Hamburger Menu Button
Thermo Fisher Scientific Logo
Sign in
Don't have an account ? Create Account
  • Products
    • Antibodies
    • Custom DNA Oligos
    • GeneArt Gene Synthesis Instant Designer
    • TaqMan Assay and Array Search
    • PCR Equipment and Supplies
    • Chromatography Columns and Cartridges
    • Lab Centrifuges
    • Molecular Biology Reagents and Kits
    • Lab Plasticware and Supplies
    • See all product categories
  • Applications
    • Chromatography
    • Cell Culture
    • Real-Time PCR
    • Mass Spectrometry
    • Lab Plasticware and Supplies
    • Electron Microscopy
    • Protein Biology
    • PCR
    • RNAi
    • Environmental
    • See all applications and techniques
  • Services
    • Custom Services
    • Enterprise-Level Lab Informatics
    • Enterprise Services
    • Financial and Leasing Services
    • Instrument Services
    • OEM and Commercial Supply
    • Training Services
    • 360° CDMO and CRO Solutions
    • CDMO Services
    • CRO Services
    • See all services
  • Help and Support
    • Learning Centers
    • Contact Us
    • Change Location
    • See all help and support topics
  • Popular
    • TaqMan Real-Time PCR Assays
      TaqMan Real-Time PCR Assays
    • Antibodies
      Antibodies
    • Oligos, Primers & Probes
      Oligos, Primers & Probes
    • GeneArt Gene Synthesis
      GeneArt Gene Synthesis
    • Cell Culture Plastics
      Cell Culture Plastics
  • Contact Us
  • Quick Order
  • Order Status and Tracking
  • Documents and Certificates
Thermo Fisher Scientific Logo

Search

Search All
Search button
          • Contact Us
          • Quick Order
          • Sign in
            Sign in
            Don't have an account ? Create Account
            • Account
            • Check Order Status
            • AR Statement & Invoice Inquiry
            • Custom Products & Projects
            • Instrument Management

          Disclaimer

          Clicking the images or links will redirect you to a website hosted by BenchSci that provides third-party scientific content. Neither the content nor the BenchSci technology and processes for selection have been evaluated by us; we are providing them as-is and without warranty of any kind, including for use or application of the Thermo Fisher Scientific products presented.

          • Primary Antibodies ›
          • RIP1 Antibodies

          Invitrogen

          RIP1 Polyclonal Antibody

          5 Published Figures
          13 References
          View all (30) RIP1 antibodies

          {{$productOrderCtrl.translations['antibody.pdp.commerceCard.promotion.promotions']}}

          {{$productOrderCtrl.translations['antibody.pdp.commerceCard.promotion.viewpromo']}}

          {{$productOrderCtrl.translations['antibody.pdp.commerceCard.promotion.promocode']}}: {{promo.promoCode}} {{promo.promoTitle}} {{promo.promoDescription}}. {{$productOrderCtrl.translations['antibody.pdp.commerceCard.promotion.learnmore']}}

          Datasheet
          Protocols
          Questions & Answers
          Tech Support
          Datasheet
          Protocols
          Questions & Answers
          Tech Support

          Cite RIP1 Polyclonal Antibody

          • Antibody Testing Data (3)
          • Published Figures (5)
          RIP1 Antibody in Immunohistochemistry (IHC)
          Group 53 Created with Sketch.
          RIP1 Antibody in Immunohistochemistry (IHC)
          Group 53 Created with Sketch.

          FIGURE: 1 / 8

          {{ $ctrl.currentElement.advancedVerification.fullName }}
          {{ $ctrl.currentElement.advancedVerification.text }}

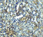
          RIP1 Antibody (PA5-20811) in IHC

          Immunohistochemistry of RIPK1 in mouse kidney tissue with RIP1 Polyclonal Antibody (Product # PA5-20811) at 2.5 µg/mL. {{ $ctrl.currentElement.advancedVerification.fullName }} validation info. View more
          Published figure supplied by benchsci-logo
          PMID: {{$ctrl.currentElement.benchSciPubmedId}}
          View Product

