Hamburger Menu Button
Thermo Fisher Scientific Logo
登录
没有账号?建立账号 注册
  • 产品
    • 抗体
    • 引物合成
    • GeneArt Gene Synthesis Instant Designer
    • TaqMan Assay and Array Search
    • PCR 设备和耗材
    • 色谱柱和纯化柱
    • 实验室离心机
    • 分子生物学试剂和试剂盒
    • 实验室塑料耗材及用品
    • 查看所有产品分类
  • 应用和技术
    • 色谱
    • 细胞转染和培养
    • 实时荧光定量PCR
    • 质谱
    • 实验室塑料耗材及用品
    • 电子显微镜
    • 蛋白质生物学
    • PCR
    • RNAi
    • 环境
    • 查看所有应用和技术
  • 服务
    • 定制服务
    • 企业级实验室信息化服务
    • 金融&租赁服务
    • 仪器服务
    • OEM和商业供应
    • 培训服务
    • 360° CDMO 和 CRO 服务
    • CDMO 服务
    • 临床试验 CRO 服务
    • Unity Lab Services
    • 查看所有帮助和支持
  • 帮助和支持
    • 学习中心
    • 联系我们
    • 更改国家或地区
    • 查看所有帮助和支持
  • 热门产品
    • TaqMan Real-Time PCR Assays
      TaqMan 实时荧光定量 PCR 试剂盒
    • Antibodies
      抗体
    • Oligos, Primers & Probes
      寡核苷酸、引物、探针
    • GeneArt Gene Synthesis
      GeneArt 基因合成
    • Cell Culture Plastics
      细胞培养耗材
  • Who We Serve
    • 抗体治疗解决方案
    • 细胞与基因治疗解决方案
    • 学术科研
    • 工业与应用
  • 联系我们
  • 货号直购
  • 订单查询
  • 查找文件&证书
Thermo Fisher Scientific Logo

Search

搜索全部或下列指定分类
Search button
          • 联系我们
          • 货号直购
          • 登录
            登录
            没有账号?建立账号 注册
            • 我的账号
            • 订单
            • 会员中心
            • 账单及发票查询
            • 定制产品及项目
          • Primary Antibodies ›
          • SFRP2 Antibodies

          Invitrogen

          SFRP2 Polyclonal Antibody

          查看其他11个SFRP2抗体

          {{$productOrderCtrl.translations['antibody.pdp.commerceCard.promotion.promotions']}}

          {{$productOrderCtrl.translations['antibody.pdp.commerceCard.promotion.viewpromo']}}

          {{$productOrderCtrl.translations['antibody.pdp.commerceCard.promotion.promocode']}}: {{promo.promoCode}} {{promo.promoTitle}} {{promo.promoDescription}}. {{$productOrderCtrl.translations['antibody.pdp.commerceCard.promotion.learnmore']}}

          说明书
          证书
          实验方案
          问题与答案
          技术支持
          说明书
          证书
          实验方案
          问题与答案
          技术支持
          说明书
          证书
          实验方案
          问题与答案
          技术支持

          Cite SFRP2 Polyclonal Antibody

          Additional Information:
          {{banner.description}}
          {{$ctrl.isSkuNotesCollapsed ? 'View more' : 'View less'}}
          • 抗体检测数据 (3)
          SFRP2 Antibody in Immunohistochemistry (Paraffin) (IHC (P))
          Group 53 Created with Sketch.
          SFRP2 Antibody in Immunohistochemistry (Paraffin) (IHC (P))
          Group 53 Created with Sketch.

          图: 1 / 3

          {{ $ctrl.currentElement.advancedVerification.fullName }}
          {{ $ctrl.currentElement.advancedVerification.text }}

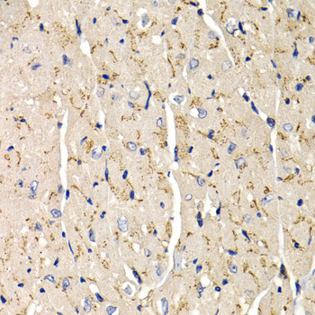
          SFRP2 Antibody (PA5-76794) in IHC (P)

