Hamburger Menu Button
Thermo Fisher Scientific Logo
登录
没有账号?建立账号 注册
  • 产品
    • 抗体
    • 引物合成
    • GeneArt Gene Synthesis Instant Designer
    • TaqMan Assay and Array Search
    • PCR 设备和耗材
    • 色谱柱和纯化柱
    • 实验室离心机
    • 分子生物学试剂和试剂盒
    • 实验室塑料耗材及用品
    • 查看所有产品分类
  • 应用和技术
    • 色谱
    • 细胞转染和培养
    • 实时荧光定量PCR
    • 质谱
    • 实验室塑料耗材及用品
    • 电子显微镜
    • 蛋白质生物学
    • PCR
    • RNAi
    • 环境
    • 查看所有应用和技术
  • 服务
    • 定制服务
    • 企业级实验室信息化服务
    • 金融&租赁服务
    • 仪器服务
    • OEM和商业供应
    • 培训服务
    • 360° CDMO 和 CRO 服务
    • CDMO 服务
    • 临床试验 CRO 服务
    • Unity Lab Services
    • 查看所有帮助和支持
  • 帮助和支持
    • 学习中心
    • 联系我们
    • 更改国家或地区
    • 查看所有帮助和支持
  • 热门产品
    • TaqMan Real-Time PCR Assays
      TaqMan 实时荧光定量 PCR 试剂盒
    • Antibodies
      抗体
    • Oligos, Primers & Probes
      寡核苷酸、引物、探针
    • GeneArt Gene Synthesis
      GeneArt 基因合成
    • Cell Culture Plastics
      细胞培养耗材
  • Who We Serve
    • 抗体治疗解决方案
    • 细胞与基因治疗解决方案
    • 学术科研
    • 工业与应用
  • 联系我们
  • 货号直购
  • 订单查询
  • 查找文件&证书
Thermo Fisher Scientific Logo

Search

搜索全部或下列指定分类
Search button
          • 联系我们
          • 货号直购
          • 登录
            登录
            没有账号?建立账号 注册
            • 我的账号
            • 订单
            • 账单及发票查询
            • 定制产品及项目
          • Primary Antibodies ›
          • beta-1 Adrenergic Receptor Antibodies

          Proteintech

          ADRB1 Polyclonal Antibody

          查看其他13个beta-1 Adrenergic Receptor抗体

          {{$productOrderCtrl.translations['antibody.pdp.commerceCard.promotion.promotions']}}

          {{$productOrderCtrl.translations['antibody.pdp.commerceCard.promotion.viewpromo']}}

          {{$productOrderCtrl.translations['antibody.pdp.commerceCard.promotion.promocode']}}: {{promo.promoCode}} {{promo.promoTitle}} {{promo.promoDescription}}. {{$productOrderCtrl.translations['antibody.pdp.commerceCard.promotion.learnmore']}}

          说明书
          证书
          实验方案
          问题与答案
          技术支持
          说明书
          证书
          实验方案
          问题与答案
          技术支持
          说明书
          证书
          实验方案
          问题与答案
          技术支持

          Cite ADRB1 Polyclonal Antibody

          Additional Information:
          {{banner.description}}
          {{$ctrl.isSkuNotesCollapsed ? 'View more' : 'View less'}}
          • 抗体检测数据 (2)
          ADRB1 Antibody in Immunohistochemistry (Paraffin) (IHC (P))
          Group 53 Created with Sketch.
          ADRB1 Antibody in Immunohistochemistry (Paraffin) (IHC (P))
          Group 53 Created with Sketch.

          图: 1 / 2

          {{ $ctrl.currentElement.advancedVerification.fullName }}
          {{ $ctrl.currentElement.advancedVerification.text }}

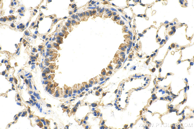
          ADRB1 Antibody (28323-1-AP) in IHC (P)

          Immunohistochemical analysis of paraffin-embedded mouse lung tissue slide using 28323-1-AP (ADRB1 antibody) at dilution of 1:200 (under 40x lens). Heat mediated antigen retrieval with Tris-EDTA buffer (pH 9.0). {{ $ctrl.currentElement.advancedVerification.fullName }} 验证信息 View more
          已发表图片由___提供 benchsci-logo
          PMID: {{$ctrl.currentElement.benchSciPubmedId}}
          查看产品

