Hamburger Menu Button
Thermo Fisher Scientific Logo
登录
没有账号?建立账号 注册
  • 产品
    • 抗体
    • 引物合成
    • GeneArt Gene Synthesis Instant Designer
    • TaqMan Assay and Array Search
    • PCR 设备和耗材
    • 色谱柱和纯化柱
    • 实验室离心机
    • 分子生物学试剂和试剂盒
    • 实验室塑料耗材及用品
    • 查看所有产品分类
  • 应用和技术
    • 色谱
    • 细胞转染和培养
    • 实时荧光定量PCR
    • 质谱
    • 实验室塑料耗材及用品
    • 电子显微镜
    • 蛋白质生物学
    • PCR
    • RNAi
    • 环境
    • 查看所有应用和技术
  • 服务
    • 定制服务
    • 企业级实验室信息化服务
    • 金融&租赁服务
    • 仪器服务
    • OEM和商业供应
    • 培训服务
    • 360° CDMO 和 CRO 服务
    • CDMO 服务
    • 临床试验 CRO 服务
    • Unity Lab Services
    • 查看所有帮助和支持
  • 帮助和支持
    • 学习中心
    • 联系我们
    • 更改国家或地区
    • 查看所有帮助和支持
  • 热门产品
    • TaqMan Real-Time PCR Assays
      TaqMan 实时荧光定量 PCR 试剂盒
    • Antibodies
      抗体
    • Oligos, Primers & Probes
      寡核苷酸、引物、探针
    • GeneArt Gene Synthesis
      GeneArt 基因合成
    • Cell Culture Plastics
      细胞培养耗材
  • Who We Serve
    • 抗体治疗解决方案
    • 细胞与基因治疗解决方案
    • 学术科研
    • 工业与应用
  • 联系我们
  • 货号直购
  • 订单查询
  • 查找文件&证书
Thermo Fisher Scientific Logo

Search

搜索全部或下列指定分类
Search button
          • 联系我们
          • 货号直购
          • 登录
            登录
            没有账号?建立账号 注册
            • 我的账号
            • 订单
            • 会员中心
            • 账单及发票查询
            • 定制产品及项目
          • Primary Antibodies ›
          • ROCK1 Antibodies

          Invitrogen

          ROCK1 Polyclonal Antibody

          高级验证
          查看其他32个ROCK1抗体

          {{$productOrderCtrl.translations['antibody.pdp.commerceCard.promotion.promotions']}}

          {{$productOrderCtrl.translations['antibody.pdp.commerceCard.promotion.viewpromo']}}

          {{$productOrderCtrl.translations['antibody.pdp.commerceCard.promotion.promocode']}}: {{promo.promoCode}} {{promo.promoTitle}} {{promo.promoDescription}}. {{$productOrderCtrl.translations['antibody.pdp.commerceCard.promotion.learnmore']}}

          说明书
          证书
          实验方案
          问题与答案
          技术支持
          说明书
          证书
          实验方案
          问题与答案
          技术支持
          说明书
          证书
          实验方案
          问题与答案
          技术支持

          Cite ROCK1 Polyclonal Antibody

          Additional Information:
          {{banner.description}}
          {{$ctrl.isSkuNotesCollapsed ? 'View more' : 'View less'}}
          • 抗体检测数据 (4)
          • 高级验证 (1)
          ROCK1 Antibody in Immunohistochemistry (Paraffin) (IHC (P))
          Group 53 Created with Sketch.
          ROCK1 Antibody in Immunohistochemistry (Paraffin) (IHC (P))
          Group 53 Created with Sketch.

          图: 1 / 5

          {{ $ctrl.currentElement.advancedVerification.fullName }}
          {{ $ctrl.currentElement.advancedVerification.text }}

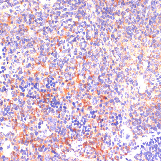
          ROCK1 Antibody (PA5-87623) in IHC (P)

          Immunohistochemistry analysis of ROCK1 in paraffin-embedded mouse spleen. Samples were incubated with ROCK1 Polyclonal antibody (Product # PA5-87623) using a dilution of 1:100 (40x lens). Perform microwave antigen retrieval with 10 mM PBS buffer pH 7.2 before commencing with IHC staining protocol. {{ $ctrl.currentElement.advancedVerification.fullName }} 验证信息 View more
          已发表图片由___提供 benchsci-logo
          PMID: {{$ctrl.currentElement.benchSciPubmedId}}
          查看产品

          {{$ctrl.videoDesc}}

          {{$ctrl.videoLongDesc}}

          ROCK1 Antibody in Immunohistochemistry (Paraffin) (IHC (P))
          ROCK1 Antibody in Western Blot (WB)
          ROCK1 Antibody in Western Blot (WB)
          ROCK1 Antibody in Western Blot (WB)
          ROCK1 Antibody
          ROCK1 Polyclonal Antibody

