Hamburger Menu Button
Thermo Fisher Scientific Logo
登录
没有账号?建立账号 注册
  • 产品
    • 抗体
    • 引物合成
    • GeneArt Gene Synthesis Instant Designer
    • TaqMan Assay and Array Search
    • PCR 设备和耗材
    • 色谱柱和纯化柱
    • 实验室离心机
    • 分子生物学试剂和试剂盒
    • 实验室塑料耗材及用品
    • 查看所有产品分类
  • 应用和技术
    • 色谱
    • 细胞转染和培养
    • 实时荧光定量PCR
    • 质谱
    • 实验室塑料耗材及用品
    • 电子显微镜
    • 蛋白质生物学
    • PCR
    • RNAi
    • 环境
    • 查看所有应用和技术
  • 服务
    • 定制服务
    • 企业级实验室信息化服务
    • 金融&租赁服务
    • 仪器服务
    • OEM和商业供应
    • 培训服务
    • 360° CDMO 和 CRO 服务
    • CDMO 服务
    • 临床试验 CRO 服务
    • Unity Lab Services
    • 查看所有帮助和支持
  • 帮助和支持
    • 学习中心
    • 联系我们
    • 更改国家或地区
    • 查看所有帮助和支持
  • 热门产品
    • TaqMan Real-Time PCR Assays
      TaqMan 实时荧光定量 PCR 试剂盒
    • Antibodies
      抗体
    • Oligos, Primers & Probes
      寡核苷酸、引物、探针
    • GeneArt Gene Synthesis
      GeneArt 基因合成
    • Cell Culture Plastics
      细胞培养耗材
  • Who We Serve
    • 抗体治疗解决方案
    • 细胞与基因治疗解决方案
    • 学术科研
    • 工业与应用
  • 联系我们
  • 货号直购
  • 订单查询
  • 查找文件&证书
Thermo Fisher Scientific Logo

Search

搜索全部或下列指定分类
Search button
          • 联系我们
          • 货号直购
          • 登录
            登录
            没有账号?建立账号 注册
            • 我的账号
            • 订单
            • 会员中心
            • 账单及发票查询
            • 定制产品及项目
          • Primary Antibodies ›
          • AKT1 Antibodies

          Invitrogen

          AKT1 Recombinant Rabbit Monoclonal Antibody (ST05-09)

          高级验证
          查看其他144个AKT1抗体

          {{$productOrderCtrl.translations['antibody.pdp.commerceCard.promotion.promotions']}}

          {{$productOrderCtrl.translations['antibody.pdp.commerceCard.promotion.viewpromo']}}

          {{$productOrderCtrl.translations['antibody.pdp.commerceCard.promotion.promocode']}}: {{promo.promoCode}} {{promo.promoTitle}} {{promo.promoDescription}}. {{$productOrderCtrl.translations['antibody.pdp.commerceCard.promotion.learnmore']}}

          说明书
          证书
          实验方案
          问题与答案
          技术支持
          说明书
          证书
          实验方案
          问题与答案
          技术支持
          说明书
          证书
          实验方案
          问题与答案
          技术支持

          Cite AKT1 Recombinant Rabbit Monoclonal Antibody (ST05-09)

          Additional Information:
          {{banner.description}}
          {{$ctrl.isSkuNotesCollapsed ? 'View more' : 'View less'}}
          • 抗体检测数据 (11)
          • 高级验证 (1)
          AKT1 Antibody in Immunocytochemistry (ICC/IF)
          Group 53 Created with Sketch.
          AKT1 Antibody in Immunocytochemistry (ICC/IF)
          Group 53 Created with Sketch.

