Hamburger Menu Button
Thermo Fisher Scientific Logo
登录
没有账号?建立账号 注册
  • 产品
    • 抗体
    • 引物合成
    • GeneArt Gene Synthesis Instant Designer
    • TaqMan Assay and Array Search
    • PCR 设备和耗材
    • 色谱柱和纯化柱
    • 实验室离心机
    • 分子生物学试剂和试剂盒
    • 实验室塑料耗材及用品
    • 查看所有产品分类
  • 应用和技术
    • 色谱
    • 细胞转染和培养
    • 实时荧光定量PCR
    • 质谱
    • 实验室塑料耗材及用品
    • 电子显微镜
    • 蛋白质生物学
    • PCR
    • RNAi
    • 环境
    • 查看所有应用和技术
  • 服务
    • 定制服务
    • 企业级实验室信息化服务
    • 金融&租赁服务
    • 仪器服务
    • OEM和商业供应
    • 培训服务
    • 360° CDMO 和 CRO 服务
    • CDMO 服务
    • 临床试验 CRO 服务
    • Unity Lab Services
    • 查看所有帮助和支持
  • 帮助和支持
    • 学习中心
    • 联系我们
    • 更改国家或地区
    • 查看所有帮助和支持
  • 热门产品
    • TaqMan Real-Time PCR Assays
      TaqMan 实时荧光定量 PCR 试剂盒
    • Antibodies
      抗体
    • Oligos, Primers & Probes
      寡核苷酸、引物、探针
    • GeneArt Gene Synthesis
      GeneArt 基因合成
    • Cell Culture Plastics
      细胞培养耗材
  • Who We Serve
    • 抗体治疗解决方案
    • 细胞与基因治疗解决方案
    • 学术科研
    • 工业与应用
  • 联系我们
  • 货号直购
  • 订单查询
  • 查找文件&证书
Thermo Fisher Scientific Logo

Search

搜索全部或下列指定分类
Search button
          • 联系我们
          • 货号直购
          • 登录
            登录
            没有账号?建立账号 注册
            • 我的账号
            • 订单
            • 会员中心
            • 账单及发票查询
            • 定制产品及项目
          • Primary Antibodies ›
          • Somatostatin Antibodies

          Invitrogen

          Somatostatin Monoclonal Antibody (ICDCLS), Biotin, eBioscience™

          2个已发表图片
          3 篇参考文献
          查看其他28个Somatostatin抗体

          {{$productOrderCtrl.translations['antibody.pdp.commerceCard.promotion.promotions']}}

          {{$productOrderCtrl.translations['antibody.pdp.commerceCard.promotion.viewpromo']}}

          {{$productOrderCtrl.translations['antibody.pdp.commerceCard.promotion.promocode']}}: {{promo.promoCode}} {{promo.promoTitle}} {{promo.promoDescription}}. {{$productOrderCtrl.translations['antibody.pdp.commerceCard.promotion.learnmore']}}

          说明书
          证书
          实验方案
          问题与答案
          技术支持
          说明书
          证书
          实验方案
          问题与答案
          技术支持
          说明书
          证书
          实验方案
          问题与答案
          技术支持

          Cite Somatostatin Monoclonal Antibody (ICDCLS), Biotin, eBioscience™

          Additional Information:
          {{banner.description}}
          {{$ctrl.isSkuNotesCollapsed ? 'View more' : 'View less'}}
          • 抗体检测数据 (1)
          • 已发表图片 (2)
          Somatostatin Antibody in Immunohistochemistry (Paraffin) (IHC (P))
          Group 53 Created with Sketch.
          Somatostatin Antibody in Immunohistochemistry (Paraffin) (IHC (P))
          Group 53 Created with Sketch.

