Hamburger Menu Button
Thermo Fisher Scientific Logo
登录
没有账号?建立账号 注册
  • 产品
    • 抗体
    • 引物合成
    • GeneArt Gene Synthesis Instant Designer
    • TaqMan Assay and Array Search
    • PCR 设备和耗材
    • 色谱柱和纯化柱
    • 实验室离心机
    • 分子生物学试剂和试剂盒
    • 实验室塑料耗材及用品
    • 查看所有产品分类
  • 应用和技术
    • 色谱
    • 细胞转染和培养
    • 实时荧光定量PCR
    • 质谱
    • 实验室塑料耗材及用品
    • 电子显微镜
    • 蛋白质生物学
    • PCR
    • RNAi
    • 环境
    • 查看所有应用和技术
  • 服务
    • 定制服务
    • 企业级实验室信息化服务
    • 金融&租赁服务
    • 仪器服务
    • OEM和商业供应
    • 培训服务
    • 360° CDMO 和 CRO 服务
    • CDMO 服务
    • 临床试验 CRO 服务
    • Unity Lab Services
    • 查看所有帮助和支持
  • 帮助和支持
    • 学习中心
    • 联系我们
    • 更改国家或地区
    • 查看所有帮助和支持
  • 热门产品
    • TaqMan Real-Time PCR Assays
      TaqMan 实时荧光定量 PCR 试剂盒
    • Antibodies
      抗体
    • Oligos, Primers & Probes
      寡核苷酸、引物、探针
    • GeneArt Gene Synthesis
      GeneArt 基因合成
    • Cell Culture Plastics
      细胞培养耗材
  • Who We Serve
    • 抗体治疗解决方案
    • 细胞与基因治疗解决方案
    • 学术科研
    • 工业与应用
  • 联系我们
  • 货号直购
  • 订单查询
  • 查找文件&证书
Thermo Fisher Scientific Logo

Search

搜索全部或下列指定分类
Search button
          • 联系我们
          • 货号直购
          • 登录
            登录
            没有账号?建立账号 注册
            • 我的账号
            • 订单
            • 会员中心
            • 账单及发票查询
            • 定制产品及项目
          • Primary Antibodies ›
          • SERPINH1 Antibodies

          Invitrogen

          SERPINH1 Polyclonal Antibody

          高级验证
          查看其他19个SERPINH1抗体

          {{$productOrderCtrl.translations['antibody.pdp.commerceCard.promotion.promotions']}}

          {{$productOrderCtrl.translations['antibody.pdp.commerceCard.promotion.viewpromo']}}

          {{$productOrderCtrl.translations['antibody.pdp.commerceCard.promotion.promocode']}}: {{promo.promoCode}} {{promo.promoTitle}} {{promo.promoDescription}}. {{$productOrderCtrl.translations['antibody.pdp.commerceCard.promotion.learnmore']}}

          说明书
          证书
          实验方案
          问题与答案
          技术支持
          说明书
          证书
          实验方案
          问题与答案
          技术支持
          说明书
          证书
          实验方案
          问题与答案
          技术支持

          Cite SERPINH1 Polyclonal Antibody

          Additional Information:
          {{banner.description}}
          {{$ctrl.isSkuNotesCollapsed ? 'View more' : 'View less'}}
          • 抗体检测数据 (10)
          • 高级验证 (1)
          SERPINH1 Antibody in Immunocytochemistry (ICC/IF)
          Group 53 Created with Sketch.
          SERPINH1 Antibody in Immunocytochemistry (ICC/IF)
          Group 53 Created with Sketch.

          图: 1 / 11

          {{ $ctrl.currentElement.advancedVerification.fullName }}
          {{ $ctrl.currentElement.advancedVerification.text }}

          SERPINH1 Antibody (PA5-95231) in ICC/IF

          Immunofluorescence analysis of Serpin H1 was performed using 70% confluent log phase Caco-2 cells. The cells were fixed with 4% paraformaldehyde for 5 minutes, permeabilized with 0.1% Triton™ X-100 for 10 minutes, and blocked with 2% BSA for 45 minutes at room temperature. The cells were labeled with SERPINH1 Polyclonal Antibody (Product # PA5-95231) at 5 µg/mL concentration in 0.1% BSA, incubated at 4 degree celsius overnight and then labeled with Donkey anti-Rabbit IgG (H+L) Highly Cross-Adsorbed Secondary Antibody, Alexa Fluor Plus 488 ... View More {{ $ctrl.currentElement.advancedVerification.fullName }} 验证信息 View more
          已发表图片由___提供 benchsci-logo
          PMID: {{$ctrl.currentElement.benchSciPubmedId}}
          查看产品

