Hamburger Menu Button
Thermo Fisher Scientific Logo
登录
没有账号?建立账号 注册
  • 产品
    • 抗体
    • 引物合成
    • GeneArt Gene Synthesis Instant Designer
    • TaqMan Assay and Array Search
    • PCR 设备和耗材
    • 色谱柱和纯化柱
    • 实验室离心机
    • 分子生物学试剂和试剂盒
    • 实验室塑料耗材及用品
    • 查看所有产品分类
  • 应用和技术
    • 色谱
    • 细胞转染和培养
    • 实时荧光定量PCR
    • 质谱
    • 实验室塑料耗材及用品
    • 电子显微镜
    • 蛋白质生物学
    • PCR
    • RNAi
    • 环境
    • 查看所有应用和技术
  • 服务
    • 定制服务
    • 企业级实验室信息化服务
    • 金融&租赁服务
    • 仪器服务
    • OEM和商业供应
    • 培训服务
    • 360° CDMO 和 CRO 服务
    • CDMO 服务
    • 临床试验 CRO 服务
    • Unity Lab Services
    • 查看所有帮助和支持
  • 帮助和支持
    • 学习中心
    • 联系我们
    • 更改国家或地区
    • 查看所有帮助和支持
  • 热门产品
    • TaqMan Real-Time PCR Assays
      TaqMan 实时荧光定量 PCR 试剂盒
    • Antibodies
      抗体
    • Oligos, Primers & Probes
      寡核苷酸、引物、探针
    • GeneArt Gene Synthesis
      GeneArt 基因合成
    • Cell Culture Plastics
      细胞培养耗材
  • Who We Serve
    • 抗体治疗解决方案
    • 细胞与基因治疗解决方案
    • 学术科研
    • 工业与应用
  • 联系我们
  • 货号直购
  • 订单查询
  • 查找文件&证书
Thermo Fisher Scientific Logo

Search

搜索全部或下列指定分类
Search button
          • 联系我们
          • 货号直购
          • 登录
            登录
            没有账号?建立账号 注册
            • 我的账号
            • 订单
            • 会员中心
            • 账单及发票查询
            • 定制产品及项目
          • Primary Antibodies ›
          • AIRE Antibodies

          Invitrogen

          AIRE Monoclonal Antibody (TM-724), eBioscience™

          3个已发表图片
          3 篇参考文献
          查看其他18个AIRE抗体

          {{$productOrderCtrl.translations['antibody.pdp.commerceCard.promotion.promotions']}}

          {{$productOrderCtrl.translations['antibody.pdp.commerceCard.promotion.viewpromo']}}

          {{$productOrderCtrl.translations['antibody.pdp.commerceCard.promotion.promocode']}}: {{promo.promoCode}} {{promo.promoTitle}} {{promo.promoDescription}}. {{$productOrderCtrl.translations['antibody.pdp.commerceCard.promotion.learnmore']}}

          说明书
          证书
          实验方案
          问题与答案
          技术支持
          说明书
          证书
          实验方案
          问题与答案
          技术支持
          说明书
          证书
          实验方案
          问题与答案
          技术支持

          Cite AIRE Monoclonal Antibody (TM-724), eBioscience™

          Additional Information:
          {{banner.description}}
          {{$ctrl.isSkuNotesCollapsed ? 'View more' : 'View less'}}
          • 抗体检测数据 (1)
          • 已发表图片 (3)
          AIRE Antibody in Immunohistochemistry (Paraffin) (IHC (P))
          Group 53 Created with Sketch.
          AIRE Antibody in Immunohistochemistry (Paraffin) (IHC (P))
          Group 53 Created with Sketch.

          图: 1 / 4

          {{ $ctrl.currentElement.advancedVerification.fullName }}
          {{ $ctrl.currentElement.advancedVerification.text }}

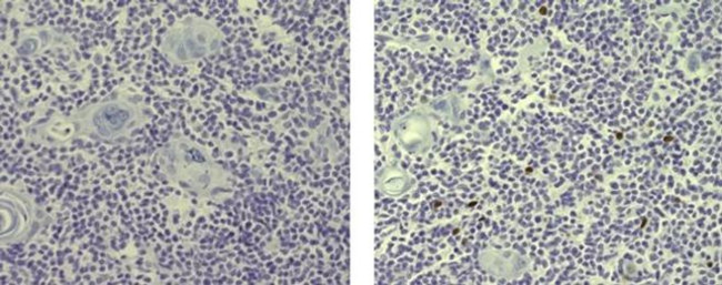
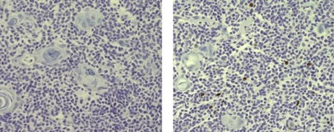
          AIRE Antibody (14-9534-82) in IHC (P)

