Hamburger Menu Button
Thermo Fisher Scientific Logo
登录
没有账号?建立账号 注册
  • 产品
    • 抗体
    • 引物合成
    • GeneArt Gene Synthesis Instant Designer
    • TaqMan Assay and Array Search
    • PCR 设备和耗材
    • 色谱柱和纯化柱
    • 实验室离心机
    • 分子生物学试剂和试剂盒
    • 实验室塑料耗材及用品
    • 查看所有产品分类
  • 应用和技术
    • 色谱
    • 细胞转染和培养
    • 实时荧光定量PCR
    • 质谱
    • 实验室塑料耗材及用品
    • 电子显微镜
    • 蛋白质生物学
    • PCR
    • RNAi
    • 环境
    • 查看所有应用和技术
  • 服务
    • 定制服务
    • 企业级实验室信息化服务
    • 金融&租赁服务
    • 仪器服务
    • OEM和商业供应
    • 培训服务
    • 360° CDMO 和 CRO 服务
    • CDMO 服务
    • 临床试验 CRO 服务
    • Unity Lab Services
    • 查看所有帮助和支持
  • 帮助和支持
    • 学习中心
    • 联系我们
    • 更改国家或地区
    • 查看所有帮助和支持
  • 热门产品
    • TaqMan Real-Time PCR Assays
      TaqMan 实时荧光定量 PCR 试剂盒
    • Antibodies
      抗体
    • Oligos, Primers & Probes
      寡核苷酸、引物、探针
    • GeneArt Gene Synthesis
      GeneArt 基因合成
    • Cell Culture Plastics
      细胞培养耗材
  • Who We Serve
    • 抗体治疗解决方案
    • 细胞与基因治疗解决方案
    • 学术科研
    • 工业与应用
  • 联系我们
  • 货号直购
  • 订单查询
  • 查找文件&证书
Thermo Fisher Scientific Logo

Search

搜索全部或下列指定分类
Search button
          • 联系我们
          • 货号直购
          • 登录
            登录
            没有账号?建立账号 注册
            • 我的账号
            • 订单
            • 会员中心
            • 账单及发票查询
            • 定制产品及项目
          • Primary Antibodies ›
          • alpha Actinin 4 Antibodies

          Proteintech

          ACTN4 Monoclonal Antibody (1E12B8)

          7 篇参考文献
          查看其他34个alpha Actinin 4抗体

          {{$productOrderCtrl.translations['antibody.pdp.commerceCard.promotion.promotions']}}

          {{$productOrderCtrl.translations['antibody.pdp.commerceCard.promotion.viewpromo']}}

          {{$productOrderCtrl.translations['antibody.pdp.commerceCard.promotion.promocode']}}: {{promo.promoCode}} {{promo.promoTitle}} {{promo.promoDescription}}. {{$productOrderCtrl.translations['antibody.pdp.commerceCard.promotion.learnmore']}}

          说明书
          证书
          实验方案
          问题与答案
          技术支持
          说明书
          证书
          实验方案
          问题与答案
          技术支持
          说明书
          证书
          实验方案
          问题与答案
          技术支持

          Cite ACTN4 Monoclonal Antibody (1E12B8)

          Additional Information:
          {{banner.description}}
          {{$ctrl.isSkuNotesCollapsed ? 'View more' : 'View less'}}
          • 抗体检测数据 (9)
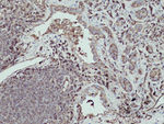
          ACTN4 Antibody in Immunohistochemistry (Paraffin) (IHC (P))
          Group 53 Created with Sketch.
          ACTN4 Antibody in Immunohistochemistry (Paraffin) (IHC (P))
          Group 53 Created with Sketch.

