Hamburger Menu Button
Thermo Fisher Scientific Logo
登录
没有账号?建立账号 注册
  • 产品
    • 抗体
    • 引物合成
    • GeneArt Gene Synthesis Instant Designer
    • TaqMan Assay and Array Search
    • PCR 设备和耗材
    • 色谱柱和纯化柱
    • 实验室离心机
    • 分子生物学试剂和试剂盒
    • 实验室塑料耗材及用品
    • 查看所有产品分类
  • 应用和技术
    • 色谱
    • 细胞转染和培养
    • 实时荧光定量PCR
    • 质谱
    • 实验室塑料耗材及用品
    • 电子显微镜
    • 蛋白质生物学
    • PCR
    • RNAi
    • 环境
    • 查看所有应用和技术
  • 服务
    • 定制服务
    • 企业级实验室信息化服务
    • 金融&租赁服务
    • 仪器服务
    • OEM和商业供应
    • 培训服务
    • 360° CDMO 和 CRO 服务
    • CDMO 服务
    • 临床试验 CRO 服务
    • Unity Lab Services
    • 查看所有帮助和支持
  • 帮助和支持
    • 学习中心
    • 联系我们
    • 更改国家或地区
    • 查看所有帮助和支持
  • 热门产品
    • TaqMan Real-Time PCR Assays
      TaqMan 实时荧光定量 PCR 试剂盒
    • Antibodies
      抗体
    • Oligos, Primers & Probes
      寡核苷酸、引物、探针
    • GeneArt Gene Synthesis
      GeneArt 基因合成
    • Cell Culture Plastics
      细胞培养耗材
  • Who We Serve
    • 抗体治疗解决方案
    • 细胞与基因治疗解决方案
    • 学术科研
    • 工业与应用
  • 联系我们
  • 货号直购
  • 订单查询
  • 查找文件&证书
Thermo Fisher Scientific Logo

Search

搜索全部或下列指定分类
Search button
          • 联系我们
          • 货号直购
          • 登录
            登录
            没有账号?建立账号 注册
            • 我的账号
            • 订单
            • 会员中心
            • 账单及发票查询
            • 定制产品及项目
          • Primary Antibodies ›
          • ACE Antibodies

          Invitrogen

          ACE Recombinant Rabbit Monoclonal Antibody (JM59-32)

          高级验证
          2 篇参考文献
          查看其他35个ACE抗体

          {{$productOrderCtrl.translations['antibody.pdp.commerceCard.promotion.promotions']}}

          {{$productOrderCtrl.translations['antibody.pdp.commerceCard.promotion.viewpromo']}}

          {{$productOrderCtrl.translations['antibody.pdp.commerceCard.promotion.promocode']}}: {{promo.promoCode}} {{promo.promoTitle}} {{promo.promoDescription}}. {{$productOrderCtrl.translations['antibody.pdp.commerceCard.promotion.learnmore']}}

          说明书
          证书
          实验方案
          问题与答案
          技术支持
          说明书
          证书
          实验方案
          问题与答案
          技术支持
          说明书
          证书
          实验方案
          问题与答案
          技术支持

          Cite ACE Recombinant Rabbit Monoclonal Antibody (JM59-32)

          Additional Information:
          {{banner.description}}
          {{$ctrl.isSkuNotesCollapsed ? 'View more' : 'View less'}}
          • 抗体检测数据 (5)
          • 高级验证 (2)
          ACE Antibody in Immunohistochemistry (Paraffin) (IHC (P))
          Group 53 Created with Sketch.
          ACE Antibody in Immunohistochemistry (Paraffin) (IHC (P))
          Group 53 Created with Sketch.

          图: 1 / 7

          {{ $ctrl.currentElement.advancedVerification.fullName }}
          {{ $ctrl.currentElement.advancedVerification.text }}

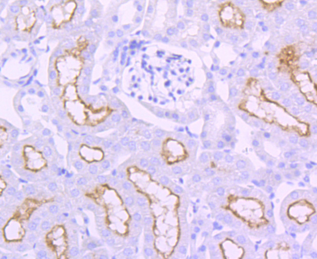
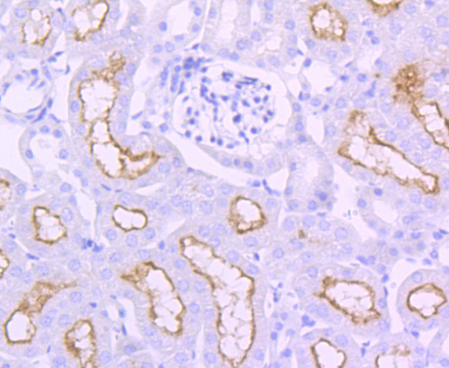
          ACE Antibody (MA5-32741) in IHC (P)