          {{$ctrl.videoDesc}}

          {{$ctrl.videoLongDesc}}

          RIP1 Antibody in Immunohistochemistry (IHC)
          RIP1 Antibody in Immunohistochemistry (IHC)
          RIP1 Antibody in Western Blot (WB)
          RIP1 Antibody in Western Blot, Immunoprecipitation (WB, IP)
          RIP1 Antibody in Western Blot (WB)
          RIP1 Antibody in Western Blot (WB)
          RIP1 Antibody in Western Blot (WB)
          RIP1 Antibody in Western Blot (WB)
          RIP1 Polyclonal Antibody

          Product Details

          PA5-20811

          Applications
          Tested Dilution
          Publications

          Western Blot (WB)

          1 µg/mL
          View 7 publications 7 publications

          Immunohistochemistry (IHC)

          2.5 µg/mL
          View 3 publications 3 publications

          Immunoprecipitation (IP)

          -
          View 1 publication 1 publication

          Affinity Purification (AP)

          -
          View 2 publications 2 publications
          Product Specifications

          Species Reactivity

          Human, Mouse, Rat

          Published species

          C. elegans, Human, Mouse, Rat

          Host/Isotype

          Rabbit / IgG

          Class

          Polyclonal

          Type

          Antibody

          Immunogen

          A 15 amino acid peptide from near the amino terminus of human RIPK1.
          View immunogen

          Conjugate

          Unconjugated Unconjugated Unconjugated

          Form

          Liquid

          Concentration

          1.0 mg/mL

          Purification

          Antigen affinity chromatography

          Storage buffer

          PBS

          Contains

          0.02% sodium azide

          Storage conditions

          Maintain refrigerated at 2-8°C for up to 3 months. For long term storage store at -20°C

          Shipping conditions

          Ambient (domestic); Wet ice (international)

          RRID

          AB_11154790

          Product Specific Information

          A suggested positive control is rat kidney tissue lysate.

          PA5-20811 can be used with blocking peptide PEP-0925.

          Target Information

          Serine-threonine kinase which transduces inflammatory and cell-death signals (programmed necrosis) following death receptors ligation, activation of pathogen recognition receptors (PRRs), and DNA damage. Upon activation of TNFR1 by the TNF-alpha family cytokines, TRADD and TRAF2 are recruited to the receptor. Phosphorylates DAB2IP at 'Ser-728' in a TNF-alpha-dependent manner, and thereby activates the MAP3K5-JNK apoptotic cascade. Ubiquitination by TRAF2 via 'Lys-63'-link chains acts as a critical enhancer of communication with downstream signal transducers in the mitogen-activated protein kinase pathway and the NF-kappa-B pathway, which in turn mediate downstream events including the activation of genes encoding inflammatory molecules. Polyubiquitinated protein binds to IKBKG/NEMO, the regulatory subunit of the IKK complex, a critical event for NF-kappa-B activation. Interaction with other cellular RHIM-containing adapters initiates gene activation and cell death. RIPK1 and RIPK3 association, in particular, forms a necrosis-inducing complex.

          For Research Use Only. Not for use in diagnostic procedures. Not for resale without express authorization.

          Bioinformatics

          Protein Aliases: Cell death protein RIP; FLJ39204; OTTHUMP00000015955; receptor (TNFRSF)-interacting serine-threonine kinase 1; Receptor-interacting protein 1; receptor-interacting protein kinase 1; Receptor-interacting serine/threonine-protein kinase 1; RIP; RIP-1; RIP1 (CT); serine/threonine-protein kinase RIP

