Hamburger Menu Button
Thermo Fisher Scientific Logo
登录
没有账号?建立账号 注册
  • 产品
    • 抗体
    • 引物合成
    • GeneArt Gene Synthesis Instant Designer
    • TaqMan Assay and Array Search
    • PCR 设备和耗材
    • 色谱柱和纯化柱
    • 实验室离心机
    • 分子生物学试剂和试剂盒
    • 实验室塑料耗材及用品
    • 查看所有产品分类
  • 应用和技术
    • 色谱
    • 细胞转染和培养
    • 实时荧光定量PCR
    • 质谱
    • 实验室塑料耗材及用品
    • 电子显微镜
    • 蛋白质生物学
    • PCR
    • RNAi
    • 环境
    • 查看所有应用和技术
  • 服务
    • 定制服务
    • 企业级实验室信息化服务
    • 金融&租赁服务
    • 仪器服务
    • OEM和商业供应
    • 培训服务
    • 360° CDMO 和 CRO 服务
    • CDMO 服务
    • 临床试验 CRO 服务
    • Unity Lab Services
    • 查看所有帮助和支持
  • 帮助和支持
    • 学习中心
    • 联系我们
    • 更改国家或地区
    • 查看所有帮助和支持
  • 热门产品
    • TaqMan Real-Time PCR Assays
      TaqMan 实时荧光定量 PCR 试剂盒
    • Antibodies
      抗体
    • Oligos, Primers & Probes
      寡核苷酸、引物、探针
    • GeneArt Gene Synthesis
      GeneArt 基因合成
    • Cell Culture Plastics
      细胞培养耗材
  • Who We Serve
    • 抗体治疗解决方案
    • 细胞与基因治疗解决方案
    • 学术科研
    • 工业与应用
  • 联系我们
  • 货号直购
  • 订单查询
  • 查找文件&证书
Thermo Fisher Scientific Logo

Search

搜索全部或下列指定分类
Search button
          • 联系我们
          • 货号直购
          • 登录
            登录
            没有账号?建立账号 注册
            • 我的账号
            • 订单
            • 会员中心
            • 账单及发票查询
            • 定制产品及项目
          • Primary Antibodies ›
          • SUMO1 Antibodies

          Invitrogen

          SUMO1 Polyclonal Antibody

          查看其他27个SUMO1抗体

          {{$productOrderCtrl.translations['antibody.pdp.commerceCard.promotion.promotions']}}

          {{$productOrderCtrl.translations['antibody.pdp.commerceCard.promotion.viewpromo']}}

          {{$productOrderCtrl.translations['antibody.pdp.commerceCard.promotion.promocode']}}: {{promo.promoCode}} {{promo.promoTitle}} {{promo.promoDescription}}. {{$productOrderCtrl.translations['antibody.pdp.commerceCard.promotion.learnmore']}}

          说明书
          证书
          实验方案
          问题与答案
          技术支持
          说明书
          证书
          实验方案
          问题与答案
          技术支持
          说明书
          证书
          实验方案
          问题与答案
          技术支持

          Cite SUMO1 Polyclonal Antibody

          Additional Information:
          {{banner.description}}
          {{$ctrl.isSkuNotesCollapsed ? 'View more' : 'View less'}}
          • 抗体检测数据 (2)
          SUMO1 Antibody in Immunohistochemistry (Paraffin) (IHC (P))
          Group 53 Created with Sketch.
          SUMO1 Antibody in Immunohistochemistry (Paraffin) (IHC (P))
          Group 53 Created with Sketch.