          Immunohistochemical analysis of ACE of paraffin-embedded Mouse kidney tissue using a ACE Monoclonal antibody (Product #MA5-32741). Counter stained with hematoxylin. {{ $ctrl.currentElement.advancedVerification.fullName }} 验证信息 View more
          已发表图片由___提供 benchsci-logo
          PMID: {{$ctrl.currentElement.benchSciPubmedId}}
          查看产品

          {{$ctrl.videoDesc}}

          {{$ctrl.videoLongDesc}}

          ACE Antibody in Immunohistochemistry (Paraffin) (IHC (P))
          ACE Antibody in Immunohistochemistry (Paraffin) (IHC (P))
          ACE Antibody in Immunohistochemistry (Paraffin) (IHC (P))
          ACE Antibody in Western Blot (WB)
          ACE Antibody in Western Blot (WB)
          ACE Antibody
          ACE Antibody
          ACE Recombinant Rabbit Monoclonal Antibody (JM59-32)

          产品信息

          MA5-32741

          应用
          建议稀释比
          已发表文章

          免疫印迹 (WB)

          1:1,000-1:5,000
          查看1篇已发表文章 1篇已发表文章

          免疫组化(石蜡) (IHC (P))

          1:1000
          -

          流式细胞分析 (Flow)

          1:50-1:100
          查看1篇已发表文章 1篇已发表文章
          产品规格

          种属反应

          Human, Mouse, Rat

          已发表种属

          Mouse, Rat

          宿主/亚型

          Rabbit / IgG

          Expression System

          HEK293 cells

          分类

          Recombinant Monoclonal

          类型

          Antibody

          克隆号

          JM59-32

          抗原

          Synthetic peptide within Human ACE aa 1257-1306.
          3D表位/免疫原

          偶联物

          Unconjugated Unconjugated Unconjugated

          形式

          Liquid

          浓度

          1 mg/mL

          规格

          100 µg

          纯化类型

          Protein A

          保存液

          TBS, pH 7.4, with 40% Glycerol, 0.05% BSA

          内含物

          0.05% sodium azide

          保存条件

          Store at 4°C short term. For long term storage, store at -20°C, avoiding freeze/thaw cycles.

          运输条件

          Ambient (domestic); Wet ice (international)

          RRID

          AB_2810018

          产品详细信息

          Recombinant rabbit monoclonal antibodies are produced using in vitro expression systems. The expression systems are developed by cloning in the specific antibody DNA sequences from immunoreactive rabbits. Then, individual clones are screened to select the best candidates for production. The advantages of using recombinant rabbit monoclonal antibodies include: better specificity and sensitivity, lot-to-lot consistency, animal origin-free formulations, and broader immunoreactivity to diverse targets due to larger rabbit immune repertoire.

          靶标信息

          This gene encodes an enzyme involved in catalyzing the conversion of angiotensin I into a physiologically active peptide angiotensin II. Angiotensin II is a potent vasopressor and aldosterone-stimulating peptide that controls blood pressure and fluid-electrolyte balance. This enzyme plays a key role in the renin-angiotensin system. Many studies have associated the presence or absence of a 287 bp Alu repeat element in this gene with the levels of circulating enzyme or cardiovascular pathophysiologies. Two most abundant alternatively spliced variants of this gene encode two isozymes-the somatic form and the testicular form that are equally active. Multiple additional alternatively spliced variants have been identified but their full length nature has not been determined.

          仅用于科研。不用于诊断过程。未经明确授权不得转售。

          生物信息学

          蛋白别名: ACE; angiotensin 1 converting enzyme 1; angiotensin converting enzyme precursor (EC 3.4.15.1); angiotensin I converting enzyme (peptidyl-dipeptidase A) 1; angiotensin I converting enzyme 1; angiotensin I-converting enzyme; angiotensin I-converting enzyme (Dipeptidyl carboxypeptidase 1); angiotensin I-converting enzyme precursor (EC 3.4.15.1); Angiotensin-converting enzyme; carboxycathepsin; CD143; CD143 antigen; dipeptidyl carboxypeptidase 1; Dipeptidyl carboxypeptidase 1 (Angiotensin I-converting enzyme); Dipeptidyl carboxypeptidase I; dipeptidyl peptidase; Kininase II; MGC26566; peptidase P; unnamed protein product; Zn2+ carboxydipeptidase enzyme which transforms angiotensin I into angiotensin II an active vasoconstrictor protein; splice-site mutation IVS25+1G-->A leads to the retention of intron 25 resulting in a frameshift which leads to a premature stop codon

