Hamburger Menu Button
Thermo Fisher Scientific Logo
登录
没有账号?建立账号 注册
  • 产品
    • 抗体
    • 引物合成
    • GeneArt Gene Synthesis Instant Designer
    • TaqMan Assay and Array Search
    • PCR 设备和耗材
    • 色谱柱和纯化柱
    • 实验室离心机
    • 分子生物学试剂和试剂盒
    • 实验室塑料耗材及用品
    • 查看所有产品分类
  • 应用和技术
    • 色谱
    • 细胞转染和培养
    • 实时荧光定量PCR
    • 质谱
    • 实验室塑料耗材及用品
    • 电子显微镜
    • 蛋白质生物学
    • PCR
    • RNAi
    • 环境
    • 查看所有应用和技术
  • 服务
    • 定制服务
    • 企业级实验室信息化服务
    • 金融&租赁服务
    • 仪器服务
    • OEM和商业供应
    • 培训服务
    • 360° CDMO 和 CRO 服务
    • CDMO 服务
    • 临床试验 CRO 服务
    • Unity Lab Services
    • 查看所有帮助和支持
  • 帮助和支持
    • 学习中心
    • 联系我们
    • 更改国家或地区
    • 查看所有帮助和支持
  • 热门产品
    • TaqMan Real-Time PCR Assays
      TaqMan 实时荧光定量 PCR 试剂盒
    • Antibodies
      抗体
    • Oligos, Primers & Probes
      寡核苷酸、引物、探针
    • GeneArt Gene Synthesis
      GeneArt 基因合成
    • Cell Culture Plastics
      细胞培养耗材
  • Who We Serve
    • 抗体治疗解决方案
    • 细胞与基因治疗解决方案
    • 学术科研
    • 工业与应用
  • 联系我们
  • 货号直购
  • 订单查询
  • 查找文件&证书
Thermo Fisher Scientific Logo

Search

搜索全部或下列指定分类
Search button
          • 联系我们
          • 货号直购
          • 登录
            登录
            没有账号?建立账号 注册
            • 我的账号
            • 订单
            • 会员中心
            • 账单及发票查询
            • 定制产品及项目
          • Primary Antibodies ›
          • A1BG Antibodies

          Invitrogen

          A1BG Polyclonal Antibody

          查看其他11个A1BG抗体

          {{$productOrderCtrl.translations['antibody.pdp.commerceCard.promotion.promotions']}}

          {{$productOrderCtrl.translations['antibody.pdp.commerceCard.promotion.viewpromo']}}

          {{$productOrderCtrl.translations['antibody.pdp.commerceCard.promotion.promocode']}}: {{promo.promoCode}} {{promo.promoTitle}} {{promo.promoDescription}}. {{$productOrderCtrl.translations['antibody.pdp.commerceCard.promotion.learnmore']}}

          说明书
          证书
          实验方案
          问题与答案
          技术支持
          说明书
          证书
          实验方案
          问题与答案
          技术支持
          说明书
          证书
          实验方案
          问题与答案
          技术支持

          Cite A1BG Polyclonal Antibody

          Additional Information:
          {{banner.description}}
          {{$ctrl.isSkuNotesCollapsed ? 'View more' : 'View less'}}
          • 抗体检测数据 (2)
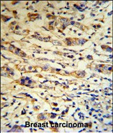
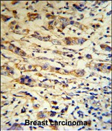
          A1BG Antibody in Immunohistochemistry (Paraffin) (IHC (P))
          Group 53 Created with Sketch.
          A1BG Antibody in Immunohistochemistry (Paraffin) (IHC (P))
          Group 53 Created with Sketch.

          图: 1 / 2

          {{ $ctrl.currentElement.advancedVerification.fullName }}
          {{ $ctrl.currentElement.advancedVerification.text }}

          A1BG Antibody (PA5-14207) in IHC (P)

          Immunohistochemistry analysis of A1BG in formalin fixed and paraffin embedded human breast carcinoma. Samples were incubated with A1BG polyclonal antibody (Product # PA5-14207) followed by peroxidase conjugation of the secondary antibody and DAB staining. This data demonstrates the use of this antibody for immunohistochemistry. Clinical relevance has not been evaluated. {{ $ctrl.currentElement.advancedVerification.fullName }} 验证信息 View more
          已发表图片由___提供 benchsci-logo
          PMID: {{$ctrl.currentElement.benchSciPubmedId}}
          查看产品

          {{$ctrl.videoDesc}}

          {{$ctrl.videoLongDesc}}

          A1BG Antibody in Immunohistochemistry (Paraffin) (IHC (P))
          A1BG Antibody in Western Blot (WB)
          A1BG Polyclonal Antibody

          产品信息

          PA5-14207

          应用
          建议稀释比
          已发表文章

          免疫印迹 (WB)

          1:1,000
          -

          免疫组化(石蜡) (IHC (P))

          1:50-1:100
          -
          产品规格

          种属反应

          Human

          宿主/亚型

          Rabbit / IgG

          分类

          Polyclonal

          类型

          Antibody

          抗原

          KLH conjugated synthetic peptide between 421-449 amino acids from the C-terminal region of human A1BG
          3D表位/免疫原

          偶联物

          Unconjugated Unconjugated Unconjugated

          形式

          Liquid

          浓度

          2 mg/mL

          规格

          800 µg

          纯化类型

          Ammonium sulfate precipitation, Size-exclusion - Dialysis

          保存液

          PBS, pH 7.4

          内含物

          0.09% sodium azide

          保存条件

          Store at 4°C short term. For long term storage, store at -20°C, avoiding freeze/thaw cycles.

          运输条件

          Ambient (domestic); Wet ice (international)

          RRID

          AB_2221309

          靶标信息

          Alpha-1-B glycoprotein (A1BG) which is a plasma protein with no known function belongs to the immunoglobulin superfamily. Although the human A1BG has been known for four decades, and the information about the amino acid sequence, chromosomal assignment, and even genetic polymorphism in different populations have been known, no biological function has been suggested. A1BG (Mr approximately equal to 63,000) consists of one polypeptide chain of 474 amino acids with four glucosamine oligosaccharides. The polypeptide has five intrachain disulfide bonds and consists of five repeating structural domains, each containing about 95 amino acids and one disulfide bond. Recently human cysteine-rich secretory protein 3 (CRISP-3) has been found to be a binding partner of A1B, suggesting the A1BG-CRISP-3 complex displays a protecting function from a potentially harmful effect of free CRISP-3 in circulation.

