Hamburger Menu Button
Thermo Fisher Scientific Logo
登录
没有账号?建立账号 注册
  • 产品
    • 抗体
    • 引物合成
    • GeneArt Gene Synthesis Instant Designer
    • TaqMan Assay and Array Search
    • PCR 设备和耗材
    • 色谱柱和纯化柱
    • 实验室离心机
    • 分子生物学试剂和试剂盒
    • 实验室塑料耗材及用品
    • 查看所有产品分类
  • 应用和技术
    • 色谱
    • 细胞转染和培养
    • 实时荧光定量PCR
    • 质谱
    • 实验室塑料耗材及用品
    • 电子显微镜
    • 蛋白质生物学
    • PCR
    • RNAi
    • 环境
    • 查看所有应用和技术
  • 服务
    • 定制服务
    • 企业级实验室信息化服务
    • 金融&租赁服务
    • 仪器服务
    • OEM和商业供应
    • 培训服务
    • 360° CDMO 和 CRO 服务
    • CDMO 服务
    • 临床试验 CRO 服务
    • Unity Lab Services
    • 查看所有帮助和支持
  • 帮助和支持
    • 学习中心
    • 联系我们
    • 更改国家或地区
    • 查看所有帮助和支持
  • 热门产品
    • TaqMan Real-Time PCR Assays
      TaqMan 实时荧光定量 PCR 试剂盒
    • Antibodies
      抗体
    • Oligos, Primers & Probes
      寡核苷酸、引物、探针
    • GeneArt Gene Synthesis
      GeneArt 基因合成
    • Cell Culture Plastics
      细胞培养耗材
  • Who We Serve
    • 抗体治疗解决方案
    • 细胞与基因治疗解决方案
    • 学术科研
    • 工业与应用
  • 联系我们
  • 货号直购
  • 订单查询
  • 查找文件&证书
Thermo Fisher Scientific Logo

Search

搜索全部或下列指定分类
Search button
          • 联系我们
          • 货号直购
          • 登录
            登录
            没有账号?建立账号 注册
            • 我的账号
            • 订单
            • 会员中心
            • 账单及发票查询
            • 定制产品及项目
          • Primary Antibodies ›
          • 4-1BBL (CD137L) Antibodies

          Invitrogen

          4-1BB Ligand Polyclonal Antibody

          查看其他36个4-1BBL (CD137L)抗体

          {{$productOrderCtrl.translations['antibody.pdp.commerceCard.promotion.promotions']}}

          {{$productOrderCtrl.translations['antibody.pdp.commerceCard.promotion.viewpromo']}}

          {{$productOrderCtrl.translations['antibody.pdp.commerceCard.promotion.promocode']}}: {{promo.promoCode}} {{promo.promoTitle}} {{promo.promoDescription}}. {{$productOrderCtrl.translations['antibody.pdp.commerceCard.promotion.learnmore']}}

          说明书
          证书
          实验方案
          问题与答案
          技术支持
          说明书
          证书
          实验方案
          问题与答案
          技术支持
          说明书
          证书
          实验方案
          问题与答案
          技术支持

          Cite 4-1BB Ligand Polyclonal Antibody

          Additional Information:
          {{banner.description}}
          {{$ctrl.isSkuNotesCollapsed ? 'View more' : 'View less'}}
          • 抗体检测数据 (2)
          4-1BB Ligand Antibody in Immunohistochemistry (Paraffin) (IHC (P))
          Group 53 Created with Sketch.
          4-1BB Ligand Antibody in Immunohistochemistry (Paraffin) (IHC (P))
          Group 53 Created with Sketch.

          图: 1 / 2

          {{ $ctrl.currentElement.advancedVerification.fullName }}
          {{ $ctrl.currentElement.advancedVerification.text }}

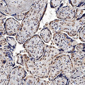
          4-1BB Ligand Antibody (PA5-47291) in IHC (P)

          Immunohistochemical analysis of 4-1BB Ligand in immersion fixed paraffin-embedded sections of human placenta. Samples were incubated with 4-1BB Ligand polyclonal antibody (Product # PA5-47291) using a dilution of 1 µg/mL for 1 hour at room temperature followed by Anti-Goat IgG VisUCyte™ HRP Polymer Antibody. Tissue was stained using DAB (brown) and counterstained with hematoxylin (blue). Specific staining w... View More {{ $ctrl.currentElement.advancedVerification.fullName }} 验证信息 View more
          已发表图片由___提供 benchsci-logo
          PMID: {{$ctrl.currentElement.benchSciPubmedId}}
          查看产品

          {{$ctrl.videoDesc}}

          {{$ctrl.videoLongDesc}}

          4-1BB Ligand Antibody in Immunohistochemistry (Paraffin) (IHC (P))
          4-1BB Ligand Antibody in Western Blot (WB)
          4-1BB Ligand Polyclonal Antibody

          产品信息

          PA5-47291

          应用
          建议稀释比
          已发表文章

          免疫印迹 (WB)

          1 µg/mL
          -

          免疫组化(石蜡) (IHC (P))

          1-15 µg/mL
          -

          流式细胞分析 (Flow)

          2.5 µg per million cells
          -
          产品规格

          种属反应

          Human

          宿主/亚型

          Goat / IgG

          分类

          Polyclonal

          类型

          Antibody

          抗原

          E. coli-derived recombinant human 4-1BB Ligand/TNFSF9 Arg71-Glu254
          3D表位/免疫原

          偶联物

          Unconjugated Unconjugated Unconjugated

          形式

          Lyophilized

          浓度

          0.2 mg/mL

          规格

          100 µg

          纯化类型

          Antigen affinity chromatography

          保存液

          PBS with 5% trehalose

          内含物

          No Preservative

          保存条件

          -20°C, Avoid Freeze/Thaw Cycles

          运输条件

          Ambient (domestic); Wet ice (international)

          RRID

          AB_2608811

          产品详细信息

          In direct ELISAs and Western blots, less than 1% cross-reactivity with recombinant mouse 4-1BB Ligand, recombinant human (rh) APRIL, rhBAFF, rhEDA-A2, rhFas Ligand, rhGITR Ligand, rhLIGHT, rhOX40 Ligand, rhTNF-alpha, rhTRAIL, and rhTWEAK is observed.