          查看更多 收起

          基因别名: ACE; ACE1; AW208573; CD143; DCP; DCP1; StsRR92

          查看更多 收起

          UniProt ID: (Human) P12821, (Mouse) P09470, (Rat) P47820

          查看更多 收起

          Entrez Gene ID: (Human) 1636, (Mouse) 11421, (Rat) 24310

          查看更多 收起

          功能
          actin binding endopeptidase activity carboxypeptidase activity metallocarboxypeptidase activity metalloendopeptidase activity protein binding calmodulin binding peptidase activity metallopeptidase activity exopeptidase activity tripeptidyl-peptidase activity peptidyl-dipeptidase activity zinc ion binding hydrolase activity chloride ion binding mitogen-activated protein kinase kinase binding bradykinin receptor binding metal ion binding mitogen-activated protein kinase binding metallodipeptidase activity drug binding lytic transglycosylase activity mannosidase activity mannosyl-oligosaccharide mannosidase activity galactosidase activity glucosidase activity trehalase activity fucosidase activity hexosaminidase activity amylase activity dextrin alpha-glucosidase activity starch alpha-glucosidase activity beta-glucanase activity beta-6-sulfate-N-acetylglucosaminidase activity glucan endo-1,4-beta-glucosidase activity metalloprotease protease protein modifying enzyme
          参与通路
          kidney development blood vessel remodeling angiotensin maturation regulation of renal output by angiotensin regulation of blood vessel size by renin-angiotensin neutrophil mediated immunity antigen processing and presentation of peptide antigen via MHC class I regulation of systemic arterial blood pressure by renin-angiotensin positive regulation of systemic arterial blood pressure proteolysis spermatogenesis regulation of blood pressure male gonad development posttranscriptional regulation of gene expression negative regulation of gene expression substance P catabolic process bradykinin catabolic process regulation of smooth muscle cell migration regulation of vasoconstriction mononuclear cell proliferation angiotensin-activated signaling pathway vasodilation hormone metabolic process hormone catabolic process peptide catabolic process regulation of synaptic plasticity beta-amyloid metabolic process arachidonic acid secretion heart contraction regulation of angiotensin metabolic process hematopoietic stem cell differentiation cell proliferation in bone marrow regulation of heart rate by cardiac conduction regulation of blood vessel diameter regulation of hematopoietic stem cell proliferation negative regulation of gap junction assembly peptide metabolic process sensory perception of pain organ regeneration negative regulation of protein binding positive regulation of protein binding response to lipopolysaccharide vasoconstriction eating behavior positive regulation of apoptotic process lung alveolus development positive regulation of inflammatory response positive regulation of neurogenesis angiogenesis involved in coronary vascular morphogenesis positive regulation of protein tyrosine kinase activity negative regulation of calcium ion import positive regulation of peptidyl-tyrosine autophosphorylation positive regulation of peptidyl-cysteine S-nitrosylation response to hypoxia brain development female pregnancy aging lung development response to nutrient levels response to laminar fluid shear stress response to drug cellular response to glucose stimulus response to dexamethasone response to thyroid hormone
          It has to be done as per old AB suggested Products section.

          Disclaimer

          Close

          Clicking the images or links will redirect you to a website hosted by BenchSci that provides third-party scientific content. Neither the content nor the BenchSci technology and processes for selection have been evaluated by us; we are providing them as-is and without warranty of any kind, including for use or application of the Thermo Fisher Scientific products presented.

          guarantee_icon

          性能保障

          只要您发现Invitrogen抗体在实验中的表现与网站或说明书的所述内容不符,您即可享受免费退换货服务。*

          了解更多
          help_icon

          随时为您服务

          获取常见问题的专家解答,或者直接联系我们的技术专家,咨询应用、设备、常规产品使用问题。

          联系技术支持
          订购 Plus Icon Minus Icon
          • 订单状态查询
          • 订单支持
          • 货号直购
          • 现货供应中心
          • 电子采购
          支持 Plus Icon Minus Icon
          • 帮助&支持
          • 联系我们 - 400 820 8982
          • 技术支持中心
          • 查找文件&证书
          • 报告网站问题
          资源 Plus Icon Minus Icon
          • 学习中心
          • 促销
          • 活动&研讨会
          • 社交媒体
          关于赛默飞 Plus Icon Minus Icon
          • 关于我们
          • 招聘 招聘
          • 投资者关系 投资者关系
          • 新闻 新闻
          • 社会责任 社会责任
          • 商标
          • 政策和通知
          品牌 Plus Icon Minus Icon
          • Thermo Scientific
          • Applied Biosystems
          • Invitrogen
          • Gibco
          • Ion Torrent
          • Unity Lab Services
          • Patheon
          • PPD
          • 服务条款
          • 隐私政策
          • 定价和运输保险政策
          © 2006-2026 Thermo Fisher Scientific Inc. All rights reserved. All trademarks are the property of Thermo Fisher Scientific and its subsidiaries unless otherwise specified.
          China flag icon
          China
          本网站销售的所有产品均不得用于人类或动物之临床诊断或治疗,仅可用于工业或者科研等非医疗目的。
             电子营业执照 | 经营证照公示 | ICP备案号:沪ICP备11003924号 | 沪公网安备 31011502006935号

          Your items have has been added!


          Host server : magellan-search-green-6479c7f679-2z78h:80/100.66.76.236:80.
          git-commit: b70c0dceb888abc3b0dcebb5bc3a5b8753e7e816
          git-url: https://github.com/thermofisher/magellan-search
          git-branch: release/2.50.0-Offline