          仅用于科研。不用于诊断过程。未经明确授权不得转售。

          篇参考文献 (0)

          您是否在文献中引用过该产品?请点击下方按钮邮件告知我们。
          引用该产品

          生物信息学

          蛋白别名: Alpha-1-B glycoprotein; alpha-1-B-glycoprotein; Alpha-1B-glycoprotein; alpha1B-glycoprotein; DKFZp686F0970; epididymis secretory sperm binding protein Li 163pA; HEL-S-163pA; unnamed protein product

          查看更多 收起

          基因别名: A1B; A1BG; ABG; GAB; HYST2477

          查看更多 收起

          UniProt ID: (Human) P04217

          查看更多 收起

          Entrez Gene ID: (Human) 1

          查看更多 收起

          功能
          alpha-1,6-mannosyltransferase activity acyl binding ACP phosphopantetheine attachment site binding involved in fatty acid biosynthetic process tRNA binding imidazoleglycerol-phosphate synthase activity recombinase activity phosphorelay sensor kinase activity phosphorelay response regulator activity nucleotide binding 3'-5'-exoribonuclease activity rRNA (adenine-N6,N6-)-dimethyltransferase activity NAD+ diphosphatase activity N-acetylglucosaminylphosphatidylinositol deacetylase activity alanine dehydrogenase activity magnesium ion binding 3-hydroxyanthranilate 3,4-dioxygenase activity mismatch base pair DNA N-glycosylase activity adenyl-nucleotide exchange factor activity 6,7-dimethyl-8-ribityllumazine synthase activity bacterial-type RNA polymerase transcriptional activator activity, sequence-specific DNA binding lipopolysaccharide binding ATPase activator activity lipid kinase activity aminoacyl-tRNA editing activity Ser-tRNA(Ala) hydrolase activity tRNA (adenine(37)-C2)-methyltransferase activity nucleic acid binding DNA binding DNA helicase activity chromatin binding damaged DNA binding DNA replication origin binding single-stranded DNA binding transcription factor activity, sequence-specific DNA binding RNA binding RNA helicase activity double-stranded RNA binding mRNA binding structural constituent of ribosome translation initiation factor activity translation elongation factor activity translation release factor activity peptidyl-prolyl cis-trans isomerase activity catalytic activity 1-pyrroline-5-carboxylate dehydrogenase activity 1,4-alpha-glucan branching enzyme activity 2-amino-4-hydroxy-6-hydroxymethyldihydropteridine diphosphokinase activity 3-deoxy-7-phosphoheptulonate synthase activity 3-dehydroquinate dehydratase activity 3-dehydroquinate synthase activity 3-hydroxyacyl-CoA dehydrogenase activity 3-methyl-2-oxobutanoate hydroxymethyltransferase activity 3-phosphoshikimate 1-carboxyvinyltransferase activity 4-hydroxyphenylpyruvate dioxygenase activity 6-phosphofructokinase activity ATP phosphoribosyltransferase activity CDP-diacylglycerol-serine O-phosphatidyltransferase activity CTP synthase activity DNA (cytosine-5-)-methyltransferase activity DNA-directed DNA polymerase activity DNA-directed RNA polymerase activity alkylbase DNA N-glycosylase activity DNA-(apurinic or apyrimidinic site) lyase activity methylated-DNA-[protein]-cysteine S-methyltransferase activity DNA ligase (ATP) activity DNA ligase (NAD+) activity DNA topoisomerase activity DNA topoisomerase type I activity DNA topoisomerase type II (ATP-hydrolyzing) activity FMN adenylyltransferase activity GMP synthase (glutamine-hydrolyzing) activity GTPase activity GTP cyclohydrolase I activity GTP cyclohydrolase II activity IMP cyclohydrolase activity IMP dehydrogenase activity L-serine ammonia-lyase activity N-acetyl-gamma-glutamyl-phosphate reductase activity NADH dehydrogenase activity NAD(P)+ transhydrogenase (B-specific) activity NADPH:quinone reductase activity RNA-3'-phosphate cyclase activity RNA-directed DNA polymerase activity UDP-N-acetylglucosamine diphosphorylase activity UTP:glucose-1-phosphate uridylyltransferase activity acetyl-CoA C-acetyltransferase activity acetate-CoA ligase activity acetyl-CoA carboxylase activity acetylglutamate kinase activity aconitate hydratase activity acyl-CoA dehydrogenase activity acyl-CoA oxidase activity acylphosphatase activity adenine phosphoribosyltransferase activity adenosine deaminase activity adenosylhomocysteinase activity adenosylmethionine decarboxylase activity adenosylmethionine-8-amino-7-oxononanoate transaminase activity N6-(1,2-dicarboxyethyl)AMP AMP-lyase (fumarate-forming) activity adenylosuccinate synthase activity adenylylsulfate kinase activity alcohol dehydrogenase (NAD) activity allantoicase activity allantoinase activity amidophosphoribosyltransferase activity aminoacyl-tRNA hydrolase activity aminomethyltransferase activity anthranilate phosphoribosyltransferase activity anthranilate synthase activity argininosuccinate synthase activity argininosuccinate lyase activity arylsulfatase activity asparagine synthase (glutamine-hydrolyzing) activity asparaginase activity aspartate 1-decarboxylase activity aspartate carbamoyltransferase activity aspartate kinase activity aspartate-semialdehyde dehydrogenase activity biotin carboxylase activity biotin synthase activity biotin-[acetyl-CoA-carboxylase] ligase activity branched-chain-amino-acid transaminase activity carbamoyl-phosphate synthase (glutamine-hydrolyzing) activity carbonate dehydratase activity catalase activity chorismate mutase activity chorismate synthase activity coproporphyrinogen oxidase activity cyclic-nucleotide phosphodiesterase activity 2',3'-cyclic-nucleotide 3'-phosphodiesterase activity cysteine synthase activity L-seryl-tRNA(Sec) selenium transferase activity cytidine deaminase activity cytochrome-c oxidase activity cytochrome-c peroxidase activity dCMP deaminase activity 4-alpha-glucanotransferase activity deoxyribose-phosphate aldolase activity dephospho-CoA kinase activity dethiobiotin synthase activity dihydrofolate reductase activity dihydrolipoyl dehydrogenase activity dihydrolipoyllysine-residue succinyltransferase activity dihydroneopterin aldolase activity dihydroorotase activity dihydroorotate dehydrogenase activity dihydropteroate synthase activity diphosphomevalonate decarboxylase activity dUTP diphosphatase activity endopeptidase activity ATP-dependent peptidase activity aminopeptidase activity carboxypeptidase activity metallocarboxypeptidase activity aspartic-type endopeptidase activity cysteine-type endopeptidase activity calcium-dependent cysteine-type endopeptidase activity metalloendopeptidase activity serine-type endopeptidase activity threonine-type endopeptidase activity [acyl-carrier-protein] S-malonyltransferase activity 3-oxoacyl-[acyl-carrier-protein] synthase activity 3-oxoacyl-[acyl-carrier-protein] reductase (NADPH) activity enoyl-[acyl-carrier-protein] reductase (NADH) activity ferrochelatase activity tetrahydrofolylpolyglutamate synthase activity formate-tetrahydrofolate ligase activity fructose-bisphosphate aldolase activity fumarate hydratase activity glucose-6-phosphate dehydrogenase activity glutamate 5-kinase activity glutamate decarboxylase activity glutamate-ammonia ligase activity glutamate-cysteine ligase activity glutaminase activity glutamine-fructose-6-phosphate transaminase (isomerizing) activity glutathione synthase activity glutathione transferase activity glycerol-3-phosphate dehydrogenase activity glycerol kinase activity glycerone kinase activity glycine hydroxymethyltransferase activity glycogen (starch) synthase activity glycine dehydrogenase (decarboxylating) activity glycolipid mannosyltransferase activity guanylate kinase activity helicase activity histidine ammonia-lyase activity histidinol dehydrogenase activity histidinol-phosphate transaminase activity histidinol-phosphatase activity histone deacetylase activity homogentisate 1,2-dioxygenase activity homoserine dehydrogenase activity homoserine kinase activity hydroxymethylbilane synthase activity hydroxymethylglutaryl-CoA reductase (NADPH) activity indole-3-glycerol-phosphate synthase activity inorganic diphosphatase activity isocitrate dehydrogenase (NAD+) activity isocitrate dehydrogenase (NADP+) activity isocitrate lyase activity isopentenyl-diphosphate delta-isomerase activity lactoylglutathione lyase activity malate synthase activity mannose-1-phosphate guanylyltransferase activity methionine adenosyltransferase activity methionyl-tRNA formyltransferase activity methylenetetrahydrofolate