          {{$ctrl.videoDesc}}

          {{$ctrl.videoLongDesc}}

          SERPINH1 Antibody in Immunocytochemistry (ICC/IF)
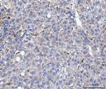
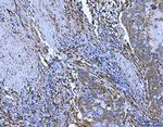
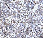
          SERPINH1 Antibody in Immunohistochemistry (Paraffin) (IHC (P))
          SERPINH1 Antibody in Immunohistochemistry (Paraffin) (IHC (P))
          SERPINH1 Antibody in Immunohistochemistry (Paraffin) (IHC (P))
          SERPINH1 Antibody in Immunohistochemistry (Paraffin) (IHC (P))
          SERPINH1 Antibody in Immunohistochemistry (Paraffin) (IHC (P))
          SERPINH1 Antibody in Immunohistochemistry (Paraffin) (IHC (P))
          SERPINH1 Antibody in Western Blot (WB)
          SERPINH1 Antibody in Western Blot (WB)
          SERPINH1 Antibody in Western Blot (WB)
          SERPINH1 Antibody
          SERPINH1 Polyclonal Antibody

          产品信息

          PA5-95231

          应用
          建议稀释比
          已发表文章

          免疫印迹 (WB)

          0.1-0.5 µg/mL
          -

          免疫组化(石蜡) (IHC (P))

          2-5 µg/mL
          -

          免疫细胞化学 (ICC/IF)

          5 µg/mL
          -
          产品规格

          种属反应

          Human, Mouse, Rat

          宿主/亚型

          Rabbit / IgG

          分类

          Polyclonal

          类型

          Antibody

          抗原

          E.coli-derived human Hsp47 recombinant protein (Position: D247-L418).
          3D表位/免疫原

          偶联物

          Unconjugated Unconjugated Unconjugated

          形式

          Lyophilized

          浓度

          500 µg/mL

          规格

          100 µg

          纯化类型

          Affinity chromatography

          保存液

          PBS with 5mg BSA

          内含物

          0.05mg sodium azide

          保存条件

          -20°C

          运输条件

          Ambient (domestic); Wet ice (international)

          RRID

          AB_2807035

          产品详细信息

          Human Hsp47 shares 97% amino acid (aa) sequence identity with both mouse and rat Hsp47.

          Reconstitute with 0.2 mL of distilled water to yield a concentration of 500 µg/mL.

          Positive Control - WB: human A431 whole cell, human SK-N-SH whole cell, human Hela whole cell, rat lung tissue, rat kidney tissue, rat L6 whole cell, mouse lung tissue, mouse NIH/3T3 whole cell. IHC: human breast cancer tissue, human endometrial adenocarcinoma tissue, human esophageal squamous carcinoma tissue, human liver cancer tissue, human spleen tissue, human lung adenocarcinoma tissue.|Store at -20°C for one year from date of receipt. After reconstitution, at 4°C for one month. It can also be aliquotted and stored frozen at -20°C for six months. Avoid repeated freeze-thaw cycles.

          靶标信息

          SERPINH1 is a member of the serpin superfamily of serine proteinase inhibitors, and its expression is induced by heat shock. The SERPINH1 protein localizes to the endoplasmic reticulum lumen and binds collagen; thus it is thought to be a molecular chaperone involved in the maturation of collagen molecules. Autoantibodies to SERPINH1 have been found in patients with rheumatoid arthritis.

