Hamburger Menu Button
Thermo Fisher Scientific Logo
登录
没有账号?建立账号 注册
  • 产品
    • 抗体
    • 引物合成
    • GeneArt Gene Synthesis Instant Designer
    • TaqMan Assay and Array Search
    • PCR 设备和耗材
    • 色谱柱和纯化柱
    • 实验室离心机
    • 分子生物学试剂和试剂盒
    • 实验室塑料耗材及用品
    • 查看所有产品分类
  • 应用和技术
    • 色谱
    • 细胞转染和培养
    • 实时荧光定量PCR
    • 质谱
    • 实验室塑料耗材及用品
    • 电子显微镜
    • 蛋白质生物学
    • PCR
    • RNAi
    • 环境
    • 查看所有应用和技术
  • 服务
    • 定制服务
    • 企业级实验室信息化服务
    • 金融&租赁服务
    • 仪器服务
    • OEM和商业供应
    • 培训服务
    • 360° CDMO 和 CRO 服务
    • CDMO 服务
    • 临床试验 CRO 服务
    • Unity Lab Services
    • 查看所有帮助和支持
  • 帮助和支持
    • 学习中心
    • 联系我们
    • 更改国家或地区
    • 查看所有帮助和支持
  • 热门产品
    • TaqMan Real-Time PCR Assays
      TaqMan 实时荧光定量 PCR 试剂盒
    • Antibodies
      抗体
    • Oligos, Primers & Probes
      寡核苷酸、引物、探针
    • GeneArt Gene Synthesis
      GeneArt 基因合成
    • Cell Culture Plastics
      细胞培养耗材
  • Who We Serve
    • 抗体治疗解决方案
    • 细胞与基因治疗解决方案
    • 学术科研
    • 工业与应用
  • 联系我们
  • 货号直购
  • 订单查询
  • 查找文件&证书
Thermo Fisher Scientific Logo

Search

搜索全部或下列指定分类
Search button
          • 联系我们
          • 货号直购
          • 登录
            登录
            没有账号?建立账号 注册
            • 我的账号
            • 订单
            • 会员中心
            • 账单及发票查询
            • 定制产品及项目
          • Primary Antibodies ›
          • c-Myc Antibodies

          Proteintech

          c-MYC Monoclonal Antibody (3D9C12)

          66 篇参考文献
          查看其他101个c-Myc抗体

          {{$productOrderCtrl.translations['antibody.pdp.commerceCard.promotion.promotions']}}

          {{$productOrderCtrl.translations['antibody.pdp.commerceCard.promotion.viewpromo']}}

          {{$productOrderCtrl.translations['antibody.pdp.commerceCard.promotion.promocode']}}: {{promo.promoCode}} {{promo.promoTitle}} {{promo.promoDescription}}. {{$productOrderCtrl.translations['antibody.pdp.commerceCard.promotion.learnmore']}}

          说明书
          证书
          实验方案
          问题与答案
          技术支持
          说明书
          证书
          实验方案
          问题与答案
          技术支持
          说明书
          证书
          实验方案
          问题与答案
          技术支持

          Cite c-MYC Monoclonal Antibody (3D9C12)

          Additional Information:
          {{banner.description}}
          {{$ctrl.isSkuNotesCollapsed ? 'View more' : 'View less'}}
          • 抗体检测数据 (4)
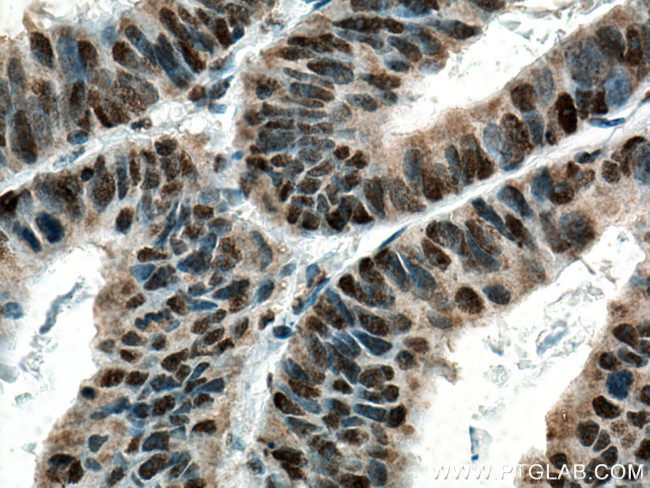
          c-MYC Antibody in Immunohistochemistry (Paraffin) (IHC (P))
          Group 53 Created with Sketch.
          c-MYC Antibody in Immunohistochemistry (Paraffin) (IHC (P))
          Group 53 Created with Sketch.