dehydrogenase (NADP+) activity methylenetetrahydrofolate reductase (NAD(P)H) activity methylmalonate-semialdehyde dehydrogenase (acylating) activity methylmalonyl-CoA mutase activity mevalonate kinase activity monooxygenase activity inositol-3-phosphate synthase activity nicotinate-nucleotide diphosphorylase (carboxylating) activity nicotinate-nucleotide adenylyltransferase activity nicotinate phosphoribosyltransferase activity nuclease activity endonuclease activity endoribonuclease activity RNA-DNA hybrid ribonuclease activity ribonuclease III activity ribonuclease P activity exonuclease activity 5'-3' exoribonuclease activity deoxyribonuclease activity ribonuclease activity nucleoside diphosphate kinase activity hydrolase activity, hydrolyzing O-glycosyl compounds chitinase activity ornithine-oxo-acid transaminase activity orotate phosphoribosyltransferase activity orotidine-5'-phosphate decarboxylase activity oxoglutarate dehydrogenase (succinyl-transferring) activity pantoate-beta-alanine ligase activity pantothenate kinase activity pantetheine-phosphate adenylyltransferase activity peroxidase activity glutathione peroxidase activity phosphoadenylyl-sulfate reductase (thioredoxin) activity phosphatidate cytidylyltransferase activity phosphatidylserine decarboxylase activity phosphoenolpyruvate carboxykinase activity phosphoglucomutase activity phosphogluconate dehydrogenase (decarboxylating) activity phosphoglycerate kinase activity phosphoglycerate mutase activity phosphopantothenate--cysteine ligase activity phosphopantothenoylcysteine decarboxylase activity phosphopyruvate hydratase activity phosphoribosyl-AMP cyclohydrolase activity phosphoribosyl-ATP diphosphatase activity phosphoribosylamine-glycine ligase activity phosphoribosylaminoimidazole carboxylase activity phosphoribosylaminoimidazolesuccinocarboxamide synthase activity phosphoribosylanthranilate isomerase activity phosphoribosylformylglycinamidine cyclo-ligase activity phosphoribosylformylglycinamidine synthase activity phosphoribosylaminoimidazolecarboxamide formyltransferase activity phosphoribosylglycinamide formyltransferase activity O-phospho-L-serine:2-oxoglutarate aminotransferase activity polyribonucleotide nucleotidyltransferase activity porphobilinogen synthase activity prenyltransferase activity prephenate dehydratase activity protein-arginine deiminase activity protein kinase activity protein serine/threonine kinase activity non-membrane spanning protein tyrosine kinase activity protein-L-isoaspartate (D-aspartate) O-methyltransferase activity protein serine/threonine phosphatase activity protein tyrosine phosphatase activity oxygen-dependent protoporphyrinogen oxidase activity purine-nucleoside phosphorylase activity pyridoxamine-phosphate oxidase activity pyruvate carboxylase activity pyruvate dehydrogenase (acetyl-transferring) activity dihydrolipoyllysine-residue acetyltransferase activity pyruvate kinase activity ribonucleoside-diphosphate reductase activity, thioredoxin disulfide as acceptor ribose phosphate diphosphokinase activity ribulose-phosphate 3-epimerase activity ribose-5-phosphate isomerase activity selenide, water dikinase activity shikimate kinase activity spermidine synthase activity sulfate adenylyltransferase (ATP) activity sulfite reductase (NADPH) activity superoxide dismutase activity thiamine-phosphate diphosphorylase activity thioredoxin-disulfide reductase activity threonine aldolase activity L-threonine ammonia-lyase activity threonine synthase activity thymidine kinase activity thymidylate kinase activity thymidylate synthase activity sedoheptulose-7-phosphate:D-glyceraldehyde-3-phosphate glyceronetransferase activity transketolase activity transposase activity triglyceride lipase activity triose-phosphate isomerase activity aminoacyl-tRNA ligase activity alanine-tRNA ligase activity arginine-tRNA ligase activity asparagine-tRNA ligase activity cysteine-tRNA ligase activity glutamate-tRNA ligase activity glutamine-tRNA ligase activity glycine-tRNA ligase activity histidine-tRNA ligase activity isoleucine-tRNA ligase activity leucine-tRNA ligase activity lysine-tRNA ligase activity methionine-tRNA ligase activity phenylalanine-tRNA ligase activity proline-tRNA ligase activity serine-tRNA ligase activity threonine-tRNA ligase activity tryptophan-tRNA ligase activity tyrosine-tRNA ligase activity tryptophan 2,3-dioxygenase activity tryptophan synthase activity uracil DNA N-glycosylase activity uracil phosphoribosyltransferase activity uridine kinase activity uroporphyrin-III C-methyltransferase activity uroporphyrinogen-III synthase activity uroporphyrinogen decarboxylase activity xanthine dehydrogenase activity xylulokinase activity endopeptidase inhibitor activity transmembrane signaling receptor activity signal recognition particle binding signal sequence binding guanyl-nucleotide exchange factor activity structural molecule activity transporter activity voltage-gated chloride channel activity chloride channel activity inorganic phosphate transmembrane transporter activity oxygen transporter activity iron ion transmembrane transporter activity binding iron ion binding copper ion binding calcium ion binding protein binding ATP binding GTP binding N-acetyltransferase activity phosphoric diester hydrolase activity DNA-dependent ATPase activity peptide-methionine (S)-S-oxide reductase activity ceramide glucosyltransferase activity 4-alpha-hydroxytetrahydrobiopterin dehydratase activity acetylesterase activity transcription factor binding translation factor activity, RNA binding NADH dehydrogenase (ubiquinone) activity sulfotransferase activity methyltransferase activity N-methyltransferase activity O-methyltransferase activity S-methyltransferase activity RNA methyltransferase activity tRNA (guanine-N7-)-methyltransferase activity RNA-dependent ATPase activity tRNA guanylyltransferase activity phosphatidate phosphatase activity ferrous iron binding peptidase activity cysteine-type peptidase activity metalloexopeptidase activity serine-type peptidase activity metallopeptidase activity dipeptidyl-peptidase activity peptidyl-dipeptidase activity tRNA-specific adenosine deaminase activity nucleotidase activity 5'-nucleotidase activity zinc ion binding lipid binding double-stranded DNA 3'-5' exodeoxyribonuclease activity protein transmembrane transporter activity cation transmembrane transporter activity O-acyltransferase activity thioredoxin peroxidase activity mechanically-gated ion channel activity 3'-5' exonuclease activity 5'-3' exonuclease activity CoA-transferase activity beta-glucosidase activity ribonuclease inhibitor activity 3'(2'),5'-bisphosphate nucleotidase activity phosphofructokinase activity CDP-diacylglycerol-glycerol-3-phosphate 3-phosphatidyltransferase activity GDP-mannose 4,6-dehydratase activity N-acetylglucosamine-6-phosphate deacetylase activity RNA ligase activity dTDP-glucose 4,6-dehydratase activity queuine tRNA-ribosyltransferase activity transaminase activity sulfuric ester hydrolase activity arsenite secondary active transmembrane transporter activity protoheme IX farnesyltransferase activity ammonium transmembrane transporter activity oxidized purine nucleobase lesion DNA N-glycosylase activity potassium-transporting ATPase activity small protein activating enzyme activity rRNA methyltransferase activity penicillin binding 1-deoxy-D-xylulose-5-phosphate synthase activity RNA 2',3'-cyclic 3'-phosphodiesterase activity 2,3-dihydro-2,3-dihydroxybenzoate dehydrogenase activity (2,3-dihydroxybenzoyl)adenylate synthase activity 3-deoxy-8-phosphooctulonate synthase activity 2-oxopent-4-enoate hydratase activity 3,4-dihydroxy-2-butanone-4-phosphate synthase activity 3-deoxy-manno-octulosonate cytidylyltransferase activity 3-hydroxybutyryl-CoA epimerase activity 5-amino-6-(5-phosphoribosylamino)uracil reductase activity methionine synthase activity 8-amino-7-oxononanoate synthase activity D-alanine-D-alanine ligase activity D-lactate dehydrogenase activity GTP diphosphokinase activity L-aspartate oxidase activity N-acetylmuramoyl-L-alanine amidase activity NAD(P)+ transhydrogenase (AB-specific) activity FMN reductase activity NADPH dehydrogenase (quinone) activity O-antigen ligase activity O antigen polymerase activity S-adenosylmethionine-dependent methyltransferase activity UDP-N-acetylglucosamine 1-carboxyvinyltransferase activity UDP-N-acetylglucosamine 2-epimerase activity UDP-N-acetylmuramate dehydrogenase activity UDP-N-acetylmuramate-L-alanine ligase activity UDP-N-acetylmuramoylalanine-D-glutamate ligase activity acetylornithine deacetylase activity acyl-[acyl-carrier-protein]-UDP-N-acetylglucosamine O-acyltransferase activity alanine racemase activity arginine N-succinyltransferase activity arginine decarboxylase activity NAD+ synthase activity beta-aspartyl-peptidase activity beta-lactamase activity cardiolipin synthase activity cob(I)yrinic acid a,c-diamide adenosyltransferase activity cobalamin 5'-phosphate synthase activity crossover junction endodeoxyribonuclease activity dTDP-4-dehydrorhamnose 3,5-epimerase activity dGTPase activity diaminohydroxyphosphoribosylaminopyrimidine deaminase activity diaminopimelate decarboxylase activity diaminopimelate epimerase activity 4-hydroxy-tetrahydrodipicolinate reductase 4-hydroxy-tetrahydrodipicolinate synthase dihydrofolate synthase activity exodeoxyribonuclease V activity exodeoxyribonuclease VII activity gluconate 2-dehydrogenase activity glucose-1-phosphate adenylyltransferase activity glucose-1-phosphate thymidylyltransferase activity glutamate racemase activity glutamyl-tRNA reductase activity glycerate kinase activity guanosine-3',5'-bis(diphosphate) 3'-diphosphatase activity holo-[acyl-carrier-protein] synthase activity hydroxymethylpyrimidine kinase activity isochorismate synthase activity leucyl-tRNA--protein transferase activity lipid-A-disaccharide synthase activity lytic endotransglycosylase activity lytic transglycosylase activity inositol monophosphate 1-phosphatase activity 1,4-dihydroxy-2-naphthoyl-CoA synthase activity nicotinate-nucleotide-dimethylbenzimidazole phosphoribosyltransferase activity peptidoglycan glycosyltransferase activity phosphatidylglycerol-prolipoprotein diacylglyceryl transferase activity phospho-N-acetylmuramoyl-pentapeptide-transferase activity phosphoenolpyruvate carboxylase activity phosphoenolpyruvate-protein phosphotransferase activity phosphoglucosamine mutase activity phosphomethylpyrimidine kinase activity polyphosphate kinase activity prephenate dehydrogenase activity protein-N(PI)-phosphohistidine-sugar phosphotransferase activity protein-glutamate methylesterase activity pyruvate, water dikinase activity quinolinate synthetase A activity rRNA (guanine-N2-)-methyltransferase activity peptide-alanine-alpha-N-acetyltransferase activity serine O-acetyltransferase activity serine-type D-Ala-D-Ala carboxypeptidase activity site-specific recombinase activity succinyl-diaminopimelate desuccinylase activity N-succinylarginine dihydrolase activity tRNA nucleotidyltransferase activity tetraacyldisaccharide 4'-kinase activity thiamine-phosphate kinase activity tyrosine-based site-specific recombinase activity urease activity electron carrier activity biotin binding four-way junction helicase activity excinuclease ABC activity cyclase activity proton motive force dependent protein transmembrane transporter activity pseudouridine synthase activity FMN binding [heparan sulfate]-glucosamine N-sulfotransferase activity protein disulfide oxidoreductase activity disulfide oxidoreductase activity ion transmembrane transporter activity hydrogen ion transmembrane transporter activity potassium ion transmembrane transporter activity cobalt ion transmembrane transporter activity magnesium ion transmembrane transporter activity molybdate ion transmembrane transporter activity inorganic anion transmembrane transporter activity chromate transmembrane transporter activity sialic acid transmembrane transporter activity carbohydrate transmembrane transporter activity polysaccharide transmembrane transporter activity amino acid transmembrane transporter activity lipopolysaccharide transmembrane transporter activity heme transporter activity water channel activity hydrogen ion channel activity channel activity porin activity secondary active transmembrane transporter activity symporter activity antiporter activity siderophore transmembrane transporter activity sodium:proton antiporter activity ABC-type molybdate transporter activity phosphate ion transmembrane-transporting ATPase activity ABC-type sulfate transporter activity ABC-type amino acid transporter activity heme-transporting ATPase activity magnesium-importing ATPase activity P-P-bond-hydrolysis-driven protein transmembrane transporter activity fimbrial usher porin activity efflux transmembrane transporter activity fatty acid ligase activity ATPase activity, coupled to transmembrane movement of ions, phosphorylative mechanism glutamate synthase activity peptidoglycan receptor activity maleylacetoacetate isomerase activity translation release factor activity, codon specific nickel cation binding urocanate hydratase activity phytoene dehydrogenase activity AMP binding antioxidant activity lipase activity kinase activity dimethylargininase activity CoA-ligase activity acetyltransferase activity N-acyltransferase activity CoA carboxylase activity tRNA (adenine-N6-)-methyltransferase activity tRNA-uridine aminocarboxypropyltransferase activity rRNA (adenine) methyltransferase activity rRNA (cytosine) methyltransferase activity pyrophosphatase activity oxidoreductase activity metallochaperone activity amino acid binding oxidoreductase activity, acting on CH-OH group of donors oxidoreductase activity, acting on the CH-OH group of donors, NAD or NADP as acceptor oxidoreductase activity, acting on the aldehyde or oxo group of donors, NAD or NADP as acceptor oxidoreductase activity, acting on the aldehyde or oxo group of donors, disulfide as acceptor oxidoreductase activity, acting on the CH-CH group of donors oxidoreductase activity, acting on the CH-CH group of donors, NAD or NADP as acceptor oxidoreductase activity, acting on the CH-NH2 group of donors, NAD or NADP as acceptor oxidoreductase activity, acting on the CH-NH2 group of donors, oxygen as acceptor oxidoreductase activity, acting on the CH-NH group of donors oxidoreductase activity, acting on the CH-NH group of donors, oxygen as acceptor oxidoreductase activity, acting on NAD(P)H oxidoreductase activity, acting on NAD(P)H, quinone or similar compound as acceptor oxidoreductase activity, acting on a sulfur group of donors oxidoreductase activity, acting on a sulfur group of donors, oxygen as acceptor oxidoreductase activity, acting on single donors with incorporation of molecular oxygen, incorporation of two atoms of oxygen oxidoreductase activity, acting on single donors with incorporation of molecular oxygen, incorporation of one atom of oxygen (internal monooxygenases or internal mixed function oxidases) oxidoreductase activity, acting on paired donors, with incorporation or reduction of molecular oxygen oxidoreductase activity, acting on paired donors, with incorporation or reduction of molecular oxygen, 2-oxoglutarate as one donor, and incorporation of one atom each of oxygen into both donors oxidoreductase activity, acting on paired donors, with incorporation or reduction of molecular oxygen, NAD(P)H as one donor, and incorporation of one atom of oxygen oxidoreductase activity, acting on paired donors, with incorporation or reduction of molecular oxygen, reduced flavin or flavoprotein as one donor, and incorporation of one atom of oxygen oxidoreductase activity, acting on paired donors, with oxidation of a pair of donors resulting in the reduction of molecular oxygen to two molecules of water oxidoreductase activity, oxidizing metal ions transferase activity carboxyl- or carbamoyltransferase activity transferase activity, transferring acyl groups transferase activity, transferring acyl groups other than amino-acyl groups transferase activity, transferring amino-acyl groups transferase activity, transferring glycosyl groups transferase activity, transferring hexosyl groups transferase activity, transferring alkyl or aryl (other than methyl) groups transferase activity, transferring phosphorus-containing groups