Hamburger Menu Button
Thermo Fisher Scientific Logo
登录
没有账号?建立账号 注册
  • 产品
    • 抗体
    • 引物合成
    • GeneArt Gene Synthesis Instant Designer
    • TaqMan Assay and Array Search
    • PCR 设备和耗材
    • 色谱柱和纯化柱
    • 实验室离心机
    • 分子生物学试剂和试剂盒
    • 实验室塑料耗材及用品
    • 查看所有产品分类
  • 应用和技术
    • 色谱
    • 细胞转染和培养
    • 实时荧光定量PCR
    • 质谱
    • 实验室塑料耗材及用品
    • 电子显微镜
    • 蛋白质生物学
    • PCR
    • RNAi
    • 环境
    • 查看所有应用和技术
  • 服务
    • 定制服务
    • 企业级实验室信息化服务
    • 金融&租赁服务
    • 仪器服务
    • OEM和商业供应
    • 培训服务
    • 360° CDMO 和 CRO 服务
    • CDMO 服务
    • 临床试验 CRO 服务
    • Unity Lab Services
    • 查看所有帮助和支持
  • 帮助和支持
    • 学习中心
    • 联系我们
    • 更改国家或地区
    • 查看所有帮助和支持
  • 热门产品
    • TaqMan Real-Time PCR Assays
      TaqMan 实时荧光定量 PCR 试剂盒
    • Antibodies
      抗体
    • Oligos, Primers & Probes
      寡核苷酸、引物、探针
    • GeneArt Gene Synthesis
      GeneArt 基因合成
    • Cell Culture Plastics
      细胞培养耗材
  • Who We Serve
    • 抗体治疗解决方案
    • 细胞与基因治疗解决方案
    • 学术科研
    • 工业与应用
  • 联系我们
  • 货号直购
  • 订单查询
  • 查找文件&证书
Thermo Fisher Scientific Logo

Search

搜索全部或下列指定分类
Search button
          • 联系我们
          • 货号直购
          • 登录
            登录
            没有账号?建立账号 注册
            • 我的账号
            • 订单
            • 会员中心
            • 账单及发票查询
            • 定制产品及项目
          • Primary Antibodies ›
          • WNK1 Antibodies

          Invitrogen

          WNK1 Polyclonal Antibody

          查看其他19个WNK1抗体

          {{$productOrderCtrl.translations['antibody.pdp.commerceCard.promotion.promotions']}}

          {{$productOrderCtrl.translations['antibody.pdp.commerceCard.promotion.viewpromo']}}

          {{$productOrderCtrl.translations['antibody.pdp.commerceCard.promotion.promocode']}}: {{promo.promoCode}} {{promo.promoTitle}} {{promo.promoDescription}}. {{$productOrderCtrl.translations['antibody.pdp.commerceCard.promotion.learnmore']}}

          说明书
          证书
          实验方案
          问题与答案
          技术支持
          说明书
          证书
          实验方案
          问题与答案
          技术支持
          说明书
          证书
          实验方案
          问题与答案
          技术支持

          Cite WNK1 Polyclonal Antibody

          Additional Information:
          {{banner.description}}
          {{$ctrl.isSkuNotesCollapsed ? 'View more' : 'View less'}}
          • 抗体检测数据 (4)
          WNK1 Antibody in Immunohistochemistry (Paraffin) (IHC (P))
          Group 53 Created with Sketch.
          WNK1 Antibody in Immunohistochemistry (Paraffin) (IHC (P))
          Group 53 Created with Sketch.

          图: 1 / 4

          {{ $ctrl.currentElement.advancedVerification.fullName }}
          {{ $ctrl.currentElement.advancedVerification.text }}

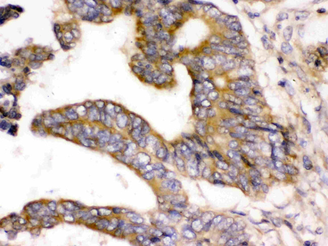
          WNK1 Antibody (PA5-80229) in IHC (P)