          图: 1 / 4

          {{ $ctrl.currentElement.advancedVerification.fullName }}
          {{ $ctrl.currentElement.advancedVerification.text }}

          c-MYC Antibody (67447-1-IG) in IHC (P)

          Immunohistochemical analysis of paraffin-embedded human colon cancer tissue slide using 67447-1-Ig (c-MYC antibody) at dilution of 1:1000 (under 40x lens). Heat mediated antigen retrieval with Tris-EDTA buffer (pH 9.0). {{ $ctrl.currentElement.advancedVerification.fullName }} 验证信息 View more
          已发表图片由___提供 benchsci-logo
          PMID: {{$ctrl.currentElement.benchSciPubmedId}}
          查看产品

          {{$ctrl.videoDesc}}

          {{$ctrl.videoLongDesc}}

          c-MYC Antibody in Immunohistochemistry (Paraffin) (IHC (P))
          c-MYC Antibody in Western Blot (WB)
          c-MYC Antibody in Western Blot (WB)
          c-MYC Antibody in Flow Cytometry (Flow)

          产品信息

          67447-1-IG

          应用
          建议稀释比
          已发表文章

          免疫印迹 (WB)

          1:10,000
          查看48篇已发表文章 48篇已发表文章

          免疫组化 (IHC)

          -
          查看8篇已发表文章 8篇已发表文章

          免疫组化(石蜡) (IHC (P))

          1:1,000
          -

          流式细胞分析 (Flow)

          0.2 µg
          -

          免疫沉淀 (IP)

          -
          查看10篇已发表文章 10篇已发表文章
          产品规格

          种属反应

          Human, Mouse, Rat

          宿主/亚型

          Mouse / IgG1

          分类

          Monoclonal

          类型

          Antibody

          克隆号

          3D9C12

          抗原

          MYC Fusion Protein Ag17519

          偶联物

          Unconjugated Unconjugated Unconjugated
          • CoraLite 555
          • CoraLite 594
          • CoraLite Plus 488
          • CoraLite Plus 647
          • Request custom conjugation

          形式

          Liquid

          浓度

          1000 µg/mL

          规格

          150 µg

          纯化类型

          Protein A

          保存液

          PBS, pH 7.3, with 50% glycerol

          内含物

          0.02% sodium azide

          保存条件

          -20°C

          运输条件

          Wet ice

          产品详细信息

          Aliquoting is unnecessary for -20°C storage.

          靶标信息

          The c-Myc protein is a 62 kDa transcription factor that is encoded by the c-Myc gene on human chromosome 8q24. c-Myc is commonly activated in a variety of tumor cells and plays an important role in cellular proliferation, differentiation, apoptosis and cell cycle progression. The phosphorylation of c-Myc has been investigated and previous studies have suggested a functional association between phosphorylation at Thr58/Ser62 by glycogen synthase kinase 3, cyclin dependent kinase, ERK2 and C-Jun N terminal Kinase (JNK) in cell proliferation and cell cycle regulation. Studies have shown that c-Myc is essential for vasculogenesis and angiogenesis in tumor development, which distributes blood throughout the cells. The c-myc oncogene (p62 c-myc) is involved in the control of normal cellular proliferation and differentiation, and the deregulated expression of c-Myc induces apoptosis in different cell types. Antibodies against c-myc epitopes recognize overexpressed proteins containing Myc epitope tag fused to either amino- or carboxy-termini of targeted proteins. c-Myc-, N-Myc- and L-Myc-encoded proteins function in cell proliferation, differentiation and neoplastic disease. Amplification of the c-Myc gene has been found in several types of human tumors including lung, breast and colon carcinomas, while the N-Myc gene has been found amplified in neuroblastomas. Translocation of the c-myc locus on chromosome 8 to the immunoglobulin loci on chromosome 14 (heavy chain); 2 (delta light chain); or 22 (light chain) is described in Burkitts lymphoma and other B-cell lymphoproliferative conditions. An aberrant expression of the c-myc gene occurs in tumors of different origins such as colorectal, gastric, gallbladder, hepatic, mammary, ovarian, endometrial, head and neck, pulmonary, prostatic, thyroidal, oral, ocular, nasopharyngeal, endocrine, as well as hematopoietic neoplasms.