          图: 1 / 12

          {{ $ctrl.currentElement.advancedVerification.fullName }}
          {{ $ctrl.currentElement.advancedVerification.text }}

          AKT1 Antibody (MA5-41138) in ICC/IF

          Immunocytochemistry analysis of AKT1 with MCF7 cells. Cells were fixed in 4% paraformaldehyde (20 min, room temp), permeabilized with 0.1% Triton X-100 in PBS (5 min, room temp), then blocked with 1% BSA in 10% negative goat serum (1 hr, room temp), incubated with recombinant monoclonal AKT1 (Product # MA5-41138) at a dilution of 1:100 (in 1% BSA in PBST overnight at 4°C), followed by Goat Anti-Rabbit IgG H&L 488 at 1:1,000 dilution (PBS used in control). Nuclear DNA was labelled in blue with DAPI, Beta tubulin (red) at 1/100 dilution (ove... View More {{ $ctrl.currentElement.advancedVerification.fullName }} 验证信息 View more
          已发表图片由___提供 benchsci-logo
          PMID: {{$ctrl.currentElement.benchSciPubmedId}}
          查看产品

          {{$ctrl.videoDesc}}

          {{$ctrl.videoLongDesc}}

          AKT1 Antibody in Immunocytochemistry (ICC/IF)
          AKT1 Antibody in Immunocytochemistry (ICC/IF)
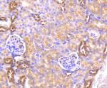
          AKT1 Antibody in Immunohistochemistry (Paraffin) (IHC (P))
          AKT1 Antibody in Immunohistochemistry (Paraffin) (IHC (P))
          AKT1 Antibody in Immunohistochemistry (Paraffin) (IHC (P))
          AKT1 Antibody in Immunohistochemistry (Paraffin) (IHC (P))
          AKT1 Antibody in Immunohistochemistry (Frozen) (IHC (F))
          AKT1 Antibody in Immunohistochemistry (Frozen) (IHC (F))
          AKT1 Antibody in Western Blot (WB)
          AKT1 Antibody in Western Blot (WB)
          AKT1 Antibody in Flow Cytometry (Flow)
          AKT1 Antibody
          AKT1 Recombinant Rabbit Monoclonal Antibody (ST05-09)

          产品信息

          MA5-41138

          应用
          建议稀释比
          已发表文章

          免疫印迹 (WB)

          1:5,000-1:10,000
          -

          免疫组化(石蜡) (IHC (P))

          1:2,000-1:5,000
          -

          免疫组化(冰冻) (IHC (F))

          1:200
          -

          免疫细胞化学 (ICC/IF)

          1:100
          -

          流式细胞分析 (Flow)

          1:1000
          -
          产品规格

          种属反应

          Human, Mouse, Rat

          宿主/亚型

          Rabbit / IgG

          Expression System

          HEK293 cells

          分类

          Recombinant Monoclonal

          类型

          Antibody

          克隆号

          ST05-09

          抗原

          Synthetic peptide within C-terminal human AKT1.
          3D表位/免疫原

          偶联物

          Unconjugated Unconjugated Unconjugated

          形式

          Liquid

          浓度

          1 mg/mL

          规格

          100 µg

          纯化类型

          Protein A

          保存液

          TBS, pH 7.4, with 0.05% BSA, 40% glycerol

          内含物

          0.05% sodium azide

          保存条件

          Store at 4°C short term. For long term storage, store at -20°C, avoiding freeze/thaw cycles.

          运输条件

          Ambient (domestic); Wet ice (international)

          RRID

          AB_2898892

          靶标信息

          AKT1 (PKB alpha) is a serine/threonine kinase that regulates cell survival. The activated enzyme inhibits apoptosis and stimulates cell cycle progression by phosphorylating numerous targets in various cell types, including cancer cells. This protein kinase is activated by insulin, PI3K, IGF1 and various other growth and survival factors. Akt promotes cell survival by inhibiting apoptosis through phosphorylation and inactivation of several targets, including forkhead transcription factors, and caspase-9. The AKT pathway is a major target for cancer drug discovery.

