Hamburger Menu Button
Thermo Fisher Scientific Logo
登录
没有账号?建立账号 注册
  • 产品
    • 抗体
    • 引物合成
    • GeneArt Gene Synthesis Instant Designer
    • TaqMan Assay and Array Search
    • PCR 设备和耗材
    • 色谱柱和纯化柱
    • 实验室离心机
    • 分子生物学试剂和试剂盒
    • 实验室塑料耗材及用品
    • 查看所有产品分类
  • 应用和技术
    • 色谱
    • 细胞转染和培养
    • 实时荧光定量PCR
    • 质谱
    • 实验室塑料耗材及用品
    • 电子显微镜
    • 蛋白质生物学
    • PCR
    • RNAi
    • 环境
    • 查看所有应用和技术
  • 服务
    • 定制服务
    • 企业级实验室信息化服务
    • 企业服务
    • 金融&租赁服务
    • 仪器服务
    • OEM和商业供应
    • 培训服务
    • 360° CDMO 和 CRO 服务
    • CDMO 服务
    • 临床试验 CRO 服务
    • 查看所有帮助和支持
  • 帮助和支持
    • 学习中心
    • 联系我们
    • 更改国家或地区
    • 查看所有帮助和支持
  • 热门产品
    • TaqMan Real-Time PCR Assays
      TaqMan 实时荧光定量 PCR 试剂盒
    • Antibodies
      抗体
    • Oligos, Primers & Probes
      寡核苷酸、引物、探针
    • GeneArt Gene Synthesis
      GeneArt 基因合成
    • Cell Culture Plastics
      细胞培养耗材
  • 联系我们
  • 货号直购
  • 订单查询
  • 查找文件&证书
Thermo Fisher Scientific Logo

Search

搜索全部或下列指定分类
Search button
          • 联系我们
          • 货号直购
          • 登录
            登录
            没有账号?建立账号 注册
            • 我的账号
            • 订单
            • 账单及发票查询
            • 定制产品及项目

          Disclaimer

          Clicking the images or links will redirect you to a website hosted by BenchSci that provides third-party scientific content. Neither the content nor the BenchSci technology and processes for selection have been evaluated by us; we are providing them as-is and without warranty of any kind, including for use or application of the Thermo Fisher Scientific products presented.

          • Primary Antibodies ›
          • WNT10B Antibodies

          Invitrogen

          WNT10B Polyclonal Antibody

          1 篇参考文献
          查看其他10个WNT10B抗体

          {{$productOrderCtrl.translations['antibody.pdp.commerceCard.promotion.promotions']}}

          {{$productOrderCtrl.translations['antibody.pdp.commerceCard.promotion.viewpromo']}}

          {{$productOrderCtrl.translations['antibody.pdp.commerceCard.promotion.promocode']}}: {{promo.promoCode}} {{promo.promoTitle}} {{promo.promoDescription}}. {{$productOrderCtrl.translations['antibody.pdp.commerceCard.promotion.learnmore']}}

          说明书
          实验方案
          问题与答案
          技术支持
          说明书
          实验方案
          问题与答案
          技术支持
          说明书
          实验方案
          问题与答案
          技术支持

          Cite WNT10B Polyclonal Antibody

          • 抗体检测数据 (2)
          WNT10B Antibody in Immunohistochemistry (IHC)
          Group 53 Created with Sketch.
          WNT10B Antibody in Immunohistochemistry (IHC)
          Group 53 Created with Sketch.

          图: 1 / 2

          {{ $ctrl.currentElement.advancedVerification.fullName }}
          {{ $ctrl.currentElement.advancedVerification.text }}

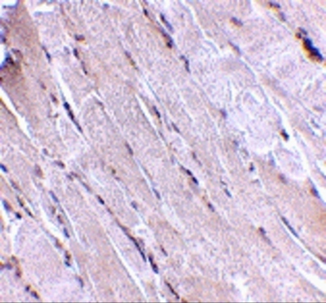
          WNT10B Antibody (PA5-20530) in IHC

          Immunohistochemistry of Wnt10b in human skeletal muscle with WNT10B Polyclonal Antibody (Product # PA5-20530) at 2.5 µg/mL. {{ $ctrl.currentElement.advancedVerification.fullName }} 验证信息 View more
          已发表图片由___提供 benchsci-logo
          PMID: {{$ctrl.currentElement.benchSciPubmedId}}
          查看产品

          {{$ctrl.videoDesc}}

          {{$ctrl.videoLongDesc}}

          WNT10B Antibody in Immunohistochemistry (IHC)
          WNT10B Antibody in Western Blot (WB)

          产品信息

          PA5-20530

          应用
          建议稀释比
          已发表文章

          免疫印迹 (WB)

          2-4 µg/mL
          查看1篇已发表文章 1篇已发表文章

          免疫组化 (IHC)

          2.5 µg/mL
          -
          产品规格

          种属反应

          Human, Mouse, Rat

          已发表种属

          Mouse

          宿主/亚型

          Rabbit / IgG

          分类

          Polyclonal

          类型

          Antibody

          抗原

          A 15 amino acid peptide from near the center of human Wnt10b.

