Hamburger Menu Button
Thermo Fisher Scientific Logo
登录
没有账号?建立账号 注册
  • 产品
    • 抗体
    • 引物合成
    • GeneArt Gene Synthesis Instant Designer
    • TaqMan Assay and Array Search
    • PCR 设备和耗材
    • 色谱柱和纯化柱
    • 实验室离心机
    • 分子生物学试剂和试剂盒
    • 实验室塑料耗材及用品
    • 查看所有产品分类
  • 应用和技术
    • 色谱
    • 细胞转染和培养
    • 实时荧光定量PCR
    • 质谱
    • 实验室塑料耗材及用品
    • 电子显微镜
    • 蛋白质生物学
    • PCR
    • RNAi
    • 环境
    • 查看所有应用和技术
  • 服务
    • 定制服务
    • 企业级实验室信息化服务
    • 金融&租赁服务
    • 仪器服务
    • OEM和商业供应
    • 培训服务
    • 360° CDMO 和 CRO 服务
    • CDMO 服务
    • 临床试验 CRO 服务
    • Unity Lab Services
    • 查看所有帮助和支持
  • 帮助和支持
    • 学习中心
    • 联系我们
    • 更改国家或地区
    • 查看所有帮助和支持
  • 热门产品
    • TaqMan Real-Time PCR Assays
      TaqMan 实时荧光定量 PCR 试剂盒
    • Antibodies
      抗体
    • Oligos, Primers & Probes
      寡核苷酸、引物、探针
    • GeneArt Gene Synthesis
      GeneArt 基因合成
    • Cell Culture Plastics
      细胞培养耗材
  • Who We Serve
    • 抗体治疗解决方案
    • 细胞与基因治疗解决方案
    • 学术科研
    • 工业与应用
  • 联系我们
  • 货号直购
  • 订单查询
  • 查找文件&证书
Thermo Fisher Scientific Logo

Search

搜索全部或下列指定分类
Search button
          • 联系我们
          • 货号直购
          • 登录
            登录
            没有账号?建立账号 注册
            • 我的账号
            • 订单
            • 会员中心
            • 账单及发票查询
            • 定制产品及项目
          • Primary Antibodies ›
          • ACACA/ACACB Antibodies

          Invitrogen

          ACACA/ACACB Recombinant Rabbit Monoclonal Antibody (K01_4U11)

          查看其他2个ACACA/ACACB抗体

          {{$productOrderCtrl.translations['antibody.pdp.commerceCard.promotion.promotions']}}

          {{$productOrderCtrl.translations['antibody.pdp.commerceCard.promotion.viewpromo']}}

          {{$productOrderCtrl.translations['antibody.pdp.commerceCard.promotion.promocode']}}: {{promo.promoCode}} {{promo.promoTitle}} {{promo.promoDescription}}. {{$productOrderCtrl.translations['antibody.pdp.commerceCard.promotion.learnmore']}}

          说明书
          证书
          实验方案
          问题与答案
          技术支持
          说明书
          证书
          实验方案
          问题与答案
          技术支持
          说明书
          证书
          实验方案
          问题与答案
          技术支持

          Cite ACACA/ACACB Recombinant Rabbit Monoclonal Antibody (K01_4U11)

          Additional Information:
          {{banner.description}}
          {{$ctrl.isSkuNotesCollapsed ? 'View more' : 'View less'}}
          • 抗体检测数据 (4)
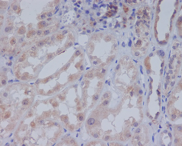
          ACACA/ACACB Antibody in Immunohistochemistry (Paraffin) (IHC (P))
          Group 53 Created with Sketch.
          ACACA/ACACB Antibody in Immunohistochemistry (Paraffin) (IHC (P))
          Group 53 Created with Sketch.

