Hamburger Menu Button
Thermo Fisher Scientific Logo
登录
没有账号?建立账号 注册
  • 产品
    • 抗体
    • 引物合成
    • GeneArt Gene Synthesis Instant Designer
    • TaqMan Assay and Array Search
    • PCR 设备和耗材
    • 色谱柱和纯化柱
    • 实验室离心机
    • 分子生物学试剂和试剂盒
    • 实验室塑料耗材及用品
    • 查看所有产品分类
  • 应用和技术
    • 色谱
    • 细胞转染和培养
    • 实时荧光定量PCR
    • 质谱
    • 实验室塑料耗材及用品
    • 电子显微镜
    • 蛋白质生物学
    • PCR
    • RNAi
    • 环境
    • 查看所有应用和技术
  • 服务
    • 定制服务
    • 企业级实验室信息化服务
    • 金融&租赁服务
    • 仪器服务
    • OEM和商业供应
    • 培训服务
    • 360° CDMO 和 CRO 服务
    • CDMO 服务
    • 临床试验 CRO 服务
    • Unity Lab Services
    • 查看所有帮助和支持
  • 帮助和支持
    • 学习中心
    • 联系我们
    • 更改国家或地区
    • 查看所有帮助和支持
  • 热门产品
    • TaqMan Real-Time PCR Assays
      TaqMan 实时荧光定量 PCR 试剂盒
    • Antibodies
      抗体
    • Oligos, Primers & Probes
      寡核苷酸、引物、探针
    • GeneArt Gene Synthesis
      GeneArt 基因合成
    • Cell Culture Plastics
      细胞培养耗材
  • Who We Serve
    • 抗体治疗解决方案
    • 细胞与基因治疗解决方案
    • 学术科研
    • 工业与应用
  • 联系我们
  • 货号直购
  • 订单查询
  • 查找文件&证书
Thermo Fisher Scientific Logo

Search

搜索全部或下列指定分类
Search button
          • 联系我们
          • 货号直购
          • 登录
            登录
            没有账号?建立账号 注册
            • 我的账号
            • 订单
            • 会员中心
            • 账单及发票查询
            • 定制产品及项目
          • Primary Antibodies ›
          • ACVRL1 Antibodies

          Invitrogen

          ACVRL1 Recombinant Rabbit Monoclonal Antibody (8B6)

          高级验证
          查看其他25个ACVRL1抗体

          {{$productOrderCtrl.translations['antibody.pdp.commerceCard.promotion.promotions']}}

          {{$productOrderCtrl.translations['antibody.pdp.commerceCard.promotion.viewpromo']}}

          {{$productOrderCtrl.translations['antibody.pdp.commerceCard.promotion.promocode']}}: {{promo.promoCode}} {{promo.promoTitle}} {{promo.promoDescription}}. {{$productOrderCtrl.translations['antibody.pdp.commerceCard.promotion.learnmore']}}

          说明书
          证书
          实验方案
          问题与答案
          技术支持
          说明书
          证书
          实验方案
          问题与答案
          技术支持
          说明书
          证书
          实验方案
          问题与答案
          技术支持

          Cite ACVRL1 Recombinant Rabbit Monoclonal Antibody (8B6)

          Additional Information:
          {{banner.description}}
          {{$ctrl.isSkuNotesCollapsed ? 'View more' : 'View less'}}
          • 抗体检测数据 (4)
          • 高级验证 (1)
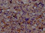
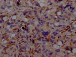
          ACVRL1 Antibody in Immunohistochemistry (Paraffin) (IHC (P))
          Group 53 Created with Sketch.
          ACVRL1 Antibody in Immunohistochemistry (Paraffin) (IHC (P))
          Group 53 Created with Sketch.

          图: 1 / 5

          {{ $ctrl.currentElement.advancedVerification.fullName }}
          {{ $ctrl.currentElement.advancedVerification.text }}

          ACVRL1 Antibody (MA5-38358) in IHC (P)

          Immunohistochemical analysis of ACVRL1 was performed using formalin-fixed paraffin-embedded human breast (infiltrating ductal carcinoma) tissue sections. To expose the target protein, heat-induced epitope retrieval was performed on de-paraffinized sections using eBioscience™ IHC Antigen Retrieval Solution - Low pH (10X) (Product # 00-4955-58) diluted to 1X solution in water in a decloaking chamber at 110 de... View More {{ $ctrl.currentElement.advancedVerification.fullName }} 验证信息 View more
          已发表图片由___提供 benchsci-logo
          PMID: {{$ctrl.currentElement.benchSciPubmedId}}
          查看产品

