Hamburger Menu Button
Thermo Fisher Scientific Logo
登录
没有账号?建立账号 注册
  • 产品
    • 抗体
    • 引物合成
    • GeneArt Gene Synthesis Instant Designer
    • TaqMan Assay and Array Search
    • PCR 设备和耗材
    • 色谱柱和纯化柱
    • 实验室离心机
    • 分子生物学试剂和试剂盒
    • 实验室塑料耗材及用品
    • 查看所有产品分类
  • 应用和技术
    • 色谱
    • 细胞转染和培养
    • 实时荧光定量PCR
    • 质谱
    • 实验室塑料耗材及用品
    • 电子显微镜
    • 蛋白质生物学
    • PCR
    • RNAi
    • 环境
    • 查看所有应用和技术
  • 服务
    • 定制服务
    • 企业级实验室信息化服务
    • 企业服务
    • 金融&租赁服务
    • 仪器服务
    • OEM和商业供应
    • 培训服务
    • 360° CDMO 和 CRO 服务
    • CDMO 服务
    • 临床试验 CRO 服务
    • 查看所有帮助和支持
  • 帮助和支持
    • 学习中心
    • 联系我们
    • 更改国家或地区
    • 查看所有帮助和支持
  • 热门产品
    • TaqMan Real-Time PCR Assays
      TaqMan 实时荧光定量 PCR 试剂盒
    • Antibodies
      抗体
    • Oligos, Primers & Probes
      寡核苷酸、引物、探针
    • GeneArt Gene Synthesis
      GeneArt 基因合成
    • Cell Culture Plastics
      细胞培养耗材
  • 联系我们
  • 货号直购
  • 订单查询
  • 查找文件&证书
Thermo Fisher Scientific Logo

Search

搜索全部或下列指定分类
Search button
          • 联系我们
          • 货号直购
          • 登录
            登录
            没有账号?建立账号 注册
            • 我的账号
            • 订单
            • 账单及发票查询
            • 定制产品及项目

          Disclaimer

          Clicking the images or links will redirect you to a website hosted by BenchSci that provides third-party scientific content. Neither the content nor the BenchSci technology and processes for selection have been evaluated by us; we are providing them as-is and without warranty of any kind, including for use or application of the Thermo Fisher Scientific products presented.

          • Primary Antibodies ›
          • AMPK alpha-1 Antibodies

          Bethyl Laboratories

          AMPK alpha 1 Polyclonal Antibody

          查看其他41个AMPK alpha-1抗体

          {{$productOrderCtrl.translations['antibody.pdp.commerceCard.promotion.promotions']}}

          {{$productOrderCtrl.translations['antibody.pdp.commerceCard.promotion.viewpromo']}}

          {{$productOrderCtrl.translations['antibody.pdp.commerceCard.promotion.promocode']}}: {{promo.promoCode}} {{promo.promoTitle}} {{promo.promoDescription}}. {{$productOrderCtrl.translations['antibody.pdp.commerceCard.promotion.learnmore']}}

          说明书
          证书
          实验方案
          问题与答案
          技术支持
          说明书
          证书
          实验方案
          问题与答案
          技术支持
          说明书
          证书
          实验方案
          问题与答案
          技术支持

          Cite AMPK alpha 1 Polyclonal Antibody

          • 抗体检测数据 (3)
          AMPK alpha 1 Antibody in Immunohistochemistry (Paraffin) (IHC (P))
          Group 53 Created with Sketch.
          AMPK alpha 1 Antibody in Immunohistochemistry (Paraffin) (IHC (P))
          Group 53 Created with Sketch.

          图: 1 / 3

          {{ $ctrl.currentElement.advancedVerification.fullName }}
          {{ $ctrl.currentElement.advancedVerification.text }}

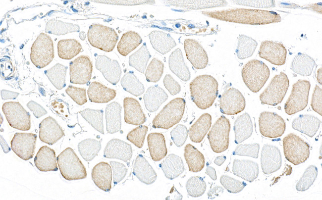
          AMPK alpha 1 Antibody (A300-507A-T) in IHC (P)

