Hamburger Menu Button
Thermo Fisher Scientific Logo
登录
没有账号?建立账号 注册
  • 产品
    • 抗体
    • 引物合成
    • GeneArt Gene Synthesis Instant Designer
    • TaqMan Assay and Array Search
    • PCR 设备和耗材
    • 色谱柱和纯化柱
    • 实验室离心机
    • 分子生物学试剂和试剂盒
    • 实验室塑料耗材及用品
    • 查看所有产品分类
  • 应用和技术
    • 色谱
    • 细胞转染和培养
    • 实时荧光定量PCR
    • 质谱
    • 实验室塑料耗材及用品
    • 电子显微镜
    • 蛋白质生物学
    • PCR
    • RNAi
    • 环境
    • 查看所有应用和技术
  • 服务
    • 定制服务
    • 企业级实验室信息化服务
    • 企业服务
    • 金融&租赁服务
    • 仪器服务
    • OEM和商业供应
    • 培训服务
    • 360° CDMO 和 CRO 服务
    • CDMO 服务
    • 临床试验 CRO 服务
    • 查看所有帮助和支持
  • 帮助和支持
    • 学习中心
    • 联系我们
    • 更改国家或地区
    • 查看所有帮助和支持
  • 热门产品
    • TaqMan Real-Time PCR Assays
      TaqMan 实时荧光定量 PCR 试剂盒
    • Antibodies
      抗体
    • Oligos, Primers & Probes
      寡核苷酸、引物、探针
    • GeneArt Gene Synthesis
      GeneArt 基因合成
    • Cell Culture Plastics
      细胞培养耗材
  • 联系我们
  • 货号直购
  • 订单查询
  • 查找文件&证书
Thermo Fisher Scientific Logo

Search

搜索全部或下列指定分类
Search button
          • 联系我们
          • 货号直购
          • 登录
            登录
            没有账号?建立账号 注册
            • 我的账号
            • 订单
            • 账单及发票查询
            • 定制产品及项目

          Disclaimer

          Clicking the images or links will redirect you to a website hosted by BenchSci that provides third-party scientific content. Neither the content nor the BenchSci technology and processes for selection have been evaluated by us; we are providing them as-is and without warranty of any kind, including for use or application of the Thermo Fisher Scientific products presented.

          • Primary Antibodies ›
          • AGO2 Antibodies

          Invitrogen

          AGO2 Recombinant Rabbit Monoclonal Antibody (10S10L5)

          查看其他25个AGO2抗体

          {{$productOrderCtrl.translations['antibody.pdp.commerceCard.promotion.promotions']}}

          {{$productOrderCtrl.translations['antibody.pdp.commerceCard.promotion.viewpromo']}}

          {{$productOrderCtrl.translations['antibody.pdp.commerceCard.promotion.promocode']}}: {{promo.promoCode}} {{promo.promoTitle}} {{promo.promoDescription}}. {{$productOrderCtrl.translations['antibody.pdp.commerceCard.promotion.learnmore']}}

          说明书
          证书
          实验方案
          问题与答案
          技术支持
          说明书
          证书
          实验方案
          问题与答案
          技术支持
          说明书
          证书
          实验方案
          问题与答案
          技术支持

          Cite AGO2 Recombinant Rabbit Monoclonal Antibody (10S10L5)

          • 抗体检测数据 (4)
          AGO2 Antibody in Immunohistochemistry (Paraffin) (IHC (P))
          Group 53 Created with Sketch.
          AGO2 Antibody in Immunohistochemistry (Paraffin) (IHC (P))
          Group 53 Created with Sketch.

          图: 1 / 4

          {{ $ctrl.currentElement.advancedVerification.fullName }}
          {{ $ctrl.currentElement.advancedVerification.text }}

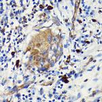
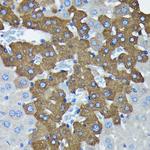
          AGO2 Antibody (MA5-37960) in IHC (P)

          Immunohistochemistry analysis of AGO2 in paraffin-embedded human lung cancer. Samples were incubated with AGO2 Monoclonal antibody (Product # MA5-37960) using a dilution of 1:100 (40x lens). Perform microwave antigen retrieval with 10 mM PBS buffer pH 7.2 before commencing with IHC staining protocol. {{ $ctrl.currentElement.advancedVerification.fullName }} 验证信息 View more
          已发表图片由___提供 benchsci-logo
          PMID: {{$ctrl.currentElement.benchSciPubmedId}}
          查看产品