          偶联物

          Unconjugated Unconjugated Unconjugated

          形式

          Liquid

          浓度

          1 mg/mL

          纯化类型

          Antigen affinity chromatography

          保存液

          PBS

          内含物

          0.02% sodium azide

          保存条件

          Maintain refrigerated at 2-8°C for up to 3 months. For long term storage store at -20°C

          运输条件

          Ambient (domestic); Wet ice (international)

          RRID

          AB_11152215

          产品详细信息

          A suggested positive control is human skeletal muscle tissue lysate.

          PA5-20530 can be used with blocking peptide PEP-0650.

          靶标信息

          The WNT gene family consists of structurally related genes which encode secreted signaling proteins. These proteins have been implicated in oncogenesis and in several developmental processes, including regulation of cell fate and patterning during embryogenesis. This gene is a member of the WNT gene family. It may be involved in breast cancer, and its protein signaling is likely a molecular switch that governs adipogenesis. This protein is 96% identical to the mouse Wnt10b protein at the amino acid level. This gene is clustered with another family member, WNT1, in the chromosome 12q13 region.

          仅用于科研。不用于诊断过程。未经明确授权不得转售。

          生物信息学

          蛋白别名: Protein Wnt-10b; Protein Wnt-12; wingless related MMTV integration site 10b; wingless-type MMTV integration site family member 10B; wingless-type MMTV integration site family, member 10B; WNT-10B protein; wnt-12

          查看更多 收起

          基因别名: SHFM6; Wnt-10b; WNT-12; Wnt10; WNT10B; WNT12

          查看更多 收起

          UniProt ID: (Human) O00744, (Mouse) P48614

          查看更多 收起

          Entrez Gene ID: (Human) 7480, (Rat) 315294, (Mouse) 22410

          查看更多 收起

          功能
          frizzled binding receptor agonist activity molecular_function receptor binding intercellular signal molecule
          参与通路
          G2/M transition of mitotic cell cycle negative regulation of transcription from RNA polymerase II promoter chondrocyte differentiation lipid metabolic process cell cycle arrest smoothened signaling pathway positive regulation of cell proliferation positive regulation of G2/M transition of mitotic cell cycle myoblast differentiation involved in skeletal muscle regeneration Wnt signaling pathway neuron differentiation positive regulation of bone mineralization positive regulation of epithelial cell differentiation regulation of proteasomal ubiquitin-dependent protein catabolic process positive regulation of apoptotic process cell fate commitment negative regulation of fat cell differentiation positive regulation of osteoblast differentiation positive regulation of RNA polymerase II transcriptional preinitiation complex assembly regulation of skeletal muscle tissue development skeletal muscle fiber development negative regulation of epithelial cell proliferation protein stabilization sensory perception of taste positive regulation of sequence-specific DNA binding transcription factor activity positive regulation of anagen canonical Wnt signaling pathway bone trabecula formation fungiform papilla development cellular response to retinoic acid cellular response to cAMP cellular response to parathyroid hormone stimulus hematopoietic stem cell proliferation cellular response to hydrostatic pressure positive regulation of canonical Wnt signaling pathway regulation of transcription from RNA polymerase II promoter skeletal muscle tissue regeneration regulation of fat cell differentiation positive regulation of ossification positive regulation of transcription from RNA polymerase II promoter regulation of protein metabolic process cellular response to organic substance cellular response to organic cyclic compound signal transduction cell-cell signaling multicellular organism development organ morphogenesis
          It has to be done as per old AB suggested Products section.
          guarantee_icon

          性能保障

          只要您发现Invitrogen抗体在实验中的表现与网站或说明书的所述内容不符,您即可享受免费退换货服务。*

          了解更多
          help_icon

          随时为您服务

          获取常见问题的专家解答,或者直接联系我们的技术专家,咨询应用、设备、常规产品使用问题。

          联系技术支持
          订购 Plus Icon Minus Icon
          • 订单状态查询
          • 订单支持
          • 货号直购
          • 现货供应中心
          • 电子采购
          支持 Plus Icon Minus Icon
          • 帮助&支持
          • 联系我们 - 400 820 8982
          • 技术支持中心
          • 查找文件&证书
          • 报告网站问题
          资源 Plus Icon Minus Icon
          • 学习中心
          • 促销
          • 活动&研讨会
          • 社交媒体
          关于赛默飞 Plus Icon Minus Icon
          • 关于我们
          • 招聘 招聘
          • 投资者关系 投资者关系
          • 新闻 新闻
          • 社会责任 社会责任
          • 商标
          • 政策和通知
          品牌 Plus Icon Minus Icon
          • Thermo Scientific
          • Applied Biosystems
          • Invitrogen
          • Gibco
          • Ion Torrent
          • Patheon
          • PPD
          • 服务条款
          • 隐私政策
          • 定价和运输保险政策
          © 2006-2025 Thermo Fisher Scientific Inc. All rights reserved. All trademarks are the property of Thermo Fisher Scientific and its subsidiaries unless otherwise specified.
          China flag icon
          China
          本网站销售的所有产品均不得用于人类或动物之临床诊断或治疗,仅可用于工业或者科研等非医疗目的。
             电子营业执照 | 经营证照公示 | ICP备案号:沪ICP备11003924号 | 沪公网安备 31011502006935号

          Your items have has been added!


          Host server : magellan-search-green-55658555d6-72rkq:80/100.66.79.224:80.
          git-commit: ec8e7df5f8fec8d765bd419205f1b5046a016d37
          git-url: https://github.com/thermofisher/magellan-search
          git-branch: release/2.41.0-Offline