          {{$ctrl.videoDesc}}

          {{$ctrl.videoLongDesc}}

          ADRB1 Antibody in Immunohistochemistry (Paraffin) (IHC (P))
          ADRB1 Antibody in Western Blot (WB)
          ADRB1 Polyclonal Antibody

          产品信息

          28323-1-AP

          应用
          建议稀释比
          已发表文章

          免疫印迹 (WB)

          1:1,000-1:4,000
          -

          免疫组化(石蜡) (IHC (P))

          1:50-1:500
          -

          酶联免疫吸附实验 (ELISA)

          Assay-dependent
          -
          产品规格

          种属反应

          Human, Mouse, Rat

          宿主/亚型

          Rabbit / IgG

          分类

          Polyclonal

          类型

          Antibody

          抗原

          Recombinant protein
          3D表位/免疫原

          偶联物

          Unconjugated Unconjugated Unconjugated

          形式

          Liquid

          纯化类型

          Antigen affinity chromatography

          保存液

          PBS with 50% glycerol

          内含物

          0.02% sodium azide

          保存条件

          -20°C

          运输条件

          Wet ice

          产品详细信息

          Immunogen sequence: MQRLLCCARR AARRRHATHG DRPRASGCLA RPGPPPSPGA ASDDDDDDVV GATPPARLLE PWAGCNGGAA ADSDSSLDEP CRPGFASESK V

          靶标信息

          Adrenergic receptors (ARs) are members of the 7-transmembrane domain G-protein-coupled receptor superfamily that bind the endogenous catecholamines epinephrine and norepinephrine. Pharmacological, structural, and molecular cloning data indicate significant heterogeneity within this receptor family. Nine receptor subtypes have been identified thus far including three alpha-1 AR subtypes (1A/D, 1B, and 1C), three alpha-2 ARs (2A, 2B, and 2C), and three beta AR subtypes (1, 2, and 3). ARs participate in either the onset or maintenance of several disease states including hypertension, cardiac dysfunction (congestive heart failure, ischemia, arrhythmias), diabetes, glaucoma, depression, and impotence. BARs participate in diverse processes including development, behavior, cardiac function, smooth muscle tone, and metabolism. In gene-knockout experiments, the majority of mice that lack the B1AR gene die prenatally and those that do survive until adulthood display abnormal cardiac function. Other studies have shown that the direct regulation of cardiac B1AR density by thyroid hormones occurs at the transcriptional level and is modulated by the catecholamine sensitive-adenylyl cyclase system. Evidence for the effects of cAMP on B1AR regulation has come from a study of members of the cAMP response element (CRE) modulator (CREM) family of transcription factors in transformed cell lines.

          仅用于科研。不用于诊断过程。未经明确授权不得转售。

          篇参考文献 (0)

          您是否在文献中引用过该产品?请点击下方按钮邮件告知我们。
          引用该产品

          生物信息学

          蛋白别名: adrenergic receptor, beta 1; adrenergic, beta-1-, receptor; beta 1-adrenergic receptor beta 1-AR; beta 1-AR; Beta-1 adrenergic receptor; Beta-1 adrenoceptor; Beta-1 adrenoreceptor; beta-1-adrenergic receptor; cardiac beta adrenergic receptor