          图: 1 / 9

          {{ $ctrl.currentElement.advancedVerification.fullName }}
          {{ $ctrl.currentElement.advancedVerification.text }}

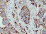
          ACTN4 Antibody (66628-1-IG) in IHC (P)

          Immunohistochemical analysis of paraffin-embedded human breast cancer tissue slide using (Product # 66628-1-IG) (ACTN4 antibody) at dilution of 1:5,000 (under 10x lens). Heat mediated antigen retrieval with Tris-EDTA buffer (pH 9.0). {{ $ctrl.currentElement.advancedVerification.fullName }} 验证信息 View more
          已发表图片由___提供 benchsci-logo
          PMID: {{$ctrl.currentElement.benchSciPubmedId}}
          查看产品

          {{$ctrl.videoDesc}}

          {{$ctrl.videoLongDesc}}

          ACTN4 Antibody in Immunohistochemistry (Paraffin) (IHC (P))
          ACTN4 Antibody in Immunohistochemistry (Paraffin) (IHC (P))
          ACTN4 Antibody in Immunohistochemistry (Paraffin) (IHC (P))
          ACTN4 Antibody in Immunohistochemistry (Paraffin) (IHC (P))
          ACTN4 Antibody in Immunohistochemistry (Paraffin) (IHC (P))
          ACTN4 Antibody in Immunohistochemistry (Paraffin) (IHC (P))
          ACTN4 Antibody in Western Blot (WB)
          ACTN4 Antibody in Western Blot (WB)
          ACTN4 Antibody in Western Blot (WB)
          ACTN4 Monoclonal Antibody (1E12B8)

          产品信息

          66628-1-IG

          应用
          建议稀释比
          已发表文章

          免疫印迹 (WB)

          1:5,000-1:50,000
          查看3篇已发表文章 3篇已发表文章

          免疫组化(石蜡) (IHC (P))

          1:500-1:2,000
          -

          免疫细胞化学 (ICC/IF)

          -
          查看3篇已发表文章 3篇已发表文章

          免疫沉淀 (IP)

          -
          查看1篇已发表文章 1篇已发表文章
          产品规格

          种属反应

          Human, Mouse, Rat

          宿主/亚型

          Mouse / IgG1

          分类

          Monoclonal

          类型

          Antibody

          克隆号

          1E12B8

          抗原

          ACTN4 Fusion Protein Ag13549 (612-911 aa encoded by BC005033)
          3D表位/免疫原

          偶联物

          Unconjugated Unconjugated Unconjugated
          • CoraLite 594
          • Request custom conjugation

          形式

          Liquid

          浓度

          1 mg/mL

          规格

          150 µg

          纯化类型

          Protein G

          保存液

          PBS, pH 7.3, with 50% glycerol

          内含物

          0.02% sodium azide

          保存条件

          -20°C

          运输条件

          Wet ice (domestic); Dry ice (international)

          产品详细信息

          This antibody recognizes 105 kDa of endogenous ACTN4 protein in various lysates.

          Immunogen sequence: TTVTPQIIN SKWEKVQQLV PKRDHALLEE QSKQQSNEHL RRQFASQANV VGPWIQTKME EIGRISIEMN GTLEDQLSHL KQYERSIVDY KPNLDLLEQQ HQLIQEALIF DNKHTNYTME HIRVGWEQLL TTIARTINEV ENQILTRDAK GISQEQMQEF RASFNHFDKD HGGALGPEEF KACLISLGYD VENDRQGEAE FNRIMSLVDP NHSGLVTFQA FIDFMSRETT DTDTADQVIA SFKVLAGDKN FITAEELRRE LPPDQAEYCI ARMAPYQGPD AVPGALDYKS FSTALYGESD L (612-911 aa encoded by BC005033)

          靶标信息

          Alpha actinins belong to the spectrin gene superfamily which represents a diverse group of cytoskeletal proteins, including the alpha and beta spectrins and dystrophins. Alpha actinin is an actin-binding protein with multiple roles in different cell types. In nonmuscle cells, the cytoskeletal isoform is found along microfilament bundles and adherens-type junctions, where it is involved in binding actin to the membrane. In contrast, skeletal, cardiac, and smooth muscle isoforms are localized to the Z-disc and analogous dense bodies, where they help anchor the myofibrillar actin filaments. This gene encodes a nonmuscle, alpha actinin isoform which is concentrated in the cytoplasm, and thought to be involved in metastatic processes. Mutations in this gene have been associated with focal and segmental glomerulosclerosis.