          Immunohistochemistry analysis of WNK1 on paraffin-embedded human intestinal cancer tissue. Sample was incubated with WNK1 polyclonal antibody (Product# PA5-80229) with a dilution of 1 µg/mL, and developed by Streptavidin-Biotin-Complex (SABC) with DAB chromogen method. {{ $ctrl.currentElement.advancedVerification.fullName }} 验证信息 View more
          已发表图片由___提供 benchsci-logo
          PMID: {{$ctrl.currentElement.benchSciPubmedId}}
          查看产品

          {{$ctrl.videoDesc}}

          {{$ctrl.videoLongDesc}}

          WNK1 Antibody in Immunohistochemistry (Paraffin) (IHC (P))
          WNK1 Antibody in Immunohistochemistry (Paraffin) (IHC (P))
          WNK1 Antibody in Immunohistochemistry (Paraffin) (IHC (P))
          WNK1 Antibody in Western Blot (WB)
          WNK1 Polyclonal Antibody

          产品信息

          PA5-80229

          应用
          建议稀释比
          已发表文章

          免疫印迹 (WB)

          0.1-0.5 µg/mL
          -

          免疫组化(石蜡) (IHC (P))

          0.5-1 µg/mL
          -
          产品规格

          种属反应

          Human, Mouse, Rat

          宿主/亚型

          Rabbit / IgG

          分类

          Polyclonal

          类型

          Antibody

          抗原

          A synthetic peptide corresponding to a sequence in the middle region of human WNK1 (1154-1195aa DNPEEIATIMVNNDFILAIERESFVDQVREIIEKADEMLSED).
          3D表位/免疫原

          偶联物

          Unconjugated Unconjugated Unconjugated

          形式

          Lyophilized

          浓度

          500 µg/mL

          规格

          100 µg

          纯化类型

          Antigen affinity chromatography

          保存液

          PBS with 5mg BSA

          内含物

          0.05mg sodium azide

          保存条件

          -20°C

          运输条件

          Ambient (domestic); Wet ice (international)

          RRID

          AB_2747343

          产品详细信息

          Reconstitute with 0.2 mL of distilled water to yield a concentration of 500 µg/mL.

          Positive Control - WB: rat testis tissue. IHC: mouse testis tissue, rat testis tissue, human intestinal cancer tissue.

          靶标信息

          WNK1 serine/threonine kinase is a member of the WNK subfamily. WNK1 may be a key regulator of blood pressure by controlling the transport of sodium and chloride ions. Mutations in this gene have been associated with pseudohypoaldosteronism type II and hereditary sensory neuropathy type II. WNK plays an important role in the regulation of electrolyte homeostasis, cell signaling, survival, and proliferation. Also, acts as an activator and inhibitor of sodium-coupled chloride cotransporters and potassium-coupled chloride cotransporters respectively. Activates SCNN1A, SCNN1B, SCNN1D, and SGK1. WNK localizes to a segment of kidney involved in salt, potassium, and pH homeostasis, the distal nephron. Mutations in the WNK gene result in Pseudohypaldosteronism and Neuropathy.

          仅用于科研。不用于诊断过程。未经明确授权不得转售。

          篇参考文献 (0)

          您是否在文献中引用过该产品?请点击下方按钮邮件告知我们。
          引用该产品

          生物信息学

          蛋白别名: Erythrocyte 65 kDa protein; hWNK1; KIAA0344; Kinase deficient protein; MGC163339; MGC163341; p65; prostate-derived sterile 20-like kinase; Protein kinase lysine-deficient 1; Protein kinase with no lysine 1; protein phosphatase 1, regulatory subunit 167; Serine/threonine-protein kinase WNK1; serine/threonine-protein kinase WNK1 1; serine/threonine-protein kinase WNK1 2; With no K