          图: 1 / 3

          {{ $ctrl.currentElement.advancedVerification.fullName }}
          {{ $ctrl.currentElement.advancedVerification.text }}

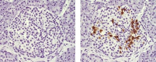
          Somatostatin Antibody (13-9751-82) in IHC (P)

          Immunohistochemistry of formalin-fixed paraffin embedded human pancreas tissue using 0.5 µg/mL Mouse IgG1 K Isotype Control Biotin (left) or 0.5 µg/mL Anti-Somatostatin Biotin followed by Avidin HRP, and DAB visualization. Nuclei are counterstained with hematoxylin. {{ $ctrl.currentElement.advancedVerification.fullName }} 验证信息 View more
          已发表图片由___提供 benchsci-logo
          PMID: {{$ctrl.currentElement.benchSciPubmedId}}
          查看产品

          {{$ctrl.videoDesc}}

          {{$ctrl.videoLongDesc}}

          Somatostatin Antibody in Immunohistochemistry (Paraffin) (IHC (P))
          Somatostatin Antibody in Immunohistochemistry (IHC)
          Somatostatin Antibody in Immunohistochemistry (IHC)

          产品信息

          13-9751-82

          应用
          建议稀释比
          已发表文章

          免疫组化 (IHC)

          -
          查看3篇已发表文章 3篇已发表文章

          免疫组化(石蜡) (IHC (P))

          0.5 µg/mL
          -
          产品规格

          种属反应

          Human, Mouse, Rat

          已发表种属

          Mouse

          宿主/亚型

          Mouse / IgG1, kappa

          推荐的同型对照

          Mouse IgG1 kappa Isotype Control (P3.6.2.8.1), Biotin, eBioscience™

          分类

          Monoclonal

          类型

          Antibody

          克隆号

          ICDCLS

          偶联物

          Biotin Biotin Biotin
          • Unconjugated
          • eFluor 660
          • Request custom conjugation

          形式

          Liquid

          浓度

          0.5 mg/mL

          规格

          100 µg

          纯化类型

          Affinity chromatography

          保存液

          PBS, pH 7.2

          内含物

          0.09% sodium azide

          保存条件

          4°C, store in dark, DO NOT FREEZE!

          运输条件

          Ambient (domestic); Wet ice (international)

          RRID

          AB_2572823

          产品详细信息

          Description: The monoclonal antibody ICDCLS recognizes human, mouse, and rat Somatostatin. Somatostatin, also known as growth hormone-inhibiting hormone (GHIH) or somatotrophin release-inhibiting factor (SRIF), is a peptide hormone with two active forms (14 and 28 amino acids) produced by alternative cleavage of a single preproprotein. Somatostatin is secreted by the delta cells of the islet of Langerhans in the pancreas as well as by the hypothalamus and intestine. Somatostatin has a variety of functions, such as regulating the endocrine system and affecting neurotransmission and cell proliferation. Somatostatin also inhibits the release of numerous secondary hormones, such as insulin and glucagon. Somatostatin can be used to identify medium size aspiny neurons in the striatum, cortex, and hippocampus. Expression of somatostatin is present in hyperplasia of the pancreatic islets as well as islet cell tumors such as somatostatinomas.

          Applications Reported: This ICDCLS antibody has been reported for use in immunohistochemical staining, and immunohistochemical staining of formalin-fixed paraffin embedded tissue sections.

          Applications Tested: This ICDCLS antibody has been tested by immunohistochemistry of formalin-fixed paraffin embedded tissue using low pH antigen retrieval and can be used at less than or equal to 0.5 µg/mL. It is recommended that the antibody be carefully titrated for opitmal performance in the assay of interest.

          Filtration: 0.2 µm post-manufacturing filtered.

          靶标信息

          The hormone somatostatin has active 14 aa and 28 aa forms that are produced by alternate cleavage of the single preproprotein encoded by this gene. Somatostatin is expressed throughout the body and inhibits the release of numerous secondary hormones by binding to high-affinity G-protein-coupled somatostatin receptors. This hormone is an important regulator of the endocrine system through its interactions with pituitary growth hormone, thyroid stimulating hormone, and most hormones of the gastrointestinal tract. Somatostatin also affects rates of neurotransmission in the central nervous system and proliferation of both normal and tumorigenic cells.