          Immunohistochemistry analysis of SFRP2 in paraffin-embedded mouse heart. Samples were incubated with SFRP2 polyclonal antibody (Product # PA5-76794) at a dilution of 1:200. Results were magnified with a 400x lens. {{ $ctrl.currentElement.advancedVerification.fullName }} 验证信息 View more
          已发表图片由___提供 benchsci-logo
          PMID: {{$ctrl.currentElement.benchSciPubmedId}}
          查看产品

          {{$ctrl.videoDesc}}

          {{$ctrl.videoLongDesc}}

          SFRP2 Antibody in Immunohistochemistry (Paraffin) (IHC (P))
          SFRP2 Antibody in Immunohistochemistry (Paraffin) (IHC (P))
          SFRP2 Antibody in Western Blot (WB)
          SFRP2 Polyclonal Antibody

          产品信息

          PA5-76794

          应用
          建议稀释比
          已发表文章

          免疫印迹 (WB)

          1:500-1:2,000
          -

          免疫组化(石蜡) (IHC (P))

          1:50-1:200
          -

          免疫细胞化学 (ICC/IF)

          1:50-1:200
          -
          产品规格

          种属反应

          Human, Mouse, Rat

          宿主/亚型

          Rabbit / IgG

          分类

          Polyclonal

          类型

          Antibody

          抗原

          Recombinant full length Human SFRP2.
          3D表位/免疫原

          偶联物

          Unconjugated Unconjugated Unconjugated

          形式

          Liquid

          浓度

          1 mg/mL

          规格

          100 µg

          纯化类型

          Antigen affinity chromatography

          保存液

          PBS, pH 7.2, with 50% glycerol

          内含物

          0.02% sodium azide

          保存条件

          Store at 4°C short term. For long term storage, store at -20°C, avoiding freeze/thaw cycles.

          运输条件

          Ambient (domestic); Wet ice (international)

          RRID

          AB_2720521

          产品详细信息

          The antibody was affinity-purified from rabbit antiserum by affinity-chromatography using epitope-specific immunogen and the purity is > 95% (by SDS-PAGE).

          靶标信息

          This gene encodes a member of the SFRP family that contains a cysteine-rich domain homologous to the putative Wnt-binding site of Frizzled proteins. SFRPs act as soluble modulators of Wnt signaling. Methylation of this gene is a potential marker for the presence of colorectal cancer.

          仅用于科研。不用于诊断过程。未经明确授权不得转售。

          篇参考文献 (0)

          您是否在文献中引用过该产品?请点击下方按钮邮件告知我们。
          引用该产品

          生物信息学

          蛋白别名: FRP 2; FRP-2; MGC128911; MGC153618; MGC53344; Protein SDF5; SARP 1; SARP-1; SDF 5; secreted apoptosis related protein 1; Secreted apoptosis-related protein 1; Secreted frizzled-related protein 2; secreted frizzled-related sequence protein 2; secreted frizzled-related sequence protein 5; sFRP 2; sFRP-2; Sfrp2 protein; similar to frizzled-like receptor CRD; stromal cell derived factor 5; testicular tissue protein Li 170; unnamed protein product