          查看更多 收起

          基因别名: 6430573H23Rik; EG406236; HSAN2; HSN2; KDP; KIAA0344; mKIAA0344; p65; PPP1R167; PRKWNK1; PSK; WNK1

          查看更多 收起

          UniProt ID: (Human) Q9H4A3, (Rat) Q9JIH7, (Mouse) P83741

          查看更多 收起

          Entrez Gene ID: (Human) 65125, (Rat) 116477, (Mouse) 232341

          查看更多 收起

          功能
          nucleotide binding protein kinase activity protein serine/threonine kinase activity protein binding ATP binding kinase activity transferase activity protein kinase binding phosphatase binding protein kinase activator activity protein serine kinase activity molecular condensate scaffold activity magnesium ion binding chloride channel inhibitor activity potassium channel inhibitor activity protein serine/threonine kinase inhibitor activity protein kinase inhibitor activity transferase activity, transferring phosphorus-containing groups non-receptor serine/threonine protein kinase
          参与通路
          regulation of sodium ion transport positive regulation of systemic arterial blood pressure protein phosphorylation ion transport cell volume homeostasis cellular response to DNA damage stimulus signal transduction heart development regulation of blood pressure negative regulation of autophagy negative regulation of sodium ion transport regulation of mRNA export from nucleus positive regulation of T cell chemotaxis cellular chloride ion homeostasis negative regulation of protein ubiquitination negative regulation of cell-cell adhesion mediated by integrin negative regulation of heterotypic cell-cell adhesion intracellular signal transduction sodium ion transmembrane transport chemokine (C-C motif) ligand 21 signaling pathway homeostatic process protein insertion into ER membrane by stop-transfer membrane-anchor sequence positive regulation of angiogenesis neuron development T cell receptor signaling pathway negative regulation of small GTPase mediated signal transduction potassium ion homeostasis cation homeostasis cellular hyperosmotic response potassium ion transmembrane transport negative regulation of pancreatic juice secretion positive regulation of canonical Wnt signaling pathway lymphocyte migration into lymph node membraneless organelle assembly regulation of sodium ion transmembrane transport negative regulation of leukocyte cell-cell adhesion negative regulation of protein localization to plasma membrane positive regulation of mitotic cytokinesis regulation of cation transmembrane transport positive regulation of termination of RNA polymerase II transcription cellular response to chemokine negative regulation of phosphatase activity negative regulation of kinase activity protein autophosphorylation regulation of cellular process negative regulation of protein serine/threonine kinase activity phosphorylation
          It has to be done as per old AB suggested Products section.

          Disclaimer

          Close

          Clicking the images or links will redirect you to a website hosted by BenchSci that provides third-party scientific content. Neither the content nor the BenchSci technology and processes for selection have been evaluated by us; we are providing them as-is and without warranty of any kind, including for use or application of the Thermo Fisher Scientific products presented.

          guarantee_icon

          性能保障

          只要您发现Invitrogen抗体在实验中的表现与网站或说明书的所述内容不符,您即可享受免费退换货服务。*

          了解更多
          help_icon

          随时为您服务

          获取常见问题的专家解答,或者直接联系我们的技术专家,咨询应用、设备、常规产品使用问题。

          联系技术支持
          订购 Plus Icon Minus Icon
          • 订单状态查询
          • 订单支持
          • 货号直购
          • 现货供应中心
          • 电子采购
          支持 Plus Icon Minus Icon
          • 帮助&支持
          • 联系我们 - 400 820 8982
          • 技术支持中心
          • 查找文件&证书
          • 报告网站问题
          资源 Plus Icon Minus Icon
          • 学习中心
          • 促销
          • 活动&研讨会
          • 社交媒体
          关于赛默飞 Plus Icon Minus Icon
          • 关于我们
          • 招聘 招聘
          • 投资者关系 投资者关系
          • 新闻 新闻
          • 社会责任 社会责任
          • 商标
          • 政策和通知
          品牌 Plus Icon Minus Icon
          • Thermo Scientific
          • Applied Biosystems
          • Invitrogen
          • Gibco
          • Ion Torrent
          • Unity Lab Services
          • Patheon
          • PPD
          • 服务条款
          • 隐私政策
          • 定价和运输保险政策
          © 2006-2026 Thermo Fisher Scientific Inc. All rights reserved. All trademarks are the property of Thermo Fisher Scientific and its subsidiaries unless otherwise specified.
          China flag icon
          China
          本网站销售的所有产品均不得用于人类或动物之临床诊断或治疗,仅可用于工业或者科研等非医疗目的。
             电子营业执照 | 经营证照公示 | ICP备案号:沪ICP备11003924号 | 沪公网安备 31011502006935号

          Your items have has been added!


          Host server : magellan-search-green-6479c7f679-2tbgc:80/100.66.78.195:80.
          git-commit: b70c0dceb888abc3b0dcebb5bc3a5b8753e7e816
          git-url: https://github.com/thermofisher/magellan-search
          git-branch: release/2.50.0-Offline