          查看更多 收起

          基因别名: Adrb-1; ADRB1; ADRB1R; B1AR; beta-AR; BETA1AR; FNSS2; RATB1AR; RHR

          查看更多 收起

          UniProt ID: (Human) P08588, (Mouse) P34971, (Rat) P18090

          查看更多 收起

          Entrez Gene ID: (Human) 153, (Mouse) 11554, (Rat) 24925

          查看更多 收起

          功能
          G-protein coupled receptor activity adrenergic receptor activity beta-adrenergic receptor activity beta1-adrenergic receptor activity protein binding PDZ domain binding alpha-2A adrenergic receptor binding protein heterodimerization activity G protein-coupled neurotransmitter receptor activity involved in regulation of postsynaptic membrane potential signal transducer activity receptor signaling protein activity Ras guanyl-nucleotide exchange factor activity drug binding dopamine binding epinephrine binding norepinephrine binding G-protein coupled receptor
          参与通路
          positive regulation of heart rate by epinephrine-norepinephrine positive regulation of the force of heart contraction by epinephrine-norepinephrine diet induced thermogenesis vasodilation by norepinephrine-epinephrine involved in regulation of systemic arterial blood pressure signal transduction G-protein coupled receptor signaling pathway adenylate cyclase-activating G-protein coupled receptor signaling pathway response to cold heat generation negative regulation of multicellular organism growth fear response positive regulation of MAPK cascade regulation of circadian sleep/wake cycle, sleep positive regulation of heart contraction brown fat cell differentiation regulation of postsynaptic membrane potential adenylate cyclase-activating adrenergic receptor signaling pathway positive regulation of cold-induced thermogenesis positive regulation of the force of heart contraction by norepinephrine positive regulation of systemic arterial blood pressure glycogen catabolic process apoptotic process Rho protein signal transduction cell-cell signaling memory positive regulation of heart rate sensory perception of pain positive regulation of cAMP biosynthetic process protein localization to organelle negative regulation of urine volume wound healing positive regulation of apoptotic process positive regulation of GTPase activity positive regulation of cAMP-mediated signaling positive regulation of adenylate cyclase activity negative regulation of smooth muscle contraction positive regulation of saliva secretion regulation of calcium ion transport lipid homeostasis inhibitory postsynaptic potential positive regulation of cell growth involved in cardiac muscle cell development adrenergic receptor signaling pathway regulation of cardiac muscle cell contraction positive regulation of renin secretion into blood stream positive regulation of long-term synaptic potentiation positive regulation of cation channel activity aging
          It has to be done as per old AB suggested Products section.

          Disclaimer

          Close

          Clicking the images or links will redirect you to a website hosted by BenchSci that provides third-party scientific content. Neither the content nor the BenchSci technology and processes for selection have been evaluated by us; we are providing them as-is and without warranty of any kind, including for use or application of the Thermo Fisher Scientific products presented.

          guarantee_icon

          性能保障

          只要您发现Invitrogen抗体在实验中的表现与网站或说明书的所述内容不符,您即可享受免费退换货服务。*

          了解更多
          help_icon

          随时为您服务

          获取常见问题的专家解答,或者直接联系我们的技术专家,咨询应用、设备、常规产品使用问题。

          联系技术支持
          订购 Plus Icon Minus Icon
          • 订单状态查询
          • 订单支持
          • 货号直购
          • 现货供应中心
          • 电子采购
          支持 Plus Icon Minus Icon
          • 帮助&支持
          • 联系我们 - 400 820 8982
          • 技术支持中心
          • 查找文件&证书
          • 报告网站问题
          资源 Plus Icon Minus Icon
          • 学习中心
          • 促销
          • 活动&研讨会
          • 社交媒体
          关于赛默飞 Plus Icon Minus Icon
          • 关于我们
          • 招聘 招聘
          • 投资者关系 投资者关系
          • 新闻 新闻
          • 社会责任 社会责任
          • 商标
          • 政策和通知
          品牌 Plus Icon Minus Icon
          • Thermo Scientific
          • Applied Biosystems
          • Invitrogen
          • Gibco
          • Ion Torrent
          • Unity Lab Services
          • Patheon
          • PPD
          • 服务条款
          • 隐私政策
          • 定价和运输保险政策
          © 2006-2026 Thermo Fisher Scientific Inc. All rights reserved. All trademarks are the property of Thermo Fisher Scientific and its subsidiaries unless otherwise specified.
          China flag icon
          China
          本网站销售的所有产品均不得用于人类或动物之临床诊断或治疗,仅可用于工业或者科研等非医疗目的。
             电子营业执照 | 经营证照公示 | ICP备案号:沪ICP备11003924号 | 沪公网安备 31011502006935号

          Your items have has been added!


          Host server : magellan-search-green-6b469b8bb7-lcddp:80/100.66.76.150:80.
          git-commit: a334af76dff23450325448aedefe62379591458a
          git-url: https://github.com/thermofisher/magellan-search
          git-branch: release/2.48.1-2026.04.16-1.0