Hamburger Menu Button
Thermo Fisher Scientific Logo
登录
没有账号?建立账号 注册
  • 产品
    • 抗体
    • 引物合成
    • GeneArt Gene Synthesis Instant Designer
    • TaqMan Assay and Array Search
    • PCR 设备和耗材
    • 色谱柱和纯化柱
    • 实验室离心机
    • 分子生物学试剂和试剂盒
    • 实验室塑料耗材及用品
    • 查看所有产品分类
  • 应用和技术
    • 色谱
    • 细胞转染和培养
    • 实时荧光定量PCR
    • 质谱
    • 实验室塑料耗材及用品
    • 电子显微镜
    • 蛋白质生物学
    • PCR
    • RNAi
    • 环境
    • 查看所有应用和技术
  • 服务
    • 定制服务
    • 企业级实验室信息化服务
    • 企业服务
    • 金融&租赁服务
    • 仪器服务
    • OEM和商业供应
    • 培训服务
    • 360° CDMO 和 CRO 服务
    • CDMO 服务
    • 临床试验 CRO 服务
    • 查看所有帮助和支持
  • 帮助和支持
    • 学习中心
    • 联系我们
    • 更改国家或地区
    • 查看所有帮助和支持
  • 热门产品
    • TaqMan Real-Time PCR Assays
      TaqMan 实时荧光定量 PCR 试剂盒
    • Antibodies
      抗体
    • Oligos, Primers & Probes
      寡核苷酸、引物、探针
    • GeneArt Gene Synthesis
      GeneArt 基因合成
    • Cell Culture Plastics
      细胞培养耗材
  • 联系我们
  • 货号直购
  • 订单查询
  • 查找文件&证书
Thermo Fisher Scientific Logo

Search

搜索全部或下列指定分类
Search button
          • 联系我们
          • 货号直购
          • 登录
            登录
            没有账号?建立账号 注册
            • 我的账号
            • 订单
            • 账单及发票查询
            • 定制产品及项目

          Disclaimer

          Clicking the images or links will redirect you to a website hosted by BenchSci that provides third-party scientific content. Neither the content nor the BenchSci technology and processes for selection have been evaluated by us; we are providing them as-is and without warranty of any kind, including for use or application of the Thermo Fisher Scientific products presented.

          • Primary Antibodies ›
          • AKT1 Antibodies

          NeoBiotechnologies

          AKT1 Monoclonal Antibody (AKT1, 2784)

          查看其他145个AKT1抗体

          {{$productOrderCtrl.translations['antibody.pdp.commerceCard.promotion.promotions']}}

          {{$productOrderCtrl.translations['antibody.pdp.commerceCard.promotion.viewpromo']}}

          {{$productOrderCtrl.translations['antibody.pdp.commerceCard.promotion.promocode']}}: {{promo.promoCode}} {{promo.promoTitle}} {{promo.promoDescription}}. {{$productOrderCtrl.translations['antibody.pdp.commerceCard.promotion.learnmore']}}

          说明书
          证书
          实验方案
          问题与答案
          技术支持
          说明书
          证书
          实验方案
          问题与答案
          技术支持
          说明书
          证书
          实验方案
          问题与答案
          技术支持

          Cite AKT1 Monoclonal Antibody (AKT1, 2784)

          • 抗体检测数据 (5)
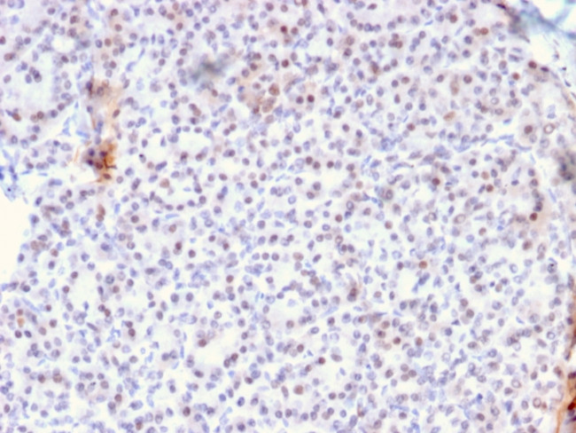
          AKT1 Antibody in Immunohistochemistry (Paraffin) (IHC (P))
          Group 53 Created with Sketch.
          AKT1 Antibody in Immunohistochemistry (Paraffin) (IHC (P))
          Group 53 Created with Sketch.

