Hamburger Menu Button
Thermo Fisher Scientific Logo
登录
没有账号?建立账号 注册
  • 产品
    • 抗体
    • 引物合成
    • GeneArt Gene Synthesis Instant Designer
    • TaqMan Assay and Array Search
    • PCR 设备和耗材
    • 色谱柱和纯化柱
    • 实验室离心机
    • 分子生物学试剂和试剂盒
    • 实验室塑料耗材及用品
    • 查看所有产品分类
  • 应用和技术
    • 色谱
    • 细胞转染和培养
    • 实时荧光定量PCR
    • 质谱
    • 实验室塑料耗材及用品
    • 电子显微镜
    • 蛋白质生物学
    • PCR
    • RNAi
    • 环境
    • 查看所有应用和技术
  • 服务
    • 定制服务
    • 企业级实验室信息化服务
    • 金融&租赁服务
    • 仪器服务
    • OEM和商业供应
    • 培训服务
    • 360° CDMO 和 CRO 服务
    • CDMO 服务
    • 临床试验 CRO 服务
    • Unity Lab Services
    • 查看所有帮助和支持
  • 帮助和支持
    • 学习中心
    • 联系我们
    • 更改国家或地区
    • 查看所有帮助和支持
  • 热门产品
    • TaqMan Real-Time PCR Assays
      TaqMan 实时荧光定量 PCR 试剂盒
    • Antibodies
      抗体
    • Oligos, Primers & Probes
      寡核苷酸、引物、探针
    • GeneArt Gene Synthesis
      GeneArt 基因合成
    • Cell Culture Plastics
      细胞培养耗材
  • Who We Serve
    • 抗体治疗解决方案
    • 细胞与基因治疗解决方案
    • 学术科研
    • 工业与应用
  • 联系我们
  • 货号直购
  • 订单查询
  • 查找文件&证书
Thermo Fisher Scientific Logo

Search

搜索全部或下列指定分类
Search button
          • 联系我们
          • 货号直购
          • 登录
            登录
            没有账号?建立账号 注册
            • 我的账号
            • 订单
            • 会员中心
            • 账单及发票查询
            • 定制产品及项目
          • Primary Antibodies ›
          • AGTR1 Antibodies

          Invitrogen

          AGTR1 Polyclonal Antibody

          查看其他29个AGTR1抗体

          {{$productOrderCtrl.translations['antibody.pdp.commerceCard.promotion.promotions']}}

          {{$productOrderCtrl.translations['antibody.pdp.commerceCard.promotion.viewpromo']}}

          {{$productOrderCtrl.translations['antibody.pdp.commerceCard.promotion.promocode']}}: {{promo.promoCode}} {{promo.promoTitle}} {{promo.promoDescription}}. {{$productOrderCtrl.translations['antibody.pdp.commerceCard.promotion.learnmore']}}

          说明书
          证书
          实验方案
          问题与答案
          技术支持
          说明书
          证书
          实验方案
          问题与答案
          技术支持
          说明书
          证书
          实验方案
          问题与答案
          技术支持

          Cite AGTR1 Polyclonal Antibody

          Additional Information:
          {{banner.description}}
          {{$ctrl.isSkuNotesCollapsed ? 'View more' : 'View less'}}
          • 抗体检测数据 (2)
          AGTR1 Antibody in Immunohistochemistry (Paraffin) (IHC (P))
          Group 53 Created with Sketch.
          AGTR1 Antibody in Immunohistochemistry (Paraffin) (IHC (P))
          Group 53 Created with Sketch.

          图: 1 / 2

          {{ $ctrl.currentElement.advancedVerification.fullName }}
          {{ $ctrl.currentElement.advancedVerification.text }}

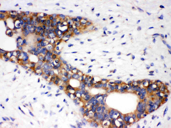
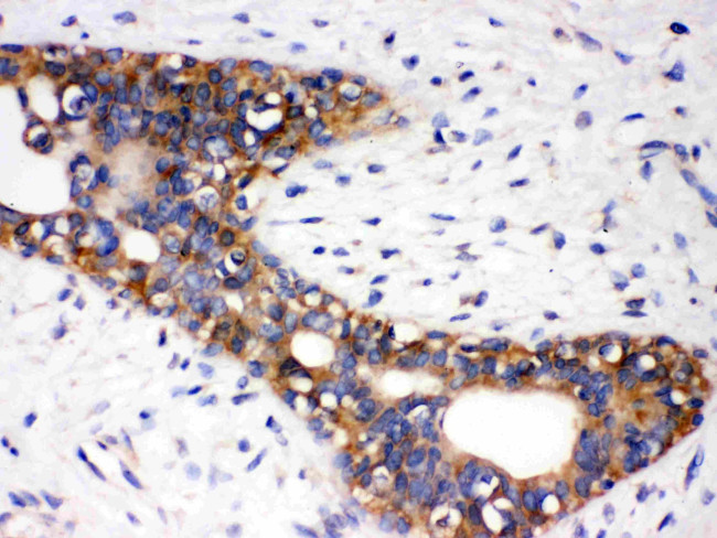
          AGTR1 Antibody (PA5-78742) in IHC (P)