phosphotransferase activity, alcohol group as acceptor phosphotransferase activity, phosphate group as acceptor nucleotidyltransferase activity phosphotransferase activity, for other substituted phosphate groups transferase activity, transferring sulfur-containing groups sulfurtransferase activity hydrolase activity hydrolase activity, acting on ester bonds thiolester hydrolase activity phosphatase activity hydrolase activity, acting on glycosyl bonds hydrolase activity, hydrolyzing N-glycosyl compounds dipeptidase activity hydrolase activity, acting on carbon-nitrogen (but not peptide) bonds hydrolase activity, acting on carbon-nitrogen (but not peptide) bonds, in linear amides hydrolase activity, acting on carbon-nitrogen (but not peptide) bonds, in cyclic amides hydrolase activity, acting on carbon-nitrogen (but not peptide) bonds, in linear amidines hydrolase activity, acting on acid anhydrides hydrolase activity, acting on acid anhydrides, in phosphorus-containing anhydrides lyase activity carbon-carbon lyase activity carboxy-lyase activity aldehyde-lyase activity carbon-oxygen lyase activity hydro-lyase activity ammonia-lyase activity carbon-sulfur lyase activity phosphorus-oxygen lyase activity isomerase activity racemase and epimerase activity, acting on amino acids and derivatives intramolecular transferase activity intramolecular transferase activity, phosphotransferases intramolecular lyase activity ligase activity ligase activity, forming carbon-nitrogen bonds acid-amino acid ligase activity carbon-nitrogen ligase activity, with glutamine as amido-N-donor ATPase activity endoribonuclease activity, producing 5'-phosphomonoesters oxidoreductase activity, acting on the CH-OH group of donors, quinone or similar compound as acceptor sigma factor activity lipoate synthase activity 6-phosphogluconolactonase activity S-methyl-5-thioadenosine phosphorylase activity phospholipid scramblase activity NAD-dependent histone deacetylase activity tRNA dihydrouridine synthase activity cysteine dioxygenase activity formaldehyde dehydrogenase activity S-formylglutathione hydrolase activity haloalkane dehalogenase activity DNA N-glycosylase activity hydrolase activity, acting on acid halide bonds, in C-halide compounds glucosamine-1-phosphate N-acetyltransferase activity deoxynucleoside kinase activity isoamylase activity 3-hydroxyacyl-[acyl-carrier-protein] dehydratase activity glyoxalase III activity carbohydrate kinase activity nucleobase-containing compound kinase activity deacetylase activity deaminase activity oxygen binding cation-transporting ATPase activity rRNA binding heme binding transmembrane transporter activity manganese ion binding molybdenum ion binding pyridoxal phosphate binding carbohydrate binding cellulose binding 5-formyltetrahydrofolate cyclo-ligase activity kynureninase activity structural constituent of chromatin cyclic nucleotide binding cAMP binding adenyl nucleotide binding arsenate reductase (thioredoxin) activity potassium ion binding molybdate ion binding thiamine pyrophosphate binding mismatched DNA binding cysteine desulfurase activity phosphopantetheine binding L-ascorbic acid binding cobalamin binding energy transducer activity purine ribonucleotide binding ABC-type D-methionine transporter activity arogenate dehydrogenase (NADP+) activity preQ1 synthase activity peptide-methionine (R)-S-oxide reductase activity L-methionine:thioredoxin-disulfide S-oxidoreductase activity lipoyl(octanoyl) transferase activity pyridoxine 5'-phosphate synthase activity UMP kinase activity ribonuclease D activity peptidoglycan beta-N-acetylmuramidase activity 4-alpha-D-(1->4)-alpha-D-glucanotrehalose trehalohydrolase activity hydroxyisourate hydrolase activity 5-(carboxyamino)imidazole ribonucleotide synthase activity cyclic-di-GMP binding methylthiotransferase activity oligopeptide transmembrane transporter activity glutathione hydrolase activity proteasome-activating ATPase activity L-phosphoserine phosphatase activity signaling receptor activity fructose 1,6-bisphosphate 1-phosphatase activity nitrite reductase (cytochrome, ammonia-forming) activity glutamate-1-semialdehyde 2,1-aminomutase activity phosphoric ester hydrolase activity peptide deformylase activity ATPase coupled ion transmembrane transporter activity ATPase activity, coupled to transmembrane movement of substances identical protein binding protein homodimerization activity peptidoglycan binding xenobiotic transporter activity benzoate transmembrane transporter activity ribosome binding precorrin-2 dehydrogenase activity 3'-5' DNA helicase activity cation binding glutathione binding molybdopterin cofactor binding sequence-specific DNA binding 3-keto-5-aminohexanoate cleavage activity LPPG:FO 2-phospho-L-lactate transferase activity phosphate:acyl-[acyl carrier protein] acyltransferase activity anti-sigma factor antagonist activity N-acetylornithine carbamoyltransferase activity protein binding involved in protein folding DNA end binding translation regulator activity gluconokinase activity 1,4-dihydroxy-2-naphthoate octaprenyltransferase activity S-methyl-5-thioribose-1-phosphate isomerase activity metal ion binding metal ion transmembrane transporter activity transferase activity, transferring acyl groups, acyl groups converted into alkyl on transfer proton-transporting ATP synthase activity, rotational mechanism proton-transporting ATPase activity, rotational mechanism protein dimerization activity N-acyl-D-amino-acid deacylase activity nucleoside-triphosphate diphosphatase activity (1,4)-alpha-D-glucan 1-alpha-D-glucosylmutase activity maltose alpha-D-glucosyltransferase activity phenylacetate-CoA ligase activity UDP-N-acetylmuramoyl-tripeptide-D-alanyl-D-alanine ligase activity acyl-CoA hydrolase activity aspartate 4-decarboxylase activity glycerol-3-phosphate dehydrogenase [NAD(P)+] activity hydroxyacid-oxoacid transhydrogenase activity quinone binding ubiquinone binding UDP-glucuronate decarboxylase activity lactate racemase activity NAD(P)+ nucleosidase activity NADH dehydrogenase (quinone) activity plasmanylethanolamine desaturase activity undecaprenyl-diphosphatase activity formimidoylglutamate deiminase activity imidazolonepropionase activity undecaprenyldiphospho-muramoylpentapeptide beta-N-acetylglucosaminyltransferase activity poly(3-hydroxybutyrate) depolymerase activity glutaminyl-tRNA synthase (glutamine-hydrolyzing) activity protein-glutamine glutaminase activity 4-hydroxythreonine-4-phosphate dehydrogenase activity flavin adenine dinucleotide binding NADP binding cobalt ion binding adenosylcobinamide-GDP ribazoletransferase activity unfolded protein binding chaperone binding glucan endo-1,3-alpha-glucosidase activity metal ion:proton antiporter activity dioxygenase activity phosphoprotein binding NAD binding iron-sulfur cluster binding 2 iron, 2 sulfur cluster binding 4 iron, 4 sulfur cluster binding polynucleotide 5'-hydroxyl-kinase activity S-(hydroxymethyl)glutathione dehydrogenase activity peroxiredoxin activity coproporphyrinogen dehydrogenase activity tRNA dimethylallyltransferase activity diguanylate cyclase activity 2-phytyl-1,4-naphthoquinone methyltransferase activity carboxylic ester hydrolase activity epoxyqueuosine reductase activity histidine N-methyltransferase activity pyruvate dehydrogenase (quinone) activity ferric-chelate reductase (NADPH) activity FMN reductase (NADPH) activity tRNA (guanine(37)-N(1))-methyltransferase activity 16S rRNA (guanine(966)-N(2))-methyltransferase activity ATP:3'-cytidine-cytidine-tRNA adenylyltransferase activity tRNA threonylcarbamoyladenosine dehydratase molybdopterin molybdotransferase activity molybdenum cofactor guanylyltransferase activity L-threonylcarbamoyladenylate synthase cyclic pyranopterin monophosphate synthase activity gamma-glutamylaminecyclotransferase activity metalloaminopeptidase activity glutamic-type endopeptidase activity serine-type exopeptidase activity serine-type aminopeptidase activity rRNA (adenine(2503)-C2-)-methyltransferase activity RNA polymerase binding proline-rich region binding 2-succinyl-5-enolpyruvyl-6-hydroxy-3-cyclohexene-1-carboxylic-acid synthase activity 2-succinyl-6-hydroxy-2,4-cyclohexadiene-1-carboxylate synthase activity NADP+ binding NADPH binding NAD+ binding NADH binding metallodipeptidase activity protein adenylyltransferase activity serine binding coenzyme F420 binding pyrroloquinoline quinone binding cyclic-guanylate-specific phosphodiesterase activity FAD binding peptidoglycan L,D-transpeptidase activity sulfur carrier activity carbohydrate derivative binding UDP-3-O-acyl-N-acetylglucosamine deacetylase activity purine phosphoribosyltransferase activity coenzyme A binding limit dextrin alpha-1,6-maltotetraose-hydrolase activity class I DNA-(apurinic or apyrimidinic site) endonuclease activity catalytic activity, acting on RNA transcription regulator activity P-type transmembrane transporter activity ABC-type transporter activity ATP-dependent chromatin remodeler activity ATP-dependent protein folding chaperone ATP-dependent FeS chaperone activity tRNA (cytidine(34)-2'-O)-methyltransferase activity S-adenosyl-L-methionine binding peptide transmembrane transporter activity thiazole synthase activity RNA adenylyltransferase activity starch binding