          Immunohistochemistry of formalin-fixed paraffin embedded human thymus stained with 5 µg/mL of Rat IgG2a Isotype Control (left) or 5 µg/mL Anti-Human AIRE Purified (right) followed by Anti-Rat IgG Biotin and DAB visualization.Nuclei are counterstained with hematoxylin. {{ $ctrl.currentElement.advancedVerification.fullName }} 验证信息 View more
          已发表图片由___提供 benchsci-logo
          PMID: {{$ctrl.currentElement.benchSciPubmedId}}
          查看产品

          {{$ctrl.videoDesc}}

          {{$ctrl.videoLongDesc}}

          AIRE Antibody in Immunohistochemistry (Paraffin) (IHC (P))
          AIRE Antibody in Immunohistochemistry (IHC)
          AIRE Antibody in Immunohistochemistry, Immunohistochemistry (PFA fixed) (IHC, IHC (PFA))
          AIRE Antibody in Western Blot (WB)

          产品信息

          14-9534-82

          应用
          建议稀释比
          已发表文章

          免疫印迹 (WB)

          -
          查看1篇已发表文章 1篇已发表文章

          免疫组化 (IHC)

          -
          查看1篇已发表文章 1篇已发表文章

          免疫组化(石蜡) (IHC (P))

          5 µg/mL
          -

          免疫组织化学(多聚甲醛固定) (IHC (PFA))

          -
          查看1篇已发表文章 1篇已发表文章

          免疫组化(冰冻) (IHC (F))

          5 µg/mL
          -

          免疫细胞化学 (ICC/IF)

          Assay-Dependent
          -
          产品规格

          种属反应

          Human

          已发表种属

          Human

          宿主/亚型

          Rat / IgG2a, kappa

          分类

          Monoclonal

          类型

          Antibody

          克隆号

          TM-724

          偶联物

          Unconjugated Unconjugated Unconjugated
          • Biotin 
          • eFluor 570
          • Request custom conjugation

          形式

          Liquid

          浓度

          0.5 mg/mL

          规格

          100 µg

          纯化类型

          Affinity chromatography

          保存液

          PBS, pH 7.2

          内含物

          0.09% sodium azide

          保存条件

          4°C

          运输条件

          Ambient (domestic); Wet ice (international)

          RRID

          AB_2572951

          产品详细信息

          Description: This TM-724 monoclonal antibody reacts with human Autoimmune Regulator (AIRE). This 58 kDa transcription factor is highly expressed within the perinuclear region of mature medullary thymic epithelial cells (mTECs). AIRE mRNA in the periphery has been observed in the lymph node, fetal liver, and intestines. Furthermore expression has been observed in dendritic cells, epithelial cells and PBMCs. Studies demonstrate that AIRE is involved in thymocyte development, in particular the regulation of tissue-specific antigen expression during negative selection. Other biological functions for AIRE include chemokine expression and antigen presentation. As a result of alternative splicing, three isoforms have been reported. The conditions autoimmune-polyendocrinopathy-candiasis-ectodermal-dystrophy (APECED) and autoimmune polyglandular syndrome type 1 (APS-1) arise from mutations in the human AIRE gene.

          The TM-724 antibody is predicted to recognize all three isoforms of human AIRE (AIRE-1, AIRE-2, AIRE-3).

          Applications Reported: This TM-724 antibody has been reported for use in immunohistochemical staining of frozen tissue sections, immunohistochemical staining of formalin-fixed paraffin embedded tissue sections, and immunocytochemistry.

          Applications Tested: This TM-724 antibody has been tested by immunohistochemistry on FFPE human thymus at less than or equal to 5 µg/mL. Low pH antigen retrieval is optimal although high pH antigen retrieval can also be used. It is recommended that the antibody be carefully titrated for optimal performance in the assay of interest.

          Purity: Greater than 90%, as determined by SDS-PAGE.

          Aggregation: Less than 10%, as determined by HPLC.

          Filtration: 0.2 µm post-manufacturing filtered.