          产品信息

          PA5-87623

          应用
          建议稀释比
          已发表文章

          免疫印迹 (WB)

          1:500-1:1,000
          -

          免疫组化(石蜡) (IHC (P))

          1:50-1:100
          -

          酶联免疫吸附实验 (ELISA)

          1 µg/mL
          -
          产品规格

          种属反应

          Human, Mouse

          宿主/亚型

          Rabbit / IgG

          分类

          Polyclonal

          类型

          Antibody

          抗原

          Recombinant fusion protein containing a sequence corresponding to amino acids 400-660 of human ROCK1 (NP_0053971)
          3D表位/免疫原

          偶联物

          Unconjugated Unconjugated Unconjugated

          形式

          Liquid

          浓度

          1.1 mg/mL

          规格

          110 µg

          纯化类型

          Affinity Chromatography

          保存液

          PBS, pH 7.3, with 50% glycerol

          内含物

          0.02% sodium azide

          保存条件

          -20°C, Avoid Freeze/Thaw Cycles

          运输条件

          Ambient (domestic); Wet ice (international)

          RRID

          AB_2804298

          产品详细信息

          Immunogen sequence: YSNRRYLSSA NPNDNRTSSN ADKSLQESLQ KTIYKLEEQL HNEMQLKDEM EQKCRTSNIK LDKIMKELDE EGNQRRNLES TVSQIEKEKM LLQHRINEYQ RKAEQENEKR RNVENEVSTL KDQLEDLKKV SQNSQLANEK LSQLQKQLEE ANDLLRTESD TAVRLRKSHT EMSKSISQLE SLNRELQERN RILENSKSQT DKDYYQLQAI LEAERRDRGH DSEMIGDLQA RITSLQEEVK HLKHNLEKVE GERKEAQDML N; Positive Samples: 293T, U-251MG, Jurkat, BT-474; Cellular Location: Cell membrane, Cell projection, Cytoplasm, Golgi apparatus membrane, Peripheral membrane protein, bleb, centriole, centrosome, cytoskeleton, lamellipodium, microtubule organizing center, ruffle

          靶标信息

          ROCK1 is a serine/threonine kinase that regulates cell differentiation and migration. The Rho/ROCK pathway is involved in the progression of various human cancers. ROCK1 has been found to be a new Caspase-3 substrate. ROCK, one of the effectors of the small GTPase Rho, has recently been shown to contribute significantly to myosin light chain (MLC) activation through two pathways: direct phosphorylation of MLC and phosphorylation of MLC phosphatase, leading to its inhibition. The increase in cellular contractility that is necessary for apoptotic membrane blebbing implies sustained augmentation of MLC phosphorylation. ROCK-1 consists of an amino-terminal kinase domain and an inhibitory cysteine/histidine-rich C-terminal domain that is located within a pleckstrin-homology region. They are joined by a variable region that contains the Rho-binding domain. During apoptosis, ROCK-I is cleaved by caspase-3 at a conserved DETD1113/G sequence and its carboxy-terminal inhibitory domain is removed, resulting in deregulated and constitutive kinase activity. The caspase-3-mediated cleavage and activation of ROCK I induces phosphorylation of MLC and membrane blebbing, one of the first events in the execution phase of apoptosis.

          仅用于科研。不用于诊断过程。未经明确授权不得转售。

          篇参考文献 (0)

          您是否在文献中引用过该产品?请点击下方按钮邮件告知我们。
          引用该产品

          生物信息学

          蛋白别名: MGC131603; MGC43611; p160 ROCK-1; p160-ROCK; p160ROCK; PRO0435; Renal carcinoma antigen NY-REN-35; Rho kinase; Rho-associated coiled-coil forming kinase 1; Rho-associated protein kinase 1; Rho-associated, coiled-coil-containing protein kinase 1; Rho-associated, coiled-coil-containing protein kinase I; ROCK-I