          仅用于科研。不用于诊断过程。未经明确授权不得转售。

          篇参考文献 (0)

          您是否在文献中引用过该产品?请点击下方按钮邮件告知我们。
          引用该产品

          生物信息学

          蛋白别名: AKT; AKT1 kinase; AKT1M; Akt1m protein; C-AKT; CAKT; murine thymoma viral (v-akt) oncogene homolog 1; PKB; PKB ALPHA; PKB beta; PKB gamma; PKB-ALPHA; PKBG; PRKBA; Protein kinase B; PROTEIN KINASE B ALPHA; protein kinase B-alpha; PROTO-ONCOGENE C-AKT; RAC; rac protein kinase alpha; RAC protein kinase alpha RAC-PK alpha; RAC-ALPHA; RAC-ALPHA SERINE/THREONINE-PROTEIN KINASE; RAC-PK-ALPHA; RAC-PK-beta; RAC-PK-gamma; related to A and C kinases; serine-threonine protein kinase; Thymoma viral proto-oncogene; thymoma viral proto-oncogene 1; unnamed protein product; V-AKT MURINE THYMOMA VIRAL ONCOGENE HOMOLOG 1; V-AKT MURINE THYMOMA VIRAL ONCOGENE-LIKE PROTEIN 1

          查看更多 收起

          基因别名: AKT; AKT1; PKB; PKB-ALPHA; PKB/Akt; PKBalpha; PRKBA; RAC; RAC-ALPHA

          查看更多 收起

          UniProt ID: (Human) P31749, (Mouse) P31750, (Rat) P47196

          查看更多 收起

          Entrez Gene ID: (Human) 207, (Mouse) 11651, (Rat) 24185

          查看更多 收起

          功能
          nucleotide binding protein kinase activity protein serine/threonine kinase activity protein serine/threonine/tyrosine kinase activity protein binding calmodulin binding ATP binding phosphatidylinositol-3,4,5-trisphosphate binding kinase activity transferase activity enzyme binding kinase binding protein kinase binding nitric-oxide synthase regulator activity protein serine/threonine kinase inhibitor activity identical protein binding protein homodimerization activity phosphatidylinositol-3,4-bisphosphate binding 14-3-3 protein binding potassium channel activator activity protein serine kinase activity TORC2 complex binding protein kinase C binding transferase activity, transferring phosphorus-containing groups protein phosphatase 2A binding non-receptor serine/threonine protein kinase
          参与通路
          osteoblast differentiation maternal placenta development positive regulation of endothelial cell proliferation cell migration involved in sprouting angiogenesis cytoplasmic translation complement receptor mediated signaling pathway sphingosine-1-phosphate signaling pathway glycogen metabolic process glycogen biosynthetic process regulation of glycogen biosynthetic process glucose metabolic process gluconeogenesis translational initiation regulation of translation protein phosphorylation ubiquitin-dependent protein catabolic process protein import into nucleus NLS-bearing protein import into nucleus nitric oxide biosynthetic process ER to Golgi vesicle-mediated transport Golgi to plasma membrane transport apoptotic process activation-induced cell death of T cells inflammatory response response to oxidative stress signal transduction epidermal growth factor receptor signaling pathway G-protein coupled receptor signaling pathway germ cell development nervous system development cell proliferation insulin receptor signaling pathway apoptotic mitochondrial changes cellular response to starvation response to heat response to hormone gene expression negative regulation of autophagy positive regulation of endothelial cell migration positive regulation of gene expression negative regulation of gene expression negative regulation of plasma membrane long-chain fatty acid transport fibroblast migration positive regulation of fibroblast migration positive regulation of sodium ion transport positive regulation of glucose metabolic process regulation of neuron projection development negative regulation of macroautophagy phosphorylation cell migration protein ubiquitination peptidyl-serine phosphorylation peptidyl-threonine phosphorylation cytokine-mediated signaling pathway oogenesis stage cell differentiation protein catabolic process positive regulation of cell growth regulation of cell migration positive regulation of cell migration negative regulation of cell migration anaphase-promoting complex-dependent catabolic process SCF-dependent proteasomal ubiquitin-dependent protein catabolic process T cell costimulation negative regulation of protein ubiquitination regulation of myelination lipopolysaccharide-mediated signaling pathway cellular response to nutrient levels TOR signaling negative regulation of fatty acid beta-oxidation positive regulation of endodeoxyribonuclease activity response to food peripheral nervous system myelin maintenance positive regulation of proteasomal ubiquitin-dependent protein catabolic process cellular response to insulin stimulus regulation of protein localization positive regulation of peptidyl-serine phosphorylation cellular response to stress negative regulation of toll-like receptor signaling pathway positive regulation of toll-like receptor signaling pathway toll-like receptor 4 signaling pathway cellular response to amino acid starvation response to fluid shear stress protein K29-linked ubiquitination intracellular signal transduction interleukin-18-mediated signaling pathway cellular response to vascular endothelial growth factor stimulus cellular response to decreased oxygen levels SREBP-SCAP complex retention in endoplasmic reticulum tRNA stabilization calcium ion transmembrane import into mitochondrion PERK-mediated unfolded protein