          {{$ctrl.videoDesc}}

          {{$ctrl.videoLongDesc}}

          ACVRL1 Antibody in Immunohistochemistry (Paraffin) (IHC (P))
          ACVRL1 Antibody in Immunohistochemistry (Paraffin) (IHC (P))
          ACVRL1 Antibody in Western Blot (WB)
          ACVRL1 Antibody in Western Blot (WB)
          ACVRL1 Antibody
          ACVRL1 Recombinant Rabbit Monoclonal Antibody (8B6)

          产品信息

          MA5-38358

          应用
          建议稀释比
          已发表文章

          免疫印迹 (WB)

          1:500-1:5,000
          -

          免疫组化(石蜡) (IHC (P))

          1:50-1:200
          -
          产品规格

          种属反应

          Human, Mouse, Rat

          宿主/亚型

          Rabbit / IgG

          Expression System

          HEK293 cells

          分类

          Recombinant Monoclonal

          类型

          Antibody

          克隆号

          8B6

          抗原

          A synthesized peptide derived from human ACVRL1 (aa 489-503).
          3D表位/免疫原

          偶联物

          Unconjugated Unconjugated Unconjugated

          形式

          Liquid

          浓度

          0.8 mg/mL

          规格

          80 µg

          纯化类型

          Affinity chromatography

          保存液

          PBS, pH 7.4, with 50% glycerol, 0.05% BSA

          内含物

          0.02% sodium azide

          保存条件

          -20°C or -80°C if preferred

          运输条件

          Ambient (domestic); Wet ice (international)

          RRID

          AB_2898272

          产品详细信息

          This antibody has been tested in direct-ELISA

          靶标信息

          Activin A receptor type II-like 1 (ACVRL1) is a type I cell-surface receptor for the TGF-beta superfamily of ligands. ACVRL1, similar to other type 1 receptors, has a conserved serine-threonine kinase subdomain, a glycine- and serine-rich region (called the GS domain) preceding the kinase domain, and a short C-terminal tail. Mutations in ACVRL1 are associated with hemorrhagic telangiectasia type 2. Mutations in ACVRL1 have been linked to Fibrodysplasia Ossificans Progressiva (FOP), a rare genetic disorder characterized by the formation of bone in muscles, tendons, and other connective tissues, as well as Epicanthus.

          仅用于科研。不用于诊断过程。未经明确授权不得转售。

          篇参考文献 (0)

          您是否在文献中引用过该产品?请点击下方按钮邮件告知我们。
          引用该产品

          生物信息学

          蛋白别名: activin A receptor type II-like 1; activin A receptor type IL; activin A receptor, type II-like kinase 1; Activin receptor like kinase 1; Activin receptor type-1-like; Activin receptor-like kinase 1; activin receptor-like kinase-1; ALK-1; Serine/threonine-protein kinase receptor R3; serine/threonine-protein kinase receptor R3; TGF-B superfamily receptor type I; activin receptor-like kinase 1; SKR3; TGF-B superfamily receptor type I; TSR-I; unnamed protein product