          查看更多 收起

          基因别名: 1110055K06Rik; P160ROCK; ROCK-I; ROCK1

          查看更多 收起

          UniProt ID: (Human) Q13464, (Mouse) P70335

          查看更多 收起

          Entrez Gene ID: (Human) 6093, (Mouse) 19877

          查看更多 收起

          功能
          nucleotide binding protein kinase activity protein serine/threonine kinase activity protein binding ATP binding zinc ion binding kinase activity transferase activity small GTPase binding metal ion binding tau protein binding tau-protein kinase activity Rho-dependent protein serine/threonine kinase activity protein serine kinase activity transferase activity, transferring phosphorus-containing groups Rho GTPase binding GTP-Rho binding non-receptor serine/threonine protein kinase
          参与通路
          mitotic cytokinesis epithelial to mesenchymal transition aortic valve morphogenesis apical constriction apoptotic process smooth muscle contraction leukocyte cell-cell adhesion signal transduction Rho protein signal transduction regulation of gene expression positive regulation of autophagy positive regulation of macromolecule metabolic process positive regulation of cardiac muscle hypertrophy positive regulation of gene expression negative regulation of angiogenesis peptidyl-serine phosphorylation membrane to membrane docking actin cytoskeleton organization regulation of cell adhesion regulation of cell migration cortical actin cytoskeleton organization actomyosin structure organization neuron projection development bleb assembly negative regulation of protein binding regulation of actin cytoskeleton organization regulation of actin filament-based process intracellular signal transduction positive regulation of MAPK cascade regulation of keratinocyte differentiation regulation of neuron differentiation positive regulation of phosphate metabolic process embryonic morphogenesis leukocyte migration leukocyte tethering or rolling negative regulation of membrane protein ectodomain proteolysis myoblast migration regulation of stress fiber assembly regulation of focal adhesion assembly positive regulation of focal adhesion assembly mRNA destabilization negative regulation of biomineral tissue development regulation of microtubule cytoskeleton organization response to transforming growth factor beta protein localization to plasma membrane regulation of synapse maturation glomerular visceral epithelial cell migration motor neuron apoptotic process regulation of blood vessel diameter regulation of angiotensin-activated signaling pathway neuron projection arborization positive regulation of beta-amyloid clearance regulation of synaptic vesicle endocytosis regulation of cell junction assembly regulation of beta-amyloid formation negative regulation of beta-amyloid formation negative regulation of amyloid precursor protein catabolic process regulation of establishment of endothelial barrier negative regulation of bicellular tight junction assembly positive regulation of connective tissue replacement response to angiotensin regulation of establishment of cell polarity regulation of cell motility negative regulation of motor neuron apoptotic process protein phosphorylation cytoskeleton organization phosphorylation negative regulation of neuron apoptotic process regulation of cytoskeleton organization
          It has to be done as per old AB suggested Products section.

          Disclaimer

          Close

          Clicking the images or links will redirect you to a website hosted by BenchSci that provides third-party scientific content. Neither the content nor the BenchSci technology and processes for selection have been evaluated by us; we are providing them as-is and without warranty of any kind, including for use or application of the Thermo Fisher Scientific products presented.

          guarantee_icon

          性能保障

          只要您发现Invitrogen抗体在实验中的表现与网站或说明书的所述内容不符,您即可享受免费退换货服务。*

          了解更多
          help_icon

          随时为您服务

          获取常见问题的专家解答,或者直接联系我们的技术专家,咨询应用、设备、常规产品使用问题。

          联系技术支持
          订购 Plus Icon Minus Icon
          • 订单状态查询
          • 订单支持
          • 货号直购
          • 现货供应中心
          • 电子采购
          支持 Plus Icon Minus Icon
          • 帮助&支持
          • 联系我们 - 400 820 8982
          • 技术支持中心
          • 查找文件&证书
          • 报告网站问题
          资源 Plus Icon Minus Icon
          • 学习中心
          • 促销
          • 活动&研讨会
          • 社交媒体
          关于赛默飞 Plus Icon Minus Icon
          • 关于我们
          • 招聘 招聘
          • 投资者关系 投资者关系
          • 新闻 新闻
          • 社会责任 社会责任
          • 商标
          • 政策和通知
          品牌 Plus Icon Minus Icon
          • Thermo Scientific
          • Applied Biosystems
          • Invitrogen
          • Gibco
          • Ion Torrent
          • Unity Lab Services
          • Patheon
          • PPD
          • 服务条款
          • 隐私政策
          • 定价和运输保险政策
          © 2006-2026 Thermo Fisher Scientific Inc. All rights reserved. All trademarks are the property of Thermo Fisher Scientific and its subsidiaries unless otherwise specified.
          China flag icon
          China
          本网站销售的所有产品均不得用于人类或动物之临床诊断或治疗,仅可用于工业或者科研等非医疗目的。
             电子营业执照 | 经营证照公示 | ICP备案号:沪ICP备11003924号 | 沪公网安备 31011502006935号

          Your items have has been added!


          Host server : magellan-search-green-6479c7f679-rv8h9:80/100.66.78.195:80.
          git-commit: b70c0dceb888abc3b0dcebb5bc3a5b8753e7e816
          git-url: https://github.com/thermofisher/magellan-search
          git-branch: release/2.50.0-Offline