          Immunohistochemistry analysis of AGTR1 on paraffin-embedded human mammary cancer tissue. Sample was incubated with AGTR1 polyclonal antibody (Product# PA5-78742). {{ $ctrl.currentElement.advancedVerification.fullName }} 验证信息 View more
          已发表图片由___提供 benchsci-logo
          PMID: {{$ctrl.currentElement.benchSciPubmedId}}
          查看产品

          {{$ctrl.videoDesc}}

          {{$ctrl.videoLongDesc}}

          AGTR1 Antibody in Immunohistochemistry (Paraffin) (IHC (P))
          AGTR1 Antibody in Western Blot (WB)
          AGTR1 Polyclonal Antibody

          产品信息

          PA5-78742

          应用
          建议稀释比
          已发表文章

          免疫印迹 (WB)

          0.1-0.5 µg/mL
          -

          免疫组化(石蜡) (IHC (P))

          0.5-1 µg/mL
          -
          产品规格

          种属反应

          Human, Mouse, Non-human primate, Rat

          宿主/亚型

          Rabbit / IgG

          分类

          Polyclonal

          类型

          Antibody

          抗原

          A synthetic peptide corresponding to a sequence at the N-terminus of human AGTR1 (1-28aa MILNSSTEDGIKRIQDDCPKAGRHNYIF).
          3D表位/免疫原

          偶联物

          Unconjugated Unconjugated Unconjugated

          形式

          Lyophilized

          浓度

          500 µg/mL

          规格

          100 µg

          纯化类型

          Antigen affinity chromatography

          保存液

          PBS with 4mg trehalose

          内含物

          no preservative

          保存条件

          -20°C

          运输条件

          Ambient (domestic); Wet ice (international)

          RRID

          AB_2745858

          产品详细信息

          Reconstitute with 0.2 mL of distilled water to yield a concentration of 500 µg/mL.

          Positive Control - WB: human HEK293 whole cell, human T-47D whole cell, human PC-3 whole cell, human U-87MG whole cell, human HepG2 whole cell, monkey COS-7 whole cell, rat brain tissue, rat liver tissue, rat kidney tissue, rat RH35 whole cell, mouse brain tissue, mouse liver tissue, mouse kidney tissue, mouse HEPA1-6 whole cell. IHC: human mammary cancer tissue.

          靶标信息

          AGTR1 is known as Angiotensin II Type 1 Receptor. Angiotensin II is a potent vasopressor hormone and a primary regulator of aldosterone secretion. It is an important effector controlling blood pressure and volume in the cardiovascular system. And it acts through at least two types of receptors. This gene encodes the type 1 receptor which is thought to mediate the major cardiovascular effects of angiotensin II. Moreover, this gene may play a role in the generation of reperfusion arrhythmias following restoration of blood flow to ischemic or infarcted myocardium. It was previously thought that a related gene, denoted as AGTR1B, existed; however, it is now believed that there is only one type 1 receptor gene in humans. Multiple alternatively spliced transcript variants have been reported for this gene.

          仅用于科研。不用于诊断过程。未经明确授权不得转售。

          篇参考文献 (0)

          您是否在文献中引用过该产品?请点击下方按钮邮件告知我们。
          引用该产品

          生物信息学

          蛋白别名: Angiotensin II type-1 receptor; Angiotensin II type-1 receptor A; angiotensin II type-1A receptor; angiotensin receptor 1; angiotensin receptor 1a; AT1 receptor; AT1 receptor A; AT1AR; AT1BR; Type-1 angiotensin II receptor; Type-1 angiotensin II receptor A; type-1A angiotensin II receptor; type-1B angiotensin II receptor; unnamed protein product; vascular type-1 angiotensin II receptor

          查看更多 收起

          基因别名: 1810074K20Rik; AG2S; Agtr-1a; AGTR1; AGTR1A; AGTR1B; AI551199; Angtr-1a; AT1; AT1A; AT1AR; AT1B; AT1BR; AT1R; AT2R1; AT2R1A; AT2R1B; ATR1; HAT1R