response TORC1 signaling glucose homeostasis regulation of apoptotic process Golgi to plasma membrane protein transport negative regulation of apoptotic process proteasome-mediated ubiquitin-dependent protein catabolic process anoikis regulation of mRNA stability protein kinase B signaling positive regulation of blood vessel endothelial cell migration positive regulation of nitric oxide biosynthetic process positive regulation of cholesterol biosynthetic process positive regulation of fat cell differentiation positive regulation of cilium assembly positive regulation of glycogen biosynthetic process negative regulation of Notch signaling pathway negative regulation of proteolysis positive regulation of transcription from RNA polymerase II promoter negative regulation of translational initiation positive regulation of translational initiation nitric oxide metabolic process positive regulation of glucose import positive regulation of organ growth protein autophosphorylation positive regulation of lipid biosynthetic process insulin-like growth factor receptor signaling pathway behavioral response to pain positive regulation of smooth muscle cell proliferation striated muscle cell differentiation positive regulation of protein metabolic process protein maturation excitatory postsynaptic potential response to growth hormone regulation of vesicle-mediated transport mammary gland epithelial cell differentiation labyrinthine layer blood vessel development protein localization to cilium response to UV-A response to growth factor protein localization to endoplasmic reticulum protein K11-linked ubiquitination cellular response to calcium ion cellular response to tumor necrosis factor cellular response to growth factor stimulus cellular response to epidermal growth factor stimulus cellular response to prostaglandin E stimulus tricarboxylic acid metabolic process establishment of protein localization to mitochondrion maintenance of protein location in mitochondrion cellular response to rapamycin protein K6-linked ubiquitination negative regulation of release of cytochrome c from mitochondria cellular response to granulocyte macrophage colony-stimulating factor stimulus execution phase of apoptosis vascular endothelial cell response to laminar fluid shear stress regulation of postsynapse organization tRNA (guanine-N7)-methylation regulation of tRNA methylation cellular response to oxidised low-density lipoprotein particle stimulus cGAS/STING signaling pathway negative regulation of protein localization to lysosome negative regulation of cGAS/STING signaling pathway beta-arrestin-dependent dopamine receptor signaling pathway positive regulation of G1/S transition of mitotic cell cycle positive regulation of protein localization to nucleus cellular response to peptide regulation of signal transduction by p53 class mediator negative regulation of cilium assembly negative regulation of oxidative stress-induced intrinsic apoptotic signaling pathway negative regulation of leukocyte cell-cell adhesion positive regulation of protein localization to plasma membrane negative regulation of protein maturation negative regulation of hydrogen peroxide-induced neuron intrinsic apoptotic signaling pathway negative regulation of PERK-mediated unfolded protein response negative regulation of TORC1 signaling positive regulation of TORC1 signaling positive regulation of TORC2 signaling positive regulation of protein localization to endoplasmic reticulum positive regulation of anaphase-promoting complex-dependent catabolic process cellular response to nerve growth factor stimulus response to insulin-like growth factor stimulus positive regulation of protein localization to cell surface regulation of type B pancreatic cell development negative regulation of lymphocyte migration negative regulation of extrinsic apoptotic signaling pathway in absence of ligand negative regulation of intrinsic apoptotic signaling pathway protein import into nucleus, translocation positive regulation of protein phosphorylation carbohydrate metabolic process translation negative regulation of protein kinase activity transport cytoskeleton organization multicellular organism development aging carbohydrate transport negative regulation of endopeptidase activity glucose transport cell projection organization positive regulation of cyclin-dependent protein serine/threonine kinase activity involved in G1/S transition of mitotic cell cycle positive regulation of cellular protein metabolic process anagen positive regulation of apoptotic process negative regulation of cysteine-type endopeptidase activity involved in apoptotic process negative regulation of cell size positive regulation of vasoconstriction negative regulation of JNK cascade positive regulation of nitric-oxide synthase activity positive regulation of sequence-specific DNA binding transcription factor activity glycogen cell differentiation involved in embryonic placenta development cellular response to mechanical stimulus cellular response to organic cyclic compound cellular response to hypoxia positive regulation of establishment of protein localization to plasma membrane hyaluronan metabolic process
          It has to be done as per old AB suggested Products section.