          仅用于科研。不用于诊断过程。未经明确授权不得转售。

          生物信息学

          蛋白别名: Avian myelocytomatosis viral (v-myc) oncogene homolog; avian myelocytomatosis viral oncogene homolog; bHLHe39; c Myc; c-myc; c-myc epitope tag; c-myc protein, first expressed; c-myc proto-oncogene; Class E basic helix-loop-helix protein 39; cmyc; Myc protein; Myc proto-oncogene protein; myc-related translation/localization regulatory factor; myelocytomatosis viral oncogene homolog; ORF 114; ORF 114; putative; ORF 118; Proto-oncogene c-Myc; Transcription factor p64; unnamed protein product; v-myc avian myelocytomatosis viral oncogene homolog; v-myc myelocytomatosis viral oncogene homolog

          查看更多 收起

          基因别名: AU016757; BHLHE39; c-Myc; mMyc; MRTL; MYC; Myc2; MYCC; Niard; Nird; RNCMYC

          查看更多 收起

          UniProt ID: (Human) P01106, (Rat) P09416, (Mouse) P01108

          查看更多 收起

          Entrez Gene ID: (Human) 4609, (Rat) 24577, (Mouse) 17869

          查看更多 收起

          功能
          RNA polymerase II core promoter proximal region sequence-specific DNA binding RNA polymerase II transcription factor activity, sequence-specific DNA binding core promoter proximal region sequence-specific DNA binding core promoter sequence-specific DNA binding transcription cofactor binding transcriptional repressor activity, RNA polymerase II transcription regulatory region sequence-specific binding transcriptional activator activity, RNA polymerase II transcription regulatory region sequence-specific binding DNA binding transcription factor activity, sequence-specific DNA binding protein binding ubiquitin protein ligase binding identical protein binding macromolecular complex binding protein dimerization activity E-box binding DNA-binding transcription factor binding SCF ubiquitin ligase complex binding transcriptional activator activity, RNA polymerase II core promoter proximal region sequence-specific binding double-stranded DNA binding transcription factor binding protein complex binding sequence-specific DNA binding protein heterodimerization activity repressing transcription factor binding basic helix-loop-helix transcription factor
          参与通路
          G1/S transition of mitotic cell cycle negative regulation of transcription from RNA polymerase II promoter MAPK cascade branching involved in ureteric bud morphogenesis B cell apoptotic process NK T cell proliferation positive regulation of mesenchymal cell proliferation positive regulation of B cell apoptotic process chromatin remodeling regulation of transcription, DNA-templated regulation of transcription from RNA polymerase II promoter transcription from RNA polymerase II promoter cellular iron ion homeostasis cellular response to DNA damage stimulus cell proliferation positive regulation of cell proliferation intrinsic apoptotic signaling pathway in response to DNA damage response to radiation response to xenobiotic stimulus regulation of gene expression regulation of cell cycle process positive regulation of gene expression myotube differentiation Wnt signaling pathway rRNA metabolic process protein processing regulation of telomere maintenance positive regulation of telomere maintenance negative regulation of stress-activated MAPK cascade protein-DNA complex disassembly cellular response to UV cellular response to interferon-alpha skeletal muscle cell differentiation middle ear morphogenesis regulation of apoptotic process negative regulation of apoptotic process proteasome-mediated ubiquitin-dependent protein catabolic process response to alkaloid pigmentation hypermethylation of CpG island fibroblast apoptotic process negative regulation of monocyte differentiation positive regulation of transcription, DNA-templated positive regulation of transcription from RNA polymerase II promoter positive regulation of fibroblast proliferation negative regulation of fibroblast proliferation skeletal system morphogenesis positive regulation of epithelial cell proliferation detection of mechanical stimulus involved in sensory perception of sound chromosome organization negative regulation of cell division positive regulation of transcription initiation from RNA polymerase II promoter negative regulation of transcription initiation from RNA polymerase II promoter ERK1 and ERK2 cascade response to growth factor cellular response to hypoxia cellular response to xenobiotic stimulus positive regulation of metanephric cap mesenchymal cell proliferation positive regulation of intrinsic apoptotic signaling pathway by p53 class mediator positive regulation of pri-miRNA transcription from RNA polymerase II promoter regulation of somatic stem cell population maintenance positive regulation of acinar cell proliferation acinar cell proliferation positive regulation of apoptotic signaling pathway in utero embryonic development regulation of oxidative phosphorylation glucose metabolic process transcription, DNA-templated DNA-templated transcription, initiation pyruvate transport amino acid transport activation of cysteine-type endopeptidase activity involved in apoptotic process inner mitochondrial membrane organization cell cycle arrest regulation of mitotic cell cycle glycoprotein metabolic process pathogenesis response to wounding flavonoid metabolic process response to gamma radiation negative regulation of gene expression positive regulation of mitochondrial membrane potential transformation of host cell by virus hypothalamus development negative regulation of protein binding response to estradiol cellular response to drug response to drug positive regulation of catalytic activity positive regulation of cysteine-type endopeptidase activity involved in apoptotic process canonical Wnt signaling pathway involved in positive regulation of wound healing canonical Wnt signaling pathway involved in negative regulation of apoptotic process canonical Wnt signaling pathway involved in positive regulation of apoptotic process G0 to G1 transition positive regulation of cell cycle positive regulation of glycolytic process negative regulation of glucose import lactic acid secretion canonical Wnt signaling pathway negative regulation of cell death cellular response to carbohydrate stimulus cellular response to interleukin-1 cellular response to estrogen stimulus cellular response to organic cyclic compound cellular response to hydrostatic pressure fungal-type cell wall polysaccharide metabolic process positive regulation of cellular respiration positive regulation of DNA biosynthetic process positive regulation of response to DNA damage stimulus positive regulation of ATP biosynthetic process
          It has to be done as per old AB suggested Products section.