          Detection of human AMPK alpha 1 by immunohistochemistry. Sample: FFPE section of human skeletal muscle. Antibody: Affinity purified rabbit anti-AMPK alpha 1 (Product # A300-507A) (Lot 4) used at a dilution of 1:1,000 (1 µg/mL). Detection: DAB. {{ $ctrl.currentElement.advancedVerification.fullName }} 验证信息 View more
          已发表图片由___提供 benchsci-logo
          PMID: {{$ctrl.currentElement.benchSciPubmedId}}
          查看产品

          {{$ctrl.videoDesc}}

          {{$ctrl.videoLongDesc}}

          AMPK alpha 1 Antibody in Immunohistochemistry (Paraffin) (IHC (P))
          AMPK alpha 1 Antibody in Western Blot (WB)
          AMPK alpha 1 Antibody in Immunoprecipitation (IP)
          AMPK alpha 1 Polyclonal Antibody

          产品信息

          A300-507A-T

          应用
          建议稀释比
          已发表文章

          免疫印迹 (WB)

          1:2,000-1:10,000
          -

          免疫组化 (IHC)

          1:2,000-1:10,000
          -

          免疫组化(石蜡) (IHC (P))

          1:1,000-1:5,000
          -

          免疫沉淀 (IP)

          2-8 µg/mg lysate
          -
          产品规格

          种属反应

          Human, Mouse

          宿主/亚型

          Rabbit / IgG

          分类

          Polyclonal

          类型

          Antibody

          抗原

          Region between residues 350 and 400 of human 5'-AMP-activated Protein Kinase, catalytic Alpha-1 chain.
          查看免疫原

          偶联物

          Unconjugated Unconjugated Unconjugated

          形式

          Liquid

          浓度

          1 mg/mL

          纯化类型

          Antigen affinity chromatography

          保存液

          tris citrate/phosphate, pH 7-8

          内含物

          0.09% sodium azide

          保存条件

          4°C

          运输条件

          Ambient (domestic); Wet ice (international)

          产品详细信息

          The recommended shelf life for this product is 1 year from date of receipt.

          Application Note: For IHC, epitope retrieval is not recommended.

          Based on 100% sequence identity, this antibody is predicted to react with Mouse and Orangutan

          靶标信息

          Protein kinases are enzymes that transfer a phosphate group from a phosphate donor, generally the g phosphate of ATP, onto an acceptor amino acid in a substrate protein. By this basic mechanism, protein kinases mediate most of the signal transduction in eukaryotic cells, regulating cellular metabolism, transcription, cell cycle progression, cytoskeletal rearrangement and cell movement, apoptosis, and differentiation. With more than 500 gene products, the protein kinase family is one of the largest families of proteins in eukaryotes. The family has been classified in 8 major groups based on sequence comparison of their tyrosine (PTK) or serine/threonine (STK) kinase catalytic domains.

          仅用于科研。不用于诊断过程。未经明确授权不得转售。

          篇参考文献 (0)

          您是否在文献中引用过该产品?请点击下方按钮邮件告知我们。
          引用该产品

          生物信息学

          蛋白别名: 5'-AMP-activated protein kinase catalytic subunit alpha-1; 5'-AMP-activated protein kinase, catalytic alpha-1 chain; AAPK2; ACACA kinase; Acetyl-CoA carboxylase kinase; activated protein kinase; AMP -activate kinase alpha 1 subunit; AMP activated protein kinase; AMP-activated protein kinase, alpha 1 catalytic subunit; AMP-activated protein kinase, catalytic, alpha-1; AMPK alpha 1; AMPK subunit alpha-1; AMPK subunit pAMPK; AMPK-alpha-2 chain; AMPK2; HMGCR kinase; Hydroxymethylglutaryl-CoA reductase kinase; MGC33776; MGC57364; pAMPK; PRKAA; PRKAA2; protein kinase, AMP-activated, alpha 1 catalytic subunit; Tau-protein kinase PRKAA1

          查看更多 收起

          基因别名: AI194361; AI450832; AL024255; AMPK; AMPK1; AMPKa1; AMPKalpha1; C130083N04Rik; PRKAA1