          参与通路
          ribosomal large subunit assembly ribosomal small subunit assembly sulfate assimilation histidine biosynthetic process phosphorelay signal transduction system tryptophan biosynthetic process allantoin catabolic process peptidoglycan metabolic process polysaccharide biosynthetic process Group II intron splicing protein peptidyl-prolyl isomerization rRNA 2'-O-methylation cell morphogenesis cytokinesis RNA methylation selenocysteine incorporation pseudouridine synthesis selenium compound metabolic process tRNA wobble uridine modification tRNA wobble adenosine to inosine editing immune response-regulating signaling pathway tRNA dihydrouridine synthesis tRNA threonylcarbamoyladenosine modification carbohydrate metabolic process glycogen biosynthetic process glycogen catabolic process trehalose metabolic process trehalose biosynthetic process xylulose catabolic process fructose 6-phosphate metabolic process glucose metabolic process UDP-glucose metabolic process 5-phosphoribose 1-diphosphate biosynthetic process inositol metabolic process inositol biosynthetic process chitin catabolic process N-acetylglucosamine metabolic process UDP-N-acetylglucosamine biosynthetic process glycerol metabolic process glycerol-3-phosphate metabolic process acetyl-CoA biosynthetic process from pyruvate pyruvate metabolic process gluconeogenesis glycolytic process glyoxylate cycle pentose-phosphate shunt tricarboxylic acid cycle isocitrate metabolic process fumarate metabolic process regulation of carbohydrate metabolic process oxidative phosphorylation nucleobase-containing compound metabolic process purine nucleobase metabolic process purine nucleotide metabolic process purine nucleotide biosynthetic process purine ribonucleoside salvage GMP biosynthetic process 'de novo' IMP biosynthetic process pyrimidine nucleobase metabolic process 'de novo' pyrimidine nucleobase biosynthetic process pyrimidine nucleotide metabolic process pyrimidine nucleotide biosynthetic process UMP biosynthetic process dUMP biosynthetic process dTMP biosynthetic process dTDP biosynthetic process CTP biosynthetic process DNA metabolic process DNA replication DNA-dependent DNA replication DNA topological change DNA replication, synthesis of RNA primer DNA replication initiation regulation of DNA replication DNA repair regulation of DNA repair base-excision repair base-excision repair, AP site formation nucleotide-excision repair mismatch repair double-strand break repair double-strand break repair via nonhomologous end joining DNA modification DNA catabolic process DNA recombination transposition, DNA-mediated transcription, DNA-templated DNA-templated transcription, initiation DNA-templated transcription, termination DNA-templated transcription, elongation regulation of transcription, DNA-templated rRNA processing RNA processing tRNA modification mRNA catabolic process translation translational initiation translational elongation translational termination tRNA aminoacylation for protein translation alanyl-tRNA aminoacylation arginyl-tRNA aminoacylation asparaginyl-tRNA aminoacylation cysteinyl-tRNA aminoacylation glutamyl-tRNA aminoacylation glutaminyl-tRNA aminoacylation glycyl-tRNA aminoacylation histidyl-tRNA aminoacylation isoleucyl-tRNA aminoacylation leucyl-tRNA aminoacylation lysyl-tRNA aminoacylation methionyl-tRNA aminoacylation phenylalanyl-tRNA aminoacylation prolyl-tRNA aminoacylation seryl-tRNA aminoacylation threonyl-tRNA aminoacylation tryptophanyl-tRNA aminoacylation tyrosyl-tRNA aminoacylation regulation of translational fidelity protein folding signal peptide processing protein phosphorylation protein dephosphorylation protein demethylation protein glycosylation protein O-linked glycosylation GPI anchor biosynthetic process proteolysis cellular amino acid metabolic process alanine metabolic process alanine biosynthetic process arginine biosynthetic process arginine catabolic process asparagine metabolic process asparagine biosynthetic process aspartate metabolic process cysteine metabolic process cysteine biosynthetic process from serine glutamate biosynthetic process glutamate decarboxylation to succinate glutamine metabolic process glutamine biosynthetic process histidine catabolic process S-adenosylmethionine biosynthetic process L-phenylalanine catabolic process proline biosynthetic process L-serine biosynthetic process threonine catabolic process tryptophan catabolic process tyrosine biosynthetic process tyrosine catabolic process ornithine biosynthetic process protein targeting SRP-dependent cotranslational protein targeting to membrane lipid metabolic process fatty acid metabolic process fatty acid biosynthetic process fatty acid beta-oxidation unsaturated fatty acid biosynthetic process acyl-CoA metabolic process phosphatidic acid biosynthetic process glycosphingolipid metabolic process tetrahydrobiopterin biosynthetic process one-carbon metabolic process NADP biosynthetic process ubiquinone biosynthetic process glutathione metabolic process glutathione biosynthetic process glutathione catabolic process ATP biosynthetic process folic acid-containing compound metabolic process Mo-molybdopterin cofactor biosynthetic process porphyrin-containing compound biosynthetic process uroporphyrinogen III biosynthetic process protoporphyrinogen IX biosynthetic process heme biosynthetic process sulfur compound metabolic process phosphate-containing compound metabolic process polyphosphate biosynthetic process superoxide metabolic process transport ion transport cation transport potassium ion transport sodium ion transport phosphate ion transport chloride transport cobalt ion transport iron ion transport water transport drug transmembrane transport oligopeptide transport amino acid transport lipid transport regulation of pH intracellular protein transport retrograde vesicle-mediated transport, Golgi to ER chemotaxis response to stress cellular response to DNA damage stimulus response to oxidative stress Golgi organization chromosome segregation signal transduction multicellular organism development tRNA processing metabolic process spermidine biosynthetic process isoprenoid biosynthetic process regulation of cell shape respiratory chain complex IV assembly lipid biosynthetic process ether lipid biosynthetic process peptidyl-lysine modification to peptidyl-hypusine pyridoxine biosynthetic process queuosine biosynthetic process carbohydrate transport cellular amino acid biosynthetic process phospholipid biosynthetic process pentose-phosphate shunt, non-oxidative branch biosynthetic process aerobic respiration aspartate family amino acid biosynthetic process aromatic amino acid family metabolic process aromatic amino acid family biosynthetic process branched-chain amino acid metabolic process methionine biosynthetic process threonine biosynthetic process lysine biosynthetic process via diaminopimelate L-phenylalanine biosynthetic process biotin biosynthetic process lipopolysaccharide biosynthetic process lipoate biosynthetic process purine nucleobase biosynthetic process xanthine catabolic process nucleoside metabolic