          Disclaimer

          Close

          Clicking the images or links will redirect you to a website hosted by BenchSci that provides third-party scientific content. Neither the content nor the BenchSci technology and processes for selection have been evaluated by us; we are providing them as-is and without warranty of any kind, including for use or application of the Thermo Fisher Scientific products presented.

          guarantee_icon

          性能保障

          只要您发现Invitrogen抗体在实验中的表现与网站或说明书的所述内容不符,您即可享受免费退换货服务。*

          了解更多
          help_icon

          随时为您服务

          获取常见问题的专家解答,或者直接联系我们的技术专家,咨询应用、设备、常规产品使用问题。

          联系技术支持
          订购 Plus Icon Minus Icon
          • 订单状态查询
          • 订单支持
          • 货号直购
          • 现货供应中心
          • 电子采购
          支持 Plus Icon Minus Icon
          • 帮助&支持
          • 联系我们 - 400 820 8982
          • 技术支持中心
          • 查找文件&证书
          • 报告网站问题
          资源 Plus Icon Minus Icon
          • 学习中心
          • 促销
          • 活动&研讨会
          • 社交媒体
          关于赛默飞 Plus Icon Minus Icon
          • 关于我们
          • 招聘 招聘
          • 投资者关系 投资者关系
          • 新闻 新闻
          • 社会责任 社会责任
          • 商标
          • 政策和通知
          品牌 Plus Icon Minus Icon
          • Thermo Scientific
          • Applied Biosystems
          • Invitrogen
          • Gibco
          • Ion Torrent
          • Unity Lab Services
          • Patheon
          • PPD
          • 服务条款
          • 隐私政策
          • 定价和运输保险政策
          © 2006-2026 Thermo Fisher Scientific Inc. All rights reserved. All trademarks are the property of Thermo Fisher Scientific and its subsidiaries unless otherwise specified.
          China flag icon
          China
          本网站销售的所有产品均不得用于人类或动物之临床诊断或治疗,仅可用于工业或者科研等非医疗目的。
             电子营业执照 | 经营证照公示 | ICP备案号:沪ICP备11003924号 | 沪公网安备 31011502006935号

          Your items have has been added!


          Host server : magellan-search-green-6479c7f679-zb4k5:80/100.66.74.142:80.
          git-commit: b70c0dceb888abc3b0dcebb5bc3a5b8753e7e816
          git-url: https://github.com/thermofisher/magellan-search
          git-branch: release/2.50.0-Offline