          查看更多 收起

          UniProt ID: (Human) Q13131, (Mouse) Q5EG47

          查看更多 收起

          Entrez Gene ID: (Human) 5562, (Mouse) 105787

          查看更多 收起

          功能
          chromatin binding protein kinase activity AMP-activated protein kinase activity cAMP-dependent protein kinase activity protein binding ATP binding protein C-terminus binding kinase binding histone serine kinase activity metal ion binding [hydroxymethylglutaryl-CoA reductase (NADPH)] kinase activity tau-protein kinase activity [acetyl-CoA carboxylase] kinase activity nucleotide binding protein serine/threonine kinase activity kinase activity transferase activity transferase activity, transferring phosphorus-containing groups non-receptor serine/threonine protein kinase
          参与通路
          activation of MAPK activity response to hypoxia glucose metabolic process transcription, DNA-templated regulation of transcription, DNA-templated protein phosphorylation fatty acid biosynthetic process cholesterol biosynthetic process cell cycle arrest signal transduction positive regulation of cell proliferation lipid biosynthetic process response to UV cold acclimation response to gamma radiation positive regulation of autophagy positive regulation of gene expression response to activity Wnt signaling pathway macroautophagy fatty acid oxidation response to caffeine cellular response to nutrient levels negative regulation of TOR signaling regulation of peptidyl-serine phosphorylation histone-serine phosphorylation intracellular signal transduction cellular response to glucose starvation glucose homeostasis regulation of circadian rhythm negative regulation of apoptotic process positive regulation of cholesterol biosynthetic process positive regulation of glycolytic process negative regulation of glucosylceramide biosynthetic process rhythmic process positive regulation of skeletal muscle tissue development negative regulation of lipid catabolic process protein heterooligomerization fatty acid homeostasis regulation of vesicle-mediated transport cellular response to hydrogen peroxide cellular response to ethanol cellular response to prostaglandin E stimulus cellular response to organonitrogen compound cellular response to hypoxia response to camptothecin regulation of signal transduction by p53 class mediator regulation of energy homeostasis negative regulation of glucose import in response to insulin stimulus lipid metabolic process fatty acid metabolic process steroid biosynthetic process autophagy steroid metabolic process cholesterol metabolic process sterol biosynthetic process phosphorylation chromatin modification response to hydrogen peroxide
          It has to be done as per old AB suggested Products section.
          guarantee_icon

          性能保障

          只要您发现Invitrogen抗体在实验中的表现与网站或说明书的所述内容不符,您即可享受免费退换货服务。*

          了解更多
          help_icon

          随时为您服务

          获取常见问题的专家解答,或者直接联系我们的技术专家,咨询应用、设备、常规产品使用问题。

          联系技术支持
          订购 Plus Icon Minus Icon
          • 订单状态查询
          • 订单支持
          • 货号直购
          • 现货供应中心
          • 电子采购
          支持 Plus Icon Minus Icon
          • 帮助&支持
          • 联系我们 - 400 820 8982
          • 技术支持中心
          • 查找文件&证书
          • 报告网站问题
          资源 Plus Icon Minus Icon
          • 学习中心
          • 促销
          • 活动&研讨会
          • 社交媒体
          关于赛默飞 Plus Icon Minus Icon
          • 关于我们
          • 招聘 招聘
          • 投资者关系 投资者关系
          • 新闻 新闻
          • 社会责任 社会责任
          • 商标
          • 政策和通知
          品牌 Plus Icon Minus Icon
          • Thermo Scientific
          • Applied Biosystems
          • Invitrogen
          • Gibco
          • Ion Torrent
          • Patheon
          • PPD
          • 服务条款
          • 隐私政策
          • 定价和运输保险政策
          © 2006-2026 Thermo Fisher Scientific Inc. All rights reserved. All trademarks are the property of Thermo Fisher Scientific and its subsidiaries unless otherwise specified.
          China flag icon
          China
          本网站销售的所有产品均不得用于人类或动物之临床诊断或治疗,仅可用于工业或者科研等非医疗目的。
             电子营业执照 | 经营证照公示 | ICP备案号:沪ICP备11003924号 | 沪公网安备 31011502006935号

          Your items have has been added!


          Host server : magellan-search-blue-55ff9ddd88-svh85:80/100.66.78.90:80.
          git-commit: d366ff9721d93504b2ac26a183b2b3e3d0e7d9ec
          git-url: https://github.com/thermofisher/magellan-search
          git-branch: release/2.42.0-2026.01.03-1.0