          {{$ctrl.videoDesc}}

          {{$ctrl.videoLongDesc}}

          AGO2 Antibody in Immunohistochemistry (Paraffin) (IHC (P))
          AGO2 Antibody in Immunohistochemistry (Paraffin) (IHC (P))
          AGO2 Antibody in Immunohistochemistry (Paraffin) (IHC (P))
          AGO2 Antibody in Western Blot (WB)
          AGO2 Recombinant Rabbit Monoclonal Antibody (10S10L5)

          产品信息

          MA5-37960

          应用
          建议稀释比
          已发表文章

          免疫印迹 (WB)

          1:500-1:2,000
          -

          免疫组化(石蜡) (IHC (P))

          1:100-1:400
          -

          酶联免疫吸附实验 (ELISA)

          1 µg/mL
          -
          产品规格

          种属反应

          Human, Mouse, Rat

          宿主/亚型

          Rabbit / IgG

          Expression System

          HEK293 cells

          分类

          Recombinant Monoclonal

          类型

          Antibody

          克隆号

          10S10L5

          抗原

          Synthetic peptide
          查看免疫原

          偶联物

          Unconjugated Unconjugated Unconjugated

          形式

          Liquid

          浓度

          0.6 mg/mL

          纯化类型

          Affinity chromatography

          保存液

          PBS, pH 7.3, with 50% glycerol, 0.05% BSA

          内含物

          0.02% sodium azide

          保存条件

          -20°C, Avoid Freeze/Thaw Cycles

          运输条件

          Ambient (domestic); Wet ice (international)

          RRID

          AB_2897880

          产品详细信息

          Positive Samples: 293T, U-87MG, MCF7, HepG2, Mouse kidney, Rat liver

          Immunogen sequence: QRCIKKLTDN QTSTMIRATA RSAPDRQEEI SKLMRSASFN TDPYVREFGI MVKDEMTDVT GRVLQPPSIL YGGRNKAIAT PVQGVWDMRN KQFHTGIEIK V

          靶标信息

          Ago proteins are broadly expressed in somatic cells, associate with miRNAs and are key actors in different RNA silencing pathways. However, only the Ago2 protein displays endonucleolytic or 'Slicer' activity and can therefore execute miRNA-directed cleavage of target mRNA, provided that the base-pairing between the Ago2-associated miRNA and the mRNA sequence is perfect. In case of partial complementarity, the Ago2 protein fails to cleave, but instead interferes with translation of the target mRNA via its translational repression activity. Ago2 has been shown to play a non-redundant role in small RNA guided gene silencing processes, including RNA interference, translation repression and heterochromatinization. As a core element of the RISC complex, AGO2 initiates the degradation of target mRNAs through its catalytic activity in gene silencing processes guided by siRNAs or miRNAs. In addition to mRNA degradation or gene silencing guided by miRNAs, Ago2 also acts as a RNA slicer in a Dicer-independent way, as well as a regulator of miRNA maturation. Over-expression of Ago2 has been correlated with several aspects of cancers, including tumor cell growth and the overall survival of cancer patients. Furthermore, gene disruption in the mouse demonstrated that the Ago2 protein is essential for embryonic development and a key regulator of B-lymphoid and erythroid development.

          仅用于科研。不用于诊断过程。未经明确授权不得转售。

          篇参考文献 (0)

          您是否在文献中引用过该产品?请点击下方按钮邮件告知我们。
          引用该产品

          生物信息学

          蛋白别名: AGO1; argonaute 2; Argonaute RISC catalytic component 2; Argonaute1; Argonaute2; argonaute2 {ECO:0000255|HAMAP-Rule:MF_03031}; CTA-204B4.6; eIF-2C 1; eIF-2C 2; eIF-2C 2 {ECO:0000255|HAMAP-Rule:MF_03031}; eIF2C; eIF2C 1; eIF2C 2; eIF2C 2 {ECO:0000255|HAMAP-Rule:MF_03031}; EIF2C1; Eukaryotic translation initiation factor 2C 2; eukaryotic translation initiation factor 2C 2 {ECO:0000255|HAMAP-Rule:MF_03031}; eukaryotic translation initiation factor 2C, 2; GERp95; golgi ER protein 95 kDa; hAgo1; hAgo2; mAgo2; PAZ Piwi domain protein; Piwi/Argonaute family protein meIF2C2; PPD; Protein argonaute-1; Protein argonaute-2; Protein slicer

