Hamburger Menu Button
Thermo Fisher Scientific Logo
登录
没有账号?建立账号 注册
  • 产品
    • 抗体
    • 引物合成
    • GeneArt Gene Synthesis Instant Designer
    • TaqMan Assay and Array Search
    • PCR 设备和耗材
    • 色谱柱和纯化柱
    • 实验室离心机
    • 分子生物学试剂和试剂盒
    • 实验室塑料耗材及用品
    • 查看所有产品分类
  • 应用和技术
    • 色谱
    • 细胞转染和培养
    • 实时荧光定量PCR
    • 质谱
    • 实验室塑料耗材及用品
    • 电子显微镜
    • 蛋白质生物学
    • PCR
    • RNAi
    • 环境
    • 查看所有应用和技术
  • 服务
    • 定制服务
    • 企业级实验室信息化服务
    • 金融&租赁服务
    • 仪器服务
    • OEM和商业供应
    • 培训服务
    • 360° CDMO 和 CRO 服务
    • CDMO 服务
    • 临床试验 CRO 服务
    • Unity Lab Services
    • 查看所有帮助和支持
  • 帮助和支持
    • 学习中心
    • 联系我们
    • 更改国家或地区
    • 查看所有帮助和支持
  • 热门产品
    • TaqMan Real-Time PCR Assays
      TaqMan 实时荧光定量 PCR 试剂盒
    • Antibodies
      抗体
    • Oligos, Primers & Probes
      寡核苷酸、引物、探针
    • GeneArt Gene Synthesis
      GeneArt 基因合成
    • Cell Culture Plastics
      细胞培养耗材
  • Who We Serve
    • 抗体治疗解决方案
    • 细胞与基因治疗解决方案
    • 学术科研
    • 工业与应用
  • 联系我们
  • 货号直购
  • 订单查询
  • 查找文件&证书
Thermo Fisher Scientific Logo

Search

搜索全部或下列指定分类
Search button
          • 联系我们
          • 货号直购
          • 登录
            登录
            没有账号?建立账号 注册
            • 我的账号
            • 订单
            • 会员中心
            • 账单及发票查询
            • 定制产品及项目
          • Primary Antibodies ›
          • ABCB4 Antibodies

          Invitrogen

          ABCB4 Polyclonal Antibody

          1个已发表图片
          1 篇参考文献
          查看其他7个ABCB4抗体

          {{$productOrderCtrl.translations['antibody.pdp.commerceCard.promotion.promotions']}}

          {{$productOrderCtrl.translations['antibody.pdp.commerceCard.promotion.viewpromo']}}

          {{$productOrderCtrl.translations['antibody.pdp.commerceCard.promotion.promocode']}}: {{promo.promoCode}} {{promo.promoTitle}} {{promo.promoDescription}}. {{$productOrderCtrl.translations['antibody.pdp.commerceCard.promotion.learnmore']}}

          说明书
          证书
          实验方案
          问题与答案
          技术支持
          说明书
          证书
          实验方案
          问题与答案
          技术支持
          说明书
          证书
          实验方案
          问题与答案
          技术支持

          Cite ABCB4 Polyclonal Antibody

          Additional Information:
          {{banner.description}}
          {{$ctrl.isSkuNotesCollapsed ? 'View more' : 'View less'}}
          • 抗体检测数据 (3)
          • 已发表图片 (1)
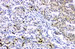
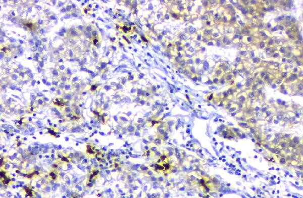
          ABCB4 Antibody in Immunohistochemistry (Paraffin) (IHC (P))
          Group 53 Created with Sketch.
          ABCB4 Antibody in Immunohistochemistry (Paraffin) (IHC (P))
          Group 53 Created with Sketch.