          仅用于科研。不用于诊断过程。未经明确授权不得转售。

          生物信息学

          蛋白别名: Growth hormone release-inhibiting factor; prepro-somatostatin; preprosomatostatin; Somatostatin; somatostatin 28; somatostatin-14; somatostatin-28; somatotropin release-inhibiting factor; SRIF; unnamed protein product

          查看更多 收起

          基因别名: SMST; SOM; SRIF; SS; SS-14; SS-28; SST; SST1

          查看更多 收起

          UniProt ID: (Human) P61278, (Mouse) P60041, (Rat) P60042

          查看更多 收起

          Entrez Gene ID: (Human) 6750, (Mouse) 20604, (Rat) 24797

          查看更多 收起

          功能
          hormone activity protein binding identical protein binding receptor agonist activity peptide hormone
          参与通路
          hyperosmotic response cell surface receptor signaling pathway G-protein coupled receptor signaling pathway cell-cell signaling chemical synaptic transmission response to nutrient digestion negative regulation of cell proliferation hormone-mediated apoptotic signaling pathway response to xenobiotic stimulus response to acidic pH regulation of cell migration somatostatin signaling pathway response to amino acid response to steroid hormone regulation of postsynaptic membrane neurotransmitter receptor levels response to heat response to organonitrogen compound response to drug
          It has to be done as per old AB suggested Products section.

          Disclaimer

          Close

          Clicking the images or links will redirect you to a website hosted by BenchSci that provides third-party scientific content. Neither the content nor the BenchSci technology and processes for selection have been evaluated by us; we are providing them as-is and without warranty of any kind, including for use or application of the Thermo Fisher Scientific products presented.

          guarantee_icon

          性能保障

          只要您发现Invitrogen抗体在实验中的表现与网站或说明书的所述内容不符,您即可享受免费退换货服务。*

          了解更多
          help_icon

          随时为您服务

          获取常见问题的专家解答,或者直接联系我们的技术专家,咨询应用、设备、常规产品使用问题。

          联系技术支持
          订购 Plus Icon Minus Icon
          • 订单状态查询
          • 订单支持
          • 货号直购
          • 现货供应中心
          • 电子采购
          支持 Plus Icon Minus Icon
          • 帮助&支持
          • 联系我们 - 400 820 8982
          • 技术支持中心
          • 查找文件&证书
          • 报告网站问题
          资源 Plus Icon Minus Icon
          • 学习中心
          • 促销
          • 活动&研讨会
          • 社交媒体
          关于赛默飞 Plus Icon Minus Icon
          • 关于我们
          • 招聘 招聘
          • 投资者关系 投资者关系
          • 新闻 新闻
          • 社会责任 社会责任
          • 商标
          • 政策和通知
          品牌 Plus Icon Minus Icon
          • Thermo Scientific
          • Applied Biosystems
          • Invitrogen
          • Gibco
          • Ion Torrent
          • Unity Lab Services
          • Patheon
          • PPD
          • 服务条款
          • 隐私政策
          • 定价和运输保险政策
          © 2006-2026 Thermo Fisher Scientific Inc. All rights reserved. All trademarks are the property of Thermo Fisher Scientific and its subsidiaries unless otherwise specified.
          China flag icon
          China
          本网站销售的所有产品均不得用于人类或动物之临床诊断或治疗,仅可用于工业或者科研等非医疗目的。
             电子营业执照 | 经营证照公示 | ICP备案号:沪ICP备11003924号 | 沪公网安备 31011502006935号

          Your items have has been added!


          Host server : magellan-search-green-6479c7f679-sz4vp:80/100.66.76.236:80.
          git-commit: b70c0dceb888abc3b0dcebb5bc3a5b8753e7e816
          git-url: https://github.com/thermofisher/magellan-search
          git-branch: release/2.50.0-Offline