          靶标信息

          AIRE is a transcriptional regulator protein that binds to DNA as a dimer and tetramer, but not as a monomer, and may be involved in the regulation of gene expression. A nuclear protein, AIRE is a 545 amino acid protein with an HSR domain, two PHD type zinc fingers, and a SAND domain, and may be present in soluble high-molecular-weight complexes. It may form homodimer, homotetramer and also nuclear bodies and interacts with the transcriptional coactivator CBP and CREBBP. Three isoforms of AIRE are reported and one of them is predicted to be a candidate for nuclear-mediated decay (NMD). AIRE is involved in immune regulation and is known to mediate E3 ubiquitin ligase activity. Defects in AIRE are responsible for the rare autosomal-recessive systemic autoimmune disease termed autoimmune polyendocrinopathy-candidiasis-ectodermal dystrophy (APECED).

          仅用于科研。不用于诊断过程。未经明确授权不得转售。

          生物信息学

          蛋白别名: AIRE protein; APECED protein; Autoimmune polyendocrinopathy candidiasis ectodermal dystrophy protein; Autoimmune regulator; OTTHUMP00000109529

          查看更多 收起

          基因别名: AIRE; AIRE1; APECED; APS1; APSI; PGA1

          查看更多 收起

          UniProt ID: (Human) O43918

          查看更多 收起

          Entrez Gene ID: (Human) 326

          查看更多 收起

          功能
          RNA polymerase II regulatory region sequence-specific DNA binding DNA binding chromatin binding protein binding zinc ion binding histone binding identical protein binding translation regulator activity metal ion binding
          参与通路
          peripheral T cell tolerance induction tolerance induction central tolerance induction to self antigen regulation of transcription, DNA-templated transcription from RNA polymerase II promoter regulation of translation immune response humoral immune response positive regulation of chemokine production negative thymic T cell selection positive regulation of transcription, DNA-templated positive regulation of transcription from RNA polymerase II promoter thymus epithelium morphogenesis regulation of thymocyte migration
          It has to be done as per old AB suggested Products section.

          Disclaimer

          Close

          Clicking the images or links will redirect you to a website hosted by BenchSci that provides third-party scientific content. Neither the content nor the BenchSci technology and processes for selection have been evaluated by us; we are providing them as-is and without warranty of any kind, including for use or application of the Thermo Fisher Scientific products presented.

          guarantee_icon

          性能保障

          只要您发现Invitrogen抗体在实验中的表现与网站或说明书的所述内容不符,您即可享受免费退换货服务。*

          了解更多
          help_icon

          随时为您服务

          获取常见问题的专家解答,或者直接联系我们的技术专家,咨询应用、设备、常规产品使用问题。

          联系技术支持
          订购 Plus Icon Minus Icon
          • 订单状态查询
          • 订单支持
          • 货号直购
          • 现货供应中心
          • 电子采购
          支持 Plus Icon Minus Icon
          • 帮助&支持
          • 联系我们 - 400 820 8982
          • 技术支持中心
          • 查找文件&证书
          • 报告网站问题
          资源 Plus Icon Minus Icon
          • 学习中心
          • 促销
          • 活动&研讨会
          • 社交媒体
          关于赛默飞 Plus Icon Minus Icon
          • 关于我们
          • 招聘 招聘
          • 投资者关系 投资者关系
          • 新闻 新闻
          • 社会责任 社会责任
          • 商标
          • 政策和通知
          品牌 Plus Icon Minus Icon
          • Thermo Scientific
          • Applied Biosystems
          • Invitrogen
          • Gibco
          • Ion Torrent
          • Unity Lab Services
          • Patheon
          • PPD
          • 服务条款
          • 隐私政策
          • 定价和运输保险政策
          © 2006-2026 Thermo Fisher Scientific Inc. All rights reserved. All trademarks are the property of Thermo Fisher Scientific and its subsidiaries unless otherwise specified.
          China flag icon
          China
          本网站销售的所有产品均不得用于人类或动物之临床诊断或治疗,仅可用于工业或者科研等非医疗目的。
             电子营业执照 | 经营证照公示 | ICP备案号:沪ICP备11003924号 | 沪公网安备 31011502006935号

          Your items have has been added!


          Host server : magellan-search-green-6479c7f679-v472f:80/100.66.78.195:80.
          git-commit: b70c0dceb888abc3b0dcebb5bc3a5b8753e7e816
          git-url: https://github.com/thermofisher/magellan-search
          git-branch: release/2.50.0-Offline