          View more View less

          Gene Aliases: D330015H01Rik; Rinp; RIP; RIP-1; RIP1; RIPK1

          View more View less

          UniProt ID: (Human) Q13546, (Mouse) Q60855

          View more View less

          Entrez Gene ID: (Human) 8737, (Rat) 306886, (Mouse) 19766

          View more View less

          Function(s)
          protein kinase activity protein serine/threonine kinase activity death receptor binding protein binding ATP binding ubiquitin protein ligase binding protein complex binding identical protein binding death domain binding nucleotide binding kinase activity transferase activity transferase activity, transferring phosphorus-containing groups non-receptor serine/threonine protein kinase
          Process(es)
          positive regulation of protein phosphorylation apoptotic process activation of cysteine-type endopeptidase activity involved in apoptotic process I-kappaB kinase/NF-kappaB signaling activation of JUN kinase activity regulation of tumor necrosis factor-mediated signaling pathway regulation of necrotic cell death positive regulation of necrotic cell death positive regulation of interleukin-8 production positive regulation of tumor necrosis factor production tumor necrosis factor-mediated signaling pathway response to tumor necrosis factor TRIF-dependent toll-like receptor signaling pathway peptidyl-serine autophosphorylation positive regulation of apoptotic process positive regulation of programmed cell death positive regulation of I-kappaB kinase/NF-kappaB signaling negative regulation of I-kappaB kinase/NF-kappaB signaling cellular protein catabolic process positive regulation of macrophage differentiation positive regulation of transcription from RNA polymerase II promoter positive regulation of JNK cascade protein autophosphorylation positive regulation of NF-kappaB transcription factor activity protein homooligomerization protein heterooligomerization positive regulation of necroptotic process T cell apoptotic process necroptotic process regulation of ATP:ADP antiporter activity cellular response to tumor necrosis factor cellular response to growth factor stimulus death-inducing signaling complex assembly apoptotic signaling pathway extrinsic apoptotic signaling pathway activation of cysteine-type endopeptidase activity involved in apoptotic signaling pathway ripoptosome assembly necroptotic signaling pathway ripoptosome assembly involved in necroptotic process regulation of extrinsic apoptotic signaling pathway via death domain receptors negative regulation of extrinsic apoptotic signaling pathway via death domain receptors positive regulation of hydrogen peroxide-induced cell death amyloid fibril formation positive regulation of reactive oxygen species metabolic process negative regulation of extrinsic apoptotic signaling pathway positive regulation of extrinsic apoptotic signaling pathway negative regulation of extrinsic apoptotic signaling pathway in absence of ligand positive regulation of cell death positive regulation of phosphorylation positive regulation of MAPK cascade positive regulation of transferase activity regulation of reactive oxygen species metabolic process protein phosphorylation signal transduction programmed cell death viral process phosphorylation
          It has to be done as per old AB suggested Products section.
          guarantee_icon

          Performance Guarantee

          If an Invitrogen™ antibody doesn't perform as described on our website or datasheet,we'll replace the product at no cost to you, or provide you with a credit for a future purchase.*

          Learn more
          help_icon

          We're here to help

          Get expert recommendations for common problems or connect directly with an on staff expert for technical assistance related to applications, equipment and general product use.

          Contact tech support
          Ordering Plus Icon Minus Icon
          • Order Status
          • Order Help
          • Quick Order
          • Supply Center
          • eProcurement
          Support Plus Icon Minus Icon
          • Help and Support
          • Contact Us - 400 820 8982
          • Technical Support Centers
          • Documents and Certificates
          • Report a Site Issue
          Resources Plus Icon Minus Icon
          • Learning Centers
          • Promotions
          • Events and Webinars
          • Social Media
          About Thermo Fisher Plus Icon Minus Icon
          • About Us About Us
          • Careers Careers
          • Investors Investors
          • News News
          • Social Responsibility Social Responsibility
          • Trademarks
          • Policies and Notices
          Our Portfolio Plus Icon Minus Icon
          • Thermo Scientific
          • Applied Biosystems
          • Invitrogen
          • Gibco
          • Ion Torrent
          • Patheon
          • PPD
          • Terms & Conditions
          • Privacy Policy
          • Price & Freight Policy
          © 2006-2025 Thermo Fisher Scientific Inc. All rights reserved. All trademarks are the property of Thermo Fisher Scientific and its subsidiaries unless otherwise specified.
          China flag icon
          China
          本网站销售的所有产品均不得用于人类或动物之临床诊断或治疗,仅可用于工业或者科研等非医疗目的。
             电子营业执照 | 经营证照公示 | ICP备案号:沪ICP备11003924号 | 沪公网安备 31011502006935号

          Your items have has been added!


          Host server : magellan-search-blue-555ccb4fbd-sfw2w:80/100.66.79.196:80.
          git-commit: 75f0c7d4cb44686da2af39b21f2e6446a20282e2
          git-url: https://github.com/thermofisher/magellan-search
          git-branch: release/2.41.0-2025.12.99-1.0