 1:400 for 50 min at 37°C. Cells were fixed with 4% PFA (20 min) and permeabilized with Triton X-100 (0.1%, 10 min). Cytoplasmic actin was counterstained with Alexa Fluor® 555 (red) conjugated Phalloidin (7 units/mL, 1 h at 37°C). Nuclei were counterstained with DAPI (blue) (10 µg/mL, 10 min). RBPJ i... View More {{ $ctrl.currentElement.advancedVerification.fullName }} validation info. View more
          Published figure supplied by benchsci-logo
          PMID: {{$ctrl.currentElement.benchSciPubmedId}}
          View Product

          {{$ctrl.videoDesc}}

          {{$ctrl.videoLongDesc}}

          RBPJ Antibody in Immunocytochemistry (ICC/IF)
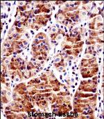
          RBPJ Antibody in Immunohistochemistry (Paraffin) (IHC (P))
          RBPJ Antibody in Western Blot (WB)
          RBPJ Antibody in Western Blot (WB)
          RBPJ Polyclonal Antibody

          Product Details

          PA5-35187

          Applications
          Tested Dilution
          Publications

          Western Blot (WB)

          1:2000
          -

          Immunohistochemistry (IHC)

          -
          View 1 publication 1 publication

          Immunohistochemistry (Paraffin) (IHC (P))

          1:10-1:50
          -

          Immunocytochemistry (ICC/IF)

          1:10-1:50
          -
          Product Specifications

          Species Reactivity

          Human

          Published species

          Human

          Host/Isotype

          Rabbit / IgG

          Class

          Polyclonal

          Type

          Antibody

          Immunogen

          KLH conjugated synthetic peptide between 1-29 amino acids from the N-terminal region of human RBPJ
          View immunogen

          Conjugate

          Unconjugated Unconjugated Unconjugated

          Form

          Liquid

          Concentration

          0.44 mg/mL

          Purification

          Protein A, Antigen affinity chromatography

          Storage buffer

          PBS, pH 7.4

          Contains

          0.09% sodium azide

          Storage conditions

          Store at 4°C short term. For long term storage, store at -20°C, avoiding freeze/thaw cycles.

          Shipping conditions

          Ambient (domestic); Wet ice (international)

          RRID

          AB_2552497

          Target Information

          CSL plays a role in the regulatory network through which muscle cells coordinate their structural and functional states during growth, adaptation, and repair. The protein is abundantly expressed in heart and skeletal muscle and expression is increased by passive stretch. Mutations in this gene can lead to X-linked deafness.

          For Research Use Only. Not for use in diagnostic procedures. Not for resale without express authorization.

          Bioinformatics

          Protein Aliases: CBF-1; H-2K binding factor-2; immunoglobulin kappa J region recombination signal binding protein 1; J kappa-recombination signal-binding protein; RBP-J; RBP-J kappa; RBP-JK; rbp-jkappa; Recombining binding protein suppressor of hairless; Renal carcinoma antigen NY-REN-30; suppressor of hairless homolog

          View more View less

          Gene Aliases: AOS3; CBF1; csl; IGKJRB; IGKJRB1; KBF2; RBP-J; RBPJ; RBPJK; RBPSUH; SUH