process nucleotide metabolic process nucleoside diphosphate metabolic process nucleoside triphosphate catabolic process purine nucleoside triphosphate catabolic process purine ribonucleotide biosynthetic process ribonucleoside monophosphate biosynthetic process nucleotide biosynthetic process nucleotide catabolic process cyclic nucleotide biosynthetic process pyrimidine ribonucleotide biosynthetic process thiamine biosynthetic process thiamine diphosphate biosynthetic process menaquinone biosynthetic process cobalamin biosynthetic process lipopolysaccharide core region biosynthetic process lipid A biosynthetic process protein lipoylation peptidoglycan biosynthetic process peptidoglycan catabolic process deoxyribonucleotide biosynthetic process deoxyribonucleotide catabolic process 2'-deoxyribonucleotide biosynthetic process response to pH DNA import into cell involved in transformation DNA mediated transformation pilus assembly GDP-mannose biosynthetic process rRNA transcription protein secretion DNA restriction-modification system folic acid-containing compound biosynthetic process nitrogen fixation phosphoenolpyruvate-dependent sugar phosphotransferase system toxin biosynthetic process response to heat chorismate biosynthetic process SOS response NAD biosynthetic process UV protection cytokinin biosynthetic process regulation of signal transduction response to metal ion phenylacetate catabolic process proline catabolic process to glutamate negative regulation of endopeptidase activity protein transport DNA integration protein secretion by the type II secretion system molybdate ion transport magnesium ion transport arsenite transport chromate transport sialic acid transport polysaccharide transport branched-chain amino acid transport peptide transport amine transport heme transport siderophore transport phospholipid transport lipopolysaccharide transport coenzyme A metabolic process coenzyme A biosynthetic process pantothenate biosynthetic process pantothenate catabolic process nucleobase-containing small molecule interconversion guanosine tetraphosphate biosynthetic process carbon fixation ATP synthesis coupled proton transport electron transport coupled proton transport CDP-diacylglycerol biosynthetic process viral process lipid catabolic process rRNA catabolic process terpenoid biosynthetic process carotenoid biosynthetic process sterol biosynthetic process iron-sulfur cluster assembly phosphorylation dephosphorylation intein-mediated protein splicing protein autoprocessing cell wall macromolecule catabolic process antibiotic biosynthetic process cytochrome complex assembly protein import phospholipid scrambling negative regulation of translation peptidoglycan-protein cross-linking peptidyl-amino acid modification protein deamination peptidyl-L-beta-methylthioaspartic acid biosynthetic process from peptidyl-aspartic acid peptidyl-glutamine methylation virion attachment to host cell virion assembly viral protein processing nonribosomal peptide biosynthetic process glycine biosynthetic process from serine UDP-N-acetylgalactosamine biosynthetic process isopentenyl diphosphate biosynthetic process, mevalonate pathway siderophore biosynthetic process dTDP-rhamnose biosynthetic process cysteine biosynthetic process transsulfuration siroheme biosynthetic process sulfate assimilation, phosphoadenylyl sulfate reduction by phosphoadenylyl-sulfate reductase (thioredoxin) acetyl-CoA biosynthetic process from acetate removal of superoxide radicals tryptophan catabolic process to kynurenine glycine decarboxylation via glycine cleavage system L-lysine catabolic process to acetate L-methionine biosynthetic process from methylthioadenosine histidine catabolic process to glutamate and formamide histidine catabolic process to glutamate and formate urea metabolic process urate catabolic process aerobic electron transport chain GDP-mannose metabolic process NAD metabolic process carboxylic acid metabolic process cytolysis lysine biosynthetic process via aminoadipic acid electron transport chain metal ion transport protein repair protein catabolic process negative regulation of Wnt signaling pathway cellulose catabolic process protein secretion by the type III secretion system chromosome condensation establishment of competence for transformation sporulation resulting in formation of a cellular spore tRNA methylation maturation of SSU-rRNA polyketide metabolic process polyketide biosynthetic process cellular phosphate ion homeostasis rRNA methylation peptide modification gas vesicle organization regulation of DNA-templated transcription, termination cardiolipin biosynthetic process transposition methylation regulation of DNA-templated transcription, elongation monocarboxylic acid metabolic process tetrapyrrole biosynthetic process protein secretion by the type VI secretion system lipid translocation carbohydrate transmembrane transport ion transmembrane transport iron ion transmembrane transport phosphate ion transmembrane transport intracellular signal transduction protein modification process interstrand cross-link repair protein refolding lipoprotein biosynthetic process regulation of sporulation resulting in formation of a cellular spore RNA repair ribosome biogenesis ribosomal small subunit biogenesis phylloquinone biosynthetic process arginine biosynthetic process via ornithine cell wall biogenesis D-xylose metabolic process ATP synthesis coupled electron transport tRNA 3'-end processing L-alanine catabolic process xenobiotic transport benzoate transport lipoprotein transport amino acid activation tRNA aminoacylation FtsZ-dependent cytokinesis purine-containing compound salvage type IV pilus-dependent motility DNA replication, removal of RNA primer Gram-negative-bacterium-type cell outer membrane assembly protein unfolding regulation of ATPase activity maintenance of CRISPR repeat elements polyadenylation-dependent RNA catabolic process type IV pilus assembly pilus organization sporulation protein transport by the Sec complex protein transport by the Tat complex membrane biogenesis [2Fe-2S] cluster assembly bacterial-type flagellum assembly bacterial-type flagellum organization lipoprotein localization to outer membrane glycerolipid biosynthetic process innate immune response capsule polysaccharide biosynthetic process cell redox homeostasis negative regulation of proteolysis negative regulation of transcription, DNA-templated negative regulation of translational elongation negative regulation of DNA recombination negative regulation of phosphate metabolic process dUTP catabolic process 7-methylguanosine biosynthetic process glycerol-3-phosphate biosynthetic process formaldehyde metabolic process formaldehyde catabolic process amino sugar catabolic process S-adenosylmethionine metabolic process tetrahydrofolate biosynthetic process response to antibiotic response to arsenic-containing substance viral entry into host cell D-methionine transport 3'-phosphoadenosine 5'-phosphosulfate metabolic process 'de novo' cotranslational protein folding protein insertion into membrane regulation of RNA metabolic process cell division methylglyoxal catabolic process proteolysis involved in cellular protein catabolic process protein maturation defense response to virus ergothioneine biosynthetic process transmembrane transport membrane organization intracellular protein transmembrane transport protein-containing complex assembly rRNA base methylation cell wall organization CAAX-box protein processing membrane assembly bacillithiol biosynthetic process potassium ion transmembrane transport conversion of methionyl-tRNA to N-formyl-methionyl-tRNA bacterial-type flagellum-dependent cell motility bacterial-type flagellum-dependent swarming motility ammonium transmembrane transport oxygen metabolic process N-acetylmuramic acid catabolic process viral tail assembly inorganic cation transmembrane transport L-amino acid catabolic process carbohydrate derivative biosynthetic process positive regulation of cell septum assembly sulfate transmembrane transport hydrogen ion transmembrane transport autoinducer AI-2 transmembrane transport
          It has to be done as per old AB suggested Products section.