          Disclaimer

          Close

          Clicking the images or links will redirect you to a website hosted by BenchSci that provides third-party scientific content. Neither the content nor the BenchSci technology and processes for selection have been evaluated by us; we are providing them as-is and without warranty of any kind, including for use or application of the Thermo Fisher Scientific products presented.

          guarantee_icon

          性能保障

          只要您发现Invitrogen抗体在实验中的表现与网站或说明书的所述内容不符,您即可享受免费退换货服务。*

          了解更多
          help_icon

          随时为您服务

          获取常见问题的专家解答,或者直接联系我们的技术专家,咨询应用、设备、常规产品使用问题。

          联系技术支持
          订购 Plus Icon Minus Icon
          • 订单状态查询
          • 订单支持
          • 货号直购
          • 现货供应中心
          • 电子采购
          支持 Plus Icon Minus Icon
          • 帮助&支持
          • 联系我们 - 400 820 8982
          • 技术支持中心
          • 查找文件&证书
          • 报告网站问题
          资源 Plus Icon Minus Icon
          • 学习中心
          • 促销
          • 活动&研讨会
          • 社交媒体
          关于赛默飞 Plus Icon Minus Icon
          • 关于我们
          • 招聘 招聘
          • 投资者关系 投资者关系
          • 新闻 新闻
          • 社会责任 社会责任
          • 商标
          • 政策和通知
          品牌 Plus Icon Minus Icon
          • Thermo Scientific
          • Applied Biosystems
          • Invitrogen
          • Gibco
          • Ion Torrent
          • Unity Lab Services
          • Patheon
          • PPD
          • 服务条款
          • 隐私政策
          • 定价和运输保险政策
          © 2006-2026 Thermo Fisher Scientific Inc. All rights reserved. All trademarks are the property of Thermo Fisher Scientific and its subsidiaries unless otherwise specified.
          China flag icon
          China
          本网站销售的所有产品均不得用于人类或动物之临床诊断或治疗,仅可用于工业或者科研等非医疗目的。
             电子营业执照 | 经营证照公示 | ICP备案号:沪ICP备11003924号 | 沪公网安备 31011502006935号

          Your items have has been added!


          Host server : magellan-search-green-6479c7f679-zb4k5:80/100.66.74.142:80.
          git-commit: b70c0dceb888abc3b0dcebb5bc3a5b8753e7e816
          git-url: https://github.com/thermofisher/magellan-search
          git-branch: release/2.50.0-Offline