          View more View less

          UniProt ID: (Human) Q06330

          View more View less

          Entrez Gene ID: (Human) 3516

          View more View less

          Function(s)
          recombinase activity RNA polymerase II core promoter proximal region sequence-specific DNA binding RNA polymerase II core promoter sequence-specific DNA binding transcriptional activator activity, RNA polymerase II core promoter proximal region sequence-specific binding RNA polymerase II repressing transcription factor binding DNA binding chromatin binding transcription factor activity, sequence-specific DNA binding protein binding transcription factor binding sequence-specific DNA binding protein N-terminus binding DNA-binding transcription factor
          Process(es)
          negative regulation of transcription from RNA polymerase II promoter angiogenesis somitogenesis epithelial to mesenchymal transition blood vessel remodeling inflammatory response to antigenic stimulus secondary heart field specification outflow tract morphogenesis endocardium morphogenesis epithelial to mesenchymal transition involved in endocardial cushion formation cardiac left ventricle morphogenesis ventricular trabecula myocardium morphogenesis regulation of transcription from RNA polymerase II promoter involved in myocardial precursor cell differentiation DNA recombination transcription initiation from RNA polymerase II promoter humoral immune response Notch signaling pathway positive regulation of transcription of Notch receptor target negative regulation of cell proliferation auditory receptor cell fate commitment epidermal cell fate specification pituitary gland development B cell differentiation keratinocyte differentiation negative regulation of ossification positive regulation of BMP signaling pathway somatic stem cell population maintenance dorsal aorta morphogenesis atrioventricular canal development defense response to bacterium myeloid dendritic cell differentiation negative regulation of cell differentiation negative regulation of transcription, DNA-templated positive regulation of transcription from RNA polymerase II promoter regulation of timing of cell differentiation sebaceous gland development hair follicle maturation positive regulation of cardiac muscle cell proliferation Clara cell differentiation labyrinthine layer blood vessel development arterial endothelial cell fate commitment Notch signaling involved in heart development positive regulation of transcription from RNA polymerase II promoter in response to hypoxia blood vessel lumenization interleukin-4 secretion blood vessel endothelial cell fate specification positive regulation of ERBB signaling pathway positive regulation of ephrin receptor signaling pathway positive regulation of canonical Wnt signaling pathway involved in cardiac muscle cell fate commitment positive regulation of cell proliferation involved in heart morphogenesis
          It has to be done as per old AB suggested Products section.
          guarantee_icon

          Performance Guarantee

          If an Invitrogen™ antibody doesn't perform as described on our website or datasheet,we'll replace the product at no cost to you, or provide you with a credit for a future purchase.*

          Learn more
          help_icon

          We're here to help

          Get expert recommendations for common problems or connect directly with an on staff expert for technical assistance related to applications, equipment and general product use.

          Contact tech support
          Ordering Plus Icon Minus Icon
          • Order Status
          • Order Help
          • Quick Order
          • Supply Center
          • eProcurement
          Support Plus Icon Minus Icon
          • Help and Support
          • Contact Us - 400 820 8982
          • Technical Support Centers
          • Documents and Certificates
          • Report a Site Issue
          Resources Plus Icon Minus Icon
          • Learning Centers
          • Promotions
          • Events and Webinars
          • Social Media
          About Thermo Fisher Plus Icon Minus Icon
          • About Us About Us
          • Careers Careers
          • Investors Investors
          • News News
          • Social Responsibility Social Responsibility
          • Trademarks
          • Policies and Notices
          Our Portfolio Plus Icon Minus Icon
          • Thermo Scientific
          • Applied Biosystems
          • Invitrogen
          • Gibco
          • Ion Torrent
          • Patheon
          • PPD
          • Terms & Conditions
          • Privacy Policy
          • Price & Freight Policy
          © 2006-2025 Thermo Fisher Scientific Inc. All rights reserved. All trademarks are the property of Thermo Fisher Scientific and its subsidiaries unless otherwise specified.
          China flag icon
          China
          本网站销售的所有产品均不得用于人类或动物之临床诊断或治疗,仅可用于工业或者科研等非医疗目的。
             电子营业执照 | 经营证照公示 | ICP备案号:沪ICP备11003924号 | 沪公网安备 31011502006935号

          Your items have has been added!


          Host server : magellan-search-green-55658555d6-77k8h:80/100.66.76.99:80.
          git-commit: ec8e7df5f8fec8d765bd419205f1b5046a016d37
          git-url: https://github.com/thermofisher/magellan-search
          git-branch: release/2.41.0-Offline