          图: 1 / 4

          {{ $ctrl.currentElement.advancedVerification.fullName }}
          {{ $ctrl.currentElement.advancedVerification.text }}

          ACACA/ACACB Antibody (MA567796) in IHC (P)

          Immunohistochemical (Paraffin) analysis of ACACA/ACACB in Human kidney using ACACA/ACACB Recombinant Monoclonal Antibody (Product # MA567796). High-pressure and temperature Sodium Citrate pH 6.0 was used for antigen retrieval. {{ $ctrl.currentElement.advancedVerification.fullName }} 验证信息 View more
          已发表图片由___提供 benchsci-logo
          PMID: {{$ctrl.currentElement.benchSciPubmedId}}
          查看产品

          {{$ctrl.videoDesc}}

          {{$ctrl.videoLongDesc}}

          ACACA/ACACB Antibody in Immunohistochemistry (Paraffin) (IHC (P))
          ACACA/ACACB Antibody in Western Blot (WB)
          ACACA/ACACB Antibody in Western Blot (WB)
          ACACA/ACACB Antibody in Western Blot (WB)

          产品信息

          MA567796

          应用
          建议稀释比
          已发表文章

          免疫印迹 (WB)

          1:500-1:1,000
          -

          免疫组化(石蜡) (IHC (P))

          1:50-1:100
          -
          产品规格

          种属反应

          Human, Mouse, Rat

          宿主/亚型

          Rabbit / IgG

          Expression System

          HEK293F

          分类

          Recombinant Monoclonal

          类型

          Antibody

          克隆号

          K01_4U11

          抗原

          A synthesized peptide derived from human Acetyl-CoA Carboxylase.

          偶联物

          Unconjugated Unconjugated Unconjugated

          形式

          Liquid

          浓度

          1 mg/mL

          规格

          100 µg

          纯化类型

          Protein A/G

          保存液

          PBS, pH 7.4, with 150mM NaCl, 0.05% BSA, 50% glycerol

          内含物

          0.02% sodium azide

          保存条件

          Store at 4°C short term. For long term storage, store at -20°C, avoiding freeze/thaw cycles.

          运输条件

          Ambient (domestic); Wet ice (international)

          靶标信息

          ACACA and ACACB encode acetyl CoA carboxylase alpha and beta, the rate limiting enzymes that convert acetyl CoA to malonyl CoA for de novo fatty acid synthesis and regulation of fatty acid oxidation. ACACA is primarily cytosolic in lipogenic tissues such as liver and adipose, supporting fatty acid and triglyceride production, while ACACB is enriched in oxidative tissues such as heart and skeletal muscle, producing malonyl CoA near mitochondria to inhibit fatty acid entry via CPT1 and thereby modulate beta oxidation. Both enzymes are large biotin dependent carboxylases with biotin carboxylase, carboxyl transferase, and biotin carrier domains, and they are tightly controlled by phosphorylation through AMPK, by allosteric activation from citrate, by feedback from long chain acyl CoA species, and by transcriptional programs governed by SREBP1 and ChREBP. Genetic variation and dysregulation of ACACA and ACACB influence metabolic disorders including obesity, type 2 diabetes, nonalcoholic fatty liver disease, and cardiovascular disease. Pharmacologic ACC inhibitors decrease malonyl CoA levels, reduce lipogenesis, and increase fatty acid oxidation, and are being developed for metabolic and liver indications. Detection and study use enzyme activity assays, metabolite profiling, immunoblotting, and CRISPR or RNA interference approaches.

          仅用于科研。不用于诊断过程。未经明确授权不得转售。

          篇参考文献 (0)

          您是否在文献中引用过该产品?请点击下方按钮邮件告知我们。
          引用该产品

          生物信息学

          蛋白别名: ACAC; acaca; ACACB-1; ACC-a; ACC-alpha; ACC-B; ACC-beta; ACC1; ACC2; ACCA; Acetyl-CoA carboxylase 1; Acetyl-CoA carboxylase 2; Acetyl-CoA carboxylase 265; acetyl-Coenzyme A carboxylase 2; Acetyl-Coenzyme A carboxylase alpha; acetyl-Coenzyme A carboxylase beta; unnamed protein product

          查看更多 收起

          基因别名: A530025K05Rik; ACAC; Acac1; ACACA; ACACAD; ACACalpha; ACACB; ACACbeta; ACC; ACC-beta; ACC1; ACC2; ACCA; ACCalpha; ACCB; ACCbeta; AI597064; AW743042; Gm738; hACC1; HACC275