          图: 1 / 4

          {{ $ctrl.currentElement.advancedVerification.fullName }}
          {{ $ctrl.currentElement.advancedVerification.text }}

          ABCB4 Antibody (PA5-78692) in IHC (P)

          Immunohistochemistry (Paraffin) analysis of ABCB4 in paraffin-embedded section of human liver cancer tissue using ABCB4 Polyclonal Antibody (Product # PA5-78692). Heat mediated antigen retrieval was performed in EDTA buffer (pH 8.0, epitope retrieval solution). The tissue section was blocked with 10% goat serum. The tissue section was then incubated with the primary antibody at a 2 µg/mL dilution overnight ... View More {{ $ctrl.currentElement.advancedVerification.fullName }} 验证信息 View more
          已发表图片由___提供 benchsci-logo
          PMID: {{$ctrl.currentElement.benchSciPubmedId}}
          查看产品

          {{$ctrl.videoDesc}}

          {{$ctrl.videoLongDesc}}

          ABCB4 Antibody in Immunohistochemistry (Paraffin) (IHC (P))
          ABCB4 Antibody in Western Blot (WB)
          ABCB4 Antibody in Flow Cytometry (Flow)
          ABCB4 Antibody in Immunohistochemistry (Paraffin) (IHC (P))
          ABCB4 Polyclonal Antibody

          产品信息

          PA5-78692

          应用
          建议稀释比
          已发表文章

          免疫印迹 (WB)

          0.1-0.5 µg/mL
          -

          免疫组化(石蜡) (IHC (P))

          2-5 µg/mL
          查看1篇已发表文章 1篇已发表文章

          流式细胞分析 (Flow)

          1-3 µg/1x10^6 cells
          -
          产品规格

          种属反应

          Human, Mouse, Rat

          已发表种属

          Human

          宿主/亚型

          Rabbit / IgG

          分类

          Polyclonal

          类型

          Antibody

          抗原

          E.coli-derived human ABCB4 recombinant protein (Position: A601-A720).
          3D表位/免疫原

          偶联物

          Unconjugated Unconjugated Unconjugated

          形式

          Lyophilized

          浓度

          500 µg/mL

          规格

          100 µg

          纯化类型

          Antigen affinity chromatography

          保存液

          PBS with 4mg trehalose

          内含物

          no preservative

          保存条件

          -20°C

          运输条件

          Ambient (domestic); Wet ice (international)

          RRID

          AB_2745808

          产品详细信息

          Human Apolipoprotein A I shares 64% and 61.7% amino acid (aa) sequence identity with mouse and rat Apolipoprotein A I, respectively.

          Reconstitute with 0.2 mL of distilled water to yield a concentration of 500 µg/mL.

          Positive Control - WB: human HepG2 whole cell, rat liver tissue, rat RH35 whole cell, mouse liver tissue. IHC: human liver cancer tissue. Flow: HepG2 cell.

          靶标信息

          The membrane-associated protein encoded ABCB4 is a member of the superfamily of ATP-binding cassette (ABC) transporters. ABC proteins transport various molecules across extra- and intra-cellular membranes. ABC genes are divided into seven distinct subfamilies (ABC1, MDR/TAP, MRP, ALD, OABP, GCN20, White). This protein is a member of the MDR/TAP subfamily. Members of the MDR/TAP subfamily are involved in multidrug resistance as well as antigen presentation. This gene encodes a full transporter and member of the p-glycoprotein family of membrane proteins with phosphatidylcholine as its substrate. The function of this protein has not yet been determined; however, it may involve transport of phospholipids from liver hepatocytes into bile. Alternative splicing of this gene results in several products of undetermined function.

          仅用于科研。不用于诊断过程。未经明确授权不得转售。

          生物信息学

          蛋白别名: ABC20; ATP-binding cassette sub-family B (MDR/TAP) member 4 (P-glycoprotein 3/ multidrug resistance 2; ATP-binding cassette sub-family B (MDR/TAP) member 4 (P-glycoprotein 3/ multidrug resistance 2); ATP-binding cassette sub-family B member 4; ATP-binding cassette, sub-family B (MDR/TAP), member 4; ATP-binding cassette, sub-family B (MDR/TAP), member 4 (P-glycoprotein 3/ multidrug resistance 2); ATP-binding cassette, subfamily B, member 4; CD243; CLCS; GP170; MDR1; MGC163296; Multidrug resistance protein 2; Multidrug resistance protein 3; multiple drug resistance 3; P glycoprotein 2; P-glycoprotein; P-glycoprotein 2; P-glycoprotein 3; P-glycoprotein 3/ multidrug resistance 2; P-glycoprotein-3/multiple drug resistance-3; P-GP; PGY1; Phosphatidylcholine translocator ABCB4