          仅用于科研。不用于诊断过程。未经明确授权不得转售。

          篇参考文献 (0)

          您是否在文献中引用过该产品?请点击下方按钮邮件告知我们。
          引用该产品

          生物信息学

          蛋白别名: 47 kDa heat shock protein; Arsenic-transactivated protein 3; AsTP 3; AsTP3; beta enolase repressor factor 1; CBP 1; CBP 2; Cell proliferation-inducing gene 14 protein; collagen binding protein 1; collagen binding protein 2; Collagen-binding protein; Colligen; Colligin; Colligin 1; Colligin 2; colligin-1; colligin-2; GP46; heat shock protein 47; HGNC 1547; Hsp 47; PIG 14; RA A47; rheumatoid arthritis antigen A-47; Rheumatoid arthritis-related antigen RA-A47; serine (or cysteine) peptidase inhibitor, clade H, member 1; serine (or cysteine) proteinase inhibitor, clade H (heat shock protein 47), member 1; serine (or cysteine) proteinase inhibitor, clade H (heat shock protein 47), member 1, (collagen binding protein 1); serine (or cysteine) proteinase inhibitor, clade H (heat shock protein 47), member 2; serine (or cysteine) proteinase inhibitor, clade H (heat shock protein 47), member 2, (collagen-binding protein 2); serine (or cysteine) proteinase inhibitor, clade H, member 1; Serine protease inhibitor J6; serine proteinase inhibitor, clade H (heat shock protein 47), member 1; Serpin H1; serpin peptidase inhibitor, clade H (heat shock protein 47), member 1, (collagen binding protein 1); serpin peptidase inhibitor, clade H, member 1; unnamed protein product

          查看更多 收起

          基因别名: AsTP3; BERF-1; CBP1; CBP2; gp46; HSP47; J6; OI10; PIG14; PPROM; RA-A47; SERPINH1; SERPINH2

          查看更多 收起

          UniProt ID: (Human) P50454, (Rat) P29457, (Mouse) P19324

          查看更多 收起

          Entrez Gene ID: (Human) 871, (Rat) 29345, (Mouse) 12406

          查看更多 收起

          功能
          RNA binding serine-type endopeptidase inhibitor activity protein binding collagen binding unfolded protein binding poly(A) RNA binding protease inhibitor
          参与通路
          chondrocyte development involved in endochondral bone morphogenesis response to unfolded protein collagen fibril organization collagen biosynthetic process protein maturation negative regulation of endopeptidase activity
          It has to be done as per old AB suggested Products section.

          Disclaimer

          Close

          Clicking the images or links will redirect you to a website hosted by BenchSci that provides third-party scientific content. Neither the content nor the BenchSci technology and processes for selection have been evaluated by us; we are providing them as-is and without warranty of any kind, including for use or application of the Thermo Fisher Scientific products presented.

          guarantee_icon

          性能保障

          只要您发现Invitrogen抗体在实验中的表现与网站或说明书的所述内容不符,您即可享受免费退换货服务。*

          了解更多
          help_icon

          随时为您服务

          获取常见问题的专家解答,或者直接联系我们的技术专家,咨询应用、设备、常规产品使用问题。

          联系技术支持
          订购 Plus Icon Minus Icon
          • 订单状态查询
          • 订单支持
          • 货号直购
          • 现货供应中心
          • 电子采购
          支持 Plus Icon Minus Icon
          • 帮助&支持
          • 联系我们 - 400 820 8982
          • 技术支持中心
          • 查找文件&证书
          • 报告网站问题
          资源 Plus Icon Minus Icon
          • 学习中心
          • 促销
          • 活动&研讨会
          • 社交媒体
          关于赛默飞 Plus Icon Minus Icon
          • 关于我们
          • 招聘 招聘
          • 投资者关系 投资者关系
          • 新闻 新闻
          • 社会责任 社会责任
          • 商标
          • 政策和通知
          品牌 Plus Icon Minus Icon
          • Thermo Scientific
          • Applied Biosystems
          • Invitrogen
          • Gibco
          • Ion Torrent
          • Unity Lab Services
          • Patheon
          • PPD
          • 服务条款
          • 隐私政策
          • 定价和运输保险政策
          © 2006-2026 Thermo Fisher Scientific Inc. All rights reserved. All trademarks are the property of Thermo Fisher Scientific and its subsidiaries unless otherwise specified.
          China flag icon
          China
          本网站销售的所有产品均不得用于人类或动物之临床诊断或治疗,仅可用于工业或者科研等非医疗目的。
             电子营业执照 | 经营证照公示 | ICP备案号:沪ICP备11003924号 | 沪公网安备 31011502006935号

          Your items have has been added!


          Host server : magellan-search-green-6479c7f679-rv8h9:80/100.66.78.195:80.
          git-commit: b70c0dceb888abc3b0dcebb5bc3a5b8753e7e816
          git-url: https://github.com/thermofisher/magellan-search
          git-branch: release/2.50.0-Offline