          查看更多 收起

          基因别名: AI851596; FKSG12; FRP-2; FRP2; SARP1; SDF-5; Sdf5; SFRP2; UNQ361/PRO697

          查看更多 收起

          UniProt ID: (Human) Q96HF1, (Mouse) P97299

          查看更多 收起

          Entrez Gene ID: (Human) 6423, (Rat) 310552, (Mouse) 20319

          查看更多 收起

          功能
          fibronectin binding integrin binding enzyme activator activity Wnt-protein binding receptor agonist activity endopeptidase activator activity molecular_function G-protein coupled receptor activity Wnt-activated receptor activity protein binding transmembrane signal receptor
          参与通路
          regulation of cell growth patterning of blood vessels somitogenesis neural tube closure chondrocyte development outflow tract morphogenesis cardiac left ventricle morphogenesis apoptotic process cell-cell signaling mesodermal cell fate specification response to nutrient positive regulation of cell proliferation negative regulation of cell proliferation male gonad development response to xenobiotic stimulus anterior/posterior pattern specification negative regulation of gene expression cardiac muscle cell apoptotic process negative regulation of cardiac muscle cell apoptotic process negative regulation of epithelial to mesenchymal transition regulation of neuron projection development Wnt signaling pathway neural tube development regulation of Wnt signaling pathway cell differentiation negative regulation of Wnt signaling pathway collagen fibril organization positive regulation of cell growth negative regulation of cell growth negative regulation of cell migration BMP signaling pathway negative regulation of BMP signaling pathway positive regulation of cell adhesion mediated by integrin non-canonical Wnt signaling pathway post-anal tail morphogenesis regulation of cell proliferation negative regulation of mesodermal cell fate specification embryonic digit morphogenesis regulation of apoptotic process positive regulation of apoptotic process positive regulation of fat cell differentiation positive regulation of osteoblast differentiation positive regulation of angiogenesis negative regulation of transcription, DNA-templated positive regulation of transcription from RNA polymerase II promoter development of primary male sexual characteristics digestive tract morphogenesis stem cell fate specification negative regulation of epithelial cell proliferation negative regulation of peptidyl-tyrosine phosphorylation cartilage development convergent extension involved in axis elongation canonical Wnt signaling pathway sclerotome development negative regulation of dermatome development hematopoietic stem cell proliferation cellular response to X-ray negative regulation of canonical Wnt signaling pathway regulation of establishment of planar polarity Wnt signaling pathway involved in somitogenesis positive regulation of canonical Wnt signaling pathway negative regulation of extrinsic apoptotic signaling pathway via death domain receptors negative regulation of intrinsic apoptotic signaling pathway in response to DNA damage regulation of midbrain dopaminergic neuron differentiation regulation of stem cell division signal transduction positive regulation of endopeptidase activity cellular response to extracellular stimulus positive regulation of peptidyl-serine phosphorylation positive regulation of catenin import into nucleus response to drug negative regulation of cysteine-type endopeptidase activity involved in apoptotic process negative regulation of JUN kinase activity bone morphogenesis planar cell polarity pathway involved in neural tube closure negative regulation of planar cell polarity pathway involved in axis elongation positive regulation of receptor activity multicellular organism development
          It has to be done as per old AB suggested Products section.

          Disclaimer

          Close

          Clicking the images or links will redirect you to a website hosted by BenchSci that provides third-party scientific content. Neither the content nor the BenchSci technology and processes for selection have been evaluated by us; we are providing them as-is and without warranty of any kind, including for use or application of the Thermo Fisher Scientific products presented.

          guarantee_icon

          性能保障

          只要您发现Invitrogen抗体在实验中的表现与网站或说明书的所述内容不符,您即可享受免费退换货服务。*

          了解更多
          help_icon

          随时为您服务

          获取常见问题的专家解答,或者直接联系我们的技术专家,咨询应用、设备、常规产品使用问题。

          联系技术支持
          订购 Plus Icon Minus Icon
          • 订单状态查询
          • 订单支持
          • 货号直购
          • 现货供应中心
          • 电子采购
          支持 Plus Icon Minus Icon
          • 帮助&支持
          • 联系我们 - 400 820 8982
          • 技术支持中心
          • 查找文件&证书
          • 报告网站问题
          资源 Plus Icon Minus Icon
          • 学习中心
          • 促销
          • 活动&研讨会
          • 社交媒体
          关于赛默飞 Plus Icon Minus Icon
          • 关于我们
          • 招聘 招聘
          • 投资者关系 投资者关系
          • 新闻 新闻
          • 社会责任 社会责任
          • 商标
          • 政策和通知
          品牌 Plus Icon Minus Icon
          • Thermo Scientific
          • Applied Biosystems
          • Invitrogen
          • Gibco
          • Ion Torrent
          • Unity Lab Services
          • Patheon
          • PPD
          • 服务条款
          • 隐私政策
          • 定价和运输保险政策
          © 2006-2026 Thermo Fisher Scientific Inc. All rights reserved. All trademarks are the property of Thermo Fisher Scientific and its subsidiaries unless otherwise specified.
          China flag icon
          China
          本网站销售的所有产品均不得用于人类或动物之临床诊断或治疗,仅可用于工业或者科研等非医疗目的。
             电子营业执照 | 经营证照公示 | ICP备案号:沪ICP备11003924号 | 沪公网安备 31011502006935号

          Your items have has been added!


          Host server : magellan-search-green-6479c7f679-rv8h9:80/100.66.78.195:80.
          git-commit: b70c0dceb888abc3b0dcebb5bc3a5b8753e7e816
          git-url: https://github.com/thermofisher/magellan-search
          git-branch: release/2.50.0-Offline