          查看更多 收起

          UniProt ID: (Human) P30556, (Rat) P25095, (Mouse) P29754

          查看更多 收起

          Entrez Gene ID: (Human) 185, (Rat) 24180, (Mouse) 11607

          查看更多 收起

          功能
          angiotensin type I receptor activity G-protein coupled receptor activity angiotensin type II receptor activity protein binding bradykinin receptor binding protein heterodimerization activity G-protein alpha-subunit binding peptide hormone binding protein kinase binding D1 dopamine receptor binding protein self-association signal transducer activity G-protein coupled receptor
          参与通路
          regulation of cell growth kidney development renin-angiotensin regulation of aldosterone production regulation of blood vessel size by renin-angiotensin regulation of systemic arterial blood pressure by renin-angiotensin inflammatory response signal transduction G-protein coupled receptor signaling pathway phospholipase C-activating G-protein coupled receptor signaling pathway positive regulation of cytosolic calcium ion concentration Rho protein signal transduction positive regulation of macrophage derived foam cell differentiation regulation of vasoconstriction calcium-mediated signaling low-density lipoprotein particle remodeling regulation of renal sodium excretion angiotensin-activated signaling pathway regulation of cell proliferation viral entry into host cell regulation of inflammatory response positive regulation of inflammatory response cell chemotaxis phospholipase C-activating angiotensin-activated signaling pathway positive regulation of cholesterol metabolic process regulation of blood vessel diameter positive regulation of blood vessel endothelial cell proliferation involved in sprouting angiogenesis positive regulation of reactive oxygen species metabolic process blood vessel development positive regulation of receptor recycling regulation of systemic arterial blood pressure by circulatory renin-angiotensin renin secretion into blood stream regulation of renal output by angiotensin brain renin-angiotensin system regulation of pH heart development aging regulation of blood pressure positive regulation of cell proliferation positive regulation of cholesterol esterification positive regulation of cellular protein metabolic process positive regulation of phospholipase A2 activity positive regulation of superoxide anion generation regulation of smooth muscle cell apoptotic process negative regulation of smooth muscle cell apoptotic process vasoconstriction dopamine biosynthetic process drinking behavior activation of Janus kinase activity negative regulation of neuron apoptotic process response to estrogen positive regulation of blood pressure positive regulation of cytokine secretion positive regulation of cytosolic calcium ion concentration involved in phospholipase C-activating G-protein coupled signaling pathway cellular response to dexamethasone stimulus positive regulation of branching involved in ureteric bud morphogenesis
          It has to be done as per old AB suggested Products section.

          Disclaimer

          Close

          Clicking the images or links will redirect you to a website hosted by BenchSci that provides third-party scientific content. Neither the content nor the BenchSci technology and processes for selection have been evaluated by us; we are providing them as-is and without warranty of any kind, including for use or application of the Thermo Fisher Scientific products presented.

          guarantee_icon

          性能保障

          只要您发现Invitrogen抗体在实验中的表现与网站或说明书的所述内容不符,您即可享受免费退换货服务。*

          了解更多
          help_icon

          随时为您服务

          获取常见问题的专家解答,或者直接联系我们的技术专家,咨询应用、设备、常规产品使用问题。

          联系技术支持
          订购 Plus Icon Minus Icon
          • 订单状态查询
          • 订单支持
          • 货号直购
          • 现货供应中心
          • 电子采购
          支持 Plus Icon Minus Icon
          • 帮助&支持
          • 联系我们 - 400 820 8982
          • 技术支持中心
          • 查找文件&证书
          • 报告网站问题
          资源 Plus Icon Minus Icon
          • 学习中心
          • 促销
          • 活动&研讨会
          • 社交媒体
          关于赛默飞 Plus Icon Minus Icon
          • 关于我们
          • 招聘 招聘
          • 投资者关系 投资者关系
          • 新闻 新闻
          • 社会责任 社会责任
          • 商标
          • 政策和通知
          品牌 Plus Icon Minus Icon
          • Thermo Scientific
          • Applied Biosystems
          • Invitrogen
          • Gibco
          • Ion Torrent
          • Unity Lab Services
          • Patheon
          • PPD
          • 服务条款
          • 隐私政策
          • 定价和运输保险政策
          © 2006-2026 Thermo Fisher Scientific Inc. All rights reserved. All trademarks are the property of Thermo Fisher Scientific and its subsidiaries unless otherwise specified.
          China flag icon
          China
          本网站销售的所有产品均不得用于人类或动物之临床诊断或治疗,仅可用于工业或者科研等非医疗目的。
             电子营业执照 | 经营证照公示 | ICP备案号:沪ICP备11003924号 | 沪公网安备 31011502006935号

          Your items have has been added!


          Host server : magellan-search-green-6479c7f679-zb4k5:80/100.66.74.142:80.
          git-commit: b70c0dceb888abc3b0dcebb5bc3a5b8753e7e816
          git-url: https://github.com/thermofisher/magellan-search
          git-branch: release/2.50.0-Offline