          图: 1 / 5

          {{ $ctrl.currentElement.advancedVerification.fullName }}
          {{ $ctrl.currentElement.advancedVerification.text }}

          AKT1 Antibody (207-MSM4-P1) in IHC (P)

          Immunohistochemistry (Paraffin) analysis performed in formalin fixed, paraffin-embedded human pancreas using AKT1 Monoclonal Antibody (Product # 207-MSM4-P1). {{ $ctrl.currentElement.advancedVerification.fullName }} 验证信息 View more
          已发表图片由___提供 benchsci-logo
          PMID: {{$ctrl.currentElement.benchSciPubmedId}}
          查看产品

          {{$ctrl.videoDesc}}

          {{$ctrl.videoLongDesc}}

          AKT1 Antibody in Immunohistochemistry (Paraffin) (IHC (P))
          AKT1 Antibody in Immunohistochemistry (Paraffin) (IHC (P))
          AKT1 Antibody in Western Blot (WB)
          AKT1 Antibody in Peptide array (ARRAY)
          AKT1 Antibody in SDS-PAGE (SDS-PAGE)
          AKT1 Monoclonal Antibody (AKT1, 2784)

          产品信息

          207-MSM4-P1

          应用
          建议稀释比
          已发表文章

          免疫印迹 (WB)

          1-2 µg/mL
          -

          免疫组化(石蜡) (IHC (P))

          1-2 µg/mL
          -

          肽阵列 (Array)

          Assay-dependent
          -
          产品规格

          种属反应

          Human

          宿主/亚型

          Mouse / IgG

          分类

          Monoclonal

          类型

          Antibody

          克隆号

          AKT1, 2784

          抗原

          Recombinant fragment of human AKT1 protein (around aa 85-189)
          查看免疫原

          偶联物

          Unconjugated Unconjugated Unconjugated

          形式

          Liquid

          浓度

          200 µg/mL

          纯化类型

          Protein A/G

          保存液

          PBS, pH 7.4, with 0.05% BSA

          内含物

          0.05% sodium azide

          保存条件

          4°C

          运输条件

          Ambient (domestic); Wet ice (international)

          产品详细信息

          Immunohistochemistry (PFA fixed): incubate antibody for 30 min RT. Staining of formalin-fixed tissues requires heating tissue sections in 10mM Tris with 1mM EDTA, pH 9.0, for 45 min at 95 degrees C followed by cooling at RT for 20 minutes.

          靶标信息

          AKT1 (PKB alpha) is a serine/threonine kinase that regulates cell survival. The activated enzyme inhibits apoptosis and stimulates cell cycle progression by phosphorylating numerous targets in various cell types, including cancer cells. This protein kinase is activated by insulin, PI3K, IGF1 and various other growth and survival factors. Akt promotes cell survival by inhibiting apoptosis through phosphorylation and inactivation of several targets, including forkhead transcription factors, and caspase-9. The AKT pathway is a major target for cancer drug discovery.

          仅用于科研。不用于诊断过程。未经明确授权不得转售。

          篇参考文献 (0)

          您是否在文献中引用过该产品?请点击下方按钮邮件告知我们。
          引用该产品

          生物信息学

          蛋白别名: AKT1m; C-AKT; CAKT; PKB; PKB alpha; PKB beta; PKB gamma; PKBG; Protein kinase B; Protein kinase B alpha; Proto-oncogene c-Akt; rac protein kinase alpha; RAC-alpha serine/threonine-protein kinase; RAC-PK-alpha; RAC-PK-beta; RAC-PK-gamma; serine-threonine protein kinase; v-akt murine thymoma viral oncogene homolog 1; v-akt murine thymoma viral oncogene-like protein 1