          仅用于科研。不用于诊断过程。未经明确授权不得转售。

          生物信息学

          蛋白别名: actinin-Alpha-4; alpha actinin 4; Alpha-actinin-4; F-actin cross-linking protein; focal segmental glomerulosclerosis 1; Non-muscle alpha-actinin 4; transcriptional coactivator; unnamed protein product

          查看更多 收起

          基因别名: ACTININ-4; ACTN4; C77391; FSGS; FSGS1

          查看更多 收起

          UniProt ID: (Human) O43707, (Mouse) P57780, (Rat) Q9QXQ0

          查看更多 收起

          Entrez Gene ID: (Human) 81, (Mouse) 60595, (Rat) 63836

          查看更多 收起

          功能
          RNA polymerase II regulatory region sequence-specific DNA binding nucleoside binding transcription coactivator activity RNA binding actin binding integrin binding calcium ion binding protein binding ligand-dependent nuclear receptor binding chromatin DNA binding identical protein binding protein homodimerization activity retinoic acid receptor binding ion channel binding metal ion binding actin filament binding ligand-dependent nuclear receptor transcription coactivator activity protein complex binding nuclear hormone receptor binding poly(A) RNA binding protein N-terminus binding
          参与通路
          transport protein transport peroxisome proliferator activated receptor signaling pathway regulation of apoptotic process retinoic acid receptor signaling pathway positive regulation of pinocytosis actin filament bundle assembly negative regulation of cellular component movement positive regulation of cellular component movement bicellular tight junction assembly protein localization to bicellular tight junction regulation of nucleic acid-templated transcription response to hypoxia actin cytoskeleton organization vesicle transport along actin filament positive regulation of cell migration positive regulation of sodium:proton antiporter activity tumor necrosis factor-mediated signaling pathway positive regulation of transcription from RNA polymerase II promoter muscle cell development negative regulation of substrate adhesion-dependent cell spreading positive regulation of NIK/NF-kappaB signaling
          It has to be done as per old AB suggested Products section.

          Disclaimer

          Close

          Clicking the images or links will redirect you to a website hosted by BenchSci that provides third-party scientific content. Neither the content nor the BenchSci technology and processes for selection have been evaluated by us; we are providing them as-is and without warranty of any kind, including for use or application of the Thermo Fisher Scientific products presented.

          guarantee_icon

          性能保障

          只要您发现Invitrogen抗体在实验中的表现与网站或说明书的所述内容不符,您即可享受免费退换货服务。*

          了解更多
          help_icon

          随时为您服务

          获取常见问题的专家解答,或者直接联系我们的技术专家,咨询应用、设备、常规产品使用问题。

          联系技术支持
          订购 Plus Icon Minus Icon
          • 订单状态查询
          • 订单支持
          • 货号直购
          • 现货供应中心
          • 电子采购
          支持 Plus Icon Minus Icon
          • 帮助&支持
          • 联系我们 - 400 820 8982
          • 技术支持中心
          • 查找文件&证书
          • 报告网站问题
          资源 Plus Icon Minus Icon
          • 学习中心
          • 促销
          • 活动&研讨会
          • 社交媒体
          关于赛默飞 Plus Icon Minus Icon
          • 关于我们
          • 招聘 招聘
          • 投资者关系 投资者关系
          • 新闻 新闻
          • 社会责任 社会责任
          • 商标
          • 政策和通知
          品牌 Plus Icon Minus Icon
          • Thermo Scientific
          • Applied Biosystems
          • Invitrogen
          • Gibco
          • Ion Torrent
          • Unity Lab Services
          • Patheon
          • PPD
          • 服务条款
          • 隐私政策
          • 定价和运输保险政策
          © 2006-2026 Thermo Fisher Scientific Inc. All rights reserved. All trademarks are the property of Thermo Fisher Scientific and its subsidiaries unless otherwise specified.
          China flag icon
          China
          本网站销售的所有产品均不得用于人类或动物之临床诊断或治疗,仅可用于工业或者科研等非医疗目的。
             电子营业执照 | 经营证照公示 | ICP备案号:沪ICP备11003924号 | 沪公网安备 31011502006935号

          Your items have has been added!


          Host server : magellan-search-green-6479c7f679-zb4k5:80/100.66.74.142:80.
          git-commit: b70c0dceb888abc3b0dcebb5bc3a5b8753e7e816
          git-url: https://github.com/thermofisher/magellan-search
          git-branch: release/2.50.0-Offline