          查看更多 收起

          UniProt ID: (Human) Q13085, (Human) O00763, (Mouse) Q5SWU9, (Rat) P11497, (Mouse) E9Q4Z2

          查看更多 收起

          Entrez Gene ID: (Human) 31, (Human) 32, (Mouse) 107476, (Rat) 60581, (Rat) 116719, (Mouse) 100705

          查看更多 收起

          功能
          nucleotide binding catalytic activity acetyl-CoA carboxylase activity protein binding ATP binding ligase activity identical protein binding metal ion binding biotin binding biotin carboxylase activity kinase binding
          参与通路
          tissue homeostasis acetyl-CoA metabolic process lipid metabolic process fatty acid metabolic process fatty acid biosynthetic process metabolic process response to organic cyclic compound multicellular organismal protein metabolic process protein homotetramerization lipid homeostasis cellular response to prostaglandin E stimulus positive regulation of lipid storage response to drug negative regulation of fatty acid oxidation positive regulation of heart growth malonyl-CoA biosynthetic process acyl-CoA metabolic process lipid biosynthetic process fatty-acyl-CoA biosynthetic process pentose-phosphate shunt purine nucleotide metabolic process response to nutrient response to xenobiotic stimulus regulation of glucose metabolic process fatty acid oxidation response to nutrient levels negative regulation of fatty acid beta-oxidation glucose import lactic acid secretion negative regulation of lipid catabolic process fatty acid homeostasis response to caloric restriction tricarboxylic acid metabolic process intracellular aspartate homeostasis glutamate homeostasis energy homeostasis regulation of cardiac muscle hypertrophy in response to stress
          It has to be done as per old AB suggested Products section.

          Disclaimer

          Close

          Clicking the images or links will redirect you to a website hosted by BenchSci that provides third-party scientific content. Neither the content nor the BenchSci technology and processes for selection have been evaluated by us; we are providing them as-is and without warranty of any kind, including for use or application of the Thermo Fisher Scientific products presented.

          guarantee_icon

          性能保障

          只要您发现Invitrogen抗体在实验中的表现与网站或说明书的所述内容不符,您即可享受免费退换货服务。*

          了解更多
          help_icon

          随时为您服务

          获取常见问题的专家解答,或者直接联系我们的技术专家,咨询应用、设备、常规产品使用问题。

          联系技术支持
          订购 Plus Icon Minus Icon
          • 订单状态查询
          • 订单支持
          • 货号直购
          • 现货供应中心
          • 电子采购
          支持 Plus Icon Minus Icon
          • 帮助&支持
          • 联系我们 - 400 820 8982
          • 技术支持中心
          • 查找文件&证书
          • 报告网站问题
          资源 Plus Icon Minus Icon
          • 学习中心
          • 促销
          • 活动&研讨会
          • 社交媒体
          关于赛默飞 Plus Icon Minus Icon
          • 关于我们
          • 招聘 招聘
          • 投资者关系 投资者关系
          • 新闻 新闻
          • 社会责任 社会责任
          • 商标
          • 政策和通知
          品牌 Plus Icon Minus Icon
          • Thermo Scientific
          • Applied Biosystems
          • Invitrogen
          • Gibco
          • Ion Torrent
          • Unity Lab Services
          • Patheon
          • PPD
          • 服务条款
          • 隐私政策
          • 定价和运输保险政策
          © 2006-2026 Thermo Fisher Scientific Inc. All rights reserved. All trademarks are the property of Thermo Fisher Scientific and its subsidiaries unless otherwise specified.
          China flag icon
          China
          本网站销售的所有产品均不得用于人类或动物之临床诊断或治疗,仅可用于工业或者科研等非医疗目的。
             电子营业执照 | 经营证照公示 | ICP备案号:沪ICP备11003924号 | 沪公网安备 31011502006935号

          Your items have has been added!


          Host server : magellan-search-green-6479c7f679-zb4k5:80/100.66.74.142:80.
          git-commit: b70c0dceb888abc3b0dcebb5bc3a5b8753e7e816
          git-url: https://github.com/thermofisher/magellan-search
          git-branch: release/2.50.0-Offline