          查看更多 收起

          基因别名: ABC21; ABCB4; GBD1; ICP3; mdr-2; MDR2; MDR2/3; MDR3; PFIC-3; Pgp3; Pgy-2; Pgy2; PGY3

          查看更多 收起

          UniProt ID: (Human) P21439, (Mouse) P21440, (Rat) Q08201

          查看更多 收起

          Entrez Gene ID: (Human) 5244, (Mouse) 18670, (Rat) 24891

          查看更多 收起

          功能
          nucleotide binding protein binding ATP binding phospholipid transporter activity ATPase activity ATPase activity, coupled to transmembrane movement of substances phosphatidylcholine-translocating ATPase activity ceramide floppase activity ATPase-coupled intramembrane lipid transporter activity ABC-type transporter activity xenobiotic-transporting ATPase activity hydrolase activity ATP-binding cassette (ABC) transporter
          参与通路
          lipid metabolic process lipid transport positive regulation of cholesterol transport bile acid secretion phospholipid translocation transmembrane transport lipid homeostasis positive regulation of phospholipid translocation ceramide translocation response to fenofibrate cellular response to bile acid positive regulation of phospholipid transport transport drug transmembrane transport metabolic process response to drug xenobiotic transport response to glucocorticoid
          It has to be done as per old AB suggested Products section.

          Disclaimer

          Close

          Clicking the images or links will redirect you to a website hosted by BenchSci that provides third-party scientific content. Neither the content nor the BenchSci technology and processes for selection have been evaluated by us; we are providing them as-is and without warranty of any kind, including for use or application of the Thermo Fisher Scientific products presented.

          guarantee_icon

          性能保障

          只要您发现Invitrogen抗体在实验中的表现与网站或说明书的所述内容不符,您即可享受免费退换货服务。*

          了解更多
          help_icon

          随时为您服务

          获取常见问题的专家解答,或者直接联系我们的技术专家,咨询应用、设备、常规产品使用问题。

          联系技术支持
          订购 Plus Icon Minus Icon
          • 订单状态查询
          • 订单支持
          • 货号直购
          • 现货供应中心
          • 电子采购
          支持 Plus Icon Minus Icon
          • 帮助&支持
          • 联系我们 - 400 820 8982
          • 技术支持中心
          • 查找文件&证书
          • 报告网站问题
          资源 Plus Icon Minus Icon
          • 学习中心
          • 促销
          • 活动&研讨会
          • 社交媒体
          关于赛默飞 Plus Icon Minus Icon
          • 关于我们
          • 招聘 招聘
          • 投资者关系 投资者关系
          • 新闻 新闻
          • 社会责任 社会责任
          • 商标
          • 政策和通知
          品牌 Plus Icon Minus Icon
          • Thermo Scientific
          • Applied Biosystems
          • Invitrogen
          • Gibco
          • Ion Torrent
          • Unity Lab Services
          • Patheon
          • PPD
          • 服务条款
          • 隐私政策
          • 定价和运输保险政策
          © 2006-2026 Thermo Fisher Scientific Inc. All rights reserved. All trademarks are the property of Thermo Fisher Scientific and its subsidiaries unless otherwise specified.
          China flag icon
          China
          本网站销售的所有产品均不得用于人类或动物之临床诊断或治疗,仅可用于工业或者科研等非医疗目的。
             电子营业执照 | 经营证照公示 | ICP备案号:沪ICP备11003924号 | 沪公网安备 31011502006935号

          Your items have has been added!


          Host server : magellan-search-green-6479c7f679-v472f:80/100.66.78.195:80.
          git-commit: b70c0dceb888abc3b0dcebb5bc3a5b8753e7e816
          git-url: https://github.com/thermofisher/magellan-search
          git-branch: release/2.50.0-Offline