          查看更多 收起

          基因别名: AKT; AKT1; CWS6; PKB; PKB-ALPHA; PRKBA; RAC; RAC-ALPHA

          查看更多 收起

          UniProt ID: (Human) P31749

          查看更多 收起

          Entrez Gene ID: (Human) 207

          查看更多 收起

          功能
          protein kinase activity protein serine/threonine kinase activity protein serine/threonine/tyrosine kinase activity protein kinase C binding protein binding ATP binding phosphatidylinositol-3,4,5-trisphosphate binding kinase activity enzyme binding nitric-oxide synthase regulator activity GTPase activating protein binding identical protein binding phosphatidylinositol-3,4-bisphosphate binding protein phosphatase 2A binding 14-3-3 protein binding non-receptor serine/threonine protein kinase
          参与通路
          protein import into nucleus, translocation osteoblast differentiation maternal placenta development positive regulation of protein phosphorylation positive regulation of endothelial cell proliferation glycogen biosynthetic process regulation of glycogen biosynthetic process glucose metabolic process translation regulation of translation cellular protein modification process protein phosphorylation negative regulation of protein kinase activity nitric oxide biosynthetic process activation-induced cell death of T cells inflammatory response cellular response to DNA damage stimulus response to oxidative stress signal transduction G-protein coupled receptor signaling pathway germ cell development aging cell proliferation insulin receptor signaling pathway apoptotic mitochondrial changes response to heat negative regulation of autophagy negative regulation of gene expression negative regulation of plasma membrane long-chain fatty acid transport positive regulation of fibroblast migration positive regulation of sodium ion transport positive regulation of glucose metabolic process negative regulation of endopeptidase activity regulation of neuron projection development regulation of phosphatidylinositol 3-kinase signaling glucose transport phosphorylation protein ubiquitination peptidyl-serine phosphorylation peptidyl-threonine phosphorylation spinal cord development cell projection organization cell differentiation protein catabolic process platelet activation hyaluronan metabolic process positive regulation of cell growth regulation of cell migration endocrine pancreas development T cell costimulation regulation of myelination positive regulation of cyclin-dependent protein serine/threonine kinase activity involved in G1/S transition of mitotic cell cycle lipopolysaccharide-mediated signaling pathway negative regulation of fatty acid beta-oxidation positive regulation of endodeoxyribonuclease activity response to food positive regulation of cellular protein metabolic process peripheral nervous system myelin maintenance positive regulation of proteasomal ubiquitin-dependent protein catabolic process cellular response to insulin stimulus positive regulation of peptidyl-serine phosphorylation response to fluid shear stress intracellular signal transduction cellular response to vascular endothelial growth factor stimulus ERBB2 signaling pathway glucose homeostasis positive regulation of apoptotic process negative regulation of apoptotic process negative regulation of cysteine-type endopeptidase activity involved in apoptotic process regulation of mRNA stability protein kinase B signaling positive regulation of blood vessel endothelial cell migration positive regulation of nitric oxide biosynthetic process positive regulation of fat cell differentiation positive regulation of glycogen biosynthetic process positive regulation of epidermal growth factor receptor signaling pathway negative regulation of cell size negative regulation of proteolysis positive regulation of vasoconstriction positive regulation of transcription from RNA polymerase II promoter positive regulation of glucose import negative regulation of JNK cascade protein autophosphorylation positive regulation of lipid biosynthetic process insulin-like growth factor receptor signaling pathway phosphatidylinositol-mediated signaling regulation of nitric-oxide synthase activity positive regulation of nitric-oxide synthase activity positive regulation of sequence-specific DNA binding transcription factor activity striated muscle cell differentiation response to growth hormone mammary gland epithelial cell differentiation glycogen cell differentiation involved in embryonic placenta development labyrinthine layer blood vessel development response to UV-A cellular response to mechanical stimulus cellular response to epidermal growth factor stimulus cellular response to prostaglandin E stimulus cellular response to organic cyclic compound cellular response to hypoxia establishment of protein localization to mitochondrion maintenance of protein location in mitochondrion positive regulation of establishment of protein localization to plasma membrane negative regulation of release of cytochrome c from mitochondria cellular response to granulocyte macrophage colony-stimulating factor stimulus execution phase of apoptosis chemical synaptic transmission, postsynaptic negative regulation of protein kinase activity by protein phosphorylation positive regulation of protein localization to nucleus negative regulation of neuron death regulation of signal transduction by p53 class mediator regulation of cell cycle checkpoint negative regulation of oxidative stress-induced intrinsic apoptotic signaling pathway cellular response to nerve growth factor stimulus response to insulin-like growth factor stimulus negative regulation of extrinsic apoptotic signaling pathway in absence of ligand
          It has to be done as per old AB suggested Products section.
          guarantee_icon

          性能保障

          只要您发现Invitrogen抗体在实验中的表现与网站或说明书的所述内容不符,您即可享受免费退换货服务。*

          了解更多
          help_icon

          随时为您服务

          获取常见问题的专家解答,或者直接联系我们的技术专家,咨询应用、设备、常规产品使用问题。

          联系技术支持
          订购 Plus Icon Minus Icon
          • 订单状态查询
          • 订单支持
          • 货号直购
          • 现货供应中心
          • 电子采购
          支持 Plus Icon Minus Icon
          • 帮助&支持
          • 联系我们 - 400 820 8982
          • 技术支持中心
          • 查找文件&证书
          • 报告网站问题
          资源 Plus Icon Minus Icon
          • 学习中心
          • 促销
          • 活动&研讨会
          • 社交媒体
          关于赛默飞 Plus Icon Minus Icon
          • 关于我们
          • 招聘 招聘
          • 投资者关系 投资者关系
          • 新闻 新闻
          • 社会责任 社会责任
          • 商标
          • 政策和通知
          品牌 Plus Icon Minus Icon
          • Thermo Scientific
          • Applied Biosystems
          • Invitrogen
          • Gibco
          • Ion Torrent
          • Patheon
          • PPD
          • 服务条款
          • 隐私政策
          • 定价和运输保险政策
          © 2006-2026 Thermo Fisher Scientific Inc. All rights reserved. All trademarks are the property of Thermo Fisher Scientific and its subsidiaries unless otherwise specified.
          China flag icon
          China
          本网站销售的所有产品均不得用于人类或动物之临床诊断或治疗,仅可用于工业或者科研等非医疗目的。
             电子营业执照 | 经营证照公示 | ICP备案号:沪ICP备11003924号 | 沪公网安备 31011502006935号

          Your items have has been added!


          Host server : magellan-search-blue-55ff9ddd88-lffdw:80/100.66.79.31:80.
          git-commit: d366ff9721d93504b2ac26a183b2b3e3d0e7d9ec
          git-url: https://github.com/thermofisher/magellan-search
          git-branch: release/2.42.0-2026.01.03-1.0