          查看更多 收起

          基因别名: ACVRL1; ACVRLK1; AI115505; AI427544; ALK-1; ALK1; HHT; HHT2; ORW2; R-3; R3; SETHKIR; SKR3; TSR-I

          查看更多 收起

          UniProt ID: (Human) P37023, (Rat) P80203, (Mouse) Q61288

          查看更多 收起

          Entrez Gene ID: (Human) 94, (Rat) 25237, (Mouse) 11482

          查看更多 收起

          功能
          nucleotide binding protein kinase activity protein serine/threonine kinase activity transmembrane receptor protein serine/threonine kinase activity transforming growth factor beta-activated receptor activity transforming growth factor beta receptor activity, type I protein binding ATP binding kinase activity activin receptor activity, type I transferase activity protein kinase binding SMAD binding metal ion binding activin binding transforming growth factor beta binding BMP receptor activity receptor signaling protein serine/threonine kinase activity transferase activity, transferring phosphorus-containing groups serine/threonine protein kinase receptor
          参与通路
          angiogenesis in utero embryonic development regulation of endothelial cell proliferation negative regulation of endothelial cell proliferation positive regulation of endothelial cell proliferation lymphangiogenesis blood vessel maturation blood vessel remodeling blood vessel endothelial cell proliferation involved in sprouting angiogenesis endocardial cushion morphogenesis regulation of DNA replication regulation of transcription, DNA-templated negative regulation of cell adhesion signal transduction transmembrane receptor protein serine/threonine kinase signaling pathway transforming growth factor beta receptor signaling pathway heart development blood circulation regulation of blood pressure negative regulation of cell proliferation dorsal/ventral pattern formation negative regulation of endothelial cell migration negative regulation of gene expression cell differentiation negative regulation of cell growth negative regulation of cell migration BMP signaling pathway positive regulation of BMP signaling pathway positive regulation of epithelial cell differentiation positive regulation of chondrocyte differentiation activin receptor signaling pathway wound healing, spreading of epidermal cells dorsal aorta morphogenesis regulation of blood vessel endothelial cell migration negative regulation of blood vessel endothelial cell migration endothelial cell differentiation positive regulation of cell differentiation negative regulation of endothelial cell differentiation positive regulation of endothelial cell differentiation positive regulation of Notch signaling pathway positive regulation of angiogenesis positive regulation of transcription, DNA-templated positive regulation of transcription from RNA polymerase II promoter blood vessel morphogenesis positive regulation of multicellular organismal process negative regulation of focal adhesion assembly positive regulation of SMAD protein import into nucleus epithelial tube morphogenesis lymphatic endothelial cell differentiation artery development venous blood vessel development endothelial tube morphogenesis retina vasculature development in camera-type eye cellular response to growth factor stimulus cellular response to transforming growth factor beta stimulus cellular response to BMP stimulus circulatory system development endocardial cushion to mesenchymal transition positive regulation of bicellular tight junction assembly regulation of multicellular organismal development protein phosphorylation positive regulation of pathway-restricted SMAD protein phosphorylation signal transduction by protein phosphorylation protein heterooligomerization negative regulation of DNA biosynthetic process phosphorylation intracellular signal transduction endothelial cell activation
          It has to be done as per old AB suggested Products section.

          Disclaimer

          Close

          Clicking the images or links will redirect you to a website hosted by BenchSci that provides third-party scientific content. Neither the content nor the BenchSci technology and processes for selection have been evaluated by us; we are providing them as-is and without warranty of any kind, including for use or application of the Thermo Fisher Scientific products presented.

          guarantee_icon

          性能保障

          只要您发现Invitrogen抗体在实验中的表现与网站或说明书的所述内容不符,您即可享受免费退换货服务。*

          了解更多
          help_icon

          随时为您服务

          获取常见问题的专家解答,或者直接联系我们的技术专家,咨询应用、设备、常规产品使用问题。

          联系技术支持
          订购 Plus Icon Minus Icon
          • 订单状态查询
          • 订单支持
          • 货号直购
          • 现货供应中心
          • 电子采购
          支持 Plus Icon Minus Icon
          • 帮助&支持
          • 联系我们 - 400 820 8982
          • 技术支持中心
          • 查找文件&证书
          • 报告网站问题
          资源 Plus Icon Minus Icon
          • 学习中心
          • 促销
          • 活动&研讨会
          • 社交媒体
          关于赛默飞 Plus Icon Minus Icon
          • 关于我们
          • 招聘 招聘
          • 投资者关系 投资者关系
          • 新闻 新闻
          • 社会责任 社会责任
          • 商标
          • 政策和通知
          品牌 Plus Icon Minus Icon
          • Thermo Scientific
          • Applied Biosystems
          • Invitrogen
          • Gibco
          • Ion Torrent
          • Unity Lab Services
          • Patheon
          • PPD
          • 服务条款
          • 隐私政策
          • 定价和运输保险政策
          © 2006-2026 Thermo Fisher Scientific Inc. All rights reserved. All trademarks are the property of Thermo Fisher Scientific and its subsidiaries unless otherwise specified.
          China flag icon
          China
          本网站销售的所有产品均不得用于人类或动物之临床诊断或治疗,仅可用于工业或者科研等非医疗目的。
             电子营业执照 | 经营证照公示 | ICP备案号:沪ICP备11003924号 | 沪公网安备 31011502006935号

          Your items have has been added!


          Host server : magellan-search-green-6479c7f679-zb4k5:80/100.66.74.142:80.
          git-commit: b70c0dceb888abc3b0dcebb5bc3a5b8753e7e816
          git-url: https://github.com/thermofisher/magellan-search
          git-branch: release/2.50.0-Offline