          Reconstitute at 0.2 mg/mL in sterile PBS.

          靶标信息

          CD137 ligand (CD137L) is a type II membrane protein and part of the TNF superfamily. CD137L is a co-stimulatory molecule that is expressed on antigen presenting cells (DCs, monocytes/macrophages, B cells) and is upregulated upon activation. Its receptor, CD137/4-1BB, is found on a variety of cells, including inflamed endothelial cells, where its expression enhances extravasation of CD137L expressing monocytes. Activated T cells also express CD137, and engagement with CD137L enhances T cell proliferation, IL-2 secretion, survival, and cytotoxic activity. CD137L is also expressed on a majority of B-cell lymphomas, including mantle cell lymphoma, follicular lymphoma, and diffuse large B-cell lymphoma (but it is lacking on Hodgkin lymphoma and T-cell lymphoma). CD137L is also expressed in carcinoma cell lines, and is thought to be involved in T cell-tumor cell interactions.

          仅用于科研。不用于诊断过程。未经明确授权不得转售。

          篇参考文献 (0)

          您是否在文献中引用过该产品?请点击下方按钮邮件告知我们。
          引用该产品

          生物信息学

          蛋白别名: 4 1 BB Ligand; 4 1 BBL; 4-1BB ligand; 4-1BBL; 41BB Ligand; 41BBL; CD 137 Ligand; CD 137L; CD137 Ligand; CDw137L; homolog of mouse 4-1BB-L; receptor 4-1BB ligand; TNFRSF9; tumor necrosis factor (ligand) superfamily, member 9; tumor necrosis factor ligand 5A; Tumor necrosis factor ligand superfamily member 9; tumor necrosis factor superfamily member 9; unnamed protein product

          查看更多 收起

          基因别名: 4-1BB-L; CD137L; TNFSF9; TNLG5A

          查看更多 收起

          UniProt ID: (Human) P41273

          查看更多 收起

          Entrez Gene ID: (Human) 8744

          查看更多 收起

          功能
          receptor binding cytokine activity tumor necrosis factor receptor binding protein binding tumor necrosis factor receptor superfamily binding
          参与通路
          immune response cell communication signal transduction cell-cell signaling signaling positive regulation of activated T cell proliferation regulation of T cell proliferation regulation of apoptotic process positive regulation of cytotoxic T cell differentiation
          It has to be done as per old AB suggested Products section.

          Disclaimer

          Close

          Clicking the images or links will redirect you to a website hosted by BenchSci that provides third-party scientific content. Neither the content nor the BenchSci technology and processes for selection have been evaluated by us; we are providing them as-is and without warranty of any kind, including for use or application of the Thermo Fisher Scientific products presented.

          guarantee_icon

          性能保障

          只要您发现Invitrogen抗体在实验中的表现与网站或说明书的所述内容不符,您即可享受免费退换货服务。*

          了解更多
          help_icon

          随时为您服务

          获取常见问题的专家解答,或者直接联系我们的技术专家,咨询应用、设备、常规产品使用问题。

          联系技术支持
          订购 Plus Icon Minus Icon
          • 订单状态查询
          • 订单支持
          • 货号直购
          • 现货供应中心
          • 电子采购
          支持 Plus Icon Minus Icon
          • 帮助&支持
          • 联系我们 - 400 820 8982
          • 技术支持中心
          • 查找文件&证书
          • 报告网站问题
          资源 Plus Icon Minus Icon
          • 学习中心
          • 促销
          • 活动&研讨会
          • 社交媒体
          关于赛默飞 Plus Icon Minus Icon
          • 关于我们
          • 招聘 招聘
          • 投资者关系 投资者关系
          • 新闻 新闻
          • 社会责任 社会责任
          • 商标
          • 政策和通知
          品牌 Plus Icon Minus Icon
          • Thermo Scientific
          • Applied Biosystems
          • Invitrogen
          • Gibco
          • Ion Torrent
          • Unity Lab Services
          • Patheon
          • PPD
          • 服务条款
          • 隐私政策
          • 定价和运输保险政策
          © 2006-2026 Thermo Fisher Scientific Inc. All rights reserved. All trademarks are the property of Thermo Fisher Scientific and its subsidiaries unless otherwise specified.
          China flag icon
          China
          本网站销售的所有产品均不得用于人类或动物之临床诊断或治疗,仅可用于工业或者科研等非医疗目的。
             电子营业执照 | 经营证照公示 | ICP备案号:沪ICP备11003924号 | 沪公网安备 31011502006935号

          Your items have has been added!


          Host server : magellan-search-green-6479c7f679-v472f:80/100.66.78.195:80.
          git-commit: b70c0dceb888abc3b0dcebb5bc3a5b8753e7e816
          git-url: https://github.com/thermofisher/magellan-search
          git-branch: release/2.50.0-Offline