          Disclaimer

          Close

          Clicking the images or links will redirect you to a website hosted by BenchSci that provides third-party scientific content. Neither the content nor the BenchSci technology and processes for selection have been evaluated by us; we are providing them as-is and without warranty of any kind, including for use or application of the Thermo Fisher Scientific products presented.

          guarantee_icon

          性能保障

          只要您发现Invitrogen抗体在实验中的表现与网站或说明书的所述内容不符,您即可享受免费退换货服务。*

          了解更多
          help_icon

          随时为您服务

          获取常见问题的专家解答,或者直接联系我们的技术专家,咨询应用、设备、常规产品使用问题。

          联系技术支持
          订购 Plus Icon Minus Icon
          • 订单状态查询
          • 订单支持
          • 货号直购
          • 现货供应中心
          • 电子采购
          支持 Plus Icon Minus Icon
          • 帮助&支持
          • 联系我们 - 400 820 8982
          • 技术支持中心
          • 查找文件&证书
          • 报告网站问题
          资源 Plus Icon Minus Icon
          • 学习中心
          • 促销
          • 活动&研讨会
          • 社交媒体
          关于赛默飞 Plus Icon Minus Icon
          • 关于我们
          • 招聘 招聘
          • 投资者关系 投资者关系
          • 新闻 新闻
          • 社会责任 社会责任
          • 商标
          • 政策和通知
          品牌 Plus Icon Minus Icon
          • Thermo Scientific
          • Applied Biosystems
          • Invitrogen
          • Gibco
          • Ion Torrent
          • Unity Lab Services
          • Patheon
          • PPD
          • 服务条款
          • 隐私政策
          • 定价和运输保险政策
          © 2006-2026 Thermo Fisher Scientific Inc. All rights reserved. All trademarks are the property of Thermo Fisher Scientific and its subsidiaries unless otherwise specified.
          China flag icon
          China
          本网站销售的所有产品均不得用于人类或动物之临床诊断或治疗,仅可用于工业或者科研等非医疗目的。
             电子营业执照 | 经营证照公示 | ICP备案号:沪ICP备11003924号 | 沪公网安备 31011502006935号

          Your items have has been added!


          Host server : magellan-search-green-6479c7f679-l2s7p:80/100.66.76.236:80.
          git-commit: b70c0dceb888abc3b0dcebb5bc3a5b8753e7e816
          git-url: https://github.com/thermofisher/magellan-search
          git-branch: release/2.50.0-Offline