          查看更多 收起

          基因别名: 1110029L17Rik; 2310051F07Rik; AGO2; AI225898; AL022874; AW546247; EIF2C2; ENSMUSG00000072493; Gerp95; Gm10365; Kiaa4215; mKIAA4215; Q10

          查看更多 收起

          UniProt ID: (Human) Q9UKV8, (Mouse) Q8CJG0

          查看更多 收起

          Entrez Gene ID: (Human) 27161, (Rat) 59117, (Mouse) 239528

          查看更多 收起

          功能
          RNA 7-methylguanosine cap binding RNA polymerase II core binding core promoter binding double-stranded RNA binding single-stranded RNA binding mRNA binding translation initiation factor activity endoribonuclease activity protein binding protein C-terminus binding siRNA binding miRNA binding poly(A) RNA binding metal ion binding endoribonuclease activity, cleaving siRNA-paired mRNA endoribonuclease activity, cleaving miRNA-paired mRNA molecular_function RNA binding pre-miRNA binding nucleic acid binding nuclease activity endonuclease activity hydrolase activity translation initiation factor
          参与通路
          transcription, DNA-templated translation translational initiation Wnt signaling pathway, calcium modulating pathway post-embryonic development RNA secondary structure unwinding miRNA metabolic process gene silencing by RNA pre-miRNA processing siRNA loading onto RISC involved in RNA interference posttranscriptional gene silencing by RNA production of miRNAs involved in gene silencing by miRNA miRNA mediated inhibition of translation mRNA cleavage involved in gene silencing by miRNA miRNA loading onto RISC involved in gene silencing by miRNA positive regulation of transcription from RNA polymerase II promoter negative regulation of translational initiation phosphatidylinositol-mediated signaling positive regulation of nuclear-transcribed mRNA poly(A) tail shortening RNA phosphodiester bond hydrolysis, endonucleolytic mRNA cleavage involved in gene silencing by siRNA positive regulation of nuclear-transcribed mRNA catabolic process, deadenylation-dependent decay regulation of transcription, DNA-templated mRNA cleavage biological_process positive regulation of gene expression cell differentiation regulation of translation multicellular organism development
          It has to be done as per old AB suggested Products section.
          guarantee_icon

          性能保障

          只要您发现Invitrogen抗体在实验中的表现与网站或说明书的所述内容不符,您即可享受免费退换货服务。*

          了解更多
          help_icon

          随时为您服务

          获取常见问题的专家解答,或者直接联系我们的技术专家,咨询应用、设备、常规产品使用问题。

          联系技术支持
          订购 Plus Icon Minus Icon
          • 订单状态查询
          • 订单支持
          • 货号直购
          • 现货供应中心
          • 电子采购
          支持 Plus Icon Minus Icon
          • 帮助&支持
          • 联系我们 - 400 820 8982
          • 技术支持中心
          • 查找文件&证书
          • 报告网站问题
          资源 Plus Icon Minus Icon
          • 学习中心
          • 促销
          • 活动&研讨会
          • 社交媒体
          关于赛默飞 Plus Icon Minus Icon
          • 关于我们
          • 招聘 招聘
          • 投资者关系 投资者关系
          • 新闻 新闻
          • 社会责任 社会责任
          • 商标
          • 政策和通知
          品牌 Plus Icon Minus Icon
          • Thermo Scientific
          • Applied Biosystems
          • Invitrogen
          • Gibco
          • Ion Torrent
          • Patheon
          • PPD
          • 服务条款
          • 隐私政策
          • 定价和运输保险政策
          © 2006-2026 Thermo Fisher Scientific Inc. All rights reserved. All trademarks are the property of Thermo Fisher Scientific and its subsidiaries unless otherwise specified.
          China flag icon
          China
          本网站销售的所有产品均不得用于人类或动物之临床诊断或治疗,仅可用于工业或者科研等非医疗目的。
             电子营业执照 | 经营证照公示 | ICP备案号:沪ICP备11003924号 | 沪公网安备 31011502006935号

          Your items have has been added!


          Host server : magellan-search-blue-55ff9ddd88-lffdw:80/100.66.79.31:80.
          git-commit: d366ff9721d93504b2ac26a183b2b3e3d0e7d9ec
          git-url: https://github.com/thermofisher/magellan-search
          git-branch: release/2.42.0-2026.01.03-1.0