          图: 1 / 2

          {{ $ctrl.currentElement.advancedVerification.fullName }}
          {{ $ctrl.currentElement.advancedVerification.text }}

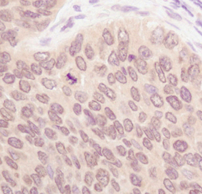
          SUMO1 Antibody (PA5-17352) in IHC (P)

          Immunohistochemical analysis of SUMO-1 in paraffin-embedded human lung carcinoma using a SUMO-1 polyclonal antibody (Product # PA5-17352). {{ $ctrl.currentElement.advancedVerification.fullName }} 验证信息 View more
          已发表图片由___提供 benchsci-logo
          PMID: {{$ctrl.currentElement.benchSciPubmedId}}
          查看产品

          {{$ctrl.videoDesc}}

          {{$ctrl.videoLongDesc}}

          SUMO1 Antibody in Immunohistochemistry (Paraffin) (IHC (P))
          SUMO1 Antibody in Western Blot (WB)

          产品信息

          PA5-17352

          应用
          建议稀释比
          已发表文章

          免疫印迹 (WB)

          1:1,000
          -

          免疫组化(石蜡) (IHC (P))

          1:50
          -

          免疫细胞化学 (ICC/IF)

          1:100
          -
          产品规格

          种属反应

          Human, Mouse, Non-human primate, Rat

          宿主/亚型

          Rabbit / IgG

          分类

          Polyclonal

          类型

          Antibody

          抗原

          Synthetic peptide corresponding to a sequence within human SUMO-1 that does not correspond to SUMO-2/3

          偶联物

          Unconjugated Unconjugated Unconjugated

          形式

          Liquid

          浓度

          75 µg/mL

          规格

          7.5 µg

          纯化类型

          Antigen affinity chromatography

          保存液

          0.01M HEPES, pH 7.5, with 0.15M NaCl, 100µg/mL BSA, 50% glycerol

          内含物

          no preservative

          保存条件

          -20°C

          运输条件

          Ambient (domestic); Wet ice (international)

          RRID

          AB_10977036

          产品详细信息

          It is not recommended to aliquot this antibody.

          靶标信息

          SUMO1 is an ubiquitin-like protein that can be covalently attached to proteins as a monomer or a lysine-linked polymer. Covalent attachment, via an isopeptide bond, to its substrates requires prior activation by the E1 complex SAE1-SAE2 and linkage to the E2 enzyme UBE2I, and can be promoted by E3 ligases such as PIAS1-4, RANBP2 or CBX4. This post-translational modification on lysine residues of proteins plays a crucial role in a number of cellular processes such as nuclear transport, DNA replication and repair, mitosis and signal transduction. SUMO1 is involved, for instance, in targeting RANGAP1 to the nuclear pore complex protein RANBP2. Polymeric SUMO1 chains are also susceptible to polyubiquitination which functions as a signal for proteasomal degradation of modified proteins. SUMO1 may also regulate a network of genes involved in palate development. Mutations in the gene can result in non-syndromic orofacial cleft 10.

          仅用于科研。不用于诊断过程。未经明确授权不得转售。

          篇参考文献 (0)

          您是否在文献中引用过该产品?请点击下方按钮邮件告知我们。
          引用该产品

          生物信息学

          蛋白别名: CG4494-PA; GAP modifying protein 1; GAP-modifying protein 1; GMP1; LD07775p; Mutations: 288:OK; OTTHUMP00000202403; OTTHUMP00000202404; OTTHUMP00000202405; OTTHUMP00000202406; OTTHUMP00000202409; OTTHUMP00000202410; Sentrin; Sentrin-1; similar to ubiquitin and to yeast Smt3p (suppressor of MIF2); Method: conceptual translation supplied by author; Small ubiquitin-related modifier 1; small ubiquitin-related modifier-1; SMT3 homolog 3; SMT3 suppressor of mif two 3 homolog 1; Smt3C; SUMO-1; SUMO-1 related peptidase; Ubiquitin-homology domain protein PIC1; ubiquitin-like 1; ubiquitin-like 1 (sentrin); ubiquitin-like protein; Ubiquitin-like protein SMT3C; Ubiquitin-like protein UBL1; UBL1; unnamed protein product

          查看更多 收起

          基因别名: DAP1; GMP1; OFC10; OK/SW-cl.43; PIC1; SENP2; SENTRIN; SMT3; SMT3C; SMT3H3; SMTP3; SUMO-1; SUMO1; UBL1

          查看更多 收起

          UniProt ID: (Human) P63165, (Mouse) P63166, (Rat) Q5I0H3

          查看更多 收起

          Entrez Gene ID: (Human) 7341, (Mouse) 22218, (Rat) 301442

          查看更多 收起

          功能
          RNA binding protein binding transcription factor binding potassium channel regulator activity enzyme binding protein tag ubiquitin protein ligase binding small protein activating enzyme binding ubiquitin-like protein ligase binding transporter activator activity ubiquitin-specific protease binding SUMO transferase activity ion channel binding poly(A) RNA binding
          参与通路
          DNA repair regulation of transcription, DNA-templated negative regulation of transcription by transcription factor localization protein sumoylation PML body organization positive regulation of protein complex assembly regulation of protein stability positive regulation of proteasomal ubiquitin-dependent protein catabolic process regulation of protein localization cellular response to heat negative regulation of protein import into nucleus negative regulation of DNA binding negative regulation of sequence-specific DNA binding transcription factor activity negative regulation of action potential negative regulation of transcription, DNA-templated protein stabilization palate development cellular response to cadmium ion regulation of cardiac muscle cell contraction protein localization to nuclear pore negative regulation of potassium ion transmembrane transporter activity negative regulation of delayed rectifier potassium channel activity regulation of calcium ion transmembrane transport positive regulation of calcium-transporting ATPase activity
          It has to be done as per old AB suggested Products section.

          Disclaimer

          Close

          Clicking the images or links will redirect you to a website hosted by BenchSci that provides third-party scientific content. Neither the content nor the BenchSci technology and processes for selection have been evaluated by us; we are providing them as-is and without warranty of any kind, including for use or application of the Thermo Fisher Scientific products presented.

          guarantee_icon

          性能保障

          只要您发现Invitrogen抗体在实验中的表现与网站或说明书的所述内容不符,您即可享受免费退换货服务。*

          了解更多
          help_icon

          随时为您服务

          获取常见问题的专家解答,或者直接联系我们的技术专家,咨询应用、设备、常规产品使用问题。

          联系技术支持
          订购 Plus Icon Minus Icon
          • 订单状态查询
          • 订单支持
          • 货号直购
          • 现货供应中心
          • 电子采购
          支持 Plus Icon Minus Icon
          • 帮助&支持
          • 联系我们 - 400 820 8982
          • 技术支持中心
          • 查找文件&证书
          • 报告网站问题
          资源 Plus Icon Minus Icon
          • 学习中心
          • 促销
          • 活动&研讨会
          • 社交媒体
          关于赛默飞 Plus Icon Minus Icon
          • 关于我们
          • 招聘 招聘
          • 投资者关系 投资者关系
          • 新闻 新闻
          • 社会责任 社会责任
          • 商标
          • 政策和通知
          品牌 Plus Icon Minus Icon
          • Thermo Scientific
          • Applied Biosystems
          • Invitrogen
          • Gibco
          • Ion Torrent
          • Unity Lab Services
          • Patheon
          • PPD
          • 服务条款
          • 隐私政策
          • 定价和运输保险政策
          © 2006-2026 Thermo Fisher Scientific Inc. All rights reserved. All trademarks are the property of Thermo Fisher Scientific and its subsidiaries unless otherwise specified.
          China flag icon
          China
          本网站销售的所有产品均不得用于人类或动物之临床诊断或治疗,仅可用于工业或者科研等非医疗目的。
             电子营业执照 | 经营证照公示 | ICP备案号:沪ICP备11003924号 | 沪公网安备 31011502006935号

          Your items have has been added!


          Host server : magellan-search-green-6479c7f679-v472f:80/100.66.78.195:80.
          git-commit: b70c0dceb888abc3b0dcebb5bc3a5b8753e7e816
          git-url: https://github.com/thermofisher